AOJ:下肢畸形应用不同截骨术后对全膝关节置换的影响
2018-04-20 文章来源:Annais of Joint,2018(10 April 2018) 我要说
骨科在线版权所有,如需转载请注明来自本网站.
“膝关节骨关节炎阶梯治疗病例园地”是一个供医生们讨论疑难病例、进行经验交流、分享手术成果、共享学术资源的平台。点击下图,可进一步了解。
http://api.orthonline.com.cn/post
原文标题:Different osteotomy solutions influence future total knee arthroplasty in patients with multiapical lower extremity deformities
原文作者:Jie Xu, Yingbin Zhang, Deng Li, Yulin Huang, Zhiqing Cai, Ruofan Ma
原文刊载于:Annais of Joint
原文链接:http://aoj.amegroups.com/
背景:尽管截骨术实现了对下肢畸形的矫正,但有时全膝关节置换术(TKA)是不可避免的,而胫骨截骨手术可能会影响全膝关节置换术。本研究的目的是探讨不同截骨方法,单水平或多水平截骨术治疗下肢复杂畸形后,对TKA的影响。
方法:对一名25岁有下肢畸形的女性患者进行研究。用单水平截骨术进行畸形纠正。应用后稳定型的高屈曲假体进行TKA术前计划。无论是实际的单水平截骨还是模拟的多水平截骨,都应用了二维以及三维的研究方法。对具体命名的参数进行测量。
结果:旋转中心的位置,左侧为距离膝关节关节面17cm,右膝为12cm。畸形矫正评估:胫骨近段内侧角(MPTA)左侧由术前76°到术后87°,右侧由术前72°到术后96°。胫骨远端外侧角:左侧由术前109°到术后101°,右侧由术前98°到术后90°。通过TKA术前计划时,不论是单水平截骨术后还是多水平截骨术后,双侧胫骨截骨量都不同。因此所选择的的胫骨假体型号也也不同。由于胫骨解剖轴的改变,在单平面截骨术后,右侧胫骨假体柄更容易与胫骨近端外侧皮质发生撞击。
结论:下肢畸形严重的病人进行矫形术后对远期的全膝关节置换手术有影响。一个充分而优秀的截骨术前计划,不仅是为了当时畸形的矫正,更需要为后续成功的TKA做好准备。
介绍
下肢机械轴与旋转畸形导致膝关节异常应力传导。随后引起骨关节炎,通过诱发疼痛、触发额外的畸形和限制日常活动来影响生活质量。被Jackson等人首先应用的胫骨近端截骨术,是治疗年轻患者下肢畸形的一种外科技术。对于纠正下肢畸形的手术有:股骨远端外侧闭合截骨术,股骨远端内侧开放楔形截骨术,胫骨近端内侧开放楔形截骨术,胫骨近端外侧闭合楔形截骨术,以及联合截骨术治疗复杂畸形。成功的截骨术可使患者畸形完全恢复原位,改善关节功能,减轻疼痛。它也可能延迟全膝关节置换术(TKA)的需要,甚至有助于避免TKA手术。因此,是否应该进行解剖学上的完美矫正,或考虑到未来可能发生的TKA而减少纠正的幅度,仍然是一个悬而未决的问题。此外,目前尚不清楚哪一种类型的截骨术更有益。为了回答这些问题,我们对有下肢畸形患者及随后的TKA进行了模拟。
研究对象为25岁的女性,来自健康的无血缘关系的夫妇,没有家族病史,来本院时,下肢有严重畸形。这种畸形从2岁开始就有了进展。
这项研究得到了机构审查委员会的批准。签署了知情同意。术前评估包括病史收集和体格检查。如图1所示,经修正的机械轴绘制在全长片上。冠状面和矢状面上的关节线呈现出典型的机械和解剖轴方向。Paley的研究被用来作为命名和标准值的参考。关节线是一条连接髋、膝和踝的连接线。这条连接线与机械或解剖轴之间的夹角称为关节倾角。角度的命名根据测量的轴线、机械(m)或解剖(a)来命名;它们可能是由内侧(M)、外侧(L)、前侧(A)或向后(P)决定的。一个角度可能是基于股骨(F)或胫骨(T)的近端(P)或远端(D)关节方向。例如,机械轴股骨远端外侧角(mLDFA)、解剖轴LDFA (aLDFA)和解剖胫骨后倾角 (aPPTA)。

图1 关节角度命名法,以及相对于冠状面和矢状面机械轴的正常值。aMFA,股骨机械轴和解剖轴夹角;MA,机械轴;mLDFA,股骨远端外侧机械角;aLDFA ,股骨远端外侧解剖角。aFTA,解剖学上的股胫角;MPTA,胫骨近端内侧角;LDTA,胫骨远端外侧角;PPTA,胫骨近端后倾角;ADTA,胫骨远端前倾角。
如前所述,关节方向角,如胫骨近端内侧角(MPTA)和LDTA胫骨远端外侧角。同时,对胫骨的前后侧x线进行了测量。
以负重全长片为指标,测量冠状面和矢状面畸形(图2)。下肢的关节角如表1所示。

图2 在冠状面和矢状面上测量的关节方向角。(A)冠状面的X线;(B)冠状面下肢轮廓;(C)矢状面X线图;(D)矢状面下肢轮廓。
表1 下肢生理性关节角度
术前计划
该患者mLDFA和MPTA是异常的。正常价值MPTA是87°。我们从胫骨中点画了胫骨远端解剖轴,其与胫骨轴线平行。LDTA是踝的水平线与胫骨机械轴的夹角。患者的LDTA也是异常的,正常值为90°。PMA(胫骨近段机械轴)和DMA(胫骨远端机械轴)线之间的交点称为角度旋转中心(CORA)。Mag的大小是在近端和远端轴线之间的夹角。该患者Mag左:32°和右31°。因此,目前的病例表现为多角畸形。基于此,第三个机械轴(绿色,图3B)被绘制为中骨干的轴线,其与PMA和DMA线的交点被标记为近端和远端CORA,在左侧,近端远端CORA分别为21°和11°的Mag值。
单或多水平截骨术可用于矫正多角畸形。在单水平截骨术中,PMA和DMA线相交线在股骨和胫骨中心的外侧。对左侧和右侧胫骨分别进行32°和31°的截骨矫形术(图 3C )。然后,踝关节和膝关节对齐恢复了正常的方向,而解剖轴存在畸形。在多水平截骨术中,在中轴两侧确定了两个CORA。机械轴由两截骨角度纠正,左侧为21°和11°,右侧为20.5°和10°。解剖的轴被重新排列(图 3D) 。

图3 股骨和胫骨畸形。单水平和多水平截骨均选用闭合截骨。(A)单水平截骨术治疗胫骨畸形的术前计划;(B)多水平截骨术治疗胫骨畸形的术前计划;(C)模拟单水平截骨术后图像;(D)模拟多水平截骨术后图像。
手术及术后评估
所有手术均有同一组医生完成。由于不愈合率较高,故未选择多层截骨术。完成闭合楔形截骨术。截骨面垂直于长骨的长轴。同时行斜行腓骨截骨术。采用外固定架,增加了胫骨外侧稳定性。术后直到最近一次就诊,共随访了13个月。术后两周允许部分负重。对膝关节和踝关节的功能进行系统性锻炼。每2个月随访一次,直到外固定架去除。然后,患者需要分别在3、6和12个月返回进行关节ROM的评估。对关节方向角和机械轴、解剖轴的术后评估采用x线摄影。
TKA术前计划--二维
二维术前计划基于下肢负重全长片。应用后稳定的高屈曲假体(NexGen, Zimmer, Warsaw, USA) 的模板进行了术前计划。模拟的手术方法与前述一致。
TKA术前计划--三维
获得髋关节到踝关节的多层螺旋CT扫描(Sensation 64, Siemens Medical Systems, Germany) DICOM数据进行3D重建。操作窗口包括三个平面(MPR)视图(冠状面、矢状面和水平面);所有重建的图像都可以同时进行编辑和评估。数字重建的影像学(DRRs)在各个方向上都能显示出来。Tka术前计划允许外科医生将假体“导航”到合适的位置,并可以动态改变假体的尺寸。三个参考中心(髋、膝和踝)可以在同一个平面上同时采集。在重建和识别机械轴后,tka术前计划根据常规原则确定不同组件的尺寸和位置。股骨组件在冠状面上与股骨的机械轴一致,在矢状面靠近前外侧皮质,在水平面上沿着通髁线调整。胫骨组件在冠状面与胫骨的机械轴垂直,矢状面与胫骨的解剖轴垂直,水平面上中心在解剖轴胫骨结节中内1/3。采用外科同髁轴和Whiteside线作为韧带平衡和髌骨轨迹的参考。
结果
下肢外观有所改善。CORA的平均位置如下:左侧在膝关节方向线上17厘米,右侧在膝关节方向线上12 cm。畸形的评估修正,MPTA改善,左侧由76°-到87°,右边由72°到 96°(Figure 4A,B and Table 2) 。mLDTA,左边从109°到 101°,右边从98°到90°(Figure 4A,B and Table 2) 。
表2 术前和术后参数

L,左;R,右;MA,下肢力线(髋膝踝);mMPTA,胫骨近端内侧机械角;mLDTA,胫骨远端外侧机械角;PPTA,胫骨近端后倾角;ADTA,胫骨远端前倾角。

图4在冠状面和矢状面测量的术后关节方向角。(A)冠状面X线;(B)冠状面下肢轮廓;(C)矢状面X线;(D)矢状面下肢轮廓。
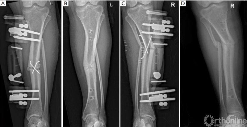
矫正后的双侧力线较术前均明显改善(表 2) 。在最后一次就诊时,PPTA和ADTA接近正常值,得到了明显的矫正(图 4C,D, 表 2) 。在上次访问中,双侧骨质均已愈合(图 5) 。

图5 术后影像学随访提示骨愈合。(A)左下肢术后X线;(B)术后11个月骨愈合;(C)右下肢术后X线;(D)术后13个月右侧骨愈合。
直到最近一次随访,膝关节踝关节的活动度都与术前一致。从初次手术到完全负重的时间为3个月。无疼痛或其他并发症,如神经损伤、骨筋膜室综合征、髌骨低位、骨髓炎、延迟创面愈合、针道感染等。
对于实际的单水平截骨根据术后影像进行假体的调整(图6)。对于多水平截骨的在采用模拟图像后选择相应的假体。股骨远端和胫骨近端截骨量与相应的假定机械轴平行(表 3) 。选择适当大小的股骨和胫骨侧的部分,使其覆盖没有超出皮质。

图6 二维TKA术前计划。(A)在术后X线上使用相应的模板对每侧进行大小调整;(B)在多水平截骨术后的模拟图像中,使用相应的模板对每一侧进行尺寸大小的测量。
表3 全膝关节置换术术前计划测量结果

单水平截骨的双侧均行3Dtka术前计划。三维重建后,胫骨平台有3°后角(图7) 。所使用的种植体尺寸和3D解剖模型都被描述。

图7 单水平截骨术后三维模拟TKA术前计划。(A)下肢的冠状面重建;(B)右下肢的矢状面重建;(C)右下肢的矢状面重建;(D)左侧胫骨平台,从尖端到截骨面为11毫米;(E)右侧胫骨平台,从尖端到截骨面为14毫米;(F)左胫骨切面;胫骨组件使用3号;(G)右胫骨切面,胫骨组件使用2号。
三维分析显示,在右侧胫骨平台内侧最高点到截骨面的距离为14毫米,已进行了校正。左侧为11mm。由于胫骨解剖轴与机械轴成角,在右侧有可能发生胫骨假体柄与胫骨外侧皮质的撞击。
讨论
膝关节骨关节炎患者有时会伴有关节外畸形。有一些是骨折后遗症,治疗效果差。大多数研究都倾向于将关节置换和截骨术结合起来。治疗策略在膝关节骨关节炎患者中是不一致的。在下肢的内翻或外翻畸形导致的机械轴改变加速了膝关节退化,并会加重畸形。纠正这种畸形对年轻人来说是非常重要的。本病例可以通过单水平或多水平截骨治疗。CORA31°-32°的胫骨畸形可以用单水平截骨来纠正(图 2) 。所有受影响的关节方向都恢复了正常功能。然而,骨延迟愈合及不愈合应当受到重视。外侧闭合楔形截骨术由于能有双侧骨干区域重叠,其愈合率较高。而内侧开放楔形技术需要自体植骨或同种异体植骨。同时外固定架在本病例中得到了应用。因不愈合率高,内侧开放楔形截骨不适用与大角度纠正。即使如此,本病历左侧愈合时间为11个月,而在术后13个月的最后随访中,右侧骨尚未完全愈合。选择多水平截骨术也可实现机械轴的调整。
在多水平截骨术中,不愈合的发生率是否增加仍是未知的,尽管选择具有最佳骨愈合潜力的区域内,通过干骺端截骨术可以将不愈合的风险降至最低。因此,截骨方案的制定和实施也受到了阻碍。如上所述,本病例股骨也有畸形。然而,由于胫骨截骨术后的延迟愈合,该患者尚未接受第二阶段的股骨截骨术。同时,在右侧胫骨截骨术中,我们增加了矫正的幅度,尽可能补偿股骨畸形引起的下肢机械轴偏离。然而,胫骨平台的倾斜会使未来的TKA更加困难。
由于退变需行TKA是另一个重要问题。序列差是导致截骨失败的主要原因,而骨和韧带的超负荷,以及随之而来的骨丢失、骨折和韧带不稳定也可以导致截骨失败。在冠状位,胫骨中心应尽可能与胫骨机械轴对应,对于胫骨恢复更多的生理活动,甚至为随后行TKA做好准备可行的。根据以上理论,胫骨截骨时需要增加胫骨平台的前缘截骨量,从而达到截骨平面与机械轴垂直。在这种情况下,左侧胫骨近端截骨量为11毫米。在右侧,由于高原的倾斜,截骨量达到14毫米。由于胫骨的锥状结构,平台截骨截除更大的厚度导致胫骨平台更小的区域,这需要更小的胫骨组件。较小的胫骨组件在左侧使用,相应的股骨组件的匹配也受到限制。
但是,截骨量的增加将使屈伸不平衡。更重要的是,如果截骨量增加增加,韧带损伤的概率会更高。具体来说,顶点侧副韧带松弛,对侧韧带则需要松解,屈伸均不能达到韧带平衡。大家一致认为,关节内截骨只能纠正少量畸形,股骨可纠正< 20°,胫骨可就正< 30°的畸形。我们都知道,后稳定假体的植入只允许轻微的韧带松解。对于韧带松弛,或侧副韧带不稳定,髁限制性假体是最有效的选择。同时,在更严重的情况下,最好采用旋转铰链膝关节假体。对于受约束的髁状膝关节假体和铰链膝关节假体,需要在髓腔内防止延长柄。然而,当解剖轴呈之字形,尤其是单层截骨术后,假体植入更加困难。尽管在目前的假体中已经有了延长柄来解决此类问题,但在这些病例中仍很难将其放入髓腔内。对于韧带损伤的情况,使用胫骨杆延伸的铰链膝关节,但由于在胫骨近端外侧的胫骨皮质上有撞击,而不能使用胫骨杆延伸的铰链膝关节。这是很严重的情况。
总结
综上所述,我们试图通过对下肢畸形及随后的TKA进行截骨计划的模拟来确定治疗下肢畸形病例的各种因素,并希望目前的治疗方案在将来治疗关节退化时不会让人无从下手。截骨矫形术并不是治疗下肢畸形患者的终点。对于目前的病例,我们通过了解骨的异常解剖,以矫正畸形。除了骨愈合,由于退变所需行TKA的情况也需认真考虑。骨量、骨愈合、软组织平衡、生物力学、关节运动、肢体外观、假体类型,均与此相关。一个充分和优秀的术前手术计划是必要的,不仅是为了达到目前的校正,而且还为了远期行TKA及避免潜在的并发症。研究中也存在局限性:(1)由于患者的选择,我们只关注胫骨截骨,而未考虑进一步的股骨截骨术;(2)没有对肌力和韧带平衡进行生物力学分析;(3)虽然TKA模拟在双侧下肢畸形的矫正程度不同,但只分析了冠状面和矢状面机械轴的变化,并没有考虑到旋转畸形。
译者简介:

王现海,北京大学临床骨科博士,主任医师,首都医科大学昌平教学医院骨科副主任。北京医学会骨科分会微创学组委员、老年创伤学组委员,北京市昌平区残疾鉴定、工伤鉴定专家组专家。专业特长:膝关节骨性关节炎的阶梯治疗,关节、脊柱疾患的诊断及治疗,老年骨与关节损伤的诊断及治疗,骨与软组织肿瘤的诊断及治疗。



京公网安备11010502051256号