骨纤维异常增殖症
2017-08-09 文章来源:济南军区总医院骨病科 作者:徐明(骨科在线骨肿瘤编委) 于秀淳 我要说
骨纤维异样增殖症(Fibrous Dysplasia of bone 简称FD),又名纤维结构不良。此病在我国的发病率约为百万分之10-30,占良性骨肿瘤的7%,国外发病率较低,为百万分之2-3。
骨纤维异样增殖症的病因不十分明确,基因突变学说,目前得到较为广泛的认可,研究发现,在大部分骨纤维异样增殖症病人的组织中,存在Gsa(存在于细胞膜上的G蛋白,即偶联蛋白)基因活性位点突变,使腺苷酸环化酶活性增强和细胞内的环磷酸腺苷增多,从而诱导大量异常纤维组织增生,同时也造成内分泌系统功能异常。
(一) 临床表现
1、症状与体征
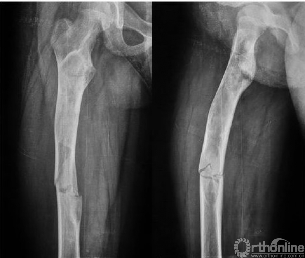
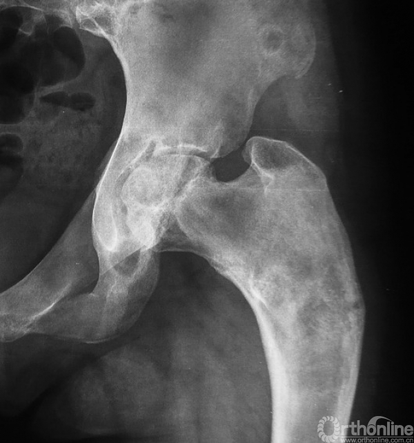
本病女性多见,男女发病率约为1.2:3,多在10岁左右发病,主要症状为轻微疼痛,局部肿胀及压痛。因症状轻微往往被忽略,多数病例是在以后查体或发生病理骨折时才被发现,骨折时疼痛可突然加重,肢体功能障碍,但骨折很少移位(图1),由于受累骨的坚固性受到明显影响,肢体可出现弯曲畸形,发生于股骨近端的常形成髋内翻,被称为“牧羊拐畸形”(图2)。

图1 股骨病理性骨折,没有明显的移位

图2 牧羊拐畸形
2、发病部位
骨纤维异样增殖症可发生于任何骨骼,但四肢长骨为多,有单发也有多发,多位于长骨的干骺端,可局限或向骨干扩散,股骨的近远端、胫腓骨近端是最常见的部位,其次有肱骨、肋骨、锁骨、骨盆、脊椎骨、颌面骨等,多发型骨纤维异样增殖症常累及一侧肢体,偶尔也可双侧发病。
临床上将骨纤维异样增殖症分为单发型、多发型和McCune-Albright综合征(MAS)。
(1)单发型:它是一个非常良性的过程,单发于某一骨内,是三型中最多见的,约占70%,股骨及胫骨近端多见。病变常侵犯干骺端,扁骨常见于肋骨、颅骨,症状轻微,在疾病的后期可发生相应的畸形。
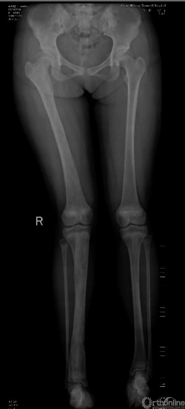
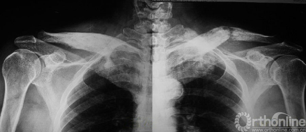
(2)多发型:占骨纤维异样增殖症的30%,病变可侵犯全身多数骨骼,常偏于一侧肢体骨,常以中线为界,严重的可造成肢体短缩(图3),偶尔也有双侧生长(图4)。

图3 右侧骨盆、股骨、胫骨多发病变、畸形

图4 左右锁骨同时发病,左侧并病理性骨折
(3)McCune-Albright综合征(MAS):发病率最低,约占3%,95%为女性,发病年龄较早,可在3-4岁发病,甚至在初生后即有症状,其特点为:多发性骨病损,皮肤牛奶咖啡斑,性早熟,称为MAS三联征。
(二) 影像学检查
X线检查
1、“磨砂玻璃状”改变:这是骨纤维异样增殖症最为常见的特征性X线表现(图5)

图5 左股骨呈“磨砂玻璃状”改变,看不到骨小梁,周围有硬化缘
2、囊状改变:在骨纤维异样增殖症中也比较常见(图6),其病理基础为肿瘤内有液化或出血,尤以股骨颈多见,表现为在磨砂玻璃的基础上出现单囊或多囊性膨胀透亮区。

图6 胫骨有明显的囊性变
CT检查
CT检查和X线相似,主要是磨砂玻璃状、囊性变和膨胀性改变,但影像更直观,特别是对骨皮质的破坏显示的更清楚(图7),为手术入路提供了一定的信息。

图7 CT示高、低密度混杂,有囊性变和硬化边缘
MRI检查
MRI表现比较复杂,根据病灶内所含组织的比例不同,表现也不同,多数表现为T1WI和T2WI呈不均匀的低信号,T2WI压脂像上呈中等信号(图8),病灶内有出血或积液时信号明显增高,MRI非常敏感,可早期诊断,并能清楚的确定肿瘤的范围,但对骨皮质的显示不清楚(图9)。

图8 MRI示T1和T2主要为低信号

图9 X线片显示不明显,而MRI可清楚显示
(三) 治疗与预后
本病的治疗要根据病人的发病年龄、受累部位和范围、以及病变的发展速度不同综合选择合理的治疗方案。
手术治疗:
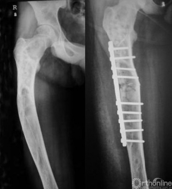
一般以为,无症状的多发骨纤不需要手术治疗,主要是观察和预防病理性骨折和畸形的发生,如发生骨折通过适当的外固定可愈合。成人单发性病变,明显影响骨的机械支持力,特别是下肢、并造成一定畸形的病人可选择手术治疗(图10)。对于病变范围大合并病理骨折、濒临骨折或畸形较重的多发骨纤,可直接使用髓内针固定,而不需要处理病变本身

图10 截骨矫形术
药物治疗:
1994年Liens等首先报告静脉滴注帕米膦酸二钠治疗多发性纤维结构不良获得确切效果后,二膦酸盐类药物得到广泛应用。2010年美国旧金山加州大学Lee等发表了颅颌面骨纤维发育不良治疗的临床指南,指南中指出应用二磷酸盐类药物,如阿仑膦酸、帕米膦酸或唑来膦酸可以减轻疼痛、控制病变进展。我们自2009年6月至2012年1月对24例多发性骨纤维结构不良给予二磷酸盐类药物治疗,效果良好(图11)。

图11 男性,10岁 单纯应用二磷酸盐类药物2年,病变无进展
参考文献
Liens D, Delmas PD, Meunier PJ. Long-term effects of intravenous pamidronate in fibrous dysplasia of bone. The Lancet, 1994, 343:953-954.
Lee J S, Fitzgibbon E J, Chen Y R, et al. Clinical guidelines for the management of craniofacial fibrous dysplasia. Orphanet Journal of Rare Diseases, 2012, 1(Suppl 1):3813-3818.



京公网安备11010502051256号