全关节镜下胫骨Inlay技术重建PCL
2018-01-03 作者:四川大学华西医院:陈刚、李箭 我要说
骨科在线版权所有,如需转载请注明来自本网站.
导语:膝关节后交叉韧带断裂是临床常见的运动损伤,若后向松弛程度超过II度多需要行手术重建治疗。重建的方法主要有transtibial(经胫骨隧道)和tibial inlay,后者主要采用切开手术,创伤较大,显露困难,有较大的血管神经损伤风险。为避免上述问题,简化手术操作,结合目前国际国内几项类似研究,四川大学华西医院运动医学中心设计了一套全关节镜下inlay重建后交叉韧带的方法。
对象与方法
研究对象:
●8例完整新鲜冷冻(-80°)成年膝关节标本
●其中左侧5例,右侧3例
●操作前24小时室温解冻
器械设计及制作:
●了解PCL的解剖数据
●根据数据设计包含3部分的胫骨端开槽器
●绘制设计图


手术器械准备:

制备带骨块的股四头肌腱移植物:

开放操作——2例标本


全关节镜下操作——6例标本



a 清理PCL胫骨止点;b 钻入定位针;c 导向孔;d 刀模和连接杆结合;e 刀模开槽;f 骨槽;g 引入移植物;h 骨块压配;i 固定后的状态

应力测试
●艾德堡NK-500推拉力计
●推力设定为300N
●分别于膝关节屈曲30°,60°,90°从前往后推压胫骨结节
●X光透视及镜下观察
影像学检查
●8例均立即行X线检查
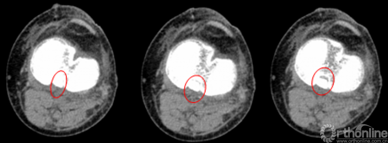
●6例全镜下操作标本行CT及MRI检查
●检验开槽位置、骨块稳定性及移植韧带走行是否合适
结果
器械设计及制备

a 组合形态;b 刀模;c 连接杆;d 滑锤
操作耗时

应力测试结果

a 屈曲60°侧位片
b 后向300N应力侧位片
*红线表示股骨髁后缘线
*黄线表示胫骨平台后缘线

*连续镜下观察移植韧带无明显拉伸
X线片

CT

MRI

讨论
全镜下胫骨Inlay技术重建PCL的优势
●避免“killer turn”
●无需特殊体位,手术时间短
●无需后方切口,保护后方关节囊
●监视下,血管神经损伤风险相对较小
●手术创伤小,恢复快
PCL的解剖特点及器械设计思路
●根据PCL解剖特点和数据设计器械
●长方形开槽更利于抗旋及固定


操作注意事项
●刀模的尺寸是否与患者体型相适应
●止点纵轴的走行方向及定位
●控制开槽深度
●合理修整骨槽
●固定技术


器械及操作流程改进


器械及操作流程改进


创新与不足
●全新设计的器械操作简单、快速、可靠
●试验标本量不够大,力学测试不够完善
●缺乏临床试验,长期随访和对比试验
结论
全新设计的全镜下Inlay重建PCL手术器械及操作流程简单可行,器械还可进一步优化设计。
作者简介:

陈刚,男,中共党员,医学博士,副教授。国际关节镜、膝关节外科、骨科运动医学学会(ISAKOS)会员,亚太膝关节-关节镜-运动医学会(APKASS)会员。2005年毕业于四川大学华西临床医学院(原华西医科大学),获医学硕士学位;2014年于四川大学华西临床医学院获运动医学博士学位。目前担任华西医院骨科副教授,本科生及住院医师导师。曾两次赴美国进修微创外科技术,擅长关节镜微创外科,主攻下肢运动创伤和复杂关节疾病(髋,膝,踝)。目前担任中国医师协会骨科医师分会足踝专业委员会青委,中国西部运动医学关节镜联盟会秘书,四川省医学会运动医疗专委会秘书,四川省医学会骨科专委会关节镜学组秘书。先后在国内外知名学术期刊发表论文二十余篇,获得发明专利2项,实用新型专利1项。参编教材及专著4本。主研或参研华西医院、四川省及国家级科研课题6项。作为主要成员之一,研究成果获2016年四川省医学科技一等奖。

李箭,四川大学华西医院骨科副主任,运动医学中心主任,教授,主任医师,博导。
学术任职:四川省医学会运动医疗专业委员会首届及候任主任委员,中华医学会运动医疗分会常务委员,中华医学会组织修复与再生医学分会委员,中国医师学会骨科医师学会骨科再生医学工作组委员,中国医师协会骨科医师分会运动医学专业委员会副主任委员,中国医药教育协会肩肘运动医学专委会常委,中国医师协会内镜分会常委,中国中西医结合骨伤科分会运动损伤与关节镜工作委员会副主任委员,亚太膝关节、关节镜及运动医学学会(APKASS)中国区常务委员,“2017ISAKOS-CHINA”(国际关节镜,膝关节,骨科运动医学学会——中国)委员会秘书长兼西南区主任委员,中国健康促进基金会骨病专项基金运动损伤康复工作委员会副主任委员,国际矫形与创伤外科学会(SICOT)中国部运动医学学会第一届委员会常务委员,中国肢残康复专业委员会运动损伤康复学组常务委员,中华人民共和国卫生部内镜专业技术考评委员会骨科专科内镜专家委员会常务理事,中华医学会骨科专委会四川省分会关节镜学组组长,中国医药生物技术协会骨组织库分会和中华医学会组织修复与再生分会软骨再生与康复专业学组副组长、四川省骨科质量控制中心专家委员会委员,成都市医学会运动医学专业委员会副主任委员,海峡两岸医药卫生交流协会骨科专家委员会委员,四川省首届健康科普专家,北美关节镜学会(AANA)以及国际运动医学、膝关节与关节镜学会(ISAKOS)会员,美国《Arthroscopy》杂志中文版副主编,骨科在线编辑委员会关节镜与运功医学专业主编,《中国微创外科杂志》常务编委,《中国修复重建外科杂志》、《中国骨伤》等杂志编委,《中华骨科杂志》特约审稿人,西南司法鉴定中心、西南关节病诊治中心等专家库成员,四川省温江区人大代表。
科研教学成果:申报、参与并完成国家和省级科研课题9项;在国内外各级期刊共计发表论文100余篇,SCI论文30余篇;主译出版《膝关节多发韧带损伤》,担任《髌股关节疾病的诊断与治疗》、《关节外科手术操作与技巧》、《骨质疏松症的康复治疗技术》、《骨关节炎康复指南》等专著的副主编,参编《日间手术》、国家规划教材《外科学》等共14部专著。申报并获得专利8项。2001年获四川省科技进步奖,2002年获全国医药卫生优秀成果奖,2010年获四川省卫生厅医药卫生系统先进个人,2011年国家科技部、卫生部“恩德思医学科学技术杰出成就奖”,中华人民共和国科技进步奖一等奖。2013年荣获成都市“妙手仁心首届金口碑好医生”。2016年获四川省医学科技奖一等奖。2014年获“探究式-小班化”教学质量优秀奖”,2017年获“四川大学教学成果奖-一等奖”。“首创采用同种肌腱作为缝合材料修复半月板;首次采用可吸收螺钉联合张力带这种“非金属固定技术”治疗髌骨骨折和前、后交叉韧带胫骨止点撕脱骨折。多次对西部地区关节镜外科医生进行培训,促进西部地区关节镜外科的发展。积极开展新技术,取得了良好的效果,多次进行学术交流,引起了国际同行的关注。
每年手术达1600余台,每周门诊量130-150人次。已培养毕业的硕士研究生、博士研究生共40余名。



京公网安备11010502051256号