关节镜下治疗症状性Wrisberg韧带型盘状半月板的临床疗效
2021-05-20 文章来源:骨科2021年3月第12卷 作者:丁云鹏,章亚东 我要说
【摘要】
目的 探讨关节镜下半月板成形、后角胫骨止点重建并缝合固定术治疗症状性Wrisberg韧带型盘状半月板的临床疗效。
方法 回顾性分析2012年1月至2015年1月我科收治的11例症状性Wrisberg韧带型盘状半月板损伤病人的临床资料,其中男7例,女4例,平均年龄为19.5岁(14-25岁)。左膝6例,右膝5例;军事训练伤5例,运动损伤6例。均行关节镜下半月板成形、半月板后角胫骨止点重建并缝合固定于关节囊、恢复半月板稳定性手术。病人术后均进行随访,记录并分析病人手术前后疼痛视觉模拟量表(visual analogue scale,VAS)评分、Lysholm膝关节评分,根据Ikeuchi膝关节评分评价总体优良率。
结果 术后病人切口均一期愈合,无相关并发症发生。平均随访时间为5.5年(5.1-8.2年)。病人患膝弹响、绞锁症状消失,10例病人疼痛症状消失,1例明显缓解,末次随访时关节活动度均恢复正常。病人VAS评分从术前(6.42±1.12)分下降至术后(2.05±0.18)分,差异有统计学意义(t=-4.823,P=0.026);Lysholm评分从术前(56.9±7.2)分提高到术后(96.5±5.8)分,差异有统计学意义(t=-36.727,P=0.032)。根据Ikeuchi膝关节评分,优7例,良3例,中1例,总体优良率为91%。
结论 对于有症状的Wrisberg韧带型盘状半月板损伤,可以行半月板成形、后角胫骨止点重建并缝合固定术治疗,可保留病人半月板部分功能,短期内观察效果良好。
【关键词】关节镜;盘状半月板;Wrisberg韧带
盘状半月板是一种半月板发育异常性疾病,根据半月板对胫骨平台的覆盖程度以及外侧半月板后角与胫骨、关节囊附着的情况,将膝关节外侧盘状半月板分为完全型和不完全型盘状半月板以及Wrisberg韧带型盘状半月板三种类型。与前两种不同,Wrisberg韧带型盘状半月板由于后角处缺乏足够胫骨及关节囊附着,仅有短而粗的板股韧带与股骨内髁的外侧面相连,半月板的异常活动更明显。膝关节伸直时,半月板后角被板股韧带拉至后髁间窝,屈膝时半月板复回原位,半月板后角因过度活动而增厚、肥大,膝关节屈伸时更易产生损伤而出现弹响、弹跳征和疼痛等临床症状,影响生活质量。国外文献报告Wrisberg韧带型盘状半月板的发生率为0.2%-3.1%。对于此类盘状半月板,传统的治疗方式一般为盘状半月板全切除术,虽然术后早期病人的症状可得到缓解,但术后半月板缺损会形成膝关节严重力学异常,导致关节不稳定并且加速软骨的退变和力线改变,最终形成骨关节炎。而仅行半月板部分或次全切除术,不能从根本上解决其周边的稳定性问题,术后可能再次出现临床症状,效果不满意。目前对该类型盘状半月板治疗尚无突破性新方法,我们依据开展半月板移植的经验,在国内首先开展了通过重建Wrisberg韧带型盘状半月板后角,保留半月板进行治疗。本研究旨在分析并评价该手术方法的临床疗效。
资料与方法
一、纳入标准与排除标准
纳入标准:①术前MRI检查确诊Wrisberg韧带型盘状半月板,排除关节内其他疾病;②MRI检查外侧半月板3-4级损伤信号;③有明确外侧损伤相关症状。
排除标准:①存在其他韧带损伤导致膝关节不稳者;②伴有骨性关节炎Kellgren-Lawrence分级>2级;③既往膝关节手术史者;④感染性关节炎;⑤伴有其他手术禁忌疾病者。
二、一般资料
2012年1月至2015年1月我科共收治246例盘状半月板损伤病例,其中16例为症状性Wrisberg韧带型盘状半月板损伤病人。5例因半月板撕裂严重,无法修复,而行半月板次全切除术,其中2例同时行同种异体半月板移植。11例行半月板成形、半月板后角胫骨止点重建并缝合固定于关节囊,恢复半月板稳定性。回顾性分析这11例病人的临床资料,其中男7例,女4例,平均年龄为19.5岁(14-25岁)。左膝6例,右膝5例;军事训练伤5例,运动损伤6例。受伤之前膝关节屈伸活动时均有弹响、弹跳症状,关节扭伤后出现关节绞锁及疼痛。病程平均为2.5个月(2d-6个月)。查体发现膝外侧关节间隙均有不同程度压痛,过伸过屈试验阳性,Mc-Murray试验阳性,“膝关节屈伸弹跳征”阳性。6例股四头肌轻度萎缩,4例存在膝关节伸直受限。MRI检查显示外侧半月板3-4级损伤信号。关节镜检查后按损伤类别:水平撕裂4例,纵行撕裂3例,放射性撕裂1例,磨损2例,复合型撕裂1例;根据损伤部位:后角损伤3例,体部损伤6例,前角损伤2例。
三、手术方法
全身麻醉(6例)或硬膜外麻醉(5例)成功后,病人取仰卧位,大腿中上1/3上气囊止血带,常规消毒、铺无菌单,首先常规膝关节前外、前内入路30°关节镜顺序探查膝关节腔,排除内侧半月板、交叉韧带、软骨损伤,并作相应处理。探查外侧半月板,探查外侧半月板见Wrisberg韧带型盘状半月板后角缺乏胫骨及关节囊附着,仅与板股韧带相延续,且表面不平整,后角处增生肥厚,前角相对薄弱,后角活动度异常增大。
手术操作方法及步骤:①修整损伤半月板,半月板钳修整半月板损伤部,尽量多的保留半月板组织,将半月板修整成具有前角、后角和体部结构,且厚度接近于正常半月板的形态。用半月板挫或是刨削刀磨挫半月板后角及体部创口,使其新鲜化。②进行半月板后根部重建,应用后交叉韧带重建胫骨定位器,于胫骨前方,邻近胫骨结节内侧钻入,向正常外侧半月板后角胫骨平台的止点方向钻出,扩大骨道。③应用肩袖缝合器将半月板后角处穿线缝合2-3针,牵拉缝线尾端进入上述骨道内口,经过骨道,自胫骨前方的胫骨结节内侧骨道出口引出关节外,暂不打结固定。④应用全内缝合技术(FasT-Fix缝合系统)将半月板组织垂直褥式缝合固定于关节囊相应部位。对前角及体部损伤部采用由内向外或由外向内的缝合方式固定。⑤将关节外半月板后角牵引线打结固定牢固。⑥探钩测试半月板的稳定性,视情况增加缝合针数至半月板稳定。手术结束前确认McMurray试验及“膝关节屈伸弹跳征”阴性,冲洗关节腔后缝合切口并加压包扎。
四、术后处理
术后所有病人进行一致的康复训练。术后即刻进行股四头肌和腘绳肌等长收缩练习,配戴膝关节铰链支具将膝关节固定于伸直位,下肢适当抬高,局部使用冰敷。常规休息2-3d后进行支具保护下被动屈曲功能锻炼及主动直腿抬高锻炼。术后4周内扶拐,避免患肢负重下地活动。膝关节活动度训练:术后3周达到关节完全伸直,屈曲不超过60°,术后3-6周关节屈曲活动度以每周约增加10°的进度达到90°;术后2个月左右视病人肌力情况开始患肢负重练习,行走时将膝关节支具锁定在伸直状态;术后3个月膝关节活动度应达到完全正常,除去保护支具正常行走,仍需避免久蹲、跳跃和快速变向等运动;术后9个月开始跑步等轻体力运动;术后12个月恢复各项体育运动。
五、疗效评价
记录病人术前及术后随访时关节活动度、关节稳定性及关节疼痛、弹响、绞锁等相关症状。末次随访时采用Lysholm膝关节功能评分系统评估病人膝关节功能活动度,并与术前比较;采用疼痛视觉模拟量表(visual analogue scale,VAS)评分对病人术前及术后疼痛变化进行评价;采用Ikeuchi膝关节评分标准系统对手术疗效进行评价,并统计总优良率;通过MRI检查观察术后半月板愈合情况。
六、统计学分析
![]()
采用SPSS 17.0软件(IBM公司,美国)对数据进行分析,计量资料用均数±标准差(x±s)表示,采用独立样本t检验比较手术前后的VAS评分和Lysholm膝关节功能评分;计数资料用百分率(%)表示。P<0.05表示差异有统计学意义。
结果
一、一般结果
病人术后切口均一期愈合,无相关并发症发生。随访时间平均为5.5年(5.1-8.2年)。病人患膝弹响、绞锁症状消失,10例病人疼痛症状消失,1例明显缓解,末次随访时关节活动度均恢复正常。病人VAS 评分从术前(6.42±1.12)分下降至术后(2.05±0.18)分,差异有统计学意义(t=-4.823,P=0.026)。Lysholm评分从术前(56.9±7.2)分提高到术后(96.5±5.8)分,差异有统计学意义(t=-36.727,P=0.032)。根据Ikeuchi膝关节评分,优7例,良3例,中1例,总体优良率为91%。
二、典型病例
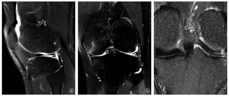
病人,男,19岁,左膝关节时常有伸屈活动时弹响,入院3周前军事训练时扭伤左膝关节,后出现肿胀,频繁出现关节绞锁、弹响并伴有疼痛。查体:左膝关节过屈过伸痛(+),外侧关节间隙压痛,麦氏征(+),左膝关节MRI提示外侧盘状半月板并水平分层撕裂(图1)。行关节镜下检查见半月板桶柄样撕裂并嵌顿于股骨髁间,外侧半月板为 Wrisberg 韧带型(图2 a-c),行盘状半月板成形,半月板后角胫骨止点重建固定,并将游离缘缝合固定于关节囊(图2 d-j)。术后1年复查MRI显示半月板愈合良好,左膝关节疼痛、弹响及绞锁症状消失(图2 k-l)。

图1 病人术前MRI影像学资料 a:术前矢状位MRI显示半月板体部及后角撕裂;b:术前冠状位MRI显示半月板水平撕裂;c:术前外侧半月板后根部冠状位MRI显示外侧半月板后根部与胫骨、关节囊无附着,呈Wrisberg韧带

图2 病人术中及术后图片资料 a:术中探查见盘状半月板桶柄样撕裂,嵌顿于髁间窝;b:术中清理后发现半月板体部水平撕裂;c:箭头所示半月板后角与胫骨、关节囊无附着,仅有板股韧带与股骨内髁外侧面相连,半月板的异常活动更明显;d:用半月板挫或刨削刀磨挫半月板后角及体部肌腱裂口前后的边缘,使其新鲜化;e:应用后交叉韧带重建胫骨定位器,向外侧半月板后角正常胫骨平台止点方向钻孔;f-i:应用肩袖缝合器将半月板后角处穿线缝合2-3 针,将缝线尾端从骨道牵引出关节外侧,打结固定;j:应用全内缝合技术将半月板组织垂直褥式缝合固定于关节囊;k、l:术后1年复查MRI显示半月板愈合良好
讨论
一、Wrisberg韧带型盘状半月板发病机制
盘状半月板是半月板的一种发育异常形态,文献报告其发病率为0.4%-17%,东亚地区黄色人种较欧美白色人种多发。对于盘状半月板发病机制目前仍有争议,Kaplan认为由于Wrisberg韧带型盘状半月板冠状韧带缺如,后角与胫骨及关节囊无附着,依靠短而粗的板股韧带与股骨内髁的外侧面相连,这种不稳定使半月板在膝关节伸屈过程中,产生一种非生理性的反向运动,异常的应力刺激极易导致半月板后角及后体部的边缘撕裂,并进一步引起滑膜炎症、增生,关节软骨损伤、关节液渗出等一系列症状。此外,一些专家学者提出对于病人薄弱的盘状半月板后角附着于关节囊的不适、半月板厚度的变化以及病变周围血供的不足等相关因素的改变也可增加盘状半月板的损伤及可能,从而提高其发病率。绝大多数盘状半月板在儿童期无症状,或仅表现为膝关节屈伸时无痛性“弹跳感”,随着时间延长及损伤加重逐渐出现机械症状和关节活动障碍。临床工作中发现其发病多集中在青年及中年年龄段。
二、Wrisberg韧带型盘状半月板的治疗现状
在盘状半月板损伤的临床治疗中,目前主要以关节镜手术为主,常用的术式包括半月板部分切除术、半月板全切除术、半月板成形术、半月板移植术及半月板缝合术等。对于有症状的Wrisberg韧带型盘状半月板,由于担心仅行部分半月板切除术后存在遗留的部分半月板不稳定,在膝关节的活动中将继续遭受反复的碾压挤挫,极易再次损伤引起相应的临床症状。以往为了避免进行二次手术,对于此型盘状半月损伤多主张进行全部或部分切除术治疗,半月板全切或部分切除术虽然在术后早期可很好地缓解病人症状,有效改善其膝关节功能,但并未从根本上恢复膝关节的正常生物力学状态,造成股骨与胫骨之间的应力明显增加,导致股骨与胫骨软骨破坏。Ahn等对行盘状半月板全切术病人进行10年的随访,发现半月板全切除后病人膝关节退变性改变显著增加。目前对于不得不接受半月板全切手术的病人,同时进行同种异体半月板移植是较为有效的方法。在保留半月板发挥功能的同时,能够预防骨关节炎的发生,明显改善半月板全切术后膝关节的不良并发症。临床研究报道半月板移植术后病人近期临床疗效满意,症状、体征及关节功能评分都明显改善。然而同种异体半月板移植目前面临诸多急需解决难题,如供体缺乏、免疫排斥反应的发生、供体半月板与受体胫骨平台的匹配程度、术后膝关节功能的康复、术后半月板的再损伤、远期膝关节功能的评估等,这些使得半月板移植还无法普遍开展。
三、保留半月板有利于恢复关节稳定性。
Lee等通过回顾既往文献进行的荟萃分析表明,对于有症状的盘状半月板,半月板保留是比全切除更好的选择。由于Wrisberg韧带型盘状半月板在形态上接近正常半月板,只是在后角处缺乏胫骨及关节囊附着,如果能保留功能足够的半月板组织并提高其稳定性将使病人获益更大。近年来部分学者将此类半月板先进行部分切除并成形后再将其后外方缝合关节囊上,以增加其稳定性,取得了较为满意的短期临床结果。在我们的病例中,首次创新性通过胫骨骨道的方式,重新建立后角胫骨附着点, 使其恢复稳定性,同时通过将后角部分与关节囊进行缝合,进一步恢复半月板整体稳定性,避免因半月板全切除术后形成膝关节不稳,起到延缓软骨磨损等并发症的出现,从随访结果分析,所有病人术前疼痛及关节弹响症状消失,关节伸屈活动恢复正常,短期随访效果良好。
四、手术注意事项
关节镜下后角重建有一定困难,因为关节镜下空间狭小,半月板后角缝合和固定需要一定的镜下操作经验。我们应用后交叉韧带定位器,于后交叉韧带止点外侧建立骨道,并应用肩袖缝合器将半月板后角贯穿缝合数针,因关节间隙空间狭小,在缝合时将缝合器适当倾斜,可以更好地抓取半月板后角组织。因正常半月板后角附丽于髁间窝部胫骨棘外侧的后方,其前方有前交叉韧带附着,后面为后交叉韧带,正常情况下由于后交叉韧带向前倾斜,在重建半月板后角时由于后交叉韧带纤维阻挡,较难显露,我们应用前交叉定位器定位时虽尽量将后交叉韧带纤维推向后方,但仍显露不理想,而后交叉韧带定位器,由于存在2cm垂直向下的末端,可更好地将后交叉韧带纤维推向后方,更好显露半月板后角止点。
在术中我们先进行半月板后根部重建,再进行半月板边缘缝合,此操作流程来源于我们多年进行同种异体半月板移植的经验。在重建半月板后角时,先将半月板通过股骨骨道拉入半月板后角入口,然后进行半月板体部边缘缝合固定,然后拉紧固定半月板后角,这样做的目的是使半月板尽量缝合平整,不至于造成半月板缝合后褶皱不平。在缝合半月板后角时尽量选择全关节内缝合,以免损伤后外侧血管神经束,及腓总神经。为促进半月板后角游离缘能与关节囊良好愈合,在缝合固定前需进行半月板边缘磨挫,使其创面新鲜化。手术结束前Mc-Murray试验通过旋转挤压力(外旋外翻检查外侧半月板,内旋内翻检查内侧半月板),诱发损伤半月板产生疼痛、弹响阳性体征。因术中麻醉原因,我们主要通过在试验过程中是否诱发膝关节外侧半月板弹响来确定缝合后半月板的稳定性,并与术前查体相比较。
五、本研究存在的不足
①本研究为短期研究,平均随访时间相对较短,还需要更长时间的观察以进一步证实其长期疗效。②本研究仅通过症状性Wrisberg韧带型盘状半月板病人手术前后膝关节活动度、稳定性及Lysholm评分,评价行关节镜下半月板成形、后角胫骨止点重建并缝合固定术的近期临床疗效,缺乏临床对照研究。今后需进一步开展与半月板全切术或半月板成形术进行随机对照研究,进一步明确疗效。③纳入研究的样本量较少,后期应扩大样本量。④在手术过程中对半月板后角胫骨止点处的缝合缺乏专用手术工具,后期应继续开展专用缝合器械的研究,以进一步提高手术效果。
综上所述,对于有症状的Wrisberg韧带型盘状半月板损伤,半月板全切除或部分切除术,虽能短期改善临床症状,但会加速膝关节退变,由于半月板对膝关节具有重要作用,应尽量保留或部分保留半月板,为恢复膝关节的功能创造条件。关节镜下半月板成形、后角胫骨止点重建并缝合固定术治疗,最大限度的保留了病人自身半月板,且恢复了半月板稳定性,为病人提供更保守的治疗选择,短期内观察效果良好,值得临床推广应用,但其长期疗效有待更大样本量,更多对照研究。
参考文献
[1]Kocher MS,Logan CA,Kramer DE.Discoid lateral meniscus in children:diagnosis,management,and outcomes[J].J Am Acad Orthop Surg,2017,25(11):736-743.
[2]Kaplan EB.Discoid lateral meniscus of the knee joint;nature,mechanism,and operative treatment[J].J Bone Joint Surg Am,1957,39-A(1):77-87.
[3]Ahn JH,Wang JH,Kim DU,et al.Does high location and thick-ness of the Wrisberg ligament affect discoid lateral meniscus tear type based on peripheral detachment?[J]. Knee, 2017, 24(6): 1350-1358.
[4]Kim SJ, Bae JH, Lim HC.Does torn discoid meniscus have effects on limb alignment and arthritic change in middle-aged pa-tients?[J].J Bone Joint Surg Am, 2013, 95(22):2008-2014.
[5]黄迅悟,常青,赵大庆,等. Wrisberg韧带型盘状半月板的诊断与治疗[J].中华骨科杂志,1996,16(8):11-13.
[6]张洪鑫,于洪昌,宋波,等.膝关节镜下中心成形联合边缘稳定术治疗外侧盘状半月板损伤[J]. 中国骨与关节损伤杂志,2015,30(6):599-602.
[7]Ikeuchi H.Arthroscopic treatment of the discoid lateral meniscus.Technique and long-term results[J]. ClinOrthop Relat Res,1982 (167):19-28.
[8]Sun Y,Jiang Q.Review of discoid meniscus[J]. Orthop Surg,2011,3(4):219-223.
[9]Chung JY,Roh JH,Kim JH,et al.Bilateral occurrence and mor-phologic analysis of complete discoid lateral meniscus[J]. Yonsei Med J,2015,56(3):753-759.
[10]Seong SC,Park MJ.Analysis of the discoid meniscus in Koreans[J]. Orthopedics,1992, 15(1):61-65.
[11]童学波,俞辉国,何国础.关节镜下手术治疗儿童膝关节盘状软骨[J].中华小儿外科杂志,2003, 24(5):443-445.
[12]Eijgenraam SM,Reijman M,Bierma-Zeinstra SMA,et al.Can we predict the clinical outcome of arthroscopic partial meniscectomy? A systematic review[J]. Br J Sports Med, 2018,52(8):514-521.
[13]Lee YS,Teo SH,Ahn JH,et al.Systematic review of the long-term surgical outcomes of discoid lateral meniscus[J]. Arthroscopy,2017,33(10):1884-1895.
[14]Ahn JH, Kim KI, Wang JH,et al. Long-term results of arthroscopic reshaping for symptomatic discoid lateral meniscus in children[J]. Arthroscopy,2015,31(5):867-873.
[15]Mahmoud A,Young J,Bullock-Saxton J,et al.Meniscal allograft transplantation:the effect of cartilage status on survivorship and clinical outcome[J].Arthroscopy, 2018, 34(6):1871-1876.
[16]章亚东,侯树勋,张轶超,等.同种异体半月板移植术临床效果的初步分析[J].中华关节外科杂志(电子版),2008,2(6): 635-642.
[17]Lee DH,Dpartial versus total meniscectomy in patients with symptomatic dis-coid lateral meniscus:a systematic review and meta-analysis[J]. Orthop Traumatol Surg Res,2019, 105(4):669-675.
[18]Jose J,Buller LT,Rivera S,et al.Wrisberg-variant discoid lateral meniscus:current concepts,treatment options,and imaging fea-tures with emphasis on dynamic ultrasonography[J].Am J Orthop (Belle Mead NJ),2015,44(3):135-139.
[19]Rosenberg TD,Paulos LE,Parker RD,et al.Discoid lateral menis-cus:case report of arthroscopic attachment of a symptomatic Wris-berg-ligament type[J]



京公网安备11010502051256号