付中国教授:再谈髓内钉
2018-08-15 文章来源:北京大学人民医院 作者:付中国 我要说

一、临床中应用钢板螺钉又有很多困惑



X射线照射后

10天后

值得吗?
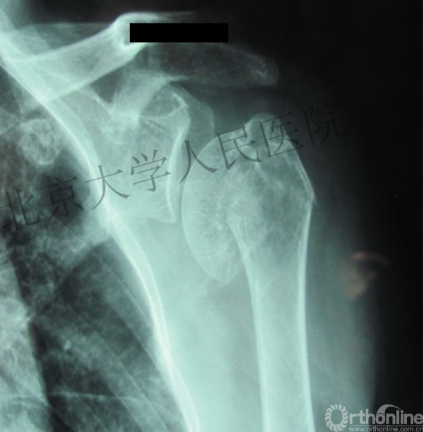
二、临床中我们常遇到类似下面的病例



内侧皮质粉碎,低位外科颈骨折,肱骨头-干角维持困难。
术后复位丢失,肱骨头内翻畸形。
能否该偏心固定(钢板)为髓内固定,增加力臂?
早知今日,何必当初?


此时对比髓内钉是不是有很大优势?
另一个留有遗憾的病例,您的选择?PHN?



临床中的广泛内固定治疗不断地提出思考


结构力学上抗折断能力髓内钉明显强于钢板

三、其实应用肱骨近端髓内钉治疗肱骨近端骨折有时有许多优势。

两部分骨折的生物力学


作为髓内固定,抗轴向压力较偏心固定的钢板强。






结合缝线技术对结节骨折固定







四、肱骨近端髓内钉的发展与被关注的时候到了




我的经验
1.体位与C臂机的应用
秘诀1





透视肱骨头正位、侧位确定进针点


2.显露
切口后通过结节间沟判断头的方位


体会:避免肩袖医原损伤的经验方法


消除肩袖损伤顾虑
视野更清楚
操作更加容易


3.复位

好的进针位置是手术成功的标志!
体位
大小结节的复位
肱骨头复位
克氏针的应用“joystick”


简单骨折的闭合复位技术:以克氏针作为“joystick”


髓内钉的应用复位是关键







复位良好的标准:颈干角:135°,大结节与肱骨头距离:8mm
术后3月随访:继发性颈干角变小22°(5-82),肱骨头内翻,达46%


严重影响了患者的生活质量
4.进针点的确定
进钉点的把握原则-最费脑筋的选址

进针点

持控股骨头



肩袖的风险修复与固定不可或缺

病例


可否有更好的进钉和复位的更好帮助办法?







进钉更完美——我们的帮助



















术中片




个人简介

付中国,主任医师,教授,北京大学人民医院骨创伤骨科副主任,硕士生导师,人民医院骨科教研室党支部书记。曾赴美国哈佛大学医学院麻省总医院骨科研修骨与关节损伤、肩关节矫形及手外伤;多次参加瑞士国际内固定研究学会(AO组织)在欧美等国举办的创伤骨科高级研修班,并曾在上海、天津等地担任国内AO研修班主讲。在创伤救治,骨折治疗,肩关节矫形,手外科,皮瓣移植治疗及小儿脑瘫治疗具有丰富经验。
社会兼职:国际矫形与创伤外科学会(SICOT)中国部肩肘外科学会第一届委员会副主任委员;中国医师协会骨科医师分会肩肘外科专业委员会副主任委员;中国医药教育协会肩肘运动医学专业委员会副主任委员;首届中国研究型医院学会骨科创新与转化专业委员会常务委员、肩肘外科学组组长;国际矫形与创伤外科学会(SICOT)中国分会创伤骨科工作委员会秘书长;北京医学会手外科学分会第一届委员会副主任委员;中国医师协会手外科医师分会第一届委员会常务委员;中华医学会手外科分会第六届委员会常务委员;北京医学会骨科学分会第十二届委员会肩肘学组副组长;中国肩肘外科协作组委员会常务委员;北京大学交通医学中心专家委员会委员;AO国际内固定研究学会亚洲讲师团讲师;中国医药教育协会医用生物材料与技术专委会。



京公网安备11010502051256号