荐读|椎体成形术的常见问题(上篇)
2019-03-07 文章来源:兰州大学第二医院 作者:王景 我要说
骨科在线版权所有,如需转载请注明来自本网站.
本文内容摘自各学术期刊,由作者整理供大家参考、学习
作者通过翻阅大量文献,整理出了关于椎体成形术中经常遇到的问题及解决方案,以飨读者。
本文分为上下两篇,上篇主要内容为:
1.经皮椎弓根穿刺的技术要点;
2.经皮椎弓根外入路穿刺的安全范围;
3.椎体成形的骨水泥渗漏模式;
4.PVP秒变PKP,好,省。
经皮椎弓根穿刺的技术要点

不同于常规开放置钉,经皮椎弓根穿刺属于“盲打”,全程依靠手感、透视判断。
进针点确认(A&B)
因为椎弓根穿刺路径倾斜,所以椎弓根投影到皮肤上的进针点是椎体正位透视下的横突尖部。肥胖者和正常人距离略有些不同。

经椎弓根的标准穿刺通道有三个重要的透视定位点:上关节突外下缘①,椎弓根中点②,椎体后缘与椎弓根内侧缘交点附近③。
穿刺路径确认(C&D)


穿刺过程中,每一次深入,均需正、侧位透视,每个定位点都一一对应。
1.正位片上确认横突尖部在体表的投影,从此处进针,斜向椎弓根眼的3、9点位进入。
2.刚进入时,针尖正位在①椎弓根外缘,侧位在①椎弓根后缘。
3.再进20-25mm,针尖正位显示进入到③椎弓根内缘,侧位应到③椎体后缘。
4.上述正侧位透视若不一致,意味着穿刺角度不对,需及时调整,以防进入椎管。
误穿出损伤血管

对于穿刺时误穿出椎体前缘造成血管损伤的处理:
克氏针向前穿出小于 5mm 为轻度,穿出 5-25mm 为中度,穿出大于 25mm 为严重。
轻度——仅需要观察。
中度/严重——严密监护,行动脉血气分析检测,并监测血红蛋白情况。
术后检测肢端血压,q1h观察4h,q2h观察4h,q4h观察48h。
术后第1天,腹部CT扫描+腹部CT血管造影。
静脉抗生素预防感染。
如检查结果阳性,或血流动力学不稳定、有临床症状,请血管外科/普外科介入。
经皮椎弓根外入路穿刺的安全范围

常规PKP/PVP都走椎弓根入路。而椎弓根外侧入路不但可以获得更大的穿刺角度,还减少了误入椎管、损伤神经根的风险。
椎弓根外侧入路绝对安全吗?

椎弓根外侧入路不走椎弓根,走椎旁。不伤神经,却有可能伤及椎旁节段血管。

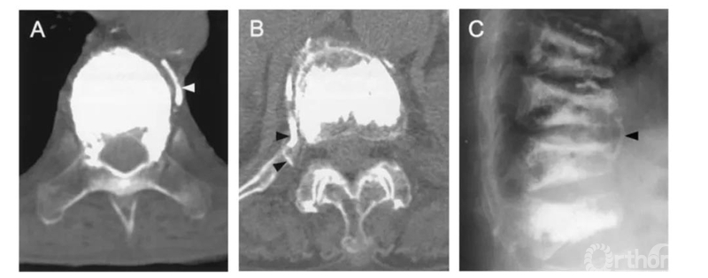
该患者做完PVP术后失血性休克症状。复查CT发现巨大的腹膜后血肿。血管造影发现L2左侧节段动脉远端破裂,行栓塞修复。

三维CT显示椎旁节段动脉就在椎体旁正中走行,所以椎弓根外侧穿刺安全边界在椎弓根中线以上。
椎体成形的骨水泥渗漏模式

PKP/PVP会发生骨水泥渗漏,漏在椎体外围或者椎间盘也许没什么事。如果漏入椎管或者椎间孔区域,可能造成神经症状。漏入静脉,可能肺栓塞。

根据渗漏的途径及CT表现,将骨水泥渗漏分为三种类型:B经椎旁静脉渗漏;S经节段血管渗漏;C经皮质缺损渗漏。

B经椎旁静脉渗漏:在椎体后缘相对对称分布。一般不超过椎管横径的1/3。矢状位CT显示会向头尾侧弥散。

S经节段血管渗漏:沿节段静脉走行弥散。轴位CT呈水平走行。有时会顺着血管上下弥散,矢状面呈垂直或斜行。

C经皮质缺损渗漏:顺着缺损区到处跑,椎体周围、椎管内、椎间盘,哪里有路往哪走。
术中用C臂判断渗漏的准确率低的可怜。
只照侧位,大约30%的准确率。
正侧位都看,准确率也不过50%左右。
对于部分特殊部位渗漏,准确率更只有7%。

比如这例,侧位X片看骨水泥在椎弓根里,可CT一扫发现已经渗漏进入椎管。

侧位X片看骨水泥在椎体里,CT显示渗漏进入椎管。

侧位X片看骨水泥在椎间孔周缘,CT显示渗漏进入椎管,累及椎间孔。
术中打骨水泥时多问问患者,如果出现不适,哪怕C臂看着没问题,也赶紧停下来,安全第一。说不定已经漏到神经周围了只是C臂没看出来。术后及时复查三维CT。
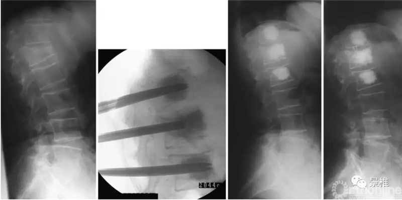
PVP秒变PKP,好,省

胸腰段椎体骨质疏松性压缩性骨折用PVP/PKP治疗的效果确切。但有时撑开恢复椎体高度还是不太理想,而且邻椎骨折的风险也需要注意。

现在伤椎和上下邻椎均做骨水泥通道,邻椎注入骨水泥。并插入内芯超出套杆尖端5mm,使骨水泥充分挤出(原文用骨穿刺活检通道套杆,和椎体成形通道应该差不多粗细)。
上下邻椎套杆相交加压,撬拨复位伤椎高度及前凸序列,伤椎注入骨水泥。

该技术可以恢复大约15°的椎体后凸和10°的整体节段后凸。邻椎骨水泥注入还预防邻椎骨折。
此法既节省了球囊费用,又通过撬拨复位技术达到PKP效果。
有一个疑问:用套杆做悬臂复位,不怕折断吗?也许国外的材料强度足够?
下篇预告,敬请期待:
1.椎体成形单侧还是双侧?
2.椎体成形骨水泥打多少合适?
3.PVP/PKP一次最多打几个节段?
4.椎体成形啥时候做?
作者简介

王景
临床医学博士,兰州大学第二医院脊柱外科副主任医师。
中华预防医学会骨与关节病防控委员会青年委员;中国医药教育协会骨质疾病专委会常委;中国医学救援协会运动伤害分会理事;甘肃省医师协会脊柱外科委员、整合医学委员会骨与创伤委员;甘肃省医学会骨科专业青年委员;中国骨科好医生读片大赛甘肃省冠军;兰州大学第二医院优秀医生。
近年来第一作者发表SCI论文3篇,国家级期刊论文6篇,第一发明人获骨科临床国家专利4项。
来源:景椎微信公众号



京公网安备11010502051256号