“Spine”专家热点如是评:脊柱畸形、非融合技术
2019-05-06 文章来源:中南大学湘雅二医院脊柱外科 徐洁涛 王冰 我要说
中南大学湘雅二医院脊柱外科 徐洁涛 王 冰
过去的二十年,现代脊柱外科专业领域,尤其在非融合,界面融合,畸形矫正,脊髓刺激和机器人辅助等新技术方面,进入了发展的快车道,取得了令人欣喜的成就,新理论、新技术和新方法层出不穷,百花齐放。然而,如何科学对待、客观分析和理性应用这些成果?
“文章合为时而著”,2018年,脊柱界著名杂志《Spine》邀请了Lenke等多位来自世界各地的著名脊柱外科专家,根据在美国宾夕法尼亚州奥杜邦市举行的第四届肌肉骨骼教育研究年会上精心策划的专题进行了系统总结,并以增刊形式发表。笔者现将其中精华内容翻译整理,以期有助于读者了解脊柱前沿动态。
骨科在线脊柱专业副主编
中南大学湘雅二医院脊柱外科
王 冰
脊柱畸形——从开端到全球标准化
脊柱畸形临床研究标准化
(Lawrence G. Lenke,纽约长老会医院)
过去20年中,脊柱畸形临床全球标准化研究主要集中在三个领域:青少年特发性脊柱侧弯(AIS)的分类和治疗,脊柱畸形的单纯后路矫形和全椎体切除术(VCR技术)。
Lenke的AIS分类系统及其相应治疗建议已获国际公认。在未来,AIS的三维分析和分类将变得更加普及,并最终取代Lenke AIS二维分类系统。

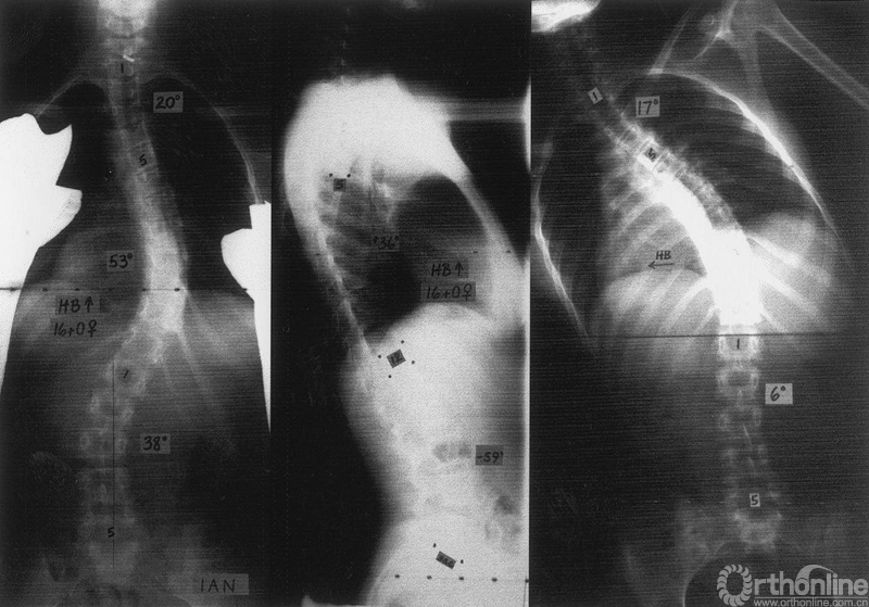
MT为弯(53°),PT区域在上,TL/L区域在下,矢状面为非结构性(分别为17°和6°)
传统上讲,成人脊柱畸形多数采用开放前后路联合手术。开放前路融合术(ASF)中,通过胸腹入路暴露胸腰段和腰段,或通过腹膜后入路显露下腰段。无论从短期还是长期来看,这两种开放入路(尤其是胸腹入路)对患者而言都可能引起潜在并发症。
因此,在世纪之交,一些新技术的诞生,使得脊柱外科医生能够在不牺牲矫正或融合的同时避免行ASF。后路脊柱截骨术是矫正僵硬成人脊柱畸形有效术式,包括后柱截骨术(PCO),经椎弓根椎体截骨术(PSO)和VCR。
诸多文献报道,经椎间孔腰椎间融合术/rhBMP-2/自体骨,以及其它生物制剂的应用,有助于减少成人脊柱畸形融合中常见的假关节问题和避免髂骨取骨。
自上世纪90年代以来,对严重、僵硬和角状的脊柱畸形患者进行截骨矫形,后路VCR是公认的最佳选择,但其并发症发生率高,尤其是神经并发症,阻碍其进一步推广应用。
然而,对于合适的患者术前使用halo重力牵引,术中进行神经电生理监测,加上熟练的技术,该技术术后实际神经并发症发生率相当低。这项技术已经被全世界的外科医生和能够进行这种复杂手术的中心所接受,并将其作为治疗严重脊柱畸形患者的标准术式。
成人AIS后凸畸形的治疗策略
(Dilip K. Sengupta,德克萨斯州曼斯菲尔德脊柱侧弯和脊柱外科中心)
成人特发性脊柱侧弯(AIS)合并脊柱后凸畸形是一个独特的治疗问题。既往研究显示,恢复理想的骨盆倾斜(PT)和矢状位垂直轴(SVA),矫正后骨盆入射角(PI)与腰椎前凸(LL)的关系,可以最大限度地提高临床疗效。然而,仍存在许多其他因素影响手术策略。
在每个节段,PSO可产生约35°的后凸矫正,而Ponte截骨术或后柱截骨术(PCO)产生约10°的矫正。理想畸形矫正的核心指标包括:LL=PI±9度,骨盆倾斜(PT) <20°,矢状面(SVA)5cm范围内等。
为达到有效矫形,手术措施可能有:行中胸椎-骨盆(长节段)固定,1或2个节段PSO,以及多个节段PCO。椎弓根螺钉间撑开可以间接纠正椎间孔狭窄,但严重的椎管狭窄可能需行椎板切除术。
可能影响手术策略的因素较多,为保证疗效,减少并发症,手术时间超过6至8小时者可考虑分期手术。畸形远端进行PSO可有效矫正矢状面失平衡,但在L4或L5处行PSO会减少截骨远端椎弓根锚点的数量,削弱远端固定。
后凸的顶点可影响PSO截骨的选择。当顶点位于L1或L2时,PSO可能需要在脊髓圆锥水平进行,从而增加神经源性并发症的风险。

56岁女性,下胸椎后凸和腰椎侧凸。后凸顶点位于下位胸椎(A,B),需行胸段PSO(D),但脊柱侧弯的顶点位于中部腰椎,需行多节段PCO矫正。这两种畸形需分别纠正。采用棒与棒多米诺连接完成一期手术内固定(C,D,E)。
颈椎畸形评估及矫正
(K. Daniel Riew,纽约哥伦比亚大学医学院)
评估颈椎畸形的方法在过去的10年间已发生了明显改变。既往仅评估颈椎前凸,现在其它一些测量指标同样甚至更为重要。头部重心须维持平衡,以使颈部肌肉能够以最省力的状态来保持头部直立。
C2-C7 SVA是指从C2椎体中心到C7椎体后上角的两条垂直线之间的距离,其值越大,则需应用更多的颈后肌肉力量才能保持颈部直立。另一个需要考虑的重要参数是T1倾斜角。上胸椎后凸角度越大,T1则越垂直,而颈部肌肉就越难以维持颈椎曲线,从而影响平视。
在纠正颈椎畸形时,首先要确定畸形是僵硬还是柔软,前者需要截骨,后者需要通过软组织松解和固定来矫形。有关矫形节段的确定,如颈椎前凸但T1垂直,且/或C2-C7 SVA值增加,则畸形是由于胸椎畸形所致,需要在胸段矫形。
关于患者是否适合长节段手术,术前需要进行骨密度测定,对于骨质疏松患者,进行颈椎长节段融合,有导致远端骨折和畸形加重风险。
颈椎前后路联合截骨术
(Kee D. Kim,美国加州大学戴维斯医学院神经外科)
任何原因所致的颈椎后方组织退化及退行性改变,可导致椎间盘/椎体高度丢失,颈椎轴向负荷前移。随着SVA的增加,颈椎进行性后凸造成脊髓在后纵韧带上拉伸和挤压,常伴随着脊髓的血供减少,由于齿状韧带的约束作用使得脊髓垂直张力增加。与成人脊髓栓系综合征一样,脊髓拉伸可能导致脊髓病,必须手术处理。

脊髓与矢状面平衡关系。脊髓覆盖在后纵韧带上(左);MRI(右)
为矫正颈椎畸形,通常需要前路和/或后路截骨术。前入路有利于安全的神经减压;随着前凸型cage和可扩张型cage的出现,前路矫形更加安全方便。对于严重的固定畸形和骨质较差的患者,单纯前路固定强度不足,需增加后路固定。后路固定到上胸椎可进一步加强稳定,并预防迟发性颈胸椎畸形。

典型病例1(A)术前;(B)术后;(C)随访1年
前路截骨术可以直接减压椎管,解除脊髓牵张,实现畸形矫正。结合前路截骨术,后路截骨术可能以一种更有限的方式进行,减少了并发症发生。因而,联合入路是一种安全有效的颈椎畸形矫正手术方式。
非融合技术——真实还是虚幻?
腰椎前、后路运动保留技术
(Hans-Joachim Wilke,德国Ulm Helmholtzstrass大学骨科与生物力学研究所)
近年来,脊柱手术中的非融合技术及相应产品发展迅速。其主要目标是恢复和保持椎间盘高度和/或健康节段最初的活动性。此类运动保留技术可以分为后路(动态稳定系统、棘突间植入物、全后柱置换系统)和前路(人工椎间盘置换和髓核置换)两种类型。

不同类型的脊柱前后路运动保留技术代表性植入物
后路非融合技术的目的,是在稳定治疗节段的同时使椎间盘变形保持在生理范围内,或卸载关节突关节的压力负荷。最主要的代表是动态或半刚性固定系统等稳定系统。

与内固定融合相比,后路非融合植入物允许更多的运动,在屈曲时能够恢复椎间盘生理状态和纤维环的张力。棘突间植入物Coflex能够维持椎间盘的生理状态
关节突关节置换可以模拟骨性后部结构,在生理范围内控制所有运动平面的运动范围。一般情况下,棘突间植入物能限制其伸展运动,而不限制弯曲、轴向旋转和侧向弯曲的运动。

所有棘间植入物并不限制轴向旋转
而作为前路非融合技术,全椎间盘置换术中无约束植入物与约束性植入物相比可增加节段性前凸,且允许更大的侧弯和轴向旋转。旋转中心的位置、植入的位置或精度、植入物高度及后纵韧带的保留与否均影响其活动范围。髓核植入物和组织工程髓核置换可恢复L4/5髓核摘除术后的自然生物力学。
但其也常出现迁移和挤压的问题。纤维环成形装置的性能似乎因其设计而有所不同,其中一些产品可能会出现失败,与复发高风险相关。
每一种运动保留技术都会引发业内对不同植入物性能的猜测。为证明其潜在的优势,所有新植入物都应该依据ASTM或ISO标准经过生物力学测试,而且植入物在应用于患者之前,还需要在真实人体标本上进行体外实验。
尽管如此,体外生物力学试验和补充有限元计算存在局限性,但此类研究可为临床讨论提供参考结果。有时这些测试表明植入物性能其提供数据相符,或其测试结果有助于优化该技术。但亦有测试结果显示植入物的特性并未表现出显著差异,结论不支持所承诺的性能,因此应考虑在高负荷条件下进行临床前期试验。
人工颈椎间盘置换术
(Kee D. Kim,美国加州大学戴维斯医学院神经外科)
人工颈椎间盘置换术(cTDR)临床应用初期,诸多学者们对其疗效存有质疑。人工椎间盘设计的初衷是避免或减少临床邻近节段病变(CASP),然而,邻近节段退变被认为是疾病发展自然史的一部分,研究认为cTDR不会减少CASP。但也有存在基于当时证据的不同意见。
体外研究表明,与cTDR相比,ACDF术后邻近节段的应力增加,增加的压力被认为会导致影像学研究中所见的椎间盘退变加速。而影像学表现先于CASP。因此,符合逻辑的结论是ACDF可增加CASP,且随着随访时间的延长,ACDF的邻近节段再手术率将大于cTDR。
长期随机对照试验结果表明,cTDR可获得与ACDF同样好甚至更佳的疗效,同时cTDR可降低CASP。cTDR的良好结果也已在实际应用和成本效益研究中得到证实。另外,cTDR和ACDF均可减少颈源性头痛,且疗效持久。
然而,美国的器械豁免研究虽然是随机的,但其研究是由行业赞助,可能存在利益冲突,故而其结果并不可靠。每一项研究的价值都必须单独审查,且需要长期研究结果来揭示众多先前悬而未决的问题。
同时,尚有一些与cTDR相关的技术问题值得考虑。与ACDF技术相比,cTDR术中骨终板制备和人工椎间盘放置必须更加细致和精确。颈椎假体置入后可移位或沉降,异位骨化可导致自发性融合,术后可发生后凸畸形,若干年后假体周围可发生骨溶解。因此,对于这些患者,则需要更长时间的随访研究。
参考文献:
April 4 , 2018, Spine, 43-7S
作者简介

徐洁涛
中南大学湘雅二医院脊柱外科,硕士研究生,师从国内脊柱外科专家王冰教授。

王冰
教授、主任医师,博士生导师
现任中南大学湘雅二医院脊柱外科和湖南省脊柱外科治疗中心副主任,脊柱外科研究室主任。
担任中国康复医学会脊柱脊髓专业委员会青年委员会副主任委员;中国医促会骨科疾病防治委员会脊柱内镜学组副主任委员;中国医师协会骨科分会微创专委会微创融合学组副组长;中华中医药学会脊柱微创专委会常委暨经皮内镜技术研究组副主任委员;中华医学会骨科分会基础学组委员;中国骨科菁英会脊柱创始会员和执委;中国SICOT骨科分会基础学组常务委员;国际侧方入路手术学会中国部副主任委员;AOSpine中国部讲师;中国脊柱脊髓杂志常务编委;国际The Spine Journal 和Spine杂志中文版编委;湖南省康复医学会脊柱脊髓专委员主任委员;湖南省医学会骨科分会常委;湖南省遗传学会常务理事;白求恩公益基金会骨科基层教育委员会常委和手术指导专家等职。
擅长内镜微创脊柱外科和各类复杂脊柱畸形的矫治。在国家级和国际核心刊物上以第一作者和通讯作者发表论文100余篇,SCI论文30余篇, 主编和参编专著10余部,主持国家自然科学基金4项。



京公网安备11010502051256号