骨科常见疾病X线解析之肱骨内髁骨折
2021-06-04 我要说
临床上,肱骨内髁骨折波及范围包括内上髁与滑车的大部分。受伤后肘内侧和内上髁周围软组织肿胀,或有较大血肿形成。
临床检查肘关节的等腰三角形关系存在。患者表现为疼痛,特别是肘内侧局部肿胀、压痛、正常内上髁的轮廓消失。下面就临床常见的病例进行讲解:
一、新鲜性内髁骨折
本病多见成年患者。
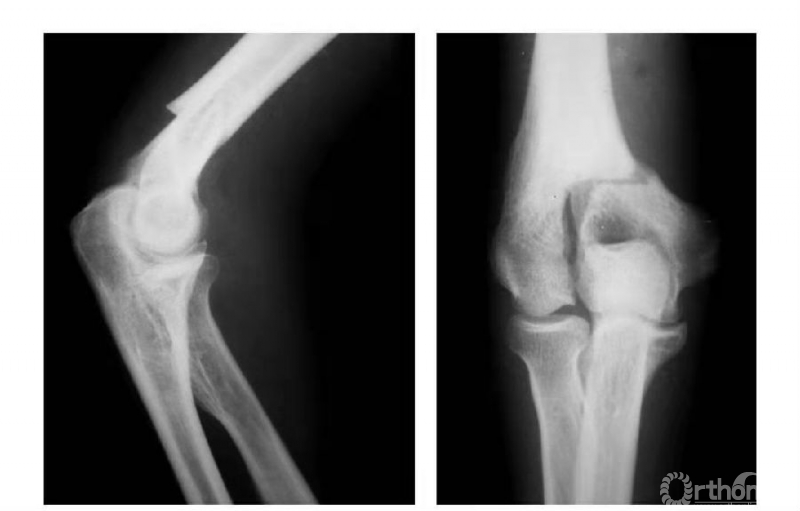
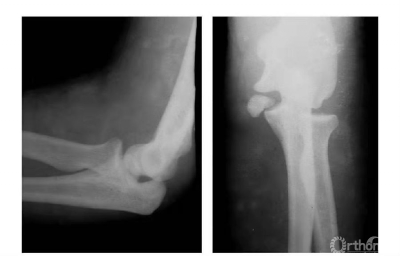
例1:肱骨内髁骨折,折线由滑车外缘沿鹰嘴窝上缘,并呈直角状而拐向内上髁(属于稳定型)(图1)。

图1
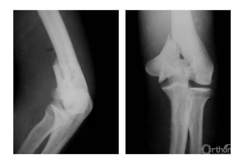
例2:肱骨内髁骨折,折线经滑车外缘斜向内髁上部(非稳定型)(图2)。

图2
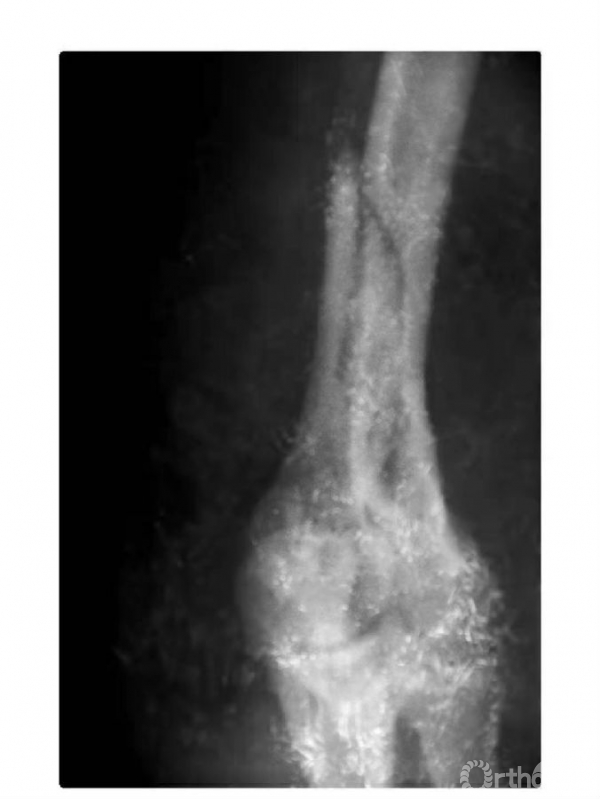
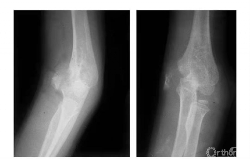
例3:肱骨内髁长斜形劈裂骨折(折线长约10cm)(图3)。

图3
二、陈旧性内髁骨折
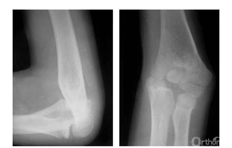
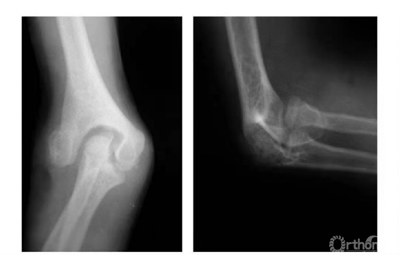
例1:肱骨内髁滑车关节面骨折,骨块陷入鹰嘴窝内,致肘内翻畸形(图4)。

图4
例2:肱骨内髁滑车关节面骨折,骨块嵌夹在尺肱关节间,且有翻转现象(图5)。

图5
例3:肱骨内髁骨折,骨块向前上移位,并上尺桡关节分离致尺肱关节不稳,且桡骨干近段呈代偿性粗大(图6)。

图6
例4:肱骨内髁滑车骨折,且骨块内移,致骨骺因损伤而早闭,并形成肘内翻畸形(图7)。

图7
例5:肱骨内髁外侧壁骨骺因损伤而早闭,而内外侧骨骺继续生长致滑车沟变深,继而肱骨下端形成鱼尾状畸形(图8)。

图8
来源:《骨科疾病X线片百例解》
作者:闻善乐



京公网安备11010502051256号