-
-
中量康复器材 #1中量旗舰店,ober美利康专卖店,专业销售骨科支具以及康复器械产品
上海瑞金医院骨科足踝外科团队成功完成中国首例INBONE全踝关节假体置换手术
2015-10-29 文章来源:上海瑞金医院骨科 王碧菠,胡牧,杨崇林 我要说
踝关节炎可出现严重的疼痛、功能受限和肢体畸形,严重踝关节炎导致的生理和心理的损伤与终末期髋关节炎一样严重。随着社会老年化和运动损伤的增多,严重踝关节炎的发病率越来越高,给患者的生活和工作带来了巨大的痛苦,甚至丧失了劳动能力。
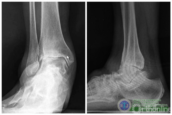
患者,顾XX,女,57岁,因“右踝类风湿性关节炎关节肿痛、活动受限15年,加重1年”入院。上海瑞金医院足踝外科接诊检查后发现该患者右踝关节软骨破坏严重,关节活动严重受限,经与患者反复沟通、解释病情,最终患者要求进行全踝关节置换手术。
全踝人工关节置换术能够在清除踝关节炎症解除疼痛的同时保留踝关节的活动度,帮助患者最大程度地保留踝足部的功能,大大提高生活质量,是当今发达国家普遍采用先进的治疗严重踝关节炎的手术方式。然而,目前我国全踝关节置换的现状是基本停滞的。由于各种原因,国内近十年来一直缺乏国际先进的全踝关节置换系统,数量巨大的踝关节炎患者不能像髋、膝关节炎患者那样接受先进的髋、膝关节置换手术,而不得不选择踝关节融合术。但融合后踝关节活动的丧失,会引起周围关节的加速退变,不但像下蹲爬坡等日常生活受限制,周围关节的继发损伤也会引起新的疼痛等病症,这些现象在类风湿等踝关节炎患者中尤为明显。
为了改变这种现状,造福广大的踝关节炎患者,瑞金医院足踝外科率先在国内开展第三代全踝关节假体置换手术,使用美国Wright公司的第三代全踝人工关节系统——INBONE II为这名患者解决病痛。
上海瑞金医院骨科足踝外科团队于2015年10月28日上午成功对该患者实施了第三代全踝关节假体(INBONE® II. Wright.)置换手术,手术过程非常顺利。手术中首先清理踝关节内外侧炎性组织及骨赘,将患足置于专门的定制支架中,在透视下反复调整足踝及导针位置,力求最高精确度。在截骨导板的定位下进行踝关节胫骨及距骨的截骨,试样假体大小,置入合适匹配的踝关节假体及垫片完成全踝关节假体的置换,全程手术时间90分钟。完成的全踝关节假体置换位置精确,假体设计稳定牢固,踝关节内外侧软组织平衡,达到了预期的效果。术后患者恢复良好,手术取得圆满成功。患者在休养五周左右以后可以下地行走,去除踝关节炎疼痛畸形的同时能够保留踝关节的活动度,为生活和工作提供极大便利。
国内首例INBONE全踝关节假体置换手术的成功完成开启了中国骨科手术治疗终末期踝关节炎的新篇章,这为千千万万饱受踝关节炎困扰的患者带来了福音。
上海瑞金医院足踝外科团队在国内足踝外科界一直处于标杆地位,瑞金医院足踝部疾患专病诊治中心一直是中国收治足踝疾病最多、足踝手术量最大、足踝疾病最复杂、科研能力最强的学科之一,瑞金足踝外科连续主办的国际足踝外科高峰论坛,也一直引领着国内足踝外科的发展,为中国足踝外科医师的继续教育贡献力量。







| 请登录|注册后发表评论! |



京公网安备11010502051256号