骨科常见疾病X线解析之肱骨远端全骨骺分离
2021-02-01 我要说
肱骨远端全骨骺分离是肱骨髁上骨折发生在幼儿发育阶段的一种特殊损伤类型,但它比髁上骨折位置更低,其中以向尺侧滑脱最多见,由于幼儿期肘部骨骺多未骨化,骨折线往往不能通过X线直接显影,其误诊率为骨折的首位。至10岁左右肱骨远端的骨骺才全部显现出来。如新生儿则多为SalterⅠ型(即全骨骺滑脱),若儿童则为SalterⅡ型(即骨折线通过骺板后,又带一干骺端小骨片)。
由于肱骨小头骨骺在出生后2~4个月时就较早出现,所以该骨骺的影像改变是诊断的主要依据。其要点如下:
1.小头骨骺与肱骨干的对位关系;
2.该骨骺与桡骨近端的对位关系;
3.该骨骺有无旋转移位;
4.肱骨干与尺桡骨长轴的对位关系。对个别诊断有困难者可做CT、MR成像做进一步检查。
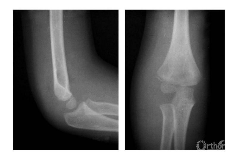
一、无移位型
例:仅见骨折线通过干骺端(图1)。

图1
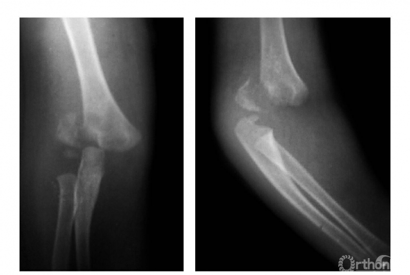
二、尺偏型
例:见肱骨小头及滑车骨骺伴前臂骨一同移向肘之尺侧,并略有旋转(图2)。

图2
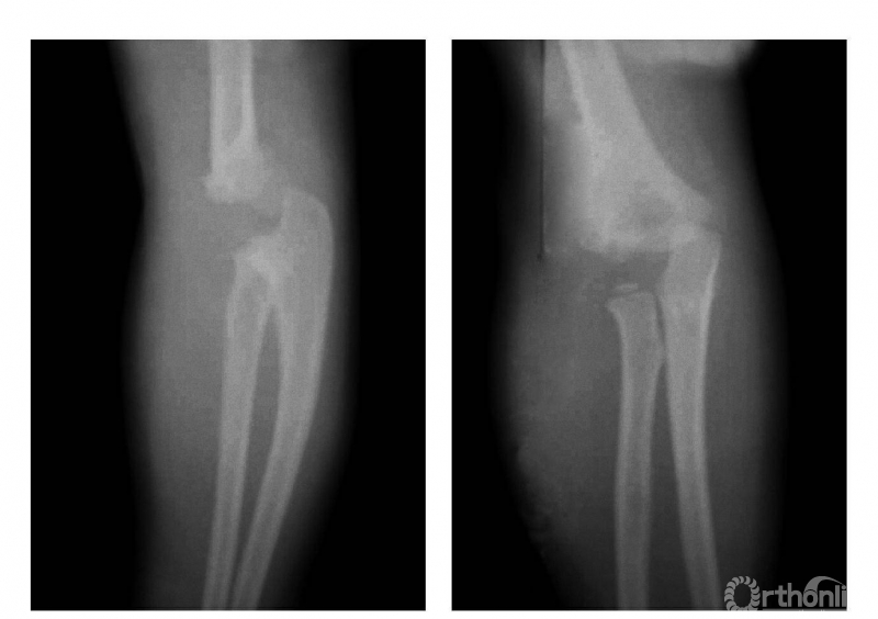
三、伸展型
例:肱骨下端骨骺分离伴前臂向后侧移位(图3)。

图3
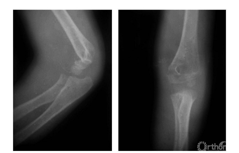
四、屈曲型
例:肱骨下端骨骺分离伴前臂向前移位(图4)。

图4
五、桡偏型
例:肱骨下端骨骺分离伴前臂一起向桡侧移位(图5)。

图5
来源:《骨科疾病X线片百例解》
作者:闻善乐



京公网安备11010502051256号