蛇眼一针法:颈胸椎椎弓根螺钉置入新方法
2020-12-11 文章来源:海军军医大学附属长征医院脊柱外科第二病区 孙凯强 朱健 史建刚 我要说
传统的颈胸段椎弓根置钉方法对于确定进钉点和进钉角难度较大,一种创新的徒手置钉方法——蛇眼一针法,可有效提高置钉安全性和简便性。由于用这种方法置钉时,在直视下看手术区域中间红色的松质骨和周围白色的皮质骨形似“蛇眼”,提出此方法的长征医院脊柱二科史建刚教授故将其命名为“蛇眼一针法”。
常见的椎弓根螺钉置入法
椎弓根螺钉置入是脊柱外科手术最基本的操作之一,生物力学研究发现相比于其他后路固定方法,椎弓根螺钉具有固定牢固,矫形效果好等优势1。从解剖学上讲,椎弓根是连接椎体和椎板的重要的骨型结构,椎弓根螺钉的置入可以同时实现脊柱三柱的固定,实现最稳定的固定效果。
计算机辅助技术极大地影响了传统置钉方法,使得置钉的精度明显提高,尤其是对于先天性脊椎畸形的病人。其他术中导航技术包括术中3D-CT成像导航、X线辅助透视技术,以及机器人辅助技术,然而这些技术仍然无法避免神经血管损伤的高发生率,尤其是对于颈胸段脊柱的手术2,3。
颈胸段(C6-T6)由于其周围复杂的解剖结构,成为脊柱特殊的节段区域4。同时,颈胸段是颈椎和胸椎的过渡节段,具有由高活动节段突然向相对固定节段变化、前凸向后凸变化等特点,这使得颈胸段脊柱具有独特的生物力学稳定性5。
以上解剖学和生物力学的特殊性是的颈胸段的手术风险和困难增加。而且,相比腰椎,颈胸段的椎弓根直径相对较小,增加了椎弓根螺钉贯穿的风险。因此,寻找一种新的颈胸段椎弓根螺钉置入的方法具有重要的临床意义。
近年来,椎弓根螺钉徒手置入在脊柱外科广泛开展,尤其在急诊和资源有限的野战条件下。Albumin方法、Jeanneret方法,、fenestratio方法和funnel方法都是常见的颈胸椎椎弓根螺钉置入方法6-9。
这些传统的置钉方法有两个关键点:第一,找到进钉点;第二,确定进钉角。然而,不同人群变化的解剖差异使得进钉角度的确定具有一定的困难,尤其是对于年轻的初学者,延长了学习周期。
蛇眼一针置钉法
长征医院脊柱二科的史建刚教授基于多年临床经验和对人体标本的全面研究,提出了颈胸段椎弓根螺钉徒手置入的创新的方法——蛇眼一针法。该置钉技术利用横突根部,椎弓根峡部和椎体的上关节突间的区域作为参照对象用来确定进钉点,极大地提高了术中置钉的安全性和简便性。
该方法术中需要去除该区域内的皮质骨,暴露内层的松质骨。由于该区域皮质骨缺乏血供直视下呈现出白色,而松质骨血供丰富,暴露出后呈现出红色。中间的红色的松质骨和周围白色的皮质骨形似“蛇眼”,因此,史建刚教授将该技术命名为“蛇眼一针法”。
相关研究成果已被国内骨科权威杂志《中华骨科杂志-英文版》接收。在此汇报该研究结果。
■研究方法
回顾分析收集2017年12月至2019年4月期间,在我科室接受颈胸段内固定的患者共计40例。根据置钉方法的不同,病人分为传统置钉(Jeanneret法)组(22例患者,108枚螺钉)和蛇眼一针法组(18例患者,92枚螺钉)。
患者手术原因包括:26例颈胸段外伤、9例脊髓型颈椎病、4例颈椎间盘突出合并椎管狭窄、1例神经根型颈椎病。
■“蛇眼一针法”置钉技术
主要手术器械:椎弓根钉、定制的钝头开路器、皮质骨磨钻头、电钻动力传导装置,控制开关和2mm电动蘑菇状钻头(图1)。

图1 关键手术器械
手术步骤:
患者采用气管内麻醉后,采用后路正中线切口,暴露双侧的关节突关节和椎板。术中三个解剖标注作为参照对象用来确定进钉点,包括横突根部、椎弓根峡部和椎体的上关节突。
因此进钉点确定于上关节突的下边界,横突根部内侧边界和椎弓根峡部组成的三角区域内 (图2,A,B)。使用Rongeur或者高速磨钻去除该区域内的皮质骨,暴露内层的松质骨(图2,C)。中间血供丰富的红色松质骨和周围缺乏血供的白色皮质骨形似“蛇眼“,这就是”蛇眼一针法“之名的由来(图2,D)。
随后,使用我们用独立设计的钝性圆头型开路器(关键置钉设备),轻轻敲打开路器(且不可用力过大),使得开路器逐渐进入椎弓根(图2,E)。开路器约进入30mm左右,可用探针探查出一轨道,以防出现贯穿(图2,F,以及图3,A和B)。整个开路过程中,开路器沿着松质骨前进,形成一个人工的轨道。
然后沿着轨迹,在椎弓根皮质骨内部插入丝攻,共约40mm(图2,F)。最后,再次使用钝头探针探查开出的松质骨轨迹以确定周围皮质骨的完整(图3,C)。椎弓根钉轨道形成后,使用适当长度的直径3.5-4mm的椎弓根螺钉沿着既定的轨道置入椎弓根。术中采用C臂机进行椎弓根螺钉植入前后的确认。

图2 “蛇眼一针置钉法“示意图

图3 术中确认置钉轨道良好
■评价指标
• 一般指标包括病人的基本信息(年龄、性别,BMI、吸烟状况和高血压等)。
• 主要评价指标包括置钉时间、置钉精确度评价(Rampersaud标准)、手术相关并发症(肺栓塞或其他血栓性事件、手术部位感染)、神经血管损伤、死亡。
■手术结果
两组患者术前一般资料无明显的统计学差异。“蛇眼一针法“组的置钉时间明显少于传统置钉的时间。根据Rampersaud标准,“蛇眼一针法“组置钉精确率占85.87%,而传统置钉组置钉的精确率为62.96%。
关于手术相关的并发症,两组患者未表现出明显的统计学差异。传统置钉组出现2例手术部位的感染和1例神经血管损伤,而”蛇眼一针法“组仅仅出现1例神经血管损伤。患者在及时的处理下均获得了较好的恢复。
表1 两组患者术后主要评价指标比较

■病例展示

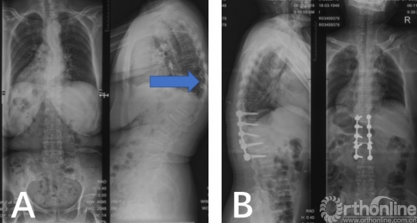
图4 病例1术前术后影像学资料
病例1,52岁女性患者,术前影像学提示脊柱后凸畸形压迫内脏。患者在我科接受侧弯纠正手术,术中采用“蛇眼一针法“进行椎弓根螺钉定位,术后显示后凸畸形纠正满意,椎弓根钉置入良好(图4)。

图5 病例2术前术后影像学资料
病例2,47岁女性患者,术前影像学提示胸5-9后纵韧带骨化致神经功能障碍。患者接受治疗胸椎前移椎管扩大减压术,术中采用“蛇眼一针法“进行椎弓根螺钉定位。术后影像学提示椎弓根钉置入良好(图5)。
■讨论
徒手椎弓根螺钉置入术由于其可同时实现脊柱三柱固定,在脊柱后路手术得到广泛的应用。颈胸节段的螺钉置入具有临床难度,甚至对于经验丰富的脊柱外科医生亦如此。
我们研究发现”蛇眼一针置钉法“是一种有效,安全,快速的徒手置钉方法。尽管颈胸椎椎弓根直径较小,但是”蛇眼一针法“使用专门设计的开路器能够有效实现螺钉轨迹的开槽,同时降低贯穿的发生。
尽管目前术中导航系统能极大地提高手术的精确性,但是此类系统花费高,辐射大,而且术中调试机器将增加手术的时间和复杂性,多数医院未能配备,这限制了其推广10。
徒手椎弓根螺钉置入要求术者熟练掌握颈胸椎解剖知识,并进行全面科学的术前规划。我们认为,确定进钉点是椎弓根钉成功置入的第一要务。本研究中,我们采用上关节突的下边界、横突根部内侧边界和椎弓根峡部组成的三角区域内作为进钉点的选择。该进钉点有利于移除皮质骨,暴露松质骨,而且临床实践发现该处区域个体间变异较小。
通过本研究,我们发现”蛇眼一针置钉法“的优势就是明显缩短了置钉所需要的时间,这能显著提高脊柱外科医生的手术效率。同时该操作方法无需影像学导航,这既能减少术者和患者的辐射暴露,又为紧急或野战情况操作提供了便利。其学习曲线相对较低,对初学者具有重要意义。
这项技术采用了专门设计的钝性圆头型开路器(关键置钉设备),通过轻轻敲打的方式让开路器沿着松质骨的方向逐渐前进到椎弓根,由于整个过程有皮质骨的限制且没有人为施加角度调整的力度,使得开路器沿着皮质骨的方向自身不断调整角度,这能够降低椎弓根突出到椎管或椎体外的风险,降低神经血管损伤的发生率。
然而,本研究仅仅是”蛇眼一针法“用于颈胸椎椎弓根螺钉置入的初步研究结果,我们目前的病例数尚少,未来需要更大的样本量来验证本研究的结果。同时,基于临床实践我们发现,”蛇眼一针法“的实施需要术者具有一定的脊柱外科手术经验,这将增加进钉点定位的准确度。
■总结
“蛇眼一针法”是一种安全、有效、简单的颈胸椎节段椎弓根螺钉置入法,尤其在急诊条件和野战条件下具有重要的临床价值。
参考文献:
1. Tian NF, Huang QS, Zhou P, et al. Pedicle screw insertion accuracy with different assisted methods: a systematic review and meta-analysis of comparative studies. Eur Spine J, 2011, 20: 846-859.
2. Xu RM, Ma WH, Wang Q, et al. A free-hand technique for pedicle screw placement in the lower cervical spine. Orthop Surg, 2009, 1: 107-112.
3. Kim YJ, Lenke LG, Bridwell KH, et al. Free Hand Pedicle Screw Placement in the Thoracic Spine: Is it Safe? Spine, 2004, 29: 333-342.
4. An HS, Wise JJ, Xu R. Anatomy of the cervicothoracic junction: a study of cadaveric dissection, cryomicrotomy, and magnetic resonance imaging. J Spinal Disord, 1999, 12: 519-525.
5. Zhuang Z, Chen Y, Han H, et al. Thoracic pedicle morphometry in different body height population: a three-dimensional study using reformatted computed tomography. Spine, 2011, 36: 1547-1554.
6. Abumi K, Kaneda K. Pedicle Screw Fixation for Nontraumatic Lesions of the Cervical Spine. Spine, 1997, 22: 1853-1863.
7. Jeanneret B, Gebhard JS, Magerl F. Trans-pedicular Screw Fixation of Articular Mass Fracture-Separation. J Spinal Disord, 1994, 7: 222-229.
8. Ebraheim N. Anatomic relations of the thoracic pedicle to the adjacent neural structures. Spine, 1997, 22: 1553-1556.
9. Karaikovic EE, Yingsakmongkol W, Gaines RW. Accuracy of Cervical Pedicle Screw Placement Using the Funnel Technique. Spine, 2001, 26: 2456-2462.
10. Liu J, Li Y, Wu Y, et al. A Novel Method of Cervical Pedicle Screw Placement from C3 to C5 and Its Clinical Applications. Spine, 2013, 38: 504-512.
作者简介

孙凯强
• 海军军医大学附属长征医院骨科医院脊柱外科第二病区博士研究生。
• 研究方向:椎间盘退变,骨质疏松。
• 荣誉奖励:荣立个人三等功一次,优秀学员6次,一等奖学金4次,个人嘉奖5次,校级金质奖章优秀毕业生。
• 科研成果:目前以第一作者和共同第一作者在《Cell cycle》《European Spine Journal》《International Orthopedics》《Annals of Translational Medicine》《Clinical Spine Surgery》《Clinical Neurosurgery and Neurotology》《American journal of medical Genetics》《World Neurosurgery》《Orthopaedic Surgery》《Medical Science Monitor》等杂志共发表SCI论文19篇,中文核心期刊5篇,参编专著3部,授权国家发明专利1项(第三位),实用新型专利10项。

朱健
• 海军军医大学附属长征医院骨科医院脊柱外科第二病区硕士研究生。
• 研究方向:椎间盘退变,骨质疏松。
• 荣誉奖励:荣立军队“四有军人”称号,军队个人嘉奖两次,优秀学员4次,一等奖学金一次,校级银质奖章优秀毕业生。
• 科研成果:目前以第一作者和共同第一作者在《Cell Cycle》《Orthopaedics Surgery》《World Neurosurgery》发表SCI四篇,中文核心期刊7篇,参编专著2部,授权实用新型专利3项。

史建刚
• 主任医师、教授、博士生导师,上海市领军人才,上海市“新百人”,海军军医大学附属长征医院骨科医院脊柱外科第二病区主任。
• 学术专长:颈椎病、腰椎病的外科治疗及微创治疗;脊柱韧带骨化症(颈椎后纵韧带骨化、胸椎后纵韧带骨化、黄韧带骨化);脊柱脊髓发育性畸形(脊髓栓系综合征、半椎体畸形等);腰骶神经弓弦疾病。
• 学术任职:中华医学会骨科学分会脊柱学组委员;中国医药教育协会骨科脊柱分会主任委员。
• 主要荣誉:发表文章100余篇,SCI70余篇;主编专著6部,在编3部;获国家、军队及省部级课题10余项;获国家、军队及省部级奖项10余项;获国家发明及实用新型专利30余项;立个人三等功2次。
相关阅读:




京公网安备11010502051256号