临床如何准确识别冠状突骨折?
2021-04-17 我要说
冠状突骨折通常作为不稳定型肘关节脱位的一部分而发生,当然也可作为肱肌撕脱损伤单独存在。传统上讲,大的冠状突骨块和小的影响肘稳定性的骨块,需要手术固定;不影响肘关节稳定性的骨折块可以保守治疗。
随着对冠状突在肘关节稳定性中的作用研究了解的加深,经手术修复稳定的受损伤结构逐渐增多,并且早期有计划地在一定范围加强功能锻炼,可以避免肘关节僵硬。因为冠状突骨折是复杂骨及软组织损伤的一部分,因此需要完全确切地对复杂损伤进行诊断,以明确冠状突骨折是单纯损伤,还是需要处理的骨及软组织复杂损伤的一部分。
相关解剖学
肘关节是固有稳定的联合关节,由肱骨、尺骨和桡骨之间的关节组成,能旋转和做铰链运动。肱骨滑车切迹与尺骨近端形成铰链样关节活动,而桡骨头和肱骨小头、上尺桡切迹共同形成旋转运动关节。
当冠状突极度屈曲活动时,肘关节在远端肱骨冠状窝的前方,而后方有鹰嘴窝适应鹰嘴极度伸直。冠状突为肘关节提供结构稳定,为对抗肘关节向后位移提供了前壁支撑(图1)。肘关节大约50%的稳定性由肱骨滑车和尺骨冠状突关节面构成的关节提供。

图1 肘关节骨性解剖结构(前面)
冠状突为肘关节前方关节囊提供附着点,肱肌附着在远端关节囊前面(图2),内侧尺侧副韧带附着在冠状突顶点内侧的结节部(图3和图4),这进一步加强肘关节的稳定性。

图2 附着在鹰嘴的重要软组织

图3 稳定肘关节外侧的韧带

图4 稳定肘关节内侧的韧带
流行病学
在所有肘部骨折中冠状突骨折约占1%~2%,并且2%~15%合并有肘关节脱位。
冠状突骨折常作为复杂损伤的一部分发生,比如由肘关节脱位、桡骨头骨折、冠状突骨折构成的肘关节“恐怖三联征”。
在儿童,冠状突骨折根据年龄呈双峰分布,分别为8~9岁和12~14岁。儿童冠状突骨折常合并肘关节脱位、尺骨鹰嘴骨折、肱骨内上髁骨折或肱骨外髁骨折。
损伤机制
冠状突骨折通常是肘关节脱位后会发生的一种可能,其通常是在肘关节或手部伸直时受到的损伤,可发生于机动车事故、运动损伤、日常生活,甚至是工作中,是常合并严重软组织损伤的一种高能量损伤。
冠状突骨折损伤的机制,包括发生在肘关节伸直位轴向暴力导致肘关节后脱位,通过肱骨滑车导致冠状突剪切骨折和(或)通过前方关节囊导致冠状突尖撕脱骨折。当施加外翻和后外侧轴向旋转暴力时,后外侧旋转会不稳定。
肱骨前臂旋后先导致侧副韧带损伤并且伴随桡骨小头骨折、冠状突骨折和肘关节后脱位的“恐怖三联征”(图5)。此类型损伤中内侧尺侧副韧带(MUCL)是最后损伤的结构。

图5 “恐怖三联征”
相对而言,如果是施加外翻和后内侧轴向旋转暴力,可以导致冠状突前内侧面骨折并伴有外侧副韧带损伤或合并冠状突基底部骨折。单纯性肘关节外翻不稳可见于投掷类运动(例如:垒球、标枪),它可导致内侧尺侧副韧带(MUCL)的破裂或劳损;然而桡侧副韧带损伤更容易导致创伤性肘关节不稳定。
临床表现
冠状突骨折很少单独发生,而通常作为肘关节脱位损伤的一部分存在。此类患者通常有上肢外展伸直和肘部旋转暴力受伤史。
患者有肘部疼痛、压痛、肿胀,当然单纯性冠状突骨折有时可发生在肘关节脱位自行复位后这些症状体征可以不明显。
患者在内翻或外翻应力试验和肘关节活动时,会表现出疼痛和关节不稳。神经损伤发生在单纯冠状突骨折很罕见,但它可以由其他合并伤导致,这需要通过临床检查去排除。
检查
冠状突骨折应拍摄肘关节正位(AP)、侧位片,如果有需要,还应该拍斜位片以明确是否有骨损伤。斜位片对轻微移位的骨折尤为重要,因为肘关节侧位片上桡骨小头和尺骨冠突影重叠,因此冠状突骨折容易和桡骨小头骨折混淆。
为避免这个情况,Greenspan和Norman介绍了肱桡位片(图6和图7)。这个位置可以把桡骨头及冠突区分开,可以提供清晰的冠突、桡骨头、肱桡关节和上尺桡关节。有时普通的X线片难以提供完全确切的诊断依据,这就需要行CT扫描或MRI检查。

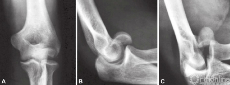
图6 肱桡位片拍摄方法

图7 A~C肱桡位片正位片上看似乎是单纯的肱骨小头骨折,事实上在侧位片和肱桡位片上可以看到合并有冠状突骨折
分型
Regan和Morrey将冠状突骨折分为三型。I型为冠突尖的撕脱性骨折;II型为骨折块小于冠状突大小的50%;III型为骨折块超过冠状突大小的50%。每一型骨折又根据是否合并肘关节脱位,分为A、B两亚型。
O'Driscoll等人提出了一种新的分型方法,如下:I型为涉及冠突尖部的骨折;II型为骨折线涉及前内侧突起的骨折;III型则为通过冠突基底部的骨折。根据冠状突骨折块的大小,上述三型骨折还可以细分为更多的亚型(图8)。
由于该分型法与不同的损伤机制及骨折特点对应性较好,因此更有利于临床的诊断及治疗方式的选择。

图8 冠状突这分型(O'Driscoll分型)
小结
本文就冠状突骨折的解剖、临床表现、分型等方面的内容进行介绍,以期对各位同道临床识别冠状突骨折有所帮助。后续我们还将就冠状突骨折手术适应证、术前准备及手术疗程等内容进行讲解,敬请关注。
来源:《关节内骨折治疗精要》
译者:禹宝庆 张殿英 苏佳灿



京公网安备11010502051256号