颈后路手术的减压策略——对减压机制再认识的系列研究
2021-06-03 我要说
来源:北京大学第三医院骨科
作者:刁垠泽、孙宇、张凤山、王少波等
前言
颈椎后路减压术主要用于多节段脊髓受压的脊髓型颈椎病和颈椎后纵韧带骨化症(OPLL)。最初采用的椎板切除术由于容易引起颈椎不稳、颈椎后凸以及硬膜外瘢痕形成等问题,目前已很少应用。
椎板切除联合固定融合术虽可以避免颈椎不稳,但是牺牲了颈椎的活动并且增加了内固定相关并发症。椎管扩大椎板成形术可以较好的保留颈椎运动和避免颈椎不稳定,而且疗效持久,逐渐在临床广泛应用。
针对“门轴”的固定方式以及后方软组织结构破坏等问题衍生了多种改良术式,但这些术式的减压原理相同:(1)直接减压效应:直接去除来自脊髓后方的压迫(如黄韧带肥厚、骨化、钙化)或纠正发育性颈椎管狭窄;(2)间接减压效应:在临床实践中,人们发现椎管扩大之后,脊髓会发生后移,从而消除或减弱了来自前方的压迫(如椎间盘突出、后纵韧带骨化、椎体后缘骨赘等)对脊髓的影响(图1)。

图1
在过去的几年里,北京大学第三医院颈椎组从解决临床问题出发,借鉴前人的经验,结合自身对于颈后路减压手术的理解,进行了系列研究。旨在更新对于颈后路手术减压机制的认识,揭示减压范围对减压效果的影响规律,为临床制定更为合理、精确的手术方案提供参考。
系列研究(一)
以往,通常用“弓弦机制”来解释脊髓后移现象,将生理前凸的颈椎与脊髓好比“弓”与“弦”的关系,当后方的压迫与限制消除后,脊髓象“弦”一样回复到“自然绷直”的位置。
根据这一机制,认为颈椎的生理前凸是脊髓后移的保障并影响脊髓后移的程度;当颈椎生理曲度变直或后凸时,认为脊髓不会发生后移,所以多不主张行后路椎板成形术;为了使“弓弦机制”充分发挥作用,椎板成形术的传统减压范围是C3-7。
然而,从自身临床实践观察到的现象出发,结合前人的研究结果,我们对这一机制提出了质疑,并且开启了该系列研究的第一站[1]。
我们对43例接受了颈后路减压术的患者术前、术后颈椎核磁进行了比较研究,结果发现:在脊髓后移最大的节段,脊髓后移幅度与颈椎曲度之间并无相关性(图2)。

图2
脊髓后缘后移与硬膜囊后缘后移之间呈高度线性相关(图3),与该节段局部曲度之间具有较低的相关性(图4)。该研究结果揭示了脊髓与硬膜囊在后移过程中的密切关系。

图3

图4
实际上,脊髓在硬膜囊内并非自由“漂浮”,而是通过向前方发出的神经根以及侧方的齿状韧带等结构与硬膜相联系。
椎板成形术后硬膜囊发生不对称的膨胀,以向后扩张为主。在硬膜囊后壁向后移动的过程中,脊髓在齿状韧带的牵引下、在颈椎局部曲度的影响下移动并发生形变(中矢径增加)直至达到受力平衡位置。硬膜囊膨起程度决定了脊髓后移的大小,并且受局部曲度的影响。
我们将这一机制称为牵张机制,可以解释颈椎变直或后凸时颈后路减压术后仍有脊髓后移和临床疗效,短节段后路减压也可能获得较好的脊髓后移,扩大减压范围不会对远隔节段的脊髓后移产生影响等临床现象。
并且强调颈后路手术应注意保证减压具有足够的宽度,“开门”具有足够的角度,使硬膜囊能够充分膨起,以保障脊髓后移(充分的轴面减压范围,图5);可以根据脊髓受压迫的节段和程度来决定颈后路减压的节段(计划纵向减压范围的获益与致压物大小这两个因素相比较来判断合理的纵向减压范围,详见后续系列研究二、三、四”)。

图5
即使颈椎曲度变直或存在一定程度的颈椎后凸,后路减压术后仍有可能获得满意的脊髓后移,仅对于影响预后的颈椎后凸(大于15度的整体后凸[2],大于13度的局部后凸或伴有脊髓MR信号异常的大于5度的局部后凸[3])或不稳定予以矫正(不过度强调颈椎整体曲度的决定意义)。
参考文献:
1. 刁垠泽,孙宇,王少波,张凤山,潘胜发,刘晓光,刘忠军 . 颈椎椎板成形术后脊髓后移的相关因素分析. 中华骨科杂志, 2013, 33 (5): 454-458.
2. Kim S W, Hai D M, Sundaram S, et al. Is cervical lordosis relevant in laminoplasty?[J]. The Spine Journal,2013,13(8):914-921.
3. Suda K, Abumi K, Ito M, et al. Local Kyphosis Reduces Surgical Outcomes of Expansive Open-Door Laminoplasty for Cervical Spondylotic Myelopathy[J]. Spine,2003,28(12):1258-1262.
*研究细节及相关参考文献详见原文:刁垠泽,孙宇,王少波,张凤山,潘胜发,刘晓光,刘忠军. 颈椎椎板成形术后脊髓后移的相关因素分析. 中华骨科杂志, 2013, 33 (5): 454-458.。本研究获第五届《中华骨科杂志论坛》(南京,2012)优秀论文三等奖。
系列研究(二)
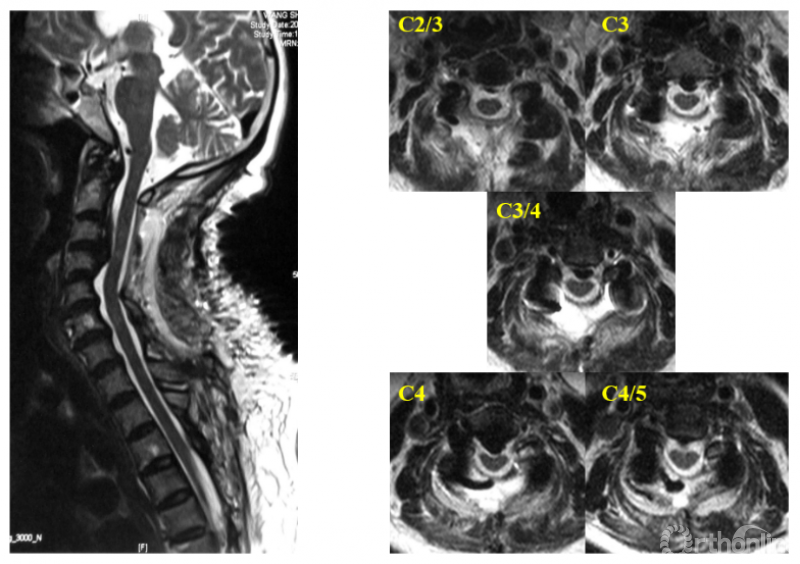
在初步了解颈后路减压手术后脊髓的运动规律及影响因素之后,我们对于如何制定合理的纵向减压范围又做了进一步的研究,初衷是解决临床工作中遇到的一类的临床问题。下面以具有代表性的临床病例进行说明。

图1
从该患者的影像资料可以发现以下特点:致压物主要是来自于脊髓前方的后纵韧带骨化块,造成脊髓腹侧受压。在颈2/3间隙及以上水平,并未造成脊髓明显压迫,但在C3/4间隙水平椎管侵占率陡然增大,是脊髓受压最严重的节段。在这种情况下,颈后路纵向减压范围应该是C3-7、C2-7或者C1-7?
对于压迫性颈脊髓病,尽管充分的脊髓减压并不总是能够确保神经功能恢复理想(脊髓功能主要与脊髓病生理状态有关,极端的例子如脊髓急性损伤,即使手术减压充分未必获得神经功能恢复),但不可否认的是:对于压迫性颈脊髓病,脊髓减压是主要的治疗手段,残留脊髓压迫不能排除是神经功能恢复不理想的原因。建立在这样的共识的基础上,我们进一步讨论如何尽可能获得更为充分的减压效果。
实际上,类似于病例1的情况并不少见,尤其多见于后纵韧带骨化症的患者,暂且不对例1的治疗方案做出决定,我们来看另一例给我们启示的病例:

图2
对于该例患者,C2/3间隙水平有轻度脊髓压迫,脊髓受压最重的节段仍然在C3/4水平。我们进行了再次手术,并向头侧扩大减压范围至C2,术后不仅C2/3水平的轻微压迫得到解除,C3/4水平脊髓压迫也明显去除了(图3),神经功能改善。
这个病例给我们的启示是:扩大减压范围至C2,有助于提高C3/4水平脊髓减压的效果。然而,显然并不是所有患者都需要扩大减压,那么需要回答的问题是:C3/4水平的脊髓前方致压物多大,需要扩大减压范围至C2?

图3 术后核磁显示脊髓减压充分
我们对57例患者的资料进行回顾,按减压节段分为C3-7组(n=32)和C2-7组(n=25)。测量并比较两组患者术后核磁上C2/3至C7/T1各节段脊髓前方至椎体后缘的距离(图4,在本研究中命名为脊髓前间隙,Anterior cord space, ACS),以了解不同的减压范围下减压效果的差异,以及将减压范围扩大至C2能带来的脊髓减压效果的获益究竟有多大。从而回答上述临床问题。

图4
本研究的结果提示,扩大减压范围至C2后,不仅使C2/3水平ACS增加,其相邻的C3/4水平ACS亦有明显增加,提高了C3/4水平避让前方压迫的能力(图5)。

图5
从数值上进行分析可以发现:C3-7组C3/4水平ACS均值6.60mm(95%CI:6.10~7.11),当该水平致压物中矢径>6.10mm时,C3-7减压即可能在C3/4水平残留压迫,当C3/4水平致压物中矢径>7.11mm时,C3-7减压则几乎不能充分解除压迫;如果扩大减压范围至C2,C3/4水平的ACS平均可达8.74mm(95%CI:8.10~9.38),最大可避让中矢径为9.38mm的前方致压物(图6)。

图6
此外,C4-5及以下节段未受C2减压的影响,提示当目标节段及其相邻节段的椎管充分扩大后,该目标节段即获得最大减压效应,而不会受到远隔节段是否减压的影响,亦即颈椎后路减压的效应主要受局部因素(局部硬膜囊膨起及局部曲度)的影响,这与系列一的研究结果是一致的。
最后,我们回到病例一,利用上述研究结果指导临床决策:C3/4水平致压物中矢径8.71mm>7.1mm,所以C3-7减压势必残留压迫,应选择C2-7减压,术后获得了9.34mm的ACS,充分解除了脊髓压迫(图7)。

图7
或许有人会问,上述规律只在颈2-4水平成立还是在整个颈椎均有此规律?术前计划时怎么知道不需要扩大减压至C1呢?这个问题将在本系列研究的第三、四部分解答。
研究细节及相关参考文献详见原文:刁垠泽,孙宇*,王少波,张凤山,潘胜发,刘晓光,刘忠军. 第2至第7颈椎与第3至第7颈椎椎板成形术后脊髓前间隙的MRI测量比较[J]. 中华外科杂志,2014(10):745-749.。本研究获中国康复医学会颈椎病专业委员会全委会暨第四届全国中青年颈椎病专题论坛及优秀论文评选(昆明,2015)优秀论文二等奖。
系列研究(三)
本系列研究的前两节分别从分析减压机制和解决临床特定问题方面着手,本节试图揭示颈后路手术减压范围对减压效果影响的普适规律。
首先,我们提出一个概念——“颈后路手术的减压限度”。定义为:后路减压术后,脊髓避让腹侧致压物的最大能力,也即,脊髓能够避让的最大腹侧致压物的大小。对于一个特定的目标节段来说,改变减压范围,可以改变该节段的减压限度,从而根据致压物的大小,针对性的确定减压范围,获得良好的减压。
在本系列研究的第二节中,通过扩大减压范围至C2,提高了C3/4节段的减压限度,避免了在该水平致压物较大的情况下由于减压范围不足而残留压迫的问题,实践了上述思路。
在本研究中,我们增加了不同减压范围的组别。对129例接受了颈后路减压手术且减压充分的患者的资料进行回顾研究,并且根据减压范围分为:C4-7组(n=11),C3-6组(n=61),C3-7组(n=32),C2-7组(n=25)。以后路术后椎髓间距(Vertebral body-Cord Distance, VCD)作为代表减压限度的参数:后路减压术后椎体后缘连线上各点至脊髓前缘的距离(图1)。

图1 椎髓间距(VCD)的测量
在充分避让了前方致压物的情况下,VCD代表了脊髓避让前方致压物的能力(与本系列研究第二节中的脊髓前间隙的测量方法相同,考虑到“间距”比“间隙”更能准确表达该参数的本质,并不是脊髓前方的腔隙,而是脊髓至椎体后缘的空间距离,该距离可被致压物部分充填但不影响其数值,可以与致压物进行数值上的比较,故作此改变)。通过测量并比较各组在C2-7每个节段上VCD数值,了解减压范围的对减压限度影响。
测量结果如图2所示。我们以测量的数据作图,纵轴显示各个颈椎节段,横轴代表VCD数值,得到的图片效果类似于在阅读颈椎核磁的矢状位图像,只不过人为将颈椎拉直了(图3)。

图2

图3
曲线左侧被颜色填充的部分,代表了各组在每个颈椎节段获得的VCD,致压物如果位于曲线左侧的区域内,就不会残留压迫。从这个动图可以看出,减压范围的变化会影响特定节段的减压限度。那么减压范围对减压限度的影响规律是什么呢?
我们还需要对每个节段的减压特征进行定义,根据目标节段在减压范围中所处的位置,可以分为边缘外减压、边缘内减压和中心性减压(图4),并且用关系符号标明数据表内各组数据的大小关系,最后将各节段的减压特征代入数据表中(图5)。

图4

图5
结果发现内在规律是:改变颈后路纵向减压范围会改变某些节段的减压特征,进而影响在该节段的减压限度。在不同的减压范围下,同一节段横向比较,减压限度的关系是:边缘外减压<边缘内减压<中心性减压,其减压限度的差异具有显著性;处于同一减压级别的节段之间减压限度没有差异;中心性减压已达该节段最大限度减压,不会随着减压范围的增加而增大。
所以,应当根据致压物大小与不同的减压方案预计可以获得的减压限度的关系确定合理的减压范围,对于已经达到中心性减压的节段不应盲目扩大减压范围,对于尚未达到中心性减压且致压物巨大的目标节段合理扩大减压范围,有助于获得充分的脊髓减压。
仍以系列研究第二节的病例一为例,C3/4节段在C3-7减压方案与C2-7减压方案下,减压特征由边缘内减压变为中心性减压,通过正态分布的计算,可估计当该节段致压物中矢径达8.71mm时两种方案残留压迫的几率,从而选择有助于充分减压的C2-7方案(图6)。

图6
本研究证实的规律对于C2至C7范围内的后路减压手术具有普适性,那么在颈椎后路手术中是否会有特例呢?将在本系列研究的第四部分进一步探讨。
研究细节及相关参考文献详见原文:Diao Y, Yu M, Zhang F*, Sun Y, Wang S, Zhang L, Pan S, Liu Z, Li W. Effect of decompression range on decompression limit of cervical laminoplasty[J]. Chinese Medical Journal,2020,133(8):909-918. 。本研究获2019中国骨科焦点学术大会(郑州,2019)《中华医学杂志英文版》骨科医师英文优秀论文评选二等奖。
系列研究(四)
当后纵韧带骨化延伸至齿突或寰椎水平时,后路手术往往是唯一的选择。此时,是否有必要做寰椎区域的减压?以往的文献对此研究较少,大多根据个人经验提出倾向性建议:以“弓弦原理”为指导,多认为寰椎后弓切除可能有利于脊髓的整体后移;以“压迫在哪里,就在哪里减压”为原则,多根据椎管狭窄的范围是否包括寰椎来决定是否行寰椎减压。
然而,根据本系列研究的前三部分的结果,后路手术的间接减压效果与减压范围有关:有时减压范围需要大于脊髓受压的范围以获得更好的减压效果,而且这种由于扩大减压范围所产生的额外减压效果仅惠及邻近节段,不会影响远隔节段。但是,寰椎后弓切除的减压效果是否也遵循这一规律,仍需进一步的定量研究加以证实。
此外,尽管寰椎后弓并无重要的肌肉或韧带附着,对颈椎的稳定并无重要作用,但是寰椎后弓的显露和切除过程仍有椎动脉损伤的风险,不宜过于随意,应有明确的指征。所以比较寰椎后弓切除抑或保留对于减压效果的影响具有重要的临床意义,有助于上述指征的确立。
于是,我们回顾性分析了45例含上颈椎后路减压的压迫性颈脊髓病患者的临床资料,按减压范围分为C2-7组(25例)和C1-7组(20例)。利用本系列研究第三部分建立的方法,对两组各个节段的椎髓间距(VCD)进行测量和比较。与之前的研究不同的是,为了避免由于上颈椎形态不规则对测量造成的影响,将参数测量方法人为的标准化,称为标准化椎髓间距(standardized vertebral -cord distance, SVCD),并对测量位点进行了细化,增加了寰椎水平的数据(记为SVCD-C1)、枢椎齿突与枢椎椎体结合部的数据(记为SVCD-C1/2)、枢椎椎体中部水平的数据(记为SVCD-C2)(图1)。并对各个节段的SVCD进行组间比较。

图1
结果显示不仅在C1水平,C1-2及C2水平的SVCD在两组间也有显著差异(图2)。而在C2/3及以下节段,两组间均无显著差异。也就是说,在C2-7减压的基础上切除寰椎后弓,因此而减压效果获益的区域仅限于C1至C2椎体中部区域(图3),无助于C2/3及以下节段减压效果的提高。

图2

图3
通过正态性检验,我们还可以进一步估算两组在C1/2及C2水平致压物大小与压迫残留几率的关系,选择合理的临界值。在C1/2水平致压物矢状径为8.5mm时,C2-7减压在该水平压迫残留率为54.70%,C1-7减压在该水平压迫残留率降低至16.26%;C2水平致压物矢状径为8.5mm时,C2-7与C1-7减压在该水平压迫残留率分别为57.76%与28.82%。
寰椎后弓切除显著提高了颈后路手术在上述测量水平的减压效果。8.5mm可作为在C1/2和C2水平致压物矢状径的临界值。当致压物在C1/2或C2水平超过8.5mm时,即使在寰椎水平无脊髓受压,仍建议向头侧扩大减压切除寰椎后弓,以获得更好的减压效果。
当OPLL累及上颈椎时,需要权衡是否需要切除C1后弓的情况并不少见,本研究有助于合理确定寰椎后弓切除的指征。除了寰椎水平脊髓腹侧(如颈椎后纵韧带骨化延伸至寰椎前弓)或背侧(寰椎后弓发育不良或畸形)存在压迫这一常见手术指征,在寰椎至枢椎体中部范围内,当致压物的矢状径超过采用C2-7减压能获得的SVCD(8.5mm)时,向头端扩大减压,行寰椎后弓切除是获得充分减压的有效手段(图4)。

图4
研究细节及相关参考文献详见原文:刁垠泽,孙宇,王少波*,张凤山,张立,潘胜发,许南方,李危石,刘忠军.寰椎后弓切除对颈后路手术减压效果影响的定量研究[J]. 中华骨科杂志,2019,39(4):201-208.。本研究获第十一届《中华骨科杂志论坛》(杭州,2018)优秀论文二等奖。
作者简介

刁垠泽
北京大学第三医院骨科副主任医师,毕业于北京大学医学部,博士研究生学历,医学博士学位。CSRS AP Active member,CSRS Affiliate Member,中国康复医学会颈椎病专业委员会?学组委员,JBJS中文版编委,北京眩晕研究会委员,北京医师协会眩晕专业专家委员会委员,AO-Spine会员,中国医师协会骨科医师分会会员,中华医学会骨科学分会委员。专业方向为颈椎退行性疾患、OPLL、畸形及创伤的发病机制研究及外科治疗。

孙宇
医学学士,副教授,硕士生导师,主任医师,北京大学第三医院骨科颈椎组组长。
中国康复医学会颈椎病专业委员会常务委员;中国康复医学会脊柱脊髓专业委员会颈椎研究学组副主任委员;中国康复医学会骨与关节及风湿病专业委员会常委及脊柱非融合技术学组副主任委员;中国研究型医院学会脊柱外科专业委员会副主任委员;中国研究型医院学会脊柱外科专业委员会颈椎学组组长;中华医学会骨科学分会脊柱学组委员;华裔骨科学会理事;北京医学会骨科学分会委员;北京康复医学会骨科学术委员会理事;国际脊柱发展与创新学会会员;中国医师协会骨科医师分会颈椎专业委员会副主任委员;国际颈椎研究学会亚太与太平洋地区分会主席;国际颈椎研究学会会员;亚太颈椎研究学会员;中国研究型医院学会加速康复外科专业委员会骨外科学组委员;中国医疗保健国际交流促进会加速外科学分会脊柱外科康复学组成员;AOSpine中国理事会教育官。

张凤山
北京大学第三医院,医学博士,副教授,主任医师,硕士研究生导师。海峡两岸医药卫生交流协会台海医学会副主任委员,中国老年学会脊柱和关节专业委员会委员。研究方向为颈椎退变性疾病的病因、发病机理、诊断、治疗和预防;椎管内韧带骨化病因、发病机制、治疗方法。

王少波
北京大学第三医院,医学学士,硕士生导师,主任医师,中华医学会骨科学分会脊柱微创学组委员,中华外科杂志通讯编委,中华华裔骨科学会理事,中国医师学会骨科医师分会脊柱外科学组委员,中华康复医学会脊柱专业委员会颈椎学组委员,卫生部人才交流中心职称评审专家委员会评审专家,中国医药教育协会骨科分会颈椎分会颈椎学组副主任委员,中华预防医学会脊柱疾病与控制专业委员会第一届委员会委员。



京公网安备11010502051256号