魏均强:骨盆髋臼微创病例
2017-12-12 文章来源:中国人民解放军总医院海南分院 作者:魏均强 我要说
该病例汇报获得海南省医学会骨科年会金手奖手术病例邀请赛一等奖
经魏老师允许特地与大家进行分享交流,该汇报详细的描述了骨盆微创治疗的流程,需要注意的事项和相关的手术技巧。手术只是其中一个部分,请大家不要忽略了重要的术前检查,相关术前准备,术后的治疗以及护理等情况,对整体病人进行综合的医治。最终达到较好的治疗效果。
病例基本信息
患者男性,52岁
主诉:摔伤致右腰、髋、肋部及臀部疼痛,活动受限8小时。
现病史
患者2017年9月17日中午11:00左右意外从3米高处坠落,右侧肢体先着地,患者当即感到右侧腰、髋、肋骨及臀部疼痛,无法起身活动,无昏迷、恶心、呕吐等其他伴随症状。
被工友送至乐东县第二人民医院就诊,当地建议到第二人民医院行手术治疗。速到我院急诊科就诊,行X线及CT检查。
结果显示:骨盆骨折、髋臼骨折、多发肋骨骨折及腰椎横突骨折,急诊收入院。
受伤以来,精神、饮食、睡眠差,大便未解,留置尿管、尿袋内为血尿。
否认既往基础疾病史。
病例基本信息
查体
患者平车入院,无法站立及行走。
急性病容,表情淡漠,被动平卧位,神志尚清,查体欠合作。
体温:36.8度,脉搏:128次/分,呼吸:25次/分,血压:118/61mmHg
全身皮肤未见明显破溃,双下肢轻度肿胀,右侧胸腰背部、髋部、臀部、会阴多处可见皮肤瘀斑,多处压痛、叩痛,骨盆分离、挤压试验阳性。
双下肢活动尚可,肛周及右下肢感觉麻木,双下肢足背动脉搏动好。
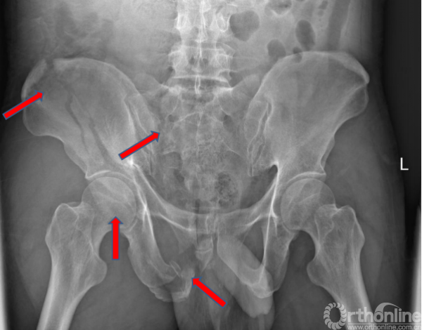
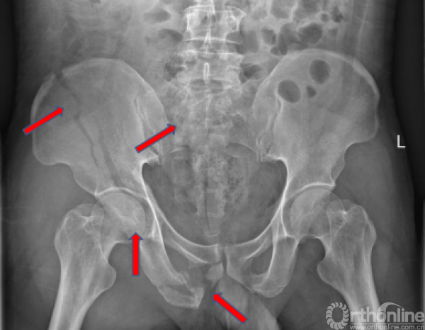
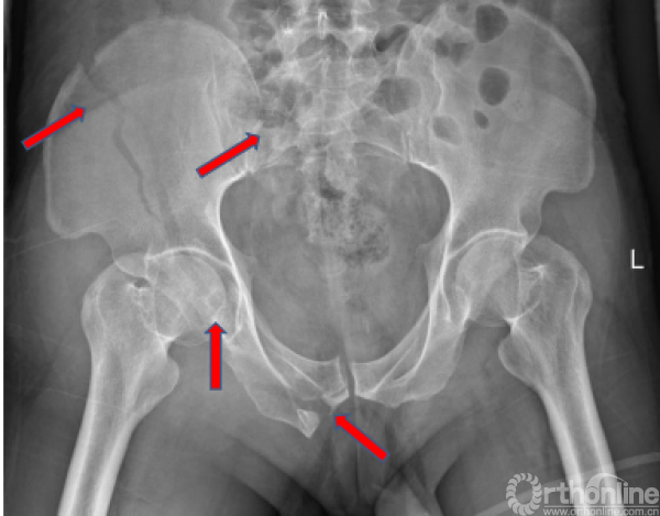
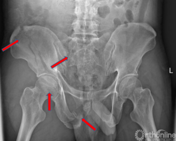
术前X线(2017.09.17)
骨盆正位、骨盆入口位、骨盆出口位



术前骨盆CT三维重建(2017.09.17)

术前骶尾椎CT三维重建(2017.09.17)

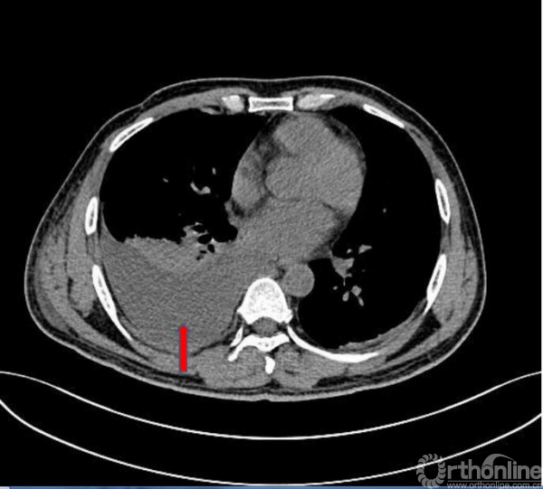
术前肺CT平扫(2017.09.17)

其他辅助检查(2017.09.17)
心电图
窦性心动过速(心率:123次/分)、心电图不正常ST-T、ST:V4-V6导联压低0.05mV、T:V4-V6导联低平。
胸片
双肺纹理增粗,右侧叶密度增高,建议胸部CT检查
床旁检查
右肾周边局部积液;肝周、脾周、肝肾间隙、肠管间隙积液;右侧胸腔少量积液
胸腹部CT检查
1.腹水;右侧侧锥筋膜和肾周筋膜增厚,腹膜后积血可能;腹腔脂肪间隙模糊;请结合临床;
2.右侧腰大肌异常改变,考虑挫裂伤可能;
3.右侧8-12肋骨、胸12-腰5椎体右侧横突、右侧髂骨翼骨折,周围软组织肿胀;
4.双侧胸腔积液,右侧明显。
化验结果(2017.09.17)
血常规
血红蛋白64g/L,RBC 2.09,WBC 10.25,N 0.861
血生化
ALT 22U/L,AST 51U/L,总蛋白37.2g/L,白蛋白19.2g/L,血钙1.78mmol/L,Glu 10.04, 肌酸激酶1660umol/L,肌酸激酶同工酶36.2u/L, CO2 14.9umol/L
动脉血气
PH 7.356,氧分压114.9,CO2分压26.3mmHg,实际碳酸氢根14.4mmmol/L,剩余碱-10.1mmol/L
炎症指标
CRP 1.26mg/dl,PCT2.760ng/dl,IL-6269pg/ml
凝血指标
D二聚体 150322ng/ml,INR 1.74,血浆纤维蛋白原0.78g/L
入院诊断
重度失血性休克;
骨盆骨折,右侧骶骨骨折;
右侧髋臼骨折;
右侧多发肋骨骨折,胸腔积液;
腰椎横突骨折;
胸腔多发脏器损伤,血尿待查?
风险评估和骨折分型

术前管理和准备(2017.09.17-2017.09.25)
相关科室会诊,排除胸腹腔内活动性出血及急诊开腹探查指征,因患者凝血指标异常和凝血指标、及时复查下肢血管超生。
一级护理、禁食水、肠外营养、持续低流量吸氧、雾化、床旁监测生命体征及血氧饱和度;
输血、补液扩容;
补充人血白蛋白及纤维蛋白原;
持续右侧股骨髁上骨牵引;
超声引导下右侧胸腔积液穿刺置管闭式引流;
胸带外固定胸廓;
动态复查相关检验,请相关科室会诊;
术前复查胸部、腹部CT及下肢血管超声。
术前状况(2017.09.25,Day8)
诉骨折部位疼痛较入院时稍缓解;
目前解大便正常,尿管已拔,小便尿色清亮、无明显血色及血凝块;
患者床旁监测生命体征:血压波动在113-122/69-74mmHg,体温正常,脉搏:76-80次/分,呼吸17-20次/分,血氧饱和度96-99%。
查体肛周及右下肢麻木较前缓解。
血常规
血红蛋白88g/L,RBC 2.90,WBC 11.19,N 0.777;
血生化
ALT 18.7U/L,AST 17.8U/L,总蛋白65.7g/L,白蛋白35.2g/L,血钙2.09mmol/L,肌酸激酶109umo/L,肌酸激酶同工酶11.0u/L;
凝血指标
D二聚体11352ng/ml,INR 1.22,血浆纤维蛋白原5.30g/L;
复查静脉超声
下肢静脉超生未见明显异常;双侧髂静脉超声未见异常。
术前计划

计划术式
X线监视下骶骨骨折经皮微创骶骨拉力钉内固定术+髂骨翼和髋臼骨折经皮微创空心螺钉内固定术(全麻)。
术中基本操作—体位和手术切口

骨折的正确分型
骨盆AO和Tile分型,以及基于骨折的受伤机制和稳定性Young and Burgess分型:APC LC(lc-II型)、VS、CM;髋臼两类十型(前柱合并前壁);骶骨骨折Dennis分型(II区)
骨折移位方向的准确判断(五种+混合)
基本类型:上移、外翻、内翻、旋前、旋后;以及混合型
各种术中透视体位的应用(十余种,适当组合)
骨盆正位、入口位、出口位、闭孔斜、髂骨斜、LC-2长轴位、闭孔出口位、髂骨入口位、骶髂关节正位入口位、髂骨翼正位、骶髂关节正位出口位、泪滴位、骨盆侧位等。

本患者操作要点
单侧骶髂螺钉

骨盆侧位
骨盆入口位
骨盆出口位
髂骨翼螺钉

髂骨斜位
髂骨翼顶视位
LC-2螺钉

泪滴位
髂骨翼顶视位
髂骨斜位
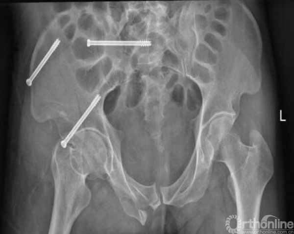
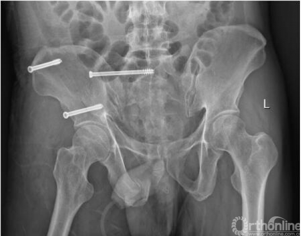
术后复查影像(2017.09.28、2017.10.05)




术后x线(2017.09.17)
骨盆正位、骨盆入口位、骨盆出口位



术后CT影像(2017.10.05)

术后治疗和随访
术后给予抗生素消炎、利伐沙班预防血栓、氟比洛芬酯和口服镇痛药物、营养支持等对症治疗;
复查影像资料结果回报后,嘱患者适当功能锻炼,可于病床上早期翻身、坐起等,两周拆线后出院;
门诊定期复查,患者为骨盆环单侧损伤,术后六周在助行器辅助下下地行走锻炼,本例骨盆髋臼的微创手术以极小手术创伤,获得了优良的治疗效果!

患者2 随访(C2型):骶骨螺钉+外固定架+小切口钢板

患者3 随访(C2型):骶骨螺钉+耻骨支螺钉+小切口钢板

患者4 随访(B2型):经皮骶骨螺钉+INFIX前环内固定架

患者5 随访(骨盆LC-2损伤+髋臼):经皮LC-2螺钉+前柱螺钉

患者6 随访(U型骨折脱位):经皮骶髂贯穿螺钉

患者7 随访(C2型):经皮骶骨螺钉+前柱螺钉+外固定架

作者简介:
魏均强,男,解放军总医院海南分院骨科副主任医师,医学博士。擅长:四肢骨、脊柱、关节骨折等创伤的早期、晚期修复和微创治疗,军队训练伤和职业病的防治。
在复杂骨盆和髋臼骨折、脊柱骨折、关节周围骨折和骨干骨折、跟腱断裂等战创伤的微创治疗方面达到国内先进水平,在海南省内首次开展骨盆髋臼骨折、跟腱断裂等多项微创治疗技术;对多种骨折不愈合和延迟愈合的基础研究和系统规范诊治达到国内先进水平。
本文转载自骨秘籍



京公网安备11010502051256号