广州医科大学附属第一医院骨科
2014-06-12 文章作者:luhaiyan 我要说
骨科在线版权所有,如需转载请注明来自本网站
骨科现状概况
广州医科大学附属第一医院骨科研究所拥有着一支技术精湛、人才梯队结构合理的工作团队,包括广州市高层次人才优秀专家1 名;广东省“千百十”人才培养计划人才省级培养对象1 名,校级培养对象1名;省级学术团体主委1名;中华医学会主办核心期刊总编1名,副总编1名;国家或省市骨外科学会骨干多名。
现有正高职称(教授、主任医师)9人,副主任医师5人,主治医师4人,医师1人,高级工程师1人,讲师2人,博士4人,硕士8人,副主任护师1人,主管护师1人、医务人员共计52人。在读硕士研究生8名,博士研究生3人,在站博士后1人。
该院骨科是国家级继续教育项目培训单位,2003年被评为广东省重点学科,2012年被评为广东省重点临床专科,2007年获广东省科技厅和广州市科信局批准成立“广东省骨科矫形技术与植入材料重点实验室”,2010年获广州市机构编制委员会批准成立“广州骨科研究所”。
本专科历史悠久,集临床医疗、科研和教学于一体。在关节外科、脊柱外科、创伤外科、修复重建外科和显微外科技术等领域全方位发展。1974年成功完成广东省首例全髋关节置换术;1993年成功完成首例人工全肩胛骨肩关节置换术,在人工关节置换、骨肿瘤的保肢技术、关节修复重建外科技术方面属国内先进行列;开展髋、膝、肩关节重建手术较早,数量较多,效果较好;自行研制的新型全肩胛骨肩关节,技术新颖,取得满意效果,具有创造性;国内首次采用同种异体肩胛骨移植治疗肩胛骨肿瘤,重建关节功能;采用异体骨复合人工关节移植,特异个性化设计的人工假体治疗骨盆和四肢的肿瘤,进行保肢手术,取得显著效果,为骨肿瘤的治疗开辟了新思路。
本学科脊柱外科诊断、治疗水平高,技术全面,与国际发展同步。很多复杂和高难度技术、新技术都是国内最先或较早开展;对脊柱侧弯的发展演变研究、矫形手术治疗,切除脊柱肿瘤,后路椎间盘镜的应用,经皮椎弓根螺钉固定手术,内窥镜脊柱手术等达到国际水平。
目前随着先进的计算机手术导航技术,本学科脊柱微创手术迈上了更高的台阶。作为国内少数,省内最早开展单位之一,联合运用感觉和运动诱发电位和肌电图监测技术在脊柱和关节外科术中进行脊髓、神经根和周围神经的监护,为患者安全提供了保障。
骨科特色技术包括:人工关节置换与翻修、数字骨科技术的临床应用、计算机辅助导航、脊柱微创外科手术、脊柱和关节外科术中电生理监护技术的应用、骨科大手术静脉血栓栓塞症防治等。
2007年中华医学会主办的《中华关节外科杂志(电子版)》编辑部设在我院骨科,余楠生教授任总编辑,白波教授任副总编辑,卢伟杰主任医师任编辑部主任。2010年该刊成为科技核心期刊,两次荣获“中华医学会优秀连续型电子出版物”奖,2013年获得“优秀编辑部”和“优秀编辑部主任”称号。
连续举办十二届国家级继续教育项目《华南地区关节重建技术高级研讨班》,培养学员3000余名。与香港中文大学创伤与矫形学系联合举办四届穗港计算机导航膝关节表面置换术研修班。
现临床部设有普通病房、ICU病房,专用手术室及附设专科检查室、配套康复设备。
临床专业人员、实验室人员曾被派送到美国、德国、新加坡、日本及香港、北京、上海、天津等国内著名专科医院或实验室进修学习,经验丰富,医术精湛,整体力量雄厚。2009年分别与香港大学创伤与矫形学系关节置换中心、香港中文大学创伤与矫形学系签订合作协议,专科同时承担着包括国家自然科学基金在内的各级科研项目30余项,2003年以来获省部、市级科研成果奖励3项,获得国家实用新型专利2项,在国内外期刊发表论文150余篇,其中第一作者或通讯作者SCI收录10篇,主编主译或参编专著、教材10余部。
科室临床医疗、检查及康复设备先进,拥有手术导航系统、C臂X光机、术中脊髓监护系统、椎间孔镜、椎间盘镜、关节镜、、电动骨科手术床、电动动力及刨削系统、小体骨电动手术器械、电脑骨折愈合仪、眼镜式双目手术放大镜等临床手术器械。同时骨科省重点实验室拥有价值超400万的实验科研设备,包括:电脑雕刻笔、三维重建软件、三维激光扫描仪、德国LEICA锯齿切片机、正立荧光显微镜、法国Mllipore超纯水系统、日本Nikon活细胞显微成像系统、德国Eppendorf低温冷冻离心机、扭转试验机、落锤撞击试验机等。
医疗工作情况
2002年吴景明、余楠生、吴梅祥在科内率先开展颈椎侧块螺钉内固定。
2003年白波教授在何建行教授的协助下开展首例胸腔镜下椎体结核病灶清除术。
2004年白波、卢伟杰和董伟强圆满完成了一例难度很高的骨盆软骨肉瘤术后复发,半骨盆切除+人工半盆及人工全髋关节置换术+盆腔淋巴结清扫术。
2005年,白波、吴景明和余楠生在院内率先开展经皮椎体后凸成形术。
2007年,吴景明、白波、余楠生、吴梅祥在院内率先开展颈椎椎弓根螺钉固定技术;吴景明、白波开展螺旋CT引导经皮椎体成形治疗椎体转移癌。
2008年以来林志雄主任医师、黎文主任医师、刘琦主治医师在院内率先开展脊柱经皮椎弓根螺钉内固定微创手术;颈枕融合手术;经皮穿刺椎体肿瘤消融骨水泥成形微创手术;骶骨肿瘤前后路联合入路全骶椎切除重建术。同时也开展了微创胸腔镜辅助下脊柱结核病灶清除、内固定手术;颈椎椎弓根钉、侧块螺钉内固定、环-枢椎椎弓根螺钉内固定等颈椎手术以及青少年特发性脊柱侧弯矫形术等,取得良好疗效。
2008年以来开展了大量脊髓监护、导航技术、数字成型及微创技术手术。
2012年白波和董伟强等开展膝关节异体半月板移植术。
2012年尹知训、卢伟杰、陈东峰、李之琛开展椎间孔镜下椎间盘摘除术。
2012年卢伟杰、陈东峰、李之琛开展广东首例经皮穿刺椎体肿瘤术中放疗+椎体成型术。
2013年6月何二兴副所长在骨科临床部开展微创脊柱手术:经皮椎弓根螺钉固定术、微创脊柱融合术、颈椎微创减压融合术,以及各种穿刺介入手术等,数量较多。
2012年6月申报广东省重点临床专科成功,至2013年7月获批广东省重点临床专科。
骨科特色技术包括:
1)人工关节置换与翻修
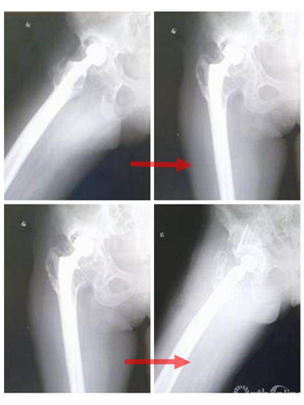
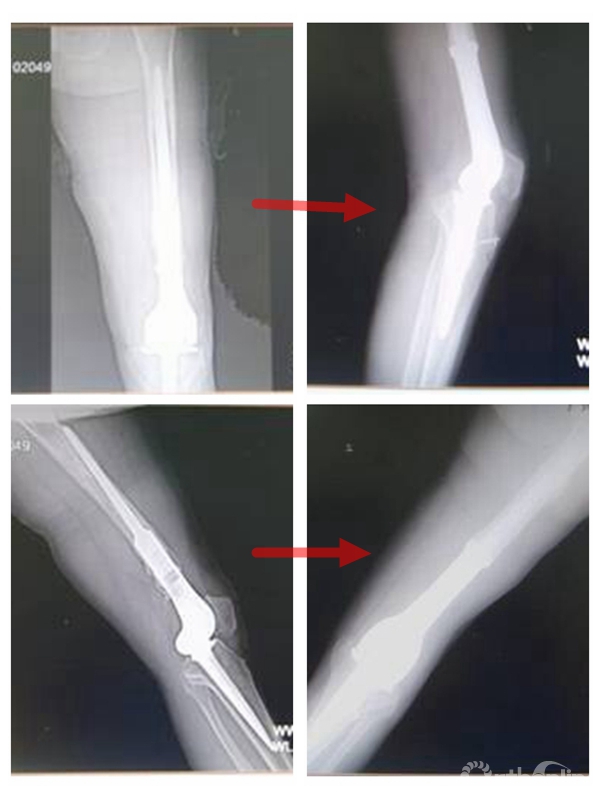
该科于1974年开展广东省首例人工髋关节置换术,因为早期该科和各医院骨科使用是不成熟的假体,且早期手术缺乏规范和经验,导致患者出现松动的而翻修的病例较多。九十年代以来,该科协助各级医院开展髋关节置换术,接受各级医院转院的翻修病例较多。1999年开始,积极开展了膝关节表面置换术。随着初次置换病例的增多,也出现了需要翻修的病例。针对无菌性松动的病例,该科在人工关节翻修处理与技术方面积累了丰富经验,总结出一定了规律,在国内处于领先地位。
重视患者的术后随访,当复诊时聚乙烯内衬磨损到一定程度,而患者尚未出现明显临床症状前就进行内衬的更换,可以避免大翻修的数量,不仅减少了患者的痛苦,也节约了不少的费用。例如,对严重髋臼骨缺损患者,采用国际最新的CUP-CAGE技术,有效地使得患者的翻修假体生存时间延长。对膝关节置换感染患者,采用二期翻修技术,植入自制含抗生素骨水泥的SPACER,运用膝关节翻修假体,治愈了膝关节置换感染病例。

复杂的人工髋关节翻修技术

膝关节感染翻修技术

肿瘤型人工膝关节翻修技术
2)数字骨科技术的临床应用
2007年广东省骨科矫形技术与植入材料重点实验室成立,下设数字骨科研究室,对复杂骨科手术进行了计算机辅助观测和个性化术前规划,指导手术;进行了复杂骨盆骨折、小儿骨盆肿瘤、肘关节内翻畸形、先天性半椎畸形脊柱侧弯、髋关节发育不良虚拟手术与快速成形辅助手术; 开展了髋、膝肿瘤个性化设计,CDM定制,肿瘤假体置换、翻修等保肢手术。
引入数字骨科以后,许多以前不可测量的数据都可以通过计算机精确测量,术前计算机辅助可对患者进行个体化手术设计,模拟手术,使复杂骨折能够外科复位,肿瘤能够准确切除,畸形能够理想校正,假体能够精确制作移植。通过这一技术,可以把以前单纯依靠主刀医生经验的复杂性骨科手术精确到1到2毫米,手术成功率明显提高。



3)计算机辅助导航
计算机辅助无框架导航技术能为手术操作提供精确定位、三维引导,手术器械的位置在术中通过影像实时显示。该科自2005年引进骨科导航仪以来,进行了计算机辅助椎弓根扩孔置钉、股骨头坏死钽棒植入、股骨颈基底部骨折经皮空心钉固定、经皮椎体成形等手术,能明显提高手术精度和安全性,保证医疗质量,保障了患者安全,减少患者和医务人员放射性损伤。



4)脊柱微创手术
经皮椎弓根螺钉固定术、微切口椎管减压固定术、内窥镜脊柱手术、穿刺射频消融、术中放疗术、颈椎微创融合固定术等的应用和创新,标志着骨科研究所微创脊柱外科技术水平与国际同步,特别是经皮螺钉固定术水平达到国际先进水平,率先应用横突探触法及多点进钉法,使手术时间明显缩短,X线曝光率减少一半以上;在国际上最先对长臂螺钉经皮植入进行研究和改造并取得突破,该项技术应用规模省内领先。



5)脊柱外科和关节外科术中电生理监护技术的应用
脊柱外科手术尤其是颈椎、胸椎节段和脊柱侧弯等手术具有较高的手术风险,在术中开展脊髓功能监护十分有必要。目前,术中脊髓和神经根监护在欧美国家和日本已成为一种必要的手段常规应用于脊柱外科手术过程中。
周围神经损伤是全髋关节置换(total hip arthroplasty ,THA)术后早期并发症之一,既可以引起短暂损伤,也可能导致终身运动功能障碍,因此, 在下肢短缩畸形或翻修的全髋关节置换术中,预防下肢周围神经功能损伤尤其是运动功能损伤倍受骨科医生和患者的重视。
广州医科大学附属第一医院骨科吸收消化香港大学创伤与矫形学系术中神经功能监测的经验,2009年开始成为国内极少数开展、广东省最早开展多模式全面监测脊髓、神经根感觉和运动传导功能的单位(体感诱发电位、运动诱发电位、自发肌电图和激发肌电图联合监测)。至今完成术中监测400余例,敏感性高,特异性强,大大提升了手术的安全性,也有利于医生发挥最大的手术技能。

6)骨科大手术静脉血栓栓塞症防治
2004年起中华医学会骨科分会发起“中国骨科大手术静脉血栓症预防及流行病学调查”,广州医学院第一附属医院骨科为广东省唯一参与单位。2009年6月,中华医学会骨科分会公布《中国骨科大手术静脉栓塞症预防指南》,其中髋关节置换术发生静脉栓塞症流行病学发生率数据取用该院骨科调查数据(余楠生,卢伟杰,陈东峰提供)。2013年3月1日在北京举行的全国血栓防治学术大会上,余楠生宣读的该院骨科大手术VTE预防一文获金质奖。
该院骨科多年来一直关注创伤后深静脉血栓形成领域的临床和基础研究的动态发展。2010年成功建立了大鼠创伤后深静脉血栓形成动物模型,采用基因组学和蛋白质组学方法对创伤性深静脉血栓形成进行研究,寻找能早期诊断创伤后深静脉血栓形成的分子标志物,并进一步采用RNA干扰技术从细胞水平、动物水平对差异表达蛋白进行功能研究和验证,寻找能早期诊断创伤后深静脉血栓形成的指标,为早期诊断创伤性深静脉血栓形成提供依据。2013年通过临床研究发现B因子对于早期预测DVT的发生具有特异性,创伤后使用抗凝药物情况下,DVT发生情况明显下降,DVT的发生与季节有一定的联系,利伐沙班与低分子肝素对于预防DVT作用上无明显差异。
3. 教学工作情况
参与专、本科教学,包括理论课、见习课和临床实习。1999年获批硕士点,2010年获批博士点。2003年至2013年共培养硕士研究生41名,博士研究生2名,出站博士后2名,在站博士后1名。
2007年《骨外科网络课程》获得广州市多媒体教育软件评奖高等教育组网络课程类一等奖。(白波,卢伟杰,陈艺,董伟强)
2010年所在外科学教研室(学科带头人:白波)获评广东省精品课程。
2010年承担中华医学会医学教育分会、中国高等教育学会医学教育专业委员会医学教育研究立项课题《基于髋关节置换力学仿真的虚拟手术训练教程》、卫生部视听教材《骨关节解剖》的制作、广州医学院实效工程项目——《外科学资源库建设(骨外科学与泌尿外科学)》、广州医学院电教项目——《关节外科学习网站的建立》,现在已经结题。
2010年承担广东省教育科学十一五规划项目《开发骨科省重点实验室教学资源的探索与实践》。
2013年承担广州市高等学校教育教学改革立项《数字人重建在教学中的应用》。
4. 科研工作情况
1) 2007年获批省市共建骨科矫形技术与植入材料重点实验室。
2) 2010年省骨科矫形技术与植入材料重点实验室通过验收。
3) 2011年省骨科矫形技术与植入材料重点实验室通过省科技厅和市科信局年度评估。
4) 2010年获得广州市机构编制委员会批准成立“广州骨科研究所”。
5) 2012年12月广州骨科研究所组建成立。
骨科实验室简介
广东省骨科矫形技术与植入材料重点实验室从最初仅有的生物力学研究室发展成为现有的四个研究室:数字骨科研究室、生物材料研究室、生物力学研究室、基础实验研究室共四个研究室。
实验室专职人员共5人,其中博士3人,硕士2人。
实验室的发展目标是:旨在以临床需要为科研导向,产学研密切结合,形成科研,临床应用,成果转化和生产有机结合的链条;为医学科研工作者和临床医生提供一个高效率的科研合作平台,开发出系列实用,新型的医疗器械和产品。
该重点实验室的特色和创新之处是:
1.它是一个开放平台,科研方向直接面对医院,并与省内外重点高校、相关科研院所、协作企业等密切合作,建立一种链条式的产学研结合机制。
2.管理机制灵活,科研经费来源多渠道,既有向国家,地区申请的科研课题,又可“以产养研,以产促研”,将科研成果产生的经济效益再次投入到科研以产出新的成果。
3.有效的激励机制和经费分配制度,经费的分配与贡献大小密切挂钩,鼓励多出成果,出好成果。
科学研究内容主要包括:
1 )计算机辅助下的矫形外科手术研究
2) 新型骨科植入材料的开发与推广
3) 新型骨科手术器械的研发
4) 关节生物力学及个性化人工关节的研发
5)临床应用型基础研究
科研奖励:
1) 关节重建技术基础与临床研究(该项目为省级科研项目,现已完成,成果投入临床运用)(第一完成人:白波)于2003年获得广州市科技进步三等奖;
2) 胸腰椎骨折内固定并成形术的生物力学研究与临床评价(第二完成人:陈艺)于2010年获得云浮市科技进步二等奖;
3) 胸腰椎骨折内固定并成形术的生物力学研究与临床评价(第二完成人:白波;第三完成人:陈艺;第七完成人:董伟强)于2013年获得广东省科技进步三等奖。
专利:
1) 一种无创经皮经椎弓根手术三维定位导向装置(ZL 2010.2.0026944.3),国家实用新型,白波;龙浩;卢永辉;严广斌
2) 自攻式经皮椎弓根定向植骨装置,(ZL 2010.2.0179025.X),国家实用新型,尹知训;丁红梅
2003-2013年广州医科大学附属第一医院骨科学术团队在国家级、省市级期刊发表论文超过140篇。
2003-2013年SCI收录论文:
1) Bai B, Shun H, Yin ZX, Liao ZW, Chen N.Changesof contact pressure and area in patellofemoral joint after different meniscectomies. IntOrthop 2012;36:987-91.
2) Mo J, Bai B, Li Y, Deng J, Zhang S, Chen Y, Zeng Y.Expression of interleukin-18 in a rat model of deep vein thrombosis. JCardiovasc Surg (Torino) 2012 Feb 8 2012Oct;53(5):625-30.
3) Peng MJ, Ju X, Khambay BS, Ayoub AF, Chen CT, Bai B.Three-dimensionalimage fusion across PET + MRI modalities based on the approach ofcharacteristic coregistration.Biomedizinische Technik - Biomedical Engineering 2012; 57(5):413~422.
4) Peng MJ, Ju X, Khambay BS, Ayoub AF, Chen CT, Bai B.Clinical significanceof creative 3D-image fusion across multimodalities【PET+CT+MR】based on characteristic coregistration. EuropeanJournal of Radiology 2012, 81(3): e406~e413
5) Yin ZX, Peng TH, Ding HM, Bai B, Tang ML.Three-DimensionalVisualization of the Cutaneous Angiosome Using Angiography. Clinical Anatomy.2013; 26:282–7.
6) Bai B, Yin Z, Xu Q, Lew M, Chen Y, Ye J, Wu J, Chen D, Zeng Y.Histological Changes of An Injectable RhBMP-2/Calcium Phosphate Cement inVertebroplasty of Rhesus Monkey. Spine (Phila Pa 1976). 2009 Aug15;34(18):1887-92.
7) Chen Y, Bai B, Zhang S, Ye J, Zhai H, Chen Y, Zhang L, Zeng Y.Study of a novel three-dimensional scaffold to repair bone defect in rabbit J Biomed MaterRes A. 2013 May 7.
8) ChenLai, Shujiang Zhang , Liyuan Sheng , Shibo Liao ,Tingfei Xi ,Zhixiong Zhang.TEMPO-mediated oxidation of bacterial cellulose in a bromide-free system.Colloid Polym Sci
9) ErxingHe,Ji Hao Cui, Chuang Li,et al. The combined effects of transforming growthfactor-b and basic fibroblast growth factor on the humandegenerated nucleus pulposus cells in monolayer culture,Tissue Engineering and Regenerative Medicine. 2013,4.
10) DONGweiqiang, Chen Y,Fan J,Zhang S.Single-bundle versus double-bundle anterior cruciate ligament reconstruction:an up-to-date meta-analysis. International Orthopaedics: Volume 37, Issue 10(2013), 2099-2100.
专著和教材:
1) 《关节置换外科学》(2005年,清华大学出版社,副主编:白波)
2) 《微创胸外科手术与图谱》(2005年,广东科技出版社,编者:白波)
3) 《人工髋关节外科学》(2006年,人民卫生出版社,编者:白波)
4) 《关节外科聚焦》(2007年,人民军医出版社,编者:余楠生)
5) 《外科学(英文版)》——全国“十一五”规划教材(2008年,人民卫生出版社,编者:白波)
6) 《骨科并发症防治》(2008年,人民卫生出版社,编者:余楠生)
7) 《现代膝关节外科学》(2008年,科学出版社,编者:余楠生)
8) 《外科学》——全国十六所高校统编教材(2009年,高等学校教育出版社,副主编:白波)
9) 《骨科生物力学暨力学生物学》(2009年,山东科学技术出版社,主译:白波)
10) 《关节外科学》(2009年,第二军医大学出版社,参编:白波)
11) 《外科学(案例式教材)》(2010年,科学出版社,副主编:白波,参编:卢伟杰、吴景明)
12) 《人工髋关节外科学》(2010年,人民卫生出版社,副主编:余楠生,编者:卢伟杰)
13) 《肘关节外科学》(第二版)(2012年,人民卫生出版社,编者:余楠生,严广斌)
14) 《外科学》——第三轮全国高等学校医药学成人学历教育教材临床医学专业(专升本)(2013年,人民卫生出版社,主编:白波)
学科带头人

白波
白波,教授、主任医师,博士研究生导师,骨科学科带头人、广州骨科研究所副所长。广州市优秀专家,省级“千百十”工程培养对象,美国纽约大学博士后研究员, 广东省医学会关节外科学分会创始人及首任主任委员,现任中华医学会骨科学分会委员及中华医学会骨科分会关节外科学组委员、中国髋关节外科工作委员会委员、中国医师协会关节外科工作委员会常委、广东省医师协会关节外科工作组主任委员、亚太人工关节学会中国分会理事、 《中华关节外科杂志(电子版)》副主编、《The Journal of Arthroplasty》、《中华创伤骨科杂志》、《中华创伤杂志(英文版)》等多个杂志的编委。
主持或参与10多项国家自然科学基金和省(部)市等各级科研项目。科研成果获广东省科技进步奖等省市各级奖项9项,获批国家实用新型专利1项。在世界著名的专业杂志及国家级杂志上发表论文80多篇(SCI收录11篇);主编主译或参编《骨科生物力学暨力学生物学》、《人工关节外科学》、《临床医师高级丛书-骨科学》等学术专著和教材。
擅长人工髋、膝及其它关节的置换手术、骨肿瘤的保肢技术、脊柱疾病的手术治疗、各种创伤骨折的内固定手术、显微外科技术等。多年来成功开展了许多高难度的手术和引进新技术、新项目,在国内外同行中享有较高声誉。

卢伟杰
卢伟杰,中心副主任,骨科主任,副教授,主任医师,医学博士,从事骨科临床工作二十多年,曾在北京积水潭医院骨科和香港大学玛丽医院关节置换外科、香港中文大学创伤与矫形外科系统学习,欧美医院参观学习,对各种关节疾病的诊断与外科治疗积累了丰富的临床经验。
担任中国医师协会骨科医师分会第三届委员会委员、中国医师协会骨科医师分会第二届委员会关节外科工作委员会委员、中华医学会骨科分会关节外科学组髋关节外科工作委员会委员、中国保健科技学会骨质疏松与骨关节病委员会理事,广东医学会骨科分会常委,国际矫形与创伤学会(SICOT)中国委员会广东省分会常委,亚太人工关节学会会员,《中华关节外科杂志》电子版编委兼编辑部主任、《中国修复重建外科杂志》常务编委、《实用医学杂志》审稿专家。
擅长关节外科(尤其擅长人工髋、膝关节的置换手术、翻修手术),四肢关节骨折与骨肿瘤的外科治疗。
科室照片

2003年骨科合影

2008年广东省骨科矫形技术及植入材料重点实验室、广东省重点学科学术队伍照

2008年《中华关节外科杂志(电子版)》编辑部成员合照

骨科定期开展的骨科沙龙活动,对本学科发展现状进行交流、讨论

骨科总查房照片



京公网安备11010502051256号