腰椎显微外科手术入路的4个关键概念
2021-03-18 作者:北京中日友好医院 邹海波 我要说
开展腰椎显微外科手术的医生一定深知掌握解剖细节是何等的重要。腰椎显微手术不是“探查式”手术。在做手术切口之前,术者不仅先要清楚椎管内病变的性质,还应该知道病变在椎管内的确切位置。
对于当今的脊柱显微外科医生来说,MRI和CT等高质量的影像学资料就是他们的眼睛。通过这些工具并结合以下概念,术者术前就可以在脑海中构建出脊柱病理改变的详细特征和具体位置。
概念1:腰椎的骨性解剖
一个椎体及其下方的椎间盘构成一个腰椎解剖单位(图18.1)。正如脑需要颅骨进行保护,脊髓和马尾同样也需要有骨骼覆盖。为了保护这些结构,每个椎体的后部都有相应的附件。首先,暂时将椎间隙放在一边,沿双侧椎弓根下缘划一条虚线(图18.2)。脊柱后方共有6个解剖结构,3个位于线上(均成对),3个位于线下(其中两个成对)(图18.3),这一分界线所处的位置正好是椎弓峡部。

图18.1 A:一个椎体与其下方的椎间盘构成一个腰椎解剖单位,图示为一侧的椎弓根和神经根;B:脊柱功能单位,由一个椎间盘和相邻的上下两个椎体构成,是生物力学研究常用的模型

图18.2 双侧椎弓根下缘相连的假想线(虚线)将椎体平分为上下两半

图18.3 后方6个有名称的结构:SF,上关节突;IF,下关节突;L,椎板;SP,棘突;P,椎弓根;TP,横突
概念2:神经根解剖
腰椎管内的神经结构主要包括硬膜囊包裹的马尾神经和在每个解剖节段向两侧发出的神经根。
穿出神经根(exiting nerve root)是根据其穿出时上方的椎弓根来编号(图18.4)(与此不同,颈椎的神经根以其穿出时下方的椎弓根命名)。

图18.4 椎弓根是理解神经根解剖的关键。腰神经根的编号与其穿出时上方的椎弓根一致。假使上图为第四解剖节段,那么图示的椎弓根便是L4椎弓根,而神经根便是L4神经根
腰神经根紧邻相应的椎弓根下缘走行,当在椎管内寻找某一神经根时,确定其毗邻的椎弓根的位置是一个很好的方法。
每个解剖节段不仅有成对的神经根,其内侧同时还有一对下行神经根(traversing nerve root)(图18.5)。

图18.5 在一个无编号的脊柱节段中图示穿出神经根和下行神经根。如图中开放的箭头所示,下行神经根向下走行,在下位解剖节段变成了穿出神经根
概念3:病变的影像学定位
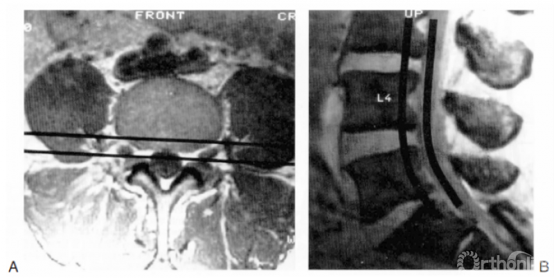
为了便于确定椎管内病变的具体位置,我们建议对每一脊柱节段进行3层解剖分区(3个楼层)(图18.6)。这一概念有助于脊柱外科医生在脑海中勾勒出病变在椎间盘-椎体柱与神经柱间的确切定位(图18.7)。

图18.6 解剖节段的3层分区法。第1层为椎间盘水平,第2层为椎间孔水平,第3层为椎弓根水平

图18.7 应用3层分区法确定病变在前方椎间盘/椎体柱与后方硬膜囊之间的位置。A:横截面图像,两条黑线之间为前方椎间盘/椎体柱与后方硬膜囊的界面;B:矢状位
以椎弓根下缘作为虚拟的分割线,每个解剖节段如同一幢楼房一样可分为3层(这个概念非常清楚易懂)。接下来对各层进行判读,这样外科医生可以很准确地定位病变在椎间盘/椎体柱与神经柱间的具体位置。图18.8-18.10所示为各层病变的举例。

图18.8 对各层病变判读的图解。A:图示为第1层的椎间盘突出;B:T1加权轴位MRI显示第一层的椎间盘突出(箭头)

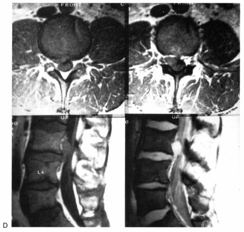
图18.9 A:椎间盘突出最常见的移位方式为突破自身解剖节段的第1层,进入相邻下位节段的第3层;B:T1加权矢状位MRI显示L5-S1大块的椎间盘突出向下进入S1节段的第3层(箭头)


图18.10 A:图示为第2层的椎间盘突出,以椎间孔内的突出最为常见。箭头所示为椎间盘突出的移位路径;B:T1加权轴位MRI显示L3右侧椎间孔内的椎间盘突出(箭头);C:罕见的第2层椎间盘突出,位于椎管内。箭头所示为椎间盘突出的移位路径;D:T1加权轴位(上图)和矢状位(左下图)以及梯度回波矢状位(右下图)MRI显示第2层椎间盘突出
概念4:后方结构与“3个楼层”的遮挡
现在让我们重新探讨一下后方的结构(图18.11)(同时再回头看看图18.3)。在后方的6个解剖结构中,仅有2个只位于一个层面,即椎弓根及横突,他们仅位于第三层。
上关节突不仅位于第三层,同时还有一部分遮挡上一节段的椎间隙(第一层)。类似地,下关节突跨越第一和第二层;椎板的头侧缘可遮挡同一解剖节段的第三层,同样其尾侧缘可遮挡该解剖节段的第一层(图18.12)。

图18.11 后方的解剖结构就像加盖在房子上的屋顶(左图)。现在不要将房子侧卧,我们将其直立起来,这样看起来,就同我们在手术台上看到的后方解剖结构一样了

图18.12 正位X线片显示3层分区与后方解剖结构的重叠关系。注意L5椎板下缘(与椎间隙无重叠)与L3椎板下缘(其椎板的下缘重叠到L4的第3层)与前方3层分区重叠关系的变化
通过本期介绍,相信大家对腰椎显微外科手术入路相关的解剖有了进一步认识,小编提醒您结合脊柱标本和X线片来学习本文有助于对精准解剖细节的掌握。您还有哪些问题和疑问,欢迎在文末评论区提问交流哦。



京公网安备11010502051256号