临床常见的三类盘状半月板治疗策略
2021-02-04 文章来源:《骨科学》 我要说
盘状半月板(discoid meniscus)是一种发育性的半月板畸形,多发生于外侧,内侧极为少见。盘状半月板除形状异常外,其厚度与宽度都比正常半月板厚且宽,表面凹凸不平。
一、分型
Smillie依据盘状软骨吸收停滞时间早晚的不同将其分为3型:原始型、中间型、幼儿型。而目前广为使用的分型是Watanabe在1967年制订的分类系统,按照外侧胫骨平台覆盖的程度和后方半月板胫骨附着部是否正常,将外侧盘状半月板分为完全、不完全和Wrisberg韧带型(图4-10-1-1)。

图4-10-1-1 Watanabe盘状半月板分类系统
A.完全型;B.不完全型;C.Wrisberg韧带型
(1)完全型:
半月板能够完全覆盖胫骨平台面,后部有附着。
(2)不完全型:
半月板中央部宽于正常半月板,但是只能部分覆盖胫骨平台面,后部有附着。
(3)Wrisberg韧带型:
半月板通常在大小和形状上接近正常,除了Wrisberg韧带外,无后部附着。由于此类型半月板并不呈盘状,Neuschwander等将其描述为缺少后冠状韧带的外侧半月板变异,以区别于真正的盘状半月板。
二、病理
盘状半月板由于其形态异常,易于损伤。常引起外后角部破裂及由中央向外侧边缘不同方向的裂开,此外,还可能水平破裂。如果是发生在半月板内部的破裂,由于具有隐藏性,有时在外表并不能看出。
三、临床表现
相当一部分患者并不具有症状,而是在关节腔造影或关节镜检查时偶然发现。当盘状半月板无损伤时,仅在膝关节屈曲后再伸直至15°至25°时出现跳动感,有时并发出钝性响声,称为关节弹拨,这一征象为盘状半月板所特有,可与半月板损伤相鉴别。当半月板出现损伤时,常出现膝关节疼痛,进而出现膝关节伸直受限,并有明显的伸直痛,胫骨平台外侧有压痛,麦氏征及Apley试验可呈阳性。
四、辅助检查
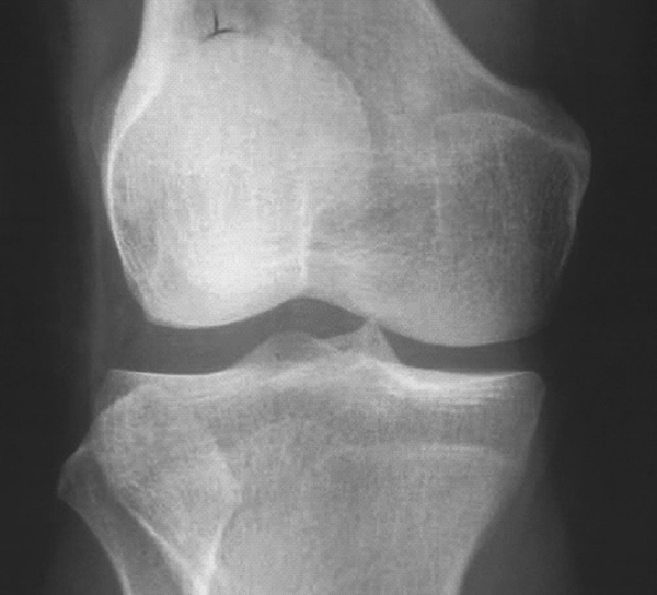
X平片常表现不明显,可有患肢外侧关节间隙增宽,胫骨髁间棘高尖及腓骨小头高位等征象(图4-10-1-2)。但X线诊断盘状半月板特异性不够,仍需辅助检查。

图4-10-1-2 右膝外侧盘状半月板,外侧间隙明显增宽
目前临床较常用的是MRI诊断,当看到半月板向中央延伸,其厚度并未改变,就要怀疑盘状软骨。软骨的中央超过12mm,而且厚度一直不变,也是一个征象(图4-10-1-3)。

图4-10-1-3 盘状半月板MRI表现,外侧半月板明显增厚,向中央延伸
诊断的金标准是关节镜检查所见,而且关节镜下可以直接手术将损伤的盘状半月板切除。但关节镜为有创方法,作为诊断,临床一般用骨科查体配合MRI检查(图4-10-1-4)。

图4-10-1-4 膝关节镜下盘状半月板
五、治疗
治疗的策略主要根据损伤的类型及相关的症状,对于无症状或者只在行关节镜检查或切开手术时偶然发现的、无损伤的完全或不完全型盘状半月板多不需要手术治疗,应嘱患者避免剧烈运动以防止半月板的损伤。
对于已有半月板损伤造成膝关节疼痛、弹响的完全或不完全型盘状半月板,应予以手术治疗。目前多采用关节镜下行盘状半月板手术治疗,根据破损的程度、类型及位置,可以分为盘状半月板缝合修补术、部分半月板切除术和半月板全切术。
当半月板单纯缝合无法达到满意效果时,宜行半月板切除,目前多倾向于部分切除,保留6mm至8mm宽的稳定的半月板外侧边缘,使其形态接近正常半月板。
对于Wrisberg韧带型,一般采用关节镜下或关节切开进行半月板全切术,因其缺乏足够的后部附着,如果仅行半月板次全切除术,遗留下来的不稳定半月板会在将来引起临床症状。(沈彬 裴福兴)
来源:《骨科学》
主编:侯树勋
相关阅读:



京公网安备11010502051256号