退变性颈椎后凸合并椎管狭窄:影像学评估
2017-10-11 文章来源:南京大学医学院附属鼓楼医院 钱邦平 邱勇 我要说
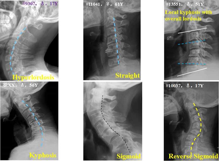
颈椎矢状面分型可包括:正常前凸型、过度前凸型、生理曲度变直型、后凸型、“S”型、反“S”型及整体前凸伴局部后凸型。退变性颈椎后凸合并椎管狭窄(Degenerative cervical kyphosis with stenosis,DCKS)指动力位平片上退变性颈椎疾病改变伴僵硬性颈椎后凸畸形,或MRI上显示颈椎管狭窄、颈脊髓压迫伴局部后凸畸形。(图1)

图1. 颈椎矢状面分型
一、DCKS的病理改变
Uchida等指出,DCKS的病理改变包括(1)颈椎关节突关节进行性脱位;(2)后凸顶椎椎体后缘压迫前移的颈髓;(3)脊髓前部受压的机械应力随后凸进展而逐步增加;(4)动力位、尤其是颈椎屈曲过程中后凸节段的不稳定加剧脊髓压迫与损伤。Breig等的一项微血管研究也表明,颈椎屈曲会造成脊髓给养血管的变扁变平,如果后凸畸形长期存在,就容易造成脊髓软化及萎缩的进展。
二、DCKS的影像评估
1. X线评估
(1)后凸
颈椎后凸除在中立位颈椎平片上评估外,还可在颈椎过屈位上评估。后凸角定义为后凸端椎椎体后缘平行线的夹角。(图2)

图2. 颈椎后凸评估(角度法)
除了用角度评估颈椎后凸程度外,还可以用距离来评估。Ishihara颈椎曲度指数定义:记颈3、4、5、6椎体后下缘至颈2椎体后下缘与颈7椎体后下缘连线距离分别为a1、a2、a3、a4,颈2椎体后下缘与颈7椎体后下缘连线长度为A,则Ishihara颈椎曲度指数=(a1+a2+a3+a4)/A,若颈3、4、5、6椎体后下缘在连线后方,记为负;反之,记为正。负值常表示颈椎后凸,正值表示前凸。(图3)

图3. 颈椎后凸评估(距离法)
(2)节段不稳
Uchida等指出在颈椎平片上满足以下三个条件之一可定义为颈椎节段不稳:中立位颈椎平片上椎体后下缘与相邻下位椎体后上缘距离≥3mm;过屈位颈椎平片上椎体下终板平行线与相邻下位椎体上终板平行线夹角≥10°;过屈位颈椎平片上椎体后上缘与相邻上位颈椎椎板前缘距离≤12mm。(图4)

图4. 颈椎节段不稳评估
(3)柔韧性
Song等指出颈椎后凸可分为柔韧型及僵硬型。柔韧型定义为过伸位颈椎平片上颈椎后凸较中立位有所恢复,僵硬型指颈椎后凸在过伸位上也基本无恢复。Abumi等指出颈椎后凸的柔韧性可以指导手术策略。对于柔韧型颈椎后凸,单纯后路手术就常可获得满意的后凸矫正;而对于僵硬型后凸,常需要前后路联合才能恢复颈椎前凸。(图5)

图5. 颈椎柔韧性评估
(4)椎管狭窄程度
Pavlov椎管-椎体比是中立位颈椎平片上常用来评估颈椎狭窄程度的指标,定义为颈椎管矢状径与同一节段椎体矢状径的比值。正常值为1,若比值小于0.82,则定义为颈椎管狭窄。(图6)

图6. 颈椎管狭窄程度评估
2. CT评估
(1)CT平扫
椎间盘层面CT平扫可以发现关节突关节增生、神经根管狭窄。对于神经根管狭窄严重的患者,常需要预防性椎间孔切开,以降低神经卡压风险。(图7)

图7. 颈椎轴位CT示关节突关节增生、神经管狭窄
轴位CT上还可以观察横突孔形态,异常的横突孔形态常提示椎动脉异常走行、蜿蜒曲折。(图8)

图8. 颈椎轴位CT示椎动脉走行异常
(2)CT脊髓造影
CT脊髓造影对于颈椎管狭窄或脊髓型颈椎病脊髓损伤部位的确切定位大有帮助。(图9)

图9. 颈椎CT脊髓造影帮助脊髓损伤定位
(3)CT三维重建
斜位CT三维重建能清楚显示椎间孔形态,对于判断神经根管有无狭窄帮助很大。(图10)

图10. 颈椎斜位CT三维重建显示椎间孔形态
3. MRI评估
(1)矢状位MRI
高信号
Li等meta分析显示,术前T2像脊髓高信号改变是颈椎术后预后不良的预测因素。高信号评估可以分为定性与定量评估。定性分析高信号可根据高信号亮度分为无高信号、模糊高信号(亮度介于正常脊髓与脑脊液之间)、明亮高信号(亮度与脑脊液相似)。(图11)

图11. 颈椎矢状位MRI定性分析高信号情况
高信号定量分析指标包括信号改变比、高信号长度、高信号面积等。信号改变比定义为0.05cm²高信号区域的平均信号值与0.3cm²C7/T1正常脊髓区域的平均信号值的比值。比值越大说明高信号改变越严重,脊髓损害、水肿、软化等越严重。(图12)

图12. 颈椎矢状位MRI定量分析高信号情况
椎管狭窄程度
矢状位压迫比定义为颈椎管狭窄最严重层面的矢状径的两倍与颈2及颈7层面矢状径之和的比值。该比值越小,反映颈椎管狭窄越严重,影响术后疗效。(图13)

图13. 颈椎矢状位MRI显示颈椎管狭窄程度
(2)轴位MRI
轴位MRI能清晰反映脊髓受压程度,常用指标包括脊髓受压最重处脊髓横断面积、脊髓受压最重处脊髓前后径与横径之比、脊髓后移距离等。(图14)


图14. 颈椎轴位MRI显示脊髓受压程度
(3)MRI血管造影
MRI血管造影能清晰显示椎动脉形态、走行,观察椎动脉有无狭窄、迂曲。(图15)

图15. 颈椎MRI血管造影示椎动脉迂曲
综上所述,DCKS患者术前全面的影像学评估,不仅有助于手术策略的制定,还能帮助预后的判断。
作者简介:

钱邦平
钱邦平,南京鼓楼医院脊柱外科主任医师、教授、博导。
现任国际脊柱侧凸研究会会员、欧洲脊柱外科协会会员、北美脊柱外科协会会员、AO Spine Faculty、国际脊髓学会委员、中华医学会骨科分会脊柱学组委员、中国医师协会骨科医师分会颈椎专业委员会委员、中国医师协会中国骨科菁英会副主席、中华医学会老年医学委员会脊柱学组委员、中华医学会运动医疗分会脊柱运动创伤专业学组委员、中国医药教育协会骨科分会脊柱畸形学组副组长。还担任《European Spine Journal》及《Asian Spine Journal》编委。

邱勇
邱勇,南京大学鼓楼医院骨科主任,教授,博导。
中国医师协会骨科医师分会副会长,中国康复医学会脊柱脊髓专业委员会主任委员, AO-Spine中国区主席,美国脊柱侧凸研究会会员(Member of Scoliosis Research Society). 《European Spine Journal》(欧洲脊柱外科)杂志编委、《中国脊柱脊髓杂志》副主编、《中国骨与关节外科》杂志副主编、《中华骨科杂志》副主编。



京公网安备11010502051256号