面对棘手的骨质疏松性骨折,你该怎么办?
2021-03-04 文章来源:《骨科手术学》 我要说
随着生活质量的不断改善和医疗水平的提高,人口老龄化的现象越来越明显。我国为世界人口最多的发展中国家,1996年全国人口统计显示60岁以上的人口为1.1亿,占总人口的9.5%。
随着年龄的增加,骨质疏松症患病率也随之增加,骨质疏松的严重后果是导致骨折。有资料显示,60岁以后妇女每增加5岁,骨折发生率将增加1倍。面对越来越多的骨质疏松性骨折病例,首先要了解期自身诸多特点。
一、骨质疏松性骨折的危险因素和骨愈合特点
骨折是骨质疏松症的主要并发症,引起骨质疏松的危险因素包括女性雌激素的缺乏、维生素D的缺乏、钙摄入量的不足、高蛋白饮食、皮质类固醇、吸烟、酗酒和长时间坐位工作的人。
文献报道,老年性髋部骨折中16%与吸烟有关,11%与缺乏足够的体力活动有关,3%与酗酒有关,25%与雌激素缺乏有关。除了部分脊椎变形和压缩骨折外,绝大多数骨质疏松性骨折与跌倒有关。骨折部位和类型与着地部位、受力方向、冲量的大小及跌倒频率有关。
与跌倒有关的内在危险因素包括年龄、性别、种族、以前有跌倒或骨折史、骨骼质量较差、合并其他疾病、肌肉骨骼疾病、认知缺失、步态和平衡紊乱、感觉缺失、直立性低血压、一些药物的应用等。与跌倒有关的外在危险因素主要是环境因素,如障碍物、光线昏暗和湿滑的地面。另外,社会心理因素在骨质疏松性骨折发生中也起相当重要的作用,有些老年人因为害怕过重的医疗负担或担心跌倒而减少活动量,造成肌肉萎缩和应急能力的下降,反而增加跌倒的机会和骨折的危险性。
骨质疏松症患者骨量减少、微细结构退变、骨脆性增加,这些决定了骨质疏松性骨折的愈合特点。尽管目前有关骨质疏松性骨折愈合的人体试验较少,但是动物实验研究结果显示,骨质疏松性骨折的愈合过程与正常骨骼一样,但愈合时间延长。究其原因,不是因为骨诱导缺乏,而是由于骨生成基质减少;正是细胞基质相互作用的异常导致了骨折的延迟愈合。
实验研究表明,正常骨和骨质疏松性骨在骨折6周时的骨痂形成和膜内化骨没有显著性差异,而12周时正常骨骨折处皮质骨的骨内膜与板层骨并行相连,而骨质疏松性骨折处的皮质骨表面可见成簇的破骨细胞并带有吸收陷窝,皮质骨内膜上新形成的板层骨较少。
因此,骨质疏松并不影响骨折的早期愈合过程,而在骨愈合的晚期,骨的吸收仍较旺盛,骨矿化较少,胶原纤维形成不足,骨痂成熟及骨形成迟缓。故而,骨质疏松性骨折的愈合时间延长,需要更长时间维持有效的固定,值得在治疗骨质疏松性骨折中认真加以考虑。
二、骨质疏松性骨折治疗的难点和预防
骨质疏松性骨折的治疗比较困难,原因是多方面的。首先是患者多为老年人,可能同时存在多种疾病,如心脑血管疾病、糖尿病、神经系统疾病、呼吸功能及肾功能障碍等,增加了治疗难度和并发症的发生。
尤其是脑血管病,应该引起骨科医生的重视,半年之内发生过脑血管病者应列为手术禁忌证,贸然手术将加重脑血管病,甚至导致患者死亡;半年至一年内发生过脑血管病者应为手术相对禁忌证;一年以前发病者手术危险性将大大降低。
糖尿病将增加术后感染的机会,术前、术后必须严格控制血糖和尿糖;有呼吸系统疾病者,应采取相应措施,防止肺部感染;其他系统疾病也应采取相应治疗措施。高龄患者如合并多系统疾病,其病死率将显著增加。
另外,老年人创伤后机体代偿功能和免疫功能低下,体能恢复缓慢,应该加强营养,注意酸碱平衡和防止电解质紊乱;同时应加强护理,防止肺炎、压疮、泌尿系感染和深静脉血栓形成等卧床并发症。
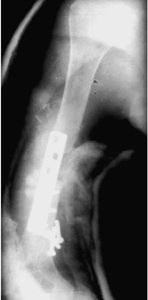
骨质疏松性骨折治疗的难点还在于骨骼质量差,严重影响内置物的固定强度。相对于正常骨,骨质疏松骨对内置入物的力学把持力较弱,术中内固定时由于骨骼脆性高容易发生爆裂骨折,骨折固定后肢体负重时易发生微骨折,或再骨折,或固定物松脱(图11-1-42)。

图11-1-42 骨质疏松性骨折内固定失效
X线片显示80岁男性肱骨干骨折患者,六孔接骨板内固定加石膏夹板外固定术后3周螺钉全部脱落
骨质疏松症骨骼的骨小梁数量较少,海绵状骨的早期固定常不满意,而基质的钙化不全进一步妨碍早期固定。骨质疏松使固定的强度及骨痂愈合的质量较差,固定时间延长,负重时间延迟。因此,严重的骨质疏松症患者,为增强骨对内固定的把持力,不得不在髓腔内和螺钉孔内注入骨水泥(图11-1-43)。

图11-1-43 骨质疏松性骨折内固定的加固措施
髓腔内和螺钉孔内注入骨水泥增强骨对内固定的把持力
骨质疏松性骨折的处理比较困难和复杂,因此,骨质疏松性骨折的预防比治疗显得更为重要。骨质疏松性骨折的致病因素中除了骨质疏松症这个内在原因之外,跌倒和损伤是重要的外在因素,只要我们采取多方面措施积极预防和治疗骨质疏松症,防止老年人跌倒,相当一部分骨质疏松性骨折是完全可以避免的。
研究表明,肌力与骨量呈正相关,运动不仅可以延缓老年人肌力的减退和防止骨量的严重丢失,还可以改善平衡能力和降低跌倒的危险性。因此应该开展医疗保健宣教工作,提倡人们从年轻时候即开始运动,更要帮助老年人克服害怕因活动而跌倒的心理障碍,鼓励老年人有规律地进行各项运动,如慢跑和游泳等。
营养是维持骨量的非常重要的环境因素;钙、磷、蛋白质、镁、锌、铜、铁、氯、钠和维生素D、维生素A、维生素C、维生素K是维持骨和钙代谢的必备成分。鼓励老年人从多种食物中摄取必需的、基本的营养素,摒弃偏食的习惯,多食用牛奶及乳制品、大豆及豆制品和鱼类等食物中含有丰富的钙和适量的蛋白质的食物,而咖啡因可以降低钙的摄入。
酒精会影响神经肌肉系统,增加跌倒的危险性;吸烟影响睾酮的产生,促进雌激素的降解,导致骨脆性增加;许多药物可能会影响骨的代谢。因此应劝告人们养成健康的生活习惯,避免酗酒、吸烟和滥用药物。
加紧治疗骨质疏松症将从源头上预防骨质疏松性骨折的发生,而药物治疗是最重要的手段之一。治疗骨质疏松的药物包括基础疗法(钙加维生素D)、激素疗法(雌激素)、促进骨形成药物(氟化物、PTH及生长激素等)和抑制骨吸收药物(降钙素、二膦酸盐等)等。良好的治疗依从性是保证治疗效果必不可少的,因此务必要求患者根据医嘱按时、按量、坚持用药。
改善老年人的生活、活动和居住环境,可以降低跌倒的危险性,如在卫生间增加扶手、增加室内的光线亮度、减少室内障碍物和对地板采取必要的防滑措施等。让老年人穿带有髋部保护垫的裤子,万一跌倒可以缓冲对髋部的外力,防止发生髋部骨折。
三、骨质疏松性骨折的常见部位和治疗
骨质疏松性骨折好发的部位依次为脊柱、髋部、桡骨远端、肱骨近端、胫骨近端、踝部等。
骨质疏松性骨折中,脊椎骨折的发生率最高,过去却常常被忽视和漏诊。这是因为脊椎骨折与骨量丢失和微结构破坏密切相关,轻微的暴力,甚至在体重的重力作用下即可导致脊椎变形、压缩骨折;其另一个特点是常常发生多个椎体的变形和压缩性骨折。老年女性发生多个椎体骨折的几率较正常人高1.3~2.6倍。
随着社会老龄化,髋部骨折的发生率有增高趋势;髋部骨折对患者生活质量的影响严重、并发症众多、医疗费用巨大。桡骨远端骨折占65岁以上患者肢体骨折的15%,而肱骨近端骨折占4%~5%。另外,胫骨平台、踝关节和髌骨等也是骨质疏松性骨折的好发部位。
下面简述一些骨质疏松性骨折的治疗要点。
1.脊椎骨折
骨质疏松性脊椎骨折一般采用非手术治疗,包括卧床休息、支具保护及肌肉训练等。对于极少数爆裂性骨折合并神经损伤者,可考虑行椎管减压、骨折复位,并用椎弓根内固定加植骨融合等方法。但对于严重骨质疏松症者,椎弓根内固定极易导致失败,为手术禁忌证。
椎体成形术是近10年来发展并逐渐成熟的一项新技术,能够缓解疼痛,稳定骨折,恢复椎体的高度和减少脊柱畸形。球囊扩张椎体成形术是其中的一种,方法是在透视引导下,利用微创工具,将球囊放入到骨折的椎体中,将球囊扩张升高终板,恢复椎体高度,球囊去膨胀后撤除,在椎体内形成一个空腔,然后将骨水泥等物质注入到空腔中,形成特定的“内部铸件”。
2.股骨颈骨折
老年人股骨颈骨折多主张手术治疗,因为保守治疗需要长期卧床,可能带来非常严重的并发症,只有在患者的全身状况不允许手术或患者拒绝手术的情况下才考虑保守治疗。保守治疗的方法主要包括持续皮牵引和穿中立位鞋。
股骨颈骨折手术治疗可采用闭合复位空心钉或滑动加压鹅头钉固定。不过,由于解剖结构的特殊性,股骨颈骨折后股骨头的血供差,骨折愈合比较困难,发生骨不连和股骨头缺血坏死的几率比较高,因此老年人股骨颈骨折型内固定治疗的不多,倾向于行关节置换,为的是尽快恢复老年人下床活动的能力,特别是65岁以上、GardenⅢ型和Ⅳ型的头下型股骨颈骨折。
究竟是行人工股骨头置换还是全髋关节置换,依患者的年龄、全身状况和髋臼退变程度酌定。一般来说,预期寿命不足5年的,倾向于人工股骨头置换,因为手术简单、损伤小,患者容易耐受;全身情况好、受伤前活动度大的患者,多主张行全髋置换,因为全髋的假体使用寿命长,关节活动功能比较好。
股骨假体用骨水泥固定,髋臼假体用非骨水泥固定。如果患者为严重骨质疏松患者,髋臼假体也可采用骨水泥固定。根据老年人股骨近端髓腔内径增宽的特点,一些学者已开始探索设计新型的专门适用于骨质疏松患者的股骨假体。
3.股骨转子部骨折
股骨转子部骨折部位的血液供应都比较好,尽管患者的平均年龄一般都比股骨颈骨折患者的年龄大,但髋部骨折与股骨颈骨折不同,其骨折愈合的几率高。
部分转子间骨折可采用牵引治疗。牵引时间一般为3~4周,之后鼓励患者开始主动活动髋、膝关节,在条件允许的情况下,用支具保护,鼓励患者利用双拐或步行器逐渐部分负重。
由于老年人卧床并发症较多,因此只要没有禁忌证,大多数学者仍主张采用手术治疗,着力于骨折复位内固定,方法是间接复位,Ender棒、Gamma钉和股骨近端固定钉(PFN)等髓内固定,或者用滑动加压鹅头钉、股骨近端锁定接骨板等髓外固定。
4.桡骨远端骨折
绝大多数老年性桡骨远端骨折可以通过手法复位、石膏或小夹板固定而获得满意的结果,尤其是关节外骨折者。
不过,由于骨折后桡骨远端的背侧常有压缩,复位后出现骨缺损,缺少骨质支撑力,使骨折的对位和力线难以维持,容易导致复位丢失、发生骨折再移位,因此固定期间需要多随访复查,一旦发现明显移位,要采取补救措施,包括改为外固定架或内固定治疗。由于老年患者对功能的要求不高,对畸形愈合的耐受程度高,非手术治疗依然是老年人桡骨远端骨折的主流治疗方法。
随着内置入物设计和制造工艺的改进,医生的手术技术和患者的医疗要求相应提高,老年人桡骨远端骨折的手术治疗有升高的趋势。其适应证包括桡骨背侧严重粉碎、骨折明显移位—桡侧短缩大于2mm或背侧倾斜大于20°;关节内骨折;合并有尺骨骨折或下尺桡关节不稳。手术方法包括闭合复位外固定支架固定、有限切开复位内固定外固定支架固定、切开复位接骨板内固定。
5.肱骨近端骨折
老年肱骨近端骨折的最佳治疗方案还存在争议。一般认为,没有移位或移位很小的肱骨外科颈骨折多采用保守治疗。有人报告104例NeerⅠ型肱骨外科颈骨折,随访41个月治疗优良率77%,功能恢复平均94%。临床上提倡在疼痛消失后即应开始肩关节的软组织活动,3周后应开始关节的主动活动。
如果骨折移位大于1cm或肱骨头骨折片的倾斜大于45°,而患者的身体状况又能够耐受手术,即应考虑手术治疗。肱骨近端两部分和三部分骨折的手术治疗主要是切开复位内固定,方法包括克氏针、螺钉、张力带钢丝、接骨板固定和髓内钉固定。
各种固定方法的优劣状况难以比较,方法的选择主要根据医生的习惯、经验和骨折的具体情况。锁定接骨板有良好的角稳定性,术后允许早期功活动锻炼,对老年人肱骨近端骨折后肩关节功能的恢复有很大帮助,值得推崇和应用。
对于部分肱骨近端三部分和四部分骨折,特别是合并盂肱关节脱位者,可考虑行人工肱骨头置换,以缩短病程,尽快改善功能,术中注意肩袖功能的重建,术后应制订严格的肩关节功能康复计划。
来源:《骨科手术学》
作者:罗从风 曾炳芳
相关阅读:



京公网安备11010502051256号