复旦大学附属中山医院骨科邀您换个角度看微创!
2018-06-19 文章来源:复旦大学附属中山医院 王会仁 周晓岗 李熙雷 林红 董健 我要说
椎板棘突复合体回植在椎管内原发肿瘤手术中的应用
概述
微创是指在不影响疗效的前提下,以最小的侵袭和最小的生理干扰达到最佳手术疗效的一种外科理念。那么,手术除了对软组织的损伤外,减少对骨结构的损伤,当然也是一种微创的理念。
治疗原发性脊柱椎管内肿瘤,既往手术时多将脊柱后方椎板棘突咬除,不对脊柱后柱结构进行重建。随着对脊椎运动单元认识的不断研究深入,越来越多的脊柱外科医生认识到脊柱后柱结构及后纵韧带复合体的功能,即在维持脊柱稳定性的重要作用。另一方面,椎板切除后失去了骨性支撑保护,后方软组织增生引起的继发医源性椎管狭窄也会影响远期临床疗效。
因此,为了防止后期出现的脊柱失稳和后凸畸形,以往常常进行后路椎弓根螺钉内固定。固定后如果不植骨,内固定失败可能大,部分内固定需要二期取出,增加手术次数。如果植骨融合,则损失了至少2个运动节段。同时因为只能做后外侧植骨,融合率低。而且这样的手术增加了费用。
椎板棘突复合体回植探索
那么,能否将椎板和棘突切除后进行回植,避免对骨结构的破坏,避免损失运动节段和高额医疗费用呢?
1976年Raimondi AJ等[1]首先报道了对儿童胸腰椎椎管内肿瘤用高速气钻切除椎板后进行重建;Perkinson等[2]在1977年应用普通线锯进行椎板切除重建。后续研究者多采用高速磨钻切除椎板,但这些方法在椎板切除时骨量丢失过多,在回植重建时难以维持原有的椎管容积,易导致医源性椎管狭窄。
国内汪建新研究者采用HA-TCP构建人工椎板[3],练克俭等采用钛网塑形模拟椎板重建[4],但这两种材料均存在使用不便、不融合和融合率差等缺点,因此自体椎板回植重建是比较理想的方法。
椎板棘突复合体回植临床应用
为解决椎板切除时骨丢失过多,复旦大学附属中山医院骨科阎作勤、董健教授等[5]在2005年国内最先报了采用T型锯椎板截骨,直径仅有0.54mm,大大减少了骨损耗。但采用T型锯截骨存在操作复杂、容易损伤硬脊膜、脊髓和神经的缺点。
近年来复旦大学附属中山医院骨科采用超声骨刀进行椎板截骨,棘突在病变部位上下节段截骨,或保留近端棘间韧带将后方结构翻开后切除椎管内肿瘤。然后将椎板棘突复合体回植,经棘突根部椎板关节突峡部螺钉固定椎板,棘突予以缝合。采用此方法,自2016年1月至2017年12月,复旦大学附属中山医院骨科治疗了35例胸腰椎椎管内肿瘤,切除肿瘤后将椎板棘突韧带复合体回植,经椎板关节突螺钉固定重建脊柱后柱稳定性。
所有患者术后均行X线片、CT检查评估脊柱稳定性及回植椎板愈合情况,MRI评估肿瘤切除情况和有无复发。术前、术后采用VAS评分、JOA评分评估临床效果。
结果:33例患者获得随访,随访时间6~24个月(平均16±8.5)月,其中男性19例,女性14例,年龄31~54岁(平均40.3±8.3)岁),手术时间 67~115min(平均93±25min),术中出血量 95~250ml(平均153±75ml)。术后随访VAS评分和JOA评分均较术前显著改善(P<0.05)。术后3个月87.9%(29/33)患者至少一侧椎板达到骨愈合,66.7%(22/33)患者截骨棘突骨愈合。术后6个月,100%患者至少一侧椎板达到骨愈合,78.8%(26/33)患者截骨棘突骨愈合。术后3例患者发生脑脊液漏,经保守治疗痊愈。随访期间所有病人均未出现脊髓神经损伤症状,无脊柱不稳、内固定断裂及医源性椎管狭窄,至末次随访肿瘤无复发。
超声骨刀振幅在40至200微米之间,截骨时大大减少了骨质的损失。同时超声骨刀仅对骨组织切割,安全有效,切穿椎板时突破感强,易于控制切割深度和角度,减少了对脊髓神经的机械损伤和热损伤风险。同时,椎板回植后,由于椎管内局部压力增加,也降低了脑脊液漏的发生率。同时,无需进行椎弓根螺钉固定,减少了手术时间,也降低了手术费用。
结论:超声骨刀椎板截骨后行椎板棘突韧带复合体回植治疗胸腰椎原发椎管内肿瘤,可以有效重建恢复脊柱后柱结构,并发症少,临床效果优良。
典型病例回顾
患者男性,腰背痛伴右下肢麻木乏力、踩棉花感2月余。
查体:脐平面以下痛温觉丧失,触觉减退。双上肢肌力5级,肌张力正常,双下肢肌张力正常,髂腰肌、股四头肌、股后肌、足背曲肌及拇指背伸肌力均4级;下腹壁反射消失,腱反射正常,病理征Babinski征(+);Chaddock征(+);Oppenheim征(+);Gordon征(+)。髌阵挛(-);踝阵挛(-)。双下肢直腿抬高试验(-)。
诊治及随访过程中相关检查展示:

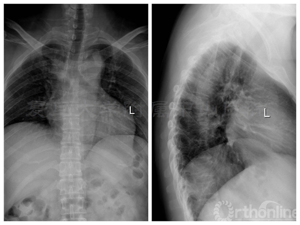
术前胸椎正侧位X线:未见明显骨质异常

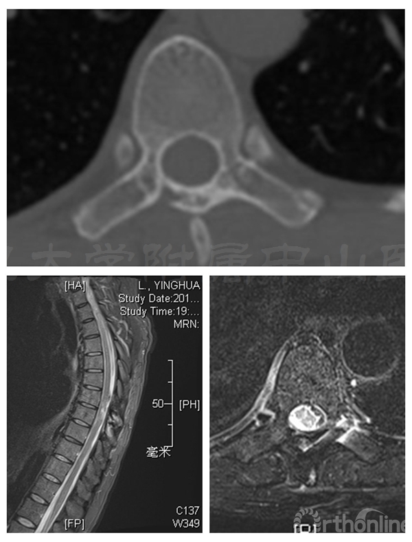
术前三维CT:T7/8水平可见椎管内占位

术前MRI:T7-8水平椎管内占位伴脊髓变性,脊膜瘤可能的大


术中椎板截骨行肿瘤切除后,椎板回植术,回植椎板采用空心螺钉固定


术后肌力恢复至4+级,无脑脊液漏,X线片及CT平扫显示椎板回植位置满意,空心钉固定牢靠。术后病理诊断为脊膜瘤伴细胞丰富

术后三个月患者腰背痛完全缓解,肌力已恢复至5级,下肢麻木感消失。CT显示:椎板截骨面已骨性愈合,无移位,椎管容积与术前无明显差异

术后半年CT显示两侧椎板截骨面均已骨性愈合,椎管体积无减少。MRI显示椎管内脊膜瘤无复发
参考文献:
[1]Raimondi AJ,Gutierrez FA,Di Rocco C.Laminotomy and total reconstruction ofthe posterior spinal arch for spinal canal surgery in childhood.J Neurosurg.1976;45(5):555-560.
[2]Parkinson D. Replacement laminotomy. Surg Neurol. 1977;8(4):277–279.
[3]Wang J, Chen W, Li Y, et al. Biological evaluation of biphasic calcium phosphate ceramic vertebral laminae.Biomaterials. 1998 ;19(15):1387-92.
[4]练克俭,翟文亮,林斌,等.椎板减压钛网椎管成形脊柱后融合术,中华骨科杂志,2002;22(6):335
[5]阎作勤,董健,冯振洲,等.椎板整块切除后回植椎管成形术在椎管内肿瘤中的应用,复旦学报,2005;32(1):30-32.



京公网安备11010502051256号