如何通过颈椎截骨使“颌触胸”患者昂首向前?
2018-05-02 文章来源:骨科在线脊柱专业副主编 钱邦平教授 作者:南京大学医学院附属鼓楼医院 钱邦平 邱勇 我要说
骨科在线版权所有,如需转载请注明来自本网站.
颈椎截骨是治疗颈胸段后凸畸形的有效技术,其适应证:包括重度颈胸段后凸畸形致平视功能受限、脊柱后凸畸形经胸腰椎截骨术后平视功能仍受限及颈胸段近端交界性后凸畸形需再次手术。

1. Mehdian S, et al. A safe controlled instrumented reduction technique for cervical osteotomy in ankylosing spondylitis [J]. Spine, 2011, 36(9): 715-720.
2. Cecchinato R, et al. Osteotomies in proximal junctional kyphosis in the cervicothoracic area [J]. Eur Spine J, 2015, 24(1): 31-37.
1. 颈椎截骨矫形手术历史演变

1. MR. U. Osteotomy of the cervical spine; report of a case of ankylosing rheumatoid spondylitis [J]. J Bone Joint Surg Am, 1958, 40(4): 830-840.
2. Simmons EH. Kyphotic deformity of the spine in ankylosing spondylitis. [J]. Clin Orthop Relat Res, 1977, 128: 65-77.
3. Mcmaster MJ. Osteotomy of the cervical spine in ankylosing spondylitis [J]. J Bone Joint Surg Br , 1997, 79(2): 197-203.
4. Tokala DP, et al. C7 decancellisation closing wedge osteotomy for the correction of fixed cervico-thoracic kyphosis [J]. Eur Spine J, 2007, 16(9): 1471-1478.
5. Tan LA, et al. Anterior cervical osteotomy: Operative technique [J]. Eur Spine J, 2017, 27(1): 39-47.
2. 颈椎截骨术分类
2013年Ames等根据椎体切除及软组织松解范围将颈椎截骨分为7级,为更高效和客观地沟通截骨技术提供了一种工具,截骨难度随级别升高而增加:1级为部分关节突切除,2级为全关节突切除或Ponte截骨,3级为椎体次全切除术,4级为钩椎关节至横突孔完全切除,5级为C7~T1伸展性截骨,6级为闭合楔形截骨即PSO,7级为全脊椎切除术即VCR。

1. Ames CP, et al. A standardized nomenclature for cervical spine soft-tissue release and osteotomy for deformity correction: Clinical article [J]. J Neurosurg Spine, 2013, 19(3): 269-278.
2.1 前路颈椎截骨术(anterior cervical osteotomy, ACO)
ACO可用于冠状面和矢状面畸形的矫正。截骨时,暴露截骨部位后分离颈长肌、钩突,在截骨椎上下两个椎体置入Caspar撑开器,侧方骨切除时注意保护椎动脉,椎间孔切开减压,向患者前额轻加外力的同时使Caspar撑开器撑开使后凸矫正,截骨部位自体骨移植,钢板螺钉固定后逐步缝合截骨面。该技术的潜在并发症为医源性脊髓损伤及术后的轴性疼痛。

1. Tan LA, et al. Anterior cervical osteotomy: Operative technique [J]. Eur Spine J, 2017, 27(1): 39-47.
2.2 后路颈椎截骨术
2.2.1 C7-T1 伸展性截骨
C7-T1伸展性截骨适用于颈胸段单纯后凸畸形患者。手术时切除C7全部椎板、C6椎板下半部分及T1椎板上半部分,扩大椎间孔,切除部分椎弓根;调整Mayfield头架,伸展患者颈部直至C7腹侧骨折完成矫形;双侧置入预弯连接棒,抱紧加压,闭合截骨面完成矫形。此术式前纵韧带完整性遭到破坏,椎体易发生脱位;食管和气管易发生移位,造成吞咽和呼吸困难;截骨椎前方椎间隙易形成假关节。


1. Mehdian SMH, et al. Cervical osteotomy for ankylosing spondylitis: An innovative variation on an existing technique [J]. Eur Spine J, 1999, 8(6): 505-509.
2. Mcmaster MJ. Osteotomy of the cervical spine in ankylosing spondylitis [J]. J Bone Joint Surg Br, 1997, 79(2): 197-203.
3. 钱邦平, 等. 截骨矫形术治疗强直性脊柱炎颈胸段畸形的疗效分析[J]. 中华骨科杂志, 2018, 38(4): 204-211.
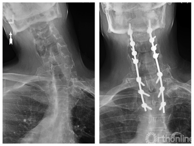
2.2.2 C7 经椎弓根闭合楔形截骨( C7 pedicle subtraction osteotomy, C7 PSO )
C7 PSO的优点在于生物力学稳定性强,前方组织撕裂性损伤和截骨椎脱位可能性降低,神经并发症发生率较C7-T1伸展性截骨低。适用于前纵韧带严重骨化及复杂双平面颈胸段畸形患者。手术时后路暴露截骨椎上下至少三个椎体,颈胸椎预固定后完全切除C7椎板、C6椎板下半及T1椎板上半部分,临时固定一侧,另一侧去除截骨椎内大部分松质骨,并将椎体后壁推向椎体去除松质骨后形成的腔室内并保持截骨前壁的连续性。一侧固定后同法处理对侧。椎体两侧截骨完成后,上抬患者头部造成C7压缩骨折以矫正后凸畸形。对于合并侧凸畸形者则采用不对称截骨。


1. Tokala DP, et al. C7 decancellisation closing wedge osteotomy for the correction of fixed cervico-thoracic kyphosis [J]. Eur Spine J, 2007, 16(9): 1471-1478.
2.钱邦平, 等. 截骨矫形术治疗强直性脊柱炎颈胸段畸形的疗效分析[J].中华骨科杂志, 2018, 38(4): 204-211.
2.2.3 非对称C7经椎弓根闭合楔形截骨(非对称C7 PSO)
2017年Theologis等报道一例颈部冠状面畸形的患者,采用非对称C7 PSO进行矫正。非对称C7PSO 操作过程与C7PSO类似,不同之处在于凸侧的截骨量多于凹侧。该术式适用于颈胸段冠状面畸形的矫正。


1. Theologis AA, et al. Asymmetric C7 pedicle subtraction osteotomy for correction of rigid cervical coronal imbalance secondary to post-traumatic heterotopic ossification: A case report, description of a novel surgical technique, and literature review [J]. Eur Spine J, 2017, 26(1): 141-145.
2.2.4 T1经椎弓根闭合楔形截骨(T1 PSO)
T1 椎体较大,理论上截骨时允许矫正角度大;截骨后接触面积大有助于脊柱稳定;T1截骨后损伤C8神经根的可能性较低。但T1 PSO需要切除双侧第一肋,增加了手术难度及时间。

1. Tobin MK,et al.T-1 pedicle subtraction osteotomy for the treatment of rigid cervical kyphotic deformity:Report of 4 cases[J].J Neurosurg Spine,2017,27(5):487-493.
2.3 前后路联合截骨技术
2015年Kim等报道前路联合多节段Smith-Peterson截骨技术(Smith-Peterson osteotomy, SPO)治疗颈胸段后凸畸形。手术时先行前路截骨,后路再行多节段SPO。前后路联合截骨手术时间较长,失血量较多,吞咽困难等与食管相关并发症发生率高。

1. Kim HJ, et al. Cervical osteotomies for neurological deformities [J]. Eur Spine J, 2015, 24(1): 16-22.
2. Mcafee PC, et al. One-stage anterior cervical decompression and posterior stabilization. A study of one hundred patients with a minimum of two years of follow-up [J]. J Bone Joint Surg Am, 1995, 77(12): 1791-1800.
3. 前后路截骨术效果对比
Kim等报道前路截骨的患者Cobb角平均矫正27.7°(9.0~66.0°),后路截骨为48.8°(38.4 ~68.3°);C2矢状面垂直轴(sagittal vertical axis, SVA)前路手术矫正1.8cm (0.1~2.4 cm),后路为2.8cm (0.1~5.6 cm)。在Cobb角及C2 SVA矫正方面后路截骨有优势。前路手术平均出血量215.9ml,后路为775.0ml,前路较后路截骨术失血量少。术前术后NDI评分前后路截骨无统计学差异。
1. Kim HJ, et al. Cervical osteotomies for neurological deformities [J]. Eur Spine J, 2015, 24(1): 16-22.
2. Kim HJ, et al. Comparison of Smith-Petersen osteotomy versus pedicle subtraction osteotomy versus anterior-posterior osteotomy types for the correction of cervical spine deformities [J]. Spine, 2015, 40(3): 143-146.
4. 截骨顺序选择
单纯颈胸段和胸腰段后凸畸形可分别行颈胸段、胸腰段截骨矫正,整体后凸畸形则要考虑截骨顺序。Koller 等认为若患者有重度颈椎及轻中度胸腰椎后凸畸形可先行颈椎截骨术,术后根据患者特点决定是否行进一步腰椎截骨。Kim等认为在患者脊柱极重度后凸畸形(chin-on-pubis )时,可按颈椎、胸椎和腰椎顺序依次截骨。


1. Kim K-T, et al. Surgical treatment of “chin-on-pubis” deformity in a patient with ankylosing spondylitis [J]. Spine, 2012, 37(16): E1017-E1021.
2. Koller H, et al. Osteotomies in ankylosing spondylitis: where, how many, and how much [J]. Eur Spine J, 2018;27(1):70-100.
总之,外科医生要根据患者特点灵活选择截骨方式,提高矫正效果,改善患者生活质量,减少手术并发症。
作者简介

钱邦平,南京鼓楼医院脊柱外科主任医师、教授、博导。
现任国际脊柱侧凸研究会会员、欧洲脊柱外科协会会员、北美脊柱外科协会会、国际颈椎研究会(CSRS)会员、AO Spine Faculty、国际脊髓学会委员、中华医学会骨科学分会脊柱学组委员、中国医师协会中国骨科菁英会副主席、中华医学会老年医学委员会脊柱学组委员、中华医学会运动医疗分会脊柱运动创伤专业学组委员、中国医药教育协会骨科分会脊柱分会国际教育工作组主任委员。《European Spine Journal》及《Asian Spine Journal》编委。

邱勇,南京鼓楼医院骨科主任,教授,博导。
中国医师协会骨科医师分会副会长,中国康复医学会脊柱脊髓专业委员会主任委员, AO-Spine中国区主席,美国脊柱侧凸研究会会员(Member of Scoliosis Research Society).《European Spine Journal》(欧洲脊柱外科)杂志编委、《中国脊柱脊髓杂志》副主编、《中国骨与关节外科》杂志副主编、《中华骨科杂志》副主编。



京公网安备11010502051256号