阐幽显微|MIS-TLIF治疗伴有高PI显著前凸的多节段腰椎退变疾病的技术局限
2020-09-03 文章来源:上海市第九人民医院 我要说
自从手术的出现,外科医生就在不停的追求减小手术创伤。同样脊柱外科医生也在孜孜不倦的追求微创手术。绝大多数脊柱外科微创手术的发展是建立在传统脊柱外科手术的理念上。微创手术具有软组织剥离少、术中出血少和术后恢复快等优点,受到患者的欢迎。但因脊柱外科疾病的复杂多变,目前脊柱微创手术还存在很多的技术局限性。
腰椎后路减压固定融合术是治疗腰椎退变疾病的终末期的常规术式。由于手术破坏了腰椎内环境,可能会在术后形成新的神经压迫,往往需要一定的扩大减压和预减压。
我们的临床经验发现:在面对高骨盆入射角(Pelvic Incidence,PI)腰椎显著前凸的腰椎退变疾病时,多节段腰椎椎板切除后硬膜囊的会显著膨起而牵拉神经根,引起术后神经根紧张水肿的临床症状。其次下腰椎的多节段椎板减压切除后,如果近端减压交界区位于显著腰椎前凸的矢状面顶椎(往往是腰2-3椎间或腰3椎体),因硬膜囊显著膨起后的“弓弦效应”,在近端交界区产生明显的硬膜囊折角和卡压。这些都需要在腰椎减压手术结束时,仔细评估减压范围是否足够,是否需要减压范围延伸过腰椎矢状面顶椎,以及神经根管的彻底扩大减压。在采用微创手术完成腰椎后路减压固定融合术时,也面临同样问题。
微创的经椎间孔入路腰椎椎间融合术(Minimal Invasive Surgery-Transforaminal Lumbar Interbody Fusion,MIS-TLIF),是在工作通道内进行腰椎后路减压、椎间融合,结合经皮椎弓根钉内固定,显微镜下微创完成传统腰椎后路减压固定融合术。

赵杰教授使用显微镜进行手术
MIS-TLIF手术的工作通道的矢状面安置角度往往以植入融合器的椎间隙方向为中线,工作通道的矢状面远近端摆动角度的范围决定了矢状面头尾端的减压范围。受限于工作通道的矢状面可摆动角度和扩张距离,MIS-TLIF手术的矢状面头尾端减压范围受到了一定限制;受限于工作通道症状侧的单侧安置,对侧神经根管的扩大减压也受到一定限制。
举个例子
本文提供一例病例,高PI的腰椎显著前凸多节段的腰椎管狭窄症合并腰椎滑脱的患者(PI:57度,LL: 62度,图1、2、3),术前影像显示腰3-4、4-5椎管狭窄、椎体滑脱(图2、3),术前临床表现为右侧下肢麻木无力症状,术中接受了双节段MIS-TLIF手术。

图1:术前脊柱全长片:PI:57°、SS:42°

图2:术前腰椎正侧位:腰3-4、4-5滑脱。腰椎矢状面顶椎腰23椎间隙,LL:62°,L34椎间隙与水平成角度21°,L45椎间隙与水平成角26°,椎间隙方向为术中工作通道方向。

图3:术前核磁:腰3-4、4-5椎管狭窄
术中工作通道建立在右侧症状侧,在显微镜下以右侧单侧症状侧椎管减压为主;工作通道头倾21度,平行椎间隙方向安置(腰3-4椎间隙与水平成角21度,图2),术中矢状面近端减压时,尽量向头端摆动和扩张工作通道,矢状面近端减压范围停止于腰椎矢状面前凸的顶椎远端(图5)。

图4:第一次术后X ray

图5:第一次手术近段减压交界区腰3下椎板
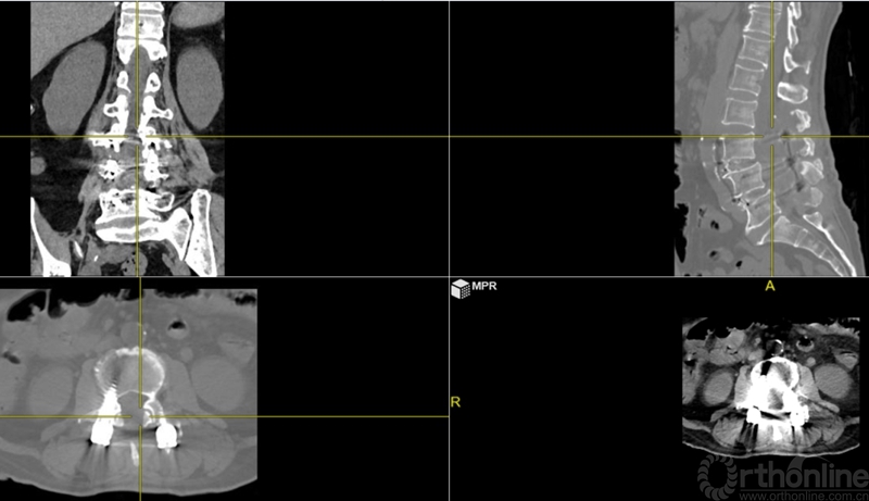
术后麻醉清醒后出现急性腰椎管狭窄症状:双足屈伸活动无力伴有麻木,以术前对侧无症状侧的左侧肢体为重。核磁显示:近端减压交界区硬膜囊成角和卡压,硬膜囊向右侧椎管减压侧漂移(图6、7)。

图6:第一次术后核磁:近端减压交界区硬膜囊成角卡压

图7:术后核磁:硬膜囊右侧减压侧椎管漂移
观察24小时后无明显改善,再次行开放腰椎全椎板扩大减压术,近端矢状面扩大减压延伸过腰椎矢状面顶椎(图8),左侧腰4、5及骶1神经根管扩大减压,直至肉眼辨别无明显交界区卡压和神经根紧张(图9)。

图8:第二次减压近端延伸至腰2椎体后方,保留腰1-2小关节完整

图9:第二次减压腰2至腰5全椎板减压,腰2-3小关节保留
第二次术后,患者的双下肢症状即明显的开始进行性恢复和改善。
本病例显示:因MIS-TLIF工作通道的远近端摆动角度的范围决定了矢状面头尾端的减压范围,若面对高PI显著腰椎前凸的多节段腰椎管狭窄的病例,近端扩大减压会受到一定限制。

上海交通大学医学院附属第九人民医院骨科(以下简称九院骨科)为国家重点学科、国家临床重点专科、国家211工程重点学科、上海市临床重点专科、上海市临床重点专科(上海市振龙头)。
在赵杰教授的领导下,近十年,九院骨科脊柱外科得到了全面发展。其中的脊柱微创外科团队,已成熟开展了以下技术:内镜下颈椎、腰椎间盘切除术,内镜下腰椎管减压术,微创的经椎间孔入路腰椎椎间融合术,经皮椎弓根钉固定术,经皮椎体成形术,硬膜内窥镜术,椎间盘射频消融术,B超引导神经阻滞等各项脊柱外科微创技术。

赵杰
赵杰,主任医师、教授,博士研究生导师,上海交通大学医学院附属第九人民医院骨科主任。上海市重中之重临床医学中心(骨关节病)学科带头人。
擅长脊柱退行性疾病、脊柱结核、脊柱畸形、脊柱肿瘤及其他多种脊柱疑难疾病的诊疗;多种复杂脊柱疾病的手术及翻修手术。
担任中华医学会骨科学分会委员、上海市医学会骨科学分会副主任委员、上海市医师协会骨科医师分会副会长、中国研究型医院学会骨科创新与转化专业委员会常务委员、中国医师协会骨科医师分会委员、中国康复医学会脊柱脊髓专业委员会脊柱感染学组委员、中国医药生物技术协会计算机辅助外科技术分会委员、上海市康复医学会第七届理事会理事等,同时为中国博士后科学基金评审专家、上海市科学技术专家库成员。
长期致力于脊柱外科临床科研工作,在复杂脊柱疾病的诊疗方面积累了丰富临床经验,擅长多种复杂脊柱疾病的手术。目前承担国家年国家重点研发计划重点专项(课题)、国家自然科学基金、上海市级基金等多项科研项目,近五年来发表SCI论文30余篇,主编、主译出版了《现代骨科学》、《现代骨科手术学》、《微创脊柱外科学》等多部骨科专著。有关腰椎退变性疾病的基础和临床研究荣获2018年度(第十七届)上海医学科技奖二等奖。



京公网安备11010502051256号