满足临床需求的骨库,这些管理规范要达标
2020-11-24 文章来源:《骨科手术学》 我要说
骨骼为人体的支架。因创伤导致的骨延迟愈合、骨不连、畸形愈合及肿瘤、感染等各种疾病导致的骨缺损,临床处理较为复杂,常需通过手术治疗来重建肢体力线并辅以坚强的内固定。为促进骨愈合及填充骨缺损,常需行局部的骨移植(图4-0-1)。

图4-0-1 植骨、接骨板内固定
文献报道美国每年有50万~60万例植骨手术。自体、同种异体松质骨或皮质骨、脱钙骨基质、磷酸钙类骨替代材料、自体骨髓,均是临床上可选择的材料。随着科学技术的进步,重组骨形态蛋白或细胞因子有望成为未来可选择的骨替代材料。各种植骨材料具有自身的缺点和限制,针对不同的疾病和缺损,选择相应的植骨材料是取得满意疗效的关键。
不同的疾病可造成不同种类的骨缺损,不同部位骨骼的骨缺损类型也有所不同。小的空腔型骨缺损可用碎骨片填充;而大段骨缺损,尤其是骨干的大段缺损则需要整段的骨修复。显然,自体骨无法满足大的空腔型骨缺损或大段骨缺损的修复需要(图4-0-2)。

图4-0-2 髋臼的空腔型骨缺损
此外,年幼儿童可供植骨用的自体骨量有限,因此如何有效地修复骨缺损是临床医师所面临的现实问题,临床上需要能满足骨骼生物力学要求的、足够量的植骨材料。
骨库建立的意义和管理规范
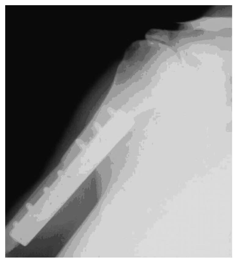
对于大段的骨关节缺损如肿瘤切除后造成的骨缺损,临床处理很困难。采用自体骨可造成供骨部位的功能丧失,而且体内可供的自体骨来源有限。各种生物替代材料如金属假体虽然可供利用,但其存在远期松动、磨损等一系列问题,难以满足重建肢体功能的要求;同种异体骨关节置换是较为理想的方法(图4-0-3、图4-0-4)。

图4-0-3 取下的同种异体肱骨

图4-0-4 肱骨肿瘤切除的同种异体骨关节移植术后X线片
临床上,既往常采用单纯的新鲜自体骨与新鲜异体骨植骨,并采用传统的酒精浸泡储骨等医院内“临时性骨库”的做法,但此种方法既不能满足临床的需要,也不符合国家的标准。因此,需要有相应的骨储存方法来提供充足的植骨材料,只有建立骨库才能满足这种临床需求。
早在1881年,自Macewen首次报告同种骨移植成功的经验之后,就开始了骨保存方法的研究。古巴医生Inclan于1942年建立了第一个真正的骨库。20世纪50年代,美国建立了著名的海军组织库。目前,仅美国每年就有15万件以上的异体骨移植,是其他器官移植的10倍。
建立组织库的首要任务是确保组织移植材料的安全性,防止出现疾病的传播和对人体的损害。尽管过去近70年的经验证明异体骨移植在临床上是比较有效和安全的,但同种异体骨移植仍难绝对避免因感染而导致植骨失败的并发症,同时,也有引起人类疾病交叉传播感染的危险。
有报道大段异体骨移植的感染率高达11.7%。近年来,国内外肝炎、艾滋病等的发病率迅速上升,因此必须加强对这些病毒性污染的检测和筛选。文献报道我国现有1.2亿多人为乙肝携带者,而美国献血员中约有8%为HIV携带者。
美国疾病预防控制中心于1988年就报道了世界第一例因骨移植而感染艾滋病的病例,术后4年患者死亡。Simonds于1992年又报道了1例HIV抗体阴性供体,其组织器官移植给48例患者,2年内查出7例被感染HIV,现4例已死亡。其中未去骨髓的骨关节移植3例,全部感染HIV,而去骨髓的1例及二次消毒移植的30例均未感染HIV。
因此,同种异体组织移植时,应特别重视组织的处理,预防人类疾病的交叉传播感染。
为了加强组织库的质量管理,美国在1976年即成立了美国组织库协会(American Association of Tissue Bank,AATB),负责制定各种标准以保证组织库的行为符合技术标准和伦理规范,保证组织的获取、加工处理、贮藏和发放方法的合理性和可靠性。
AATB的标准不断地总结和更新,始终强调AIDS和肝炎的筛选、无菌技术、供体选择标准以及各种登录保存制度的重要性。1986年AATB根据其标准建立了一个检查和鉴定组织库的程序。申请鉴定的组织库必须就地接受设备和操作的检查,建立的组织库必须依从其标准和基本程序。
骨库的组织制度是保证骨库正常工作的基础,是安全、有效地制备组织移植材料的有力保证。按照AATB的要求,骨库应设立管理委员会,负责制订骨库的工作范围和计划,明确有关的责任和义务,保证骨库的工作符合伦理道德和遵守法律规范。
建立骨库的单位,由从事骨库工作的专家和有经验的组织移植专家组成医学顾问委员会。此委员会对骨库的技术和医学问题提出指导性意见,并依据各种标准制订自己的骨库手册,规范每个具体的操作程序。技术人员应当接受有关的培训,具体完成组织移植材料的制备。同时,应由专人负责骨库的管理工作,具体负责实施管理委员会制定的各项政策,监督各种操作是否按照标准进行,完成各种操作记录;另指派专人(骨科医生)负责骨库的医学质量控制,负责确定供体的筛选,并负责临床使用后的随访和信息反馈。
可用于骨库骨的来源比较丰富,例如无传染病及恶性肿瘤的股骨颈骨折患者被置换下来的股骨头、椎管后路减压术切除的椎板和棘突、开胸术切下来的肋骨、开颅减压术切下来的颅骨及取下的髌骨等。能够提供较多骨量的还有外伤性截肢无污染的肢体骨、死亡4~8小时以内的新鲜尸体等。
骨库就是完成移植骨的获取、处理、保存与分发供医疗机构使用的综合技术,可以提供临床使用的各种骨组织材料。为避免交叉感染的并发症,保证移植骨的无菌、无毒,必须建立一整套的骨库管理制度,包括供体筛选、取骨、移植物处理与保存、质量监测与跟踪、临床随访等一系列质量管理体系。
1988年中国辐射防护研究院在山西省建立了我国第一家医用组织库。1995年8月在太原市召开的我国首次骨移植专题讨论会,深入讨论了骨移植的基础研究与临床应用问题,并参照AATB(1992)技术手册和美国红十字组织库标准(ARCTS,1994)出台了我国同种骨生产技术推荐标准(附同种骨生产技术推荐标准)。目前,我国已有几家较大型或称之为地区性的骨库或组织库,可向周围地区提供骨库移植材料。
同种(异体)骨用于骨移植,对骨缺损和骨内病变进行修补、充填、支撑和固定。为使骨库生产的同种骨满足安全与有效两个原则,主要参考美国组织库协会技术手册(AATB,1992)和美国红十字组织库标准(ARCTS,1994),编写本技术标准,其具体要求如下:
(一)骨的获取
1.供体来源
同种骨的主要来源是死亡供体。获取死亡供体骨组织需遵守当地政府有关法令,得到本人生前和(或)其直系亲属签署的同意捐赠指定部位骨组织的书面证明材料。
2.供体选择标准
有下列情况之一者不得用作供体:病史、体检、化验或尸检证明有全身或局部的活动性感染者、恶性肿瘤患者、性病患者、传染性肝炎或乙型、丙型肝炎血清学反应阳性者、艾滋病或HIVAb血清学反应阳性者或有艾滋病高危险经历(例如吸毒、性病、同性恋、卖淫或嫖娼、来自艾滋病高发区)者、自身免疫疾病患者、中毒患者、长期使用呼吸机者、激素治疗者、取骨部位存在病变或损伤者、死因不明者。当骨被用于结构支持时,供体年龄小于50岁(女)和55岁(男),并大于18岁,带关节软骨的骨材料应低于35岁。当骨被用于充填时,没有年龄限制。
3.获取步骤及方法
(1)活存供体:
活存供体骨来自骨科手术中的废弃骨(如髋关节成形术截下的股骨头),由骨科医生在严格无菌条件下采集。在手术室内放入双层灭菌塑料袋中,暂存于-20℃以下冰箱,2周内由骨库工作人员利用低温容器取回。截肢后的肢体用灭菌布包裹,当日送往骨库,采用与尸体取骨相同的无菌操作取骨。
(2)死亡供体
1)获取时间:
死亡后12小时内(室温条件下)或24小时内(2~10℃条件下)。
2)术前准备:
取骨应在与手术室洁净程度相当的房间内进行,并按外科手术要求进行术前准备。
3)取骨方法:
按骨、关节、韧带、肌腱的解剖学部位分离和切取所要获取的骨骼,取骨的顺序依次为四肢关节、躯干、颌骨。
4)尸体复形:
切取肢体的部分长骨如膝关节时,应该用木棍充塞、支撑取骨后的缺损,进行复形。
5)骨获取后的保存和运送:
获取的骨骼立即送往骨库进行制备或低温保存。假如需经6小时以上方能送到制备或保存地点,需放入装有冰袋或干冰的隔温箱内携带。
(二)制备、封装与灭菌
1.骨关节同种移植物
带关节软骨的骨关节移植物经常是刮除表面骨膜及保留周围韧带或关节囊的股骨下端和胫骨上端,或从该处截取的部分骨块。为保持软骨细胞存活,不经二次灭菌,因此,需在严格无菌条件下获取和锯裁。尸体血液菌检和骨多点擦拭菌检阳性者放弃不用。获取和锯裁后,按下述方法制成新鲜的或冷冻保存的骨关节移植物。
(1)新鲜保存:将骨材料放入含有抗生素的营养液2~8℃下保存,96小时之内使用。患者需对所用抗生素没有过敏反应。
(2)冷冻保存:
将纱布和棉花浸蘸内含冷冻保护剂(15%甘油)的营养培养液,包覆于软骨表面,封入3层塑料袋,标记后置入-70℃以下冰箱保存<5年,或浸入冷冻保护营养液经逐步降温后冷冻保存。冷冻保存的软骨细胞的存活能力不如新鲜保存,但骨端愈合优于新鲜保存。必要时,骨关节移植物可以像制备深度冷冻骨一样进行二次灭菌,这时软骨细胞将全部死亡。
2.深度冷冻骨
取新获取的或低温保存后解冻的同种骨,将表面软组织、骨膜和骨端软骨剔除刮净,根据需要将皮质骨和松质骨锯裁成不同尺寸的骨段、骨条、骨块、骨板和骨钉。用灭菌盐水或蒸馏水彻底清洗,除掉骨髓组织。取出后,在空气过滤与换气达到洁净度10万级的控制间内,将产品放入3层塑料袋中。外侧两层之间贴附产品标签和灭菌标签,逐层封烫,最外层的封烫宽度>5mm。然后,进行能穿透产品包装的有效的二次灭菌。推荐使用环氧乙烷或辐照灭菌(剂量15~20kGy),-70℃保存<5年。经严格无菌获取,并于封装前擦拭菌检阴性的产品可不经二次灭菌。为减少深度冷冻骨内的水分,需在水洗后进行离心脱水,然后封装、灭菌,并保存于-70℃。产品封装也可使用安瓿或其他有效密封容器。
3.冷冻干燥骨
将新制成的深度冷冻骨放入干燥机,使骨内含水量降低到5%以下。然后封装,二次灭菌,室温下保存<5年。冷冻干燥骨通常适于制备松质骨条、骨块、骨钉和需要室温运送与保存的大段骨。
4.AAA骨、脱矿骨和表面脱矿骨
AAA骨(去抗原自溶同种骨,antigen-extracted autolysedallogeneic bone)是经特殊方法制备的脱矿骨。它与普通盐酸脱矿骨一样,都是一种保存骨形成蛋白(BMP)和具有骨诱导能力的骨移植材料,多用于骨腔充填和成骨,因机械强度下降,不适于承重。
(1) AAA骨的制备程序(Urist 1980):
① 1∶1乙醚乙醇液 25℃浸 4小时,脱脂,除去脂蛋白;②0.6mol/L HCl 2℃浸24小时,脱矿,除去酸溶性蛋白;③0.1mol/L磷酸缓冲液pH 7.4,每升内含10mmol/L碘醋酸和10mmol/L叠氮化钠,37℃浸72小时,使移植抗原自溶,保护BMP;④冷冻干燥,然后封存,二次灭菌,室温保存<5年。
(2)单纯脱矿骨的制备程序:
0.6mol/L HCl 2℃或室温浸泡12小时或24小时,彻底冲洗,然后冷冻干燥,封存和二次灭菌方法同上。
5.骨粉
将经过冷冻干燥的AAA骨、脱矿骨或未脱矿骨研磨成骨粉。骨粉直径0.05~0.5mm,由不同孔目的筛网获得。直径小于0.05mm者成骨活性有限,弃去不用。用磁铁除去可能来自研磨机的微细铁屑。合格骨粉封装后二次灭菌,在室温下保存<5年,主要用于充填颌面的较小骨腔。
6.骨-腱-骨材料
将髌韧带连同其所附着的胫骨和髌骨小块一同取出,制成骨-腱-骨移植物,或将跟腱连同小块跟骨一同取出,制成骨-腱移植物,按制备深度冷冻骨或冷冻干燥骨的方法进行处理和保存。骨-腱-骨用于修复韧带,例如膝关节交叉韧带。
(三)质量管理
1.一般原则骨库须指定不直接承担(或不主要承担)组织材料制备任务的专人负责质量管理工作,包括为保证产品安全与质量所需要的检验项目、记录登记与档案资料的管理以及内部的质量审核与总结。
2.质量检验项目
(1)不进行二次灭菌的产品其多点擦拭菌检需为阴性。
(2)进行二次灭菌的产品的灭菌检验:将封装在塑料袋内的对照菌条(如枯草杆菌或短小芽胞杆菌)与产品同时接受二次灭菌,然后对菌条进行检菌并对每批组织产品进行抽样(不低于3%)检菌。对照菌条或抽样产品菌检阳性者不能使用。应不定期检验产品封装前的初始菌量,以便对所用灭菌保证剂量进行确认,保证产品灭菌后微生物的存活几率不超过10-6。
(3)灭菌效果检验:全部二次灭菌产品均应贴附灭菌反应标签,灭菌后须以规定的颜色表示。
(4)冷冻干燥材料含水量检验:含水量需低于干燥后重量的5%。
(5)包装材料的质量检验:应保证产品包装在灭菌和保存过程中没有破漏、不形成有毒物质的材料内。
3.骨库生产技术手册
骨库应该根据技术标准和质量保证的一般原则建立自己的生产技术手册,对生产过程的每个重要的具体操作程序加以限定,以保证产品达到规定的质量标准。
4.记录
骨库应建立记录保存制度,包括供体、获取、制备、灭菌、菌检、库存、发放、临床应用随访和仪器设备维护等记录。每个产品都有编号,通过产品编号和生产记录可以对每个组织的来源进行追溯。
5.产品标签和产品说明
产品包装上应贴附产品标签,提供产品名称、生产日期、保存方法、使用方法、生产单位。包装盒(或外包装)内需附有产品说明,提供该产品制备、质量责任与临床应用的必要信息。
(四)产品发放、应用与质量责任
1.产品发放
将质量检验合格的产品登记到产品库存登记表。产品应根据库存登记表进行发放。发放者应核实产品包装上的标签,证明灭菌反应标签颜色合格,产品编号与产品库存登记表一致,产品内容与用户的要求(书面)一致,产品包装没有破损,然后发出,同时填写产品发放登记表。冷冻干燥产品可在常温下运送。长途运送未经脱水的冷冻骨时,应将其放于隔温容器中,内盛足够的干冰或液氮。如在出库后6小时内使用或运送离心干燥的产品,需用内盛冰袋的隔温容器。
2.产品应用
应通知用户:在收到产品后,登记产品编号,以备日后查询;并检查产品标签、灭菌反应标签和包装中的产品。假如发现包装破漏、灭菌标签没有达到规定的颜色、包装内的产品与产品标签内容不符时(特别是骨关节材料左、右侧和尺寸不符时)不应使用,并尽快通知供货单位。在手术室内用碘酊、酒精消毒外层包装,然后逐层启开,取出产品。为使产品复温和复水,应在手术室内把产品放入40℃灭菌盐水中,其中可加入不引起患者过敏反应的抗生素。同一包装内的产品使用后,剩余部分不得供给其他患者使用,以防止可能出现的交叉感染或细菌污染。
3.质量责任
骨库应对发放的骨产品的质量和防止疾病传播承担责任。骨库应保证获取、制备、灭菌、保存和质量管理的操作程序符合骨库制定和执行的技术标准。假如临床使用后出现疾病传播或局部感染,并有证据说明这些后果来自启开包装前的产品上存在未被有效灭菌的微生物或来自不合格的供体,骨库应对此承担产品质量责任,并尽快将来自同一供体的和同批生产的产品追回、扣发或销毁。骨库可以根据用户的要求,向用户提供不同种类骨产品的用途与使用方法的技术资料,供用户参考。
来源:《骨科手术学》
相关阅读:



京公网安备11010502051256号