罗卓荆教授手术视频精讲——颈椎系列
2020-04-21 文章来源:空军军医大学西京骨科医院 我要说

手术医师:罗卓荆教授团队
文字编辑:李沫副教授
视频摘要

为了让更多的青年骨科医师、同道能够学习规范的手术操作,掌握更多手术技巧,空军军医大学西京医院罗卓荆教授带领骨科医院成员共同录制了一系列骨科手术教学视频,分别为颈椎、胸腰椎专题。现将颈椎系列教学视频分享给同道。
①颈椎前路ACDF手术(钛板固定);
②颈椎前路ACDF手术(零切迹固定融合器);
③环锯技术切除椎间盘;
④颈椎间盘切除人工椎间盘置换手术-mobi-c;
⑤颈椎后路单开门椎管扩大成型手术(微型钛板固定);
⑥颈椎后路椎板切除减压,C3-6侧块螺钉、C2椎弓根螺钉固定,植骨融合手术。
颈椎前路ACDF手术(钛板固定)
患者:男,35岁
主诉:外伤后肩颈部疼痛伴左上肢放射痛、麻木10天
现病史:患者因10天前从高处坠落致肩颈部疼痛,左上肢放射痛、麻木
查体:
左上肢胀痛、麻木,麻木感以示指、中指及环指指尖为著;
左侧肱二头肌肌腱反射减弱、左侧肱三头肌肌腱反射消失、左侧膝腱反射消失、双侧跟腱反射减弱;
左侧Hoffmann征弱阳性,其余病理征未引出;
四肢肌力未见异常。
诊断:颈椎病(C6/7)

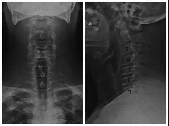
术前X线正、侧位片

术前CT

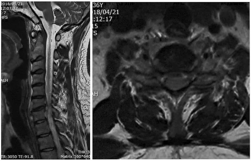
术前核磁

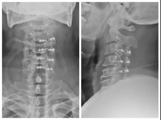
术后X线正、侧位片
点击此处查看手术视频讲解
http://api.orthonline.com.cn/video/share?objid=5151
颈椎前路ACDF手术(零切迹固定融合器)
患者:男,51岁
主诉:双上肢麻木、疼痛一月,加重伴行走不稳3天
既往史:个人史及家族史无特殊
体征:
1.椎间孔挤压试验双侧+;
2.双前臂尺侧、双侧小指、环指、中指、皮肤感觉减退,右侧为著;
3.肱三头肌左/右=IV+/IV-,指屈肌左/右=IV+/IV-,小指展肌肉=IV+/IV-,右下肢肌力约IV+,左下肢肌力基本正常;
4.双侧Hoffmann征+,右侧Babinski征+,左侧未引出。
诊断:
1.颈椎间盘突出症(C6/7);
2.混合型颈椎病。

术前X线

术前CT

术前核磁

术后X线正侧位片
点击此处查看手术视频讲解
http://api.orthonline.com.cn/video/share?objid=5165
环锯技术切除椎间盘
患者:李某,女,52岁
主诉:右手中指、环指麻木20余天,并双下肢踩棉感20余天
现病史:患者因10天前从高处坠落致肩颈部疼痛,左上肢放射痛、麻木
既往史:
搀扶入病房,步态不稳。右手中指、环指感觉减退,余肢体感觉未见异常。四肢肌力4级。四肢肌张力增高;四肢腱反射亢进;双侧Hoffmann征阳性、右侧Babinski征阳性;双侧髌阵挛、踝阵挛阴性
诊断:
1.颈椎病(混合型);
2.后纵韧带骨化症(C2-4)。

术前X线正侧位片

术前过屈过拉伸

术前CT

术前MRI

术后X线正侧位
点击此处查看手术视频讲解
http://api.orthonline.com.cn/video/5215
颈椎间盘切除人工椎间盘置换手术-mobi-c
患者:男,31岁
主诉:颈肩痛伴右上肢放射痛、麻木20天。
查体:
右侧臂丛神经牵拉实验+。会阴部及四肢皮肤感觉正常。四肢肌肉无萎缩,肌力正常。双侧肱三头肌减反射减弱,余生理反射正常。双侧病理征阴性。双侧髌阵挛、踝阵挛未引出。
诊断:颈椎间盘突出症(C5/6)

术前X线正侧位片

术前X线动力位片

术前MRI

术前CT

术中X线透视

术后X线正侧位片

术后X线动力位片

术后X线bending位片
点击此处查看手术视频讲解
http://api.orthonline.com.cn/video/6101
颈椎后路单开门椎管扩大成型手术(微型钛板固定)
患者:郑某,男,48岁 ;
主诉:双上肢麻木1年,加重伴行走不稳半年;
查体:双前臂外侧、手掌皮肤感觉减退。三角肌左/右=IV/V,肱二头肌左/右=IV/V,肱三头肌左/右=IV/V,指深浅屈肌左/右=IV/V,小指展肌左/右=IV/V。左肱三头肌反射、肱二头肌反射、桡骨膜反射活跃。双侧Hoffmann征阳性。
诊断:颈椎管狭窄症

术前X线正侧位片

术前CT

术前MRI

术后X线正侧位
点击此处查看手术视频讲解
http://api.orthonline.com.cn/video/share?objid=5177
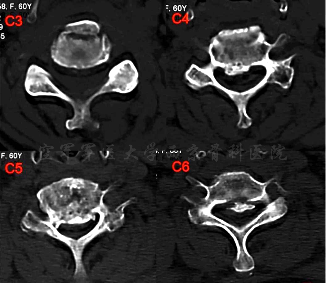
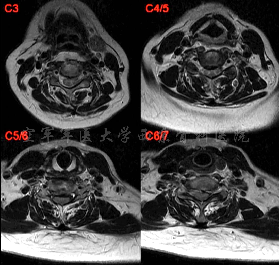
颈椎后路椎板切除减压,C3-6侧块螺钉、C2椎弓根螺钉固定,植骨融合手术
患者:女,60岁
主诉:外伤致颈痛伴双上肢活动不能10小时。
现病史:患者因10小时前车祸致伤。
查体:
平车推入病房,颈托固定。锁骨以下躯体感觉减退,左上肢为著。三角肌左/右=0/Ⅰ级,肱二头肌左/右=Ⅰ/Ⅱ级,腕伸肌左/右=Ⅰ/Ⅱ级,肱三头肌左/右=Ⅰ/Ⅱ级,指深浅屈肌左/右=Ⅰ/Ⅱ级,小指展肌左/右=Ⅰ/Ⅱ级,双下肢肌力约Ⅳ级。四肢腱反射未引出,双侧病理反射未引出。
诊断:
1.颈3椎体骨折并不全瘫;
2.颈椎后纵韧带骨化;
3.高血压病2级。

术前X线正侧位片

术前CT

术前CT

术前MRI

术前MRI

术中完成减压后置入钉棒系统

术中C臂透视
点击此处查看手术视频讲解
http://api.orthonline.com.cn/video/6097

空军军医大学西京骨科医院团队




京公网安备11010502051256号