烟台山医院完成胶东地区首例跖趾关节人工置换术
2016-04-14 文章来源:烟台市烟台山医院 我要说
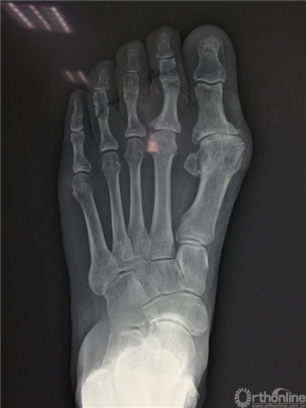
2016年4月7日,烟台市烟台山医院南院骨科收治一例左足跖趾关节骨性关节炎的病人,患者左足严重疼痛10余年,要求治疗的心情迫切。

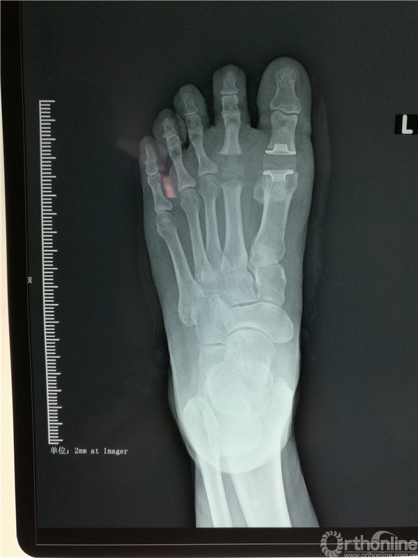
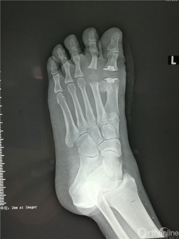
在张树栋院长及刘克贵主任的支持下,南院骨科组织多次病例讨论,制定了一套对病人有效的治疗方案。以刘克贵主任,孙冰,李宏彦组成的医疗小组。于2016年4月9日上午九时,在腰麻下行左足第1、2 跖趾关节人工关节置换术,患者术后左足的疼痛明显减轻,功能良好,外形美观。
烟台市烟台山医院南院骨科成功完成了胶东地区首例跖趾关节人工置换术。







京公网安备11010502051256号