推荐收藏:细数各类颈托下篇
2019-05-20 文章来源:兰州大学第二医院 王景 我要说
兰州大学第二医院脊柱外科 王景
颈部支具种类繁多,作用和固定强度不尽相同。选择正确类型的颈托,是颈椎疾病辅助治疗的重点之一。本文将详细分析颈部制动以及佩戴颈托后需要注意的问题,希望能够加深读者对颈托的认识及了解。
本文分为上下两篇,下篇主要内容为:
1.哪种颈部制动最结实?
2.颈托带上就妥了吗?
哪种颈部制动最结实

颈椎外伤时需要颈部制动,常见的制动方式有硬颈围、枕颌胸支具SOMI、费城颈托、脊柱平板、Halo架等等。

脊柱平板↑
哪种制动方式对颈椎活动度限制最大?

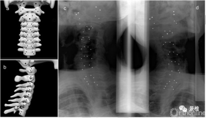
把钽珠和铅珠植入5具冰鲜标本的颈椎椎体,套上各类制动支具,标本头部进行屈伸、旋转、侧屈活动,X线透视观察颈椎活动受限率(MRP)。



■●▲▬*分别是5具标本
halo架对颈部制动效果最好,能减少70%的屈伸、77%的侧屈、92%的旋转。
硬颈围最不行,只能减少41%的屈伸、29%的侧屈、64%的旋转。
制动效果:硬颈围<SOMI<脊柱平板<halo架。
颈托戴上就妥了吗

上颈椎外伤、固定术后多数会戴个颈托以求稳定,但实际上可能恰恰相反。
张嘴吃饭咀嚼时因为颈托阻挡,下颌张不开就要靠上颈椎过伸来代偿,反倒会引起颅椎区域应力增大。

不戴颈托,咀嚼时下颌骨不受阻挡,寰枕、寰枢部分没有任何应力。而佩戴头颈胸支具、迈阿密J型颈托、费城颈托、软颈托都或多或少对枕颈区域产生成角应力。

头颈胸支具,钢条支撑固定,稳。但下颌衬垫对张嘴的阻力很大(A)。正常咀嚼会对寰枕、寰枢产生成角(4°-6°)应力。而把下颌垫去了,换成头圈固定就能改善这种情况(B)。


迈阿密J型颈托比常见的费城颈托多了胸骨衬垫,加大了躯干接触面积,对整个脖子的支撑更好。

迈阿密型对枕颈部成角应力略小于头颈胸支具。

费城颈托,咀嚼的应力传导和迈阿密不太一样,对寰枢椎影响相对较大,对寰枕影响相对较小。
费城、迈阿密颈托对咀嚼应力都会传导到C4节段。应该和构造有关。

软颈托,似乎是最“无用”的一种。但它对于寰枢椎的咀嚼应力波及最小,尤其是前后反戴。还不影响下颈椎。


越结实的颈托,制动效果越好,对咀嚼的影响也越大,枕颈区域的应力也越大。
如果上颈椎做完固定手术,内固定结实就不要戴颈托了。免得吃饭时造成枕颈区域成角应力增大。或者吃饭时别戴了。
当然颈托不是一无是处,在颈椎不稳时有很好的固定作用。也能避免术后患者过度过猛的活动颈椎引发意外。顺便求个心理安慰。
相关阅读:
上篇主要内容
1.各类颈托
2.Halo架的打法
作者简介

王景
临床医学博士,兰州大学第二医院脊柱外科副主任医师。
中国医师协会骨质疏松专业委员会脊柱骨折防治学组委员;中华预防医学会骨与关节病预防与控制专业委员会青年委员;中国医药教育协会骨质疾病专业委员会常委;中国非公立医疗机构协会脊柱脊髓专业委员会委员;中国医学救援协会运动伤害理事;甘肃省老年医学会脊柱疾患专业委员会常委;甘肃省医师协会脊柱外科专业委员会委员;甘肃省医师协会整合医学专业委员会委员;甘肃省医学会骨科专业委员会青年委员;中国骨科读片大赛甘肃省2016、2017年冠军;兰州大学第二医院优秀医生、青年人才。
近年来发表SCI论文5篇,国家级期刊论文6篇,第一发明人获骨科临床国家专利4项。
转载自:景椎微信公众号



京公网安备11010502051256号