汤小东:脊柱肿瘤的治疗“取之有道”
2020-10-26 我要说
目前,恶性肿瘤仍然是中国乃至世界病死率最高的疾病之一。骨是恶性肿瘤转移的常见部位,其中以脊柱转移最为多见,转移性脊髓压迫可引起疼痛、病理性骨折、脊柱不稳等病症,导致神经功能障碍甚至瘫痪,此时需积极干预治疗。
对于治疗脊柱肿瘤,北京大学人民医院骨肿瘤科是目前国内顶尖团队之一,汤小东教授作为该团队的骨干力量,致力于脊柱肿瘤治疗多年,主张将开放手术与微创技术相结合的“杂交”治疗理念,力求在有限的创伤下,使患者获得更好的治疗效果。

汤小东教授
起步晚,发展快
脊柱肿瘤的研究体现中国速度
由于脊柱的解剖位置特殊,加上肿瘤的综合治疗效果不尽理想,脊柱肿瘤的治疗一直是医学界亟待解决的难题之一。早在1971年,瑞典的Stener教授率先开展前后路联合治疗T11-L1骨巨细胞瘤、T7软骨肉瘤的全椎体切除手术,开始了脊柱肿瘤相关诊疗的探索。

近20余年来,中国医生也开始对脊柱肿瘤诊疗进行深入探索,并逐步将脊柱的全椎体切除引入到脊柱肿瘤的治疗当中。虽然相较于国外中国对脊柱肿瘤的探索稍晚,但中国人天生手巧,再加上病源丰富等优势,往往其他国家10年要完成的临床研究,在中国4-5年就可以完成,因而脊柱肿瘤的相关诊疗研究在中国发展很快。目前,中国脊柱肿瘤的外科、内科、放疗等综合治疗水平均已达到国际先进水平。
https://v.qq.com/x/page/m3213516xu5.html
初心使,动力强
脊柱肿瘤的探索不畏披荆斩棘
从学生到医学生,从医学生到骨肿瘤医生,从骨肿瘤医生到脊柱肿瘤医生,汤小东教授一路披荆斩棘,不断挑战高难度疾病的诊疗。他直言,学医之路好比登山,不仅要活到老学到老,随着学习的深入及患者医疗需求的提高,这一路上也会遇到各种挑战和难题,他在兴趣的驱动下,才有了向高难度领域挑战的勇气和决心。
从他选择医学这条道开始,就希望通过自己的努力,使现阶段的医疗技术水平有所提高。在攀登医学这座高峰上,每个人都希望登上珠穆朗玛峰,汤小东教授扎根脊柱肿瘤领域,力求把事业做到极致,解除患者病痛,提高患者的生活质量。
脊柱肿瘤的外科治疗是集脊柱外科和骨肿瘤外科两大高精尖手术为一体,一方面要求医生技术过硬,另一方面也要求医生有顽强的精神和过人的体力。据悉,临床上一个常规的胸腰椎的全椎体切除手术,在没有软组织包块且患者是首次手术的前提下,一位技术娴熟的医生,最少也要耗时4-5个小时;如果所患肿瘤对于切除的外科边界要求比较高,耗时就会更久。
此类手术对于整个手术团队和病人来说,都是一个很大的挑战。身经百战的汤小东教授自从事临床工作初期就孜孜不倦地苦练手术技术,与此同时他也有意坚持体育锻炼,除了外在形象的要求,更多是为自己的专业和患者的救治工作,塑造一个良好的身体基础。
https://v.qq.com/x/page/d321374bc5x.html
功夫深,技巧真
分享脊柱肿瘤治疗宝贵经验
博观而约取,厚积而薄发。脊柱肿瘤的外科治疗效果与术者经验、技术等水平息息相关,汤小东教授通过多年的临床经验总结,在采访中也分享了一些关于脊柱肿瘤外科治疗的“小技巧”。

问题1:在进行脊柱全椎体切除时,以往的文献和操作中都是应用线锯来进行椎间盘或椎体的切开,进而全椎体切除。但是临床操作时不难发现,从前往后进行肿瘤切除时,在前方不好控制线锯的位置,常常出现操作位置有偏差的问题,甚至有时候会进入到一部分肿瘤当中,造成肿瘤范围的不必要扩大,影响手术边界及患者的预后。
汤小东教授经验:通过不断对操作中遇到的问题进行总结,他发现使用一个空心钉预先打入待切除的椎间盘或椎体中,然后通过空心钉导入线锯,这样线锯的位置就可以准确控制,进而很好地切除肿瘤椎体。
问题2:在进行胸椎肿瘤切除时,常常会出现大范围胸膜缺损的情况,原因是手术过程中,肿瘤连带胸膜被一并切除或不当操作导致胸膜破损。
汤小东教授经验:针对胸膜修复问题,汤小东教授常常采用人造胸膜补片常规进行胸膜修复,使之在胸腔和脊柱的伤口之间形成人工屏障,因而手术所产生的液体就不会进入胸腔,而是随着引流管排出体外,大大降低了胸腔感染的机率,缩短了引流管的留置时间,加快了患者的康复速度。
技艺强,再探索
脊柱肿瘤微创治疗带来福音
脊柱肿瘤中很大一部分是转移瘤,其发病率远远高于原发肿瘤。临床上通过靶向药物治疗原发肿瘤,已能使患者生存期得到很大改善,但随着生存时间的延长原发肿瘤会发生骨转移,给患者的生活质量造成影响,针对这类患者的外科治疗是非常有必要的。
对于脊柱肿瘤的治疗传统意义上就是进行开放手术,由于临近脊髓、脏器和血管等重要的解剖结构,有时治疗效果也不太理想。肿瘤切除手术往往需要较大的切口,以便于手术部位更好显露,这对原发肿瘤来说是必要的,但对转移瘤的治疗就会产生一定问题。
因为转移瘤出现在肿瘤患者发病的终末期,此时患者不仅要治疗转移瘤,还需要很好的全身治疗。较大的手术切口往往会导致患者术后恢复时间长,进而影响全身治疗的开展,延误其他治疗时机,给患者预后带来不利影响。
近年来,微创理念日益深入人心,临床医生又在思索如何在有限的创伤下,使患者获得更好的治疗效果。在脊柱疾病的治疗中,微创技术已经得到了广泛的应用,但是在脊柱肿瘤领域还是很有限,汤小东教授率先将微创理念应用到脊柱转移瘤的治疗中,让患者在最小的创伤获得最好的治疗效果。
https://v.qq.com/x/page/i3213utwfgk.html
勤钻研,不妥协
脊柱肿瘤微创治疗收效良好
从2010年至今,汤小东教授不断探索脊柱肿瘤的微创治疗,并将其成功应用于脊柱转移瘤等患者,临床治疗效果与传统手术相比更有优势。

如果脊柱肿瘤未对脊髓、神经根造成明显压迫,仅存在脊柱不稳定的情况,临床上经皮处理即可,即经皮注射骨水泥或进行椎弓根螺钉固定,脊柱恢复稳定后,患者便可进行综合治疗。对于有明显脊髓压迫的患者,采用微创杂交手术进行稳定脊柱及脊髓减压的治疗,杂交手术相较于以往的切口要小2-3倍,之后加上立体定向放疗方可对肿瘤进行很好的控制。
汤小东教授提醒临床医生,虽然微创技术解决了脊柱肿瘤治疗的诸多难题,但是患者的预后也是因人而异的,受到很多方面的影响。至于采用何种治疗方法,取决于肿瘤本身和手术效果这两大决定因素。
对于进展非常快、恶性程度高的肿瘤,如果采用传统开放手术,创伤大且肿瘤进展快,预后不太理想。这时采用微创治疗,不仅不会延误患者的综合治疗,还有效提高了患者的生存质量,使患者更加获益。对于恶性程度低、评估生存期相对较长的肿瘤患者,这时候进行微创治疗就更有价值了。
脊柱转移瘤微创治疗最大的积极意义是,使用外科治疗手段提高了患者的生活质量,延缓或阻止了截瘫的发生。该方法使患者的创伤得到了有效地控制,避免了传统大切口手术后不能同时进行综合治疗的弊端,同时解决了开放手术出血量多、恢复时间久、并发症等问题。
https://v.qq.com/x/page/w32133mi8nt.html
病例详解
患者房某,男性、51岁。主因“腰痛3个月”入院,既往外院诊断“周围型肺腺癌”,全身检查提示多发骨转移。
经Spine Oncology Study Group(SOSG)评估硬膜外脊髓压迫(ESCC)为Grade 1a型,轻度脊髓压迫;脊柱机械稳定性评估(SINS)7分,中度不稳。修正Tokuhashi评分(RTS)6分,预计生存<6个月,建议姑息性手术及保守治疗;结合Tomita评分系统6分,故行姑息性手术短期控制。



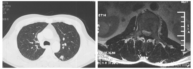
影像学资料

PVP治疗

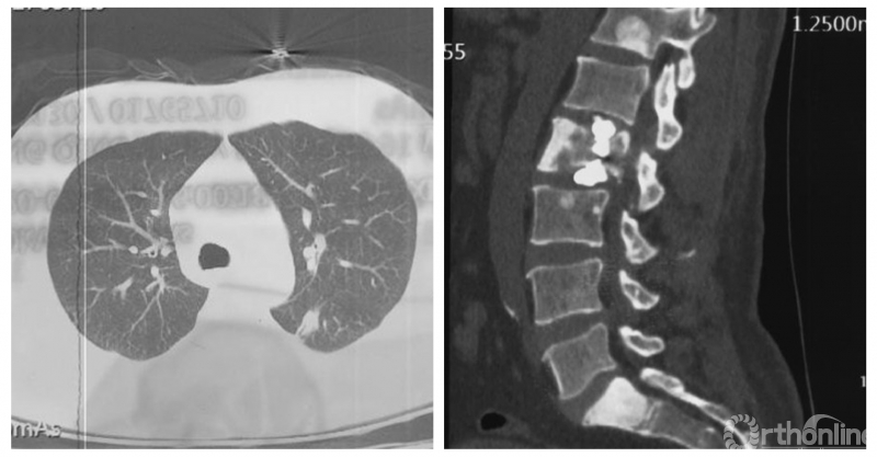
术后6个月
患者腰椎转移瘤术后9个月,因“腰痛伴右下肢疼痛麻木2个月”再次入院。既往在PVP术后曾行化疗及服用埃克替尼靶向药物维持治疗,查体一般状况良好,自主行走,右大腿前外侧麻木。

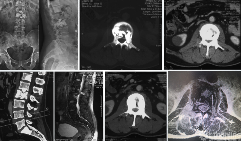
入院影像学资料
经脊柱转移瘤专业评估,ESCC分级为Grade2,对放疗不敏感;SINS评分8分,中度不稳。Karnofsky功能状态评分90%,预计生存时间6个月。NOMS流程建议分离手术和SRS。
常规分离手术可进行360°脊髓减压,充分固定恢复脊柱稳定;但由于其暴露范围广泛,创伤较大,并不适宜患者当前治疗。
为进一步减少创伤,获得更好的综合疗效。骨采用经皮内固定的微创杂交技术,暨经皮内固定结合小切口分离手术,手术失血900ml,术后7天出院。



术中资料
手术视频:http://res.orthonline.com.cn/video/SSZH.mp4
专家简介:

汤小东
医学博士、主任医师、教授、博士生导师
现任北京大学人民医院骨肿瘤科副主任。兼任亚太骨肿瘤协会理事、中华医学会骨科学分会骨肿瘤学组委员、中华医学会肿瘤学分会骨与软组织肿瘤学组委员、中国医师协会骨科医师分会骨肿瘤工作委员会、肩肘外科工作委员会委员,中国抗癌协会肉瘤专业委员会骨转移瘤学组、骨盆肿瘤学组副主任委员、北京医学会骨科学分会骨肿瘤学组副组长、中华医学会医疗鉴定专家,《中华外科杂志》、《骨科临床与基础研究杂志》、《肿瘤研究与临床》通讯编委、《中华实验外科杂志》、《中国肿瘤临床》杂志特约审稿专家。参与《骨科手术学(第四版)》、《骨肿瘤学》、《骨盆肿瘤外科学》等多部专著的编写工作。



京公网安备11010502051256号