骨科常见疾病X线解析之肩部损伤
2020-10-27 我要说
骨本身密度很高,与周围软组织有良好的自然对比度,所以X线检查是临床骨科最重要的检查方法之一。本文针对锁骨骨折和肩锁关节脱位中,较为典型的X片进行介绍,希望对各位同道的临床工作有所帮助。
锁骨骨折
锁骨是桥架于肩胛骨与躯干之间唯一的上肢连接躯干的支架,其体形细而弯曲,故易因外伤而骨折。最常见是锁骨中段骨折,其次是外段骨折。
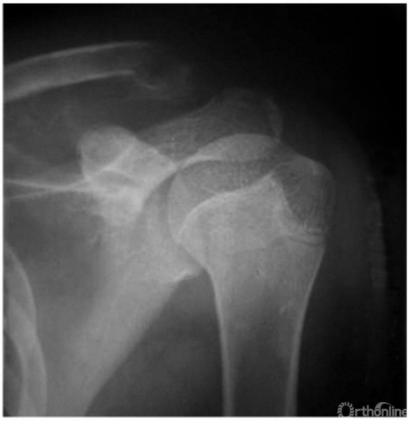
1. 锁骨中段骨折
本例骨折近端因受胸锁乳突肌的牵拉而向后上方翘起,远折端由于喙锁韧带正常而稳定(图1)。

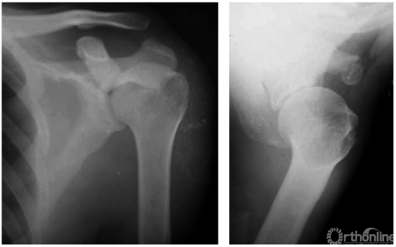
2. 锁骨外段骨折
本例虽系外段骨折,但由于喙锁韧带断裂亦可引起锁骨近折端向后上翘起(图2)。

肩锁关节脱位
肩锁关节本身结构不太坚强,仅靠薄弱的关节囊及其增厚部分所形成的肩锁韧带来稳定,另有喙锁韧带加强了该关节的牢固性,并控制着在垂直方向的活动,从而保持了喙锁间隙正常在1.1~1.3cm的宽度。
如该间隙增宽3~4mm以下则表明此韧带扭伤,此时的肩锁关节尚维持在正常状态;如增宽大于5mm以上时则表明该韧带已发生断裂,此时的肩锁关节必然会发生向上脱位(多呈Ⅲ度脱位)。否则如发生喙突撕脱骨折,此时喙锁间隙虽仍保持正常,而肩锁关节仍是脱位。
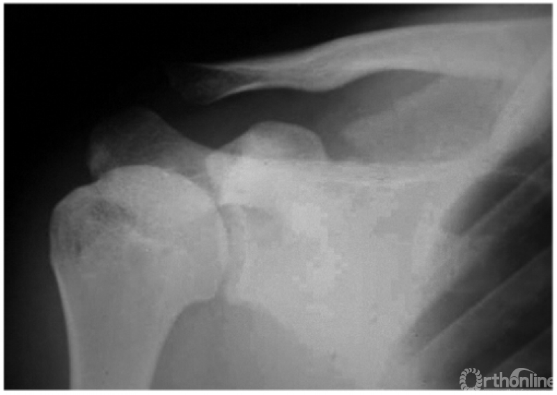
1. 肩锁关节脱位并喙突撕脱骨折
本例虽然肩锁关节发生脱位,但因喙突撕脱骨折而喙锁韧带未断裂,故喙锁间隙正常(图3)。

2. 肩锁关节脱位并喙锁韧带断裂
本例由于肩锁韧带及喙锁韧带均断裂致喙锁间隙扩大与肩锁关节脱位(图4)。

来源:《骨科疾病X线片百例解》
作者:闻善乐



京公网安备11010502051256号