“非典型”颈椎病之二:颈源性心绞痛
2021-09-02 我要说
来源:海军军医大学附属长征医院脊柱一科
作者:张科 审校:刘洋
全球每年有数百万人因急性胸痛而就诊,而这些人中只有15%到25%的急性胸痛患者最后诊断为冠心病心绞痛[1,2],绝大多数患者胸痛症状并非由心源性因素导致,那么,如果胸痛不是由心脏器质性病变导致,会是什么原因呢?
非心源性胸痛可由多种疾病引起,但由于颈椎病变及功能障碍导致胸痛的病例却鲜有报道。我们“非典型”颈椎病系列之二就为大家介绍一例因颈椎病导致胸痛的病例以及相关文献回顾。
病例详情
患者是一名63岁男性,因“右胸前区疼痛20天,加重伴右手麻木1周”入院,麻木主要累及右手尺侧二指,同时伴右手肌力下降(5-),胸部疼痛主要以右侧胸前区及肩胛区为主,发作时疼痛剧烈(VAS=8分),咳嗽、深呼吸时加重,卧床休息后症状稍缓解。
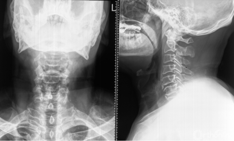
心电图提示窦性心律,ST-T轻度压低。胸部X线、胸部CT、心脏彩超及心肌酶均未见明显异常。颈椎X线提示颈椎退变及前纵韧带骨化(图A),颈椎MRI提示C7-T1椎间盘突出导致右侧C8神经根严重压迫(图B)。经科室讨论明确诊断为神经根型颈椎病及颈源性胸痛后,进行C7/T1的ACDF手术(图C),术后患者胸痛症状明显好转(VAS=2分),右手麻木症状消失,肌力也逐渐恢复。

图A 术前颈椎正侧位

图B 术前颈椎MRI提示右侧C8神经根受压

图C 术后过伸位和正位片
颈源性心绞痛的概况
颈源性心绞痛(又称颈心综合征、颈胸痛)是一种由于颈椎功能障碍导致出现胸痛症状类似心绞痛症状的一种综合征[2-5]。1927年,Phillips[6]首次描述颈椎神经根压迫会引起类似心绞痛的症状,后Nachlas[7]在1934年报告了三例由颈椎神经根压迫引起心前区疼痛病例,并对牵引和物理治疗有效,1948年Davis[8]将这一综合征正式命名为颈源性绞痛(Cervical Angina)。
胸痛作为一种与颈椎病相关的非典型症状,相关的文献报道并不是很多,确切的发病率也尚不清楚,但在一组241例因C7神经根压迫接受颈椎前路手术的患者中,16%的患者伴有胸痛或肩胛下疼痛[9]。在另一组706例因为颈椎病需要手术的病人中,1.4%病人主要表现为胸痛的症状[4]。
由于对其认识不足,其诊断治疗也常常延误,文献报道颈源性心绞痛确诊前症状持续时间从2个月到90个月不等[2,4,10]。再者绝大多数胸痛病人首诊科室通常是急诊内科或者心内科,许多颈源性心绞痛患者无法得到及时准确的诊断,故而实际发病率应该更高。本例病例临床表现为右侧胸痛,故诊断上一般不会误诊为冠心病心绞痛,但若为左侧胸痛,则需要与心源性心绞痛加以鉴别。
颈源性心绞痛的发病机制
尽管具体的发病机制不明,但大多数学者认为,颈源性心绞痛可能是颈椎根性症状的一种特别表现形式。目前关于颈源性心绞痛报道最大的病例样本是1985年Brodsky[5]发表在spine杂志上的关于438例颈源性心绞痛的报道,在该研究中约70%的病例都出现神经根的压迫,其中最常见的发病节段依次为C5-C6(37%)、C6-C7(30%)、C4-C5(27%)和C3-C4(4%)。
颈椎病的根性症状主要是通过C4-T1神经根介导,C4-T1神经根通过胸内侧和胸外侧神经向前胸壁提供感觉和运动神经支配,作者认为这正是神经根压迫导致胸痛的可能解剖机制。Jacobs[3]的研究也证实C6和C7神经根在颈源性心绞痛中是最容易受累及的,支持神经根的压迫是导致胸痛原因的结论。同时,颈椎神经根阻滞及手术解除根性压迫后,绝大多数病人胸痛症状获得缓解也间接证实了颈椎神经根的压迫是导致颈源性胸痛的原因之一。而“颈源性心绞痛”(Cervical Agina)在许多国外脊柱外科专著中有专门的篇章加以论述,而在中文书籍中见诸较少。
也有部分病例报道其他类型颈椎疾患可以导致颈源性胸痛,如脊髓型颈椎病[4],脊髓梗死[11,12],脊髓肿瘤[13],颈椎不稳[14],椎间盘病变[9]等,具体的发病机制不详,其机制可能类似于牵涉痛,而不依赖于神经根的受压。其中窦椎神经的参与可能是影响的机制之一[2]。窦椎神经是脊神经发出的一支返支,起于背根神经节之上,通过椎间孔之后又重返椎管,从而影响分布于脊膜、后纵韧带、椎间盘后外侧和椎体骨膜上,同时窦椎神经有交感纤维的汇入,有可能通过影响交感神经系统对胸痛产生影响。再者,脊髓背角及脊髓丘脑束的压迫损害造成下行疼痛抑制通路的减弱[15],这也是可能的影响机制。
一些研究假设颈源性心绞痛可能是由传入到心脏和冠状动脉的颈交感受系统受损引起。颈交感链位于椎前筋膜深部,内侧为颈长肌,外侧为前斜角肌及走行于表面的膈神经,前方为颈动脉鞘,后内侧为椎间孔。胸痛可能是由于传入到心脏和冠状动脉的交感传入纤维受到颈椎周围结构的压迫及刺激介导。Tanaka[16]报道选择性颈椎神经根阻滞可减轻胸痛和神经根症状,而单纯交感神经节阻滞可减轻胸痛,但不影响神经根症状。这也解释了为什么很多颈源性心绞痛的病人常伴有眩晕、恶心、出汗、面色苍白等交感神经系统的症状。
钩椎关节增生可能是导致颈源性心绞痛的另一致病因素。沈洪兴等[17]发现颈源性心绞痛的病人常伴有钩椎关节的增生,且对比了手术切除及不切除增生的钩凸病人,发现切除增生钩凸的病人其术后的胸痛的VAS评分改善明显优于未切除增生组。除了增生的骨赘导致对于神经根出口的的压迫及刺激,其增生导致的骨赘可能会对交感神经产生刺激。钩椎关节靠近颈长肌内缘边界,其增生的骨赘顶起同侧的颈长肌,产生的类似弓弦效应可能刺激或者压迫邻近的颈椎的交感链(图D)[17],从而影响传入到心脏和冠状动脉的交感纤维,并导致颈源性心绞痛。

图D 钩椎关节增生刺激颈部交感链
颈源性心绞痛的临床特征与诊断
颈源性心绞痛患者通常表现为剧烈的针刺样或压榨样前胸痛[18],部分患者伴有肩胛下疼痛[9],症状可在休息时出现,也可在体育活动时加重,常持续30分钟以上或小于5秒,这也是与冠心病心绞痛一个很重要的鉴别点。可伴有颈肩部疼痛不适及相应上肢放射痛的症状。约50%至60%的患者出现交感神经系统症状(如眩晕、恶心、出汗、面色苍白、疲劳、复视和头痛等)[4,10],这可能是交感神经受到刺激或者压迫的表现。
虽然颈源性心绞痛可以表现为多种形式,除了明显的因为神经根受压导致出现的体征,大部分颈源性心绞痛相关的神经学查体通常是缺失或非典型的。在一些病例报告中,患者在进行Spurling征查体时,会诱发胸痛的症状[3,5]。部分患者表现为颈部前屈引起的胸痛,同时引起心电图改变[19]。当患者的病史和体格检查呈现如下一定特点时,应增加对颈源性心绞痛的怀疑(表1)[2]。

表1
对于颈源性心绞痛的诊断更多的依赖更于脊柱外科医生对于这种疾病的充分认知及对不明原因心绞痛或者胸痛患者的怀疑。传统的冠心病心绞痛诊断标准,如疼痛的特征及疼痛对于硝酸甘油的反应,静息和应激性时的心电图特征,存在一定的诊断误差,冠状动脉造影的普及使我们能够比过去更准确地排除心脏冠脉因素病作为胸痛的原因。
一旦充分排除冠状动脉疾病,颈椎的影像学则成为诊断颈源性心绞痛的重要证据。X片、CT及MRI可显示退行性颈椎改变,包括椎间盘突出、钩椎关节的增生、椎间隙的狭窄、神经根的压迫、椎管的占位等,肌电图检查也可佐证影像学的结果。
对于部分诊断困难的病例,当临床特征、影像学表现和神经生理学结果不一致的情况下,尤其对于准备进行颈椎手术的患者,进行选择性神经根阻滞及椎间盘造影是对颈源性心绞痛进行诊断的有效工具[20,21]。然而,这些侵入性检查容易造成椎动脉及脊髓损伤引起灾难性的后果,选择时应该谨慎。
颈源性心绞痛的治疗
尽管大多数文献报道的颈源性心绞痛病例接受了颈椎手术治疗,并获得了明显的症状改善[3,9,17],但在大部分研究中对于颈源性心绞痛诊断明确的病人,同颈椎病一样首选依然是保守治疗,且文献报道约3/4病人经过保守治疗症状都能得到明显的缓解[3,5]。使用非甾体抗炎药和肌松剂能够取得很好的效果,采用颈托固定或牵引可以帮助有效地缓解疼痛[5,7]。有些患者甚至在休息时胸痛症状便可自行消退[2,3]。
对于顽固性颈源性心绞痛保守治疗失败或神经损伤明显,则以手术治疗为主。对于颈源性心绞痛的病人,文献报道手术方式多采用前路手术治疗为主。在Brodsky[5]报道的438例颈源性心绞痛中,其中88例(20.1%)患者采用手术治疗。在该系列研究的早期,仅少数病例进行了后路椎板切除术及椎间孔扩大成型术,其余78例均采用前路手术且术后效果满意。
Nakajima[4]也报道10例诊断为颈源性心绞痛的患者,其颈椎病诊断分别为脊髓型颈椎病(3例)、颈椎间盘突出(6例)和OPLL(1例)。所有患者经颈椎前路手术减压后胸痛完全缓解。Ozgur和Marshall[9]报道约90%的患者在颈椎前路术后疼痛长期缓解。因此,对于神经根或脊髓压迫导致的颈源性心绞痛,颈椎前路手术是一种有效的选择。
参考文献
[1]. Pope, J.H., et al., Missed diagnoses of acute cardiac ischemia in the emergency department. N Engl J Med, 2000. 342(16): p. 1163-70.
[2].Sussman WI, Makovitch SA, Merchant SH, Phadke J. Cervical angina: an overlooked source of noncardiac chest pain. Neurohospitalist. 2015;5(1):22–27.
[3].Jacobs B. Cervical angina. N Y State J Med 1990;90:8- 11.
[4].Nakajima H, Uchida K, Kobayashi S, et al. Cervical angina: a seemingly still neglected symptom of cervical spine disorder? Spinal Cord 2006;44:509-13.
[5].Brodsky AE. Cervical angina. A correlative study with emphasis on the use of coronary arteriography. Spine (Phila Pa 1976) 1985;10:699-709.
[6].Phillips J. The important of examination of the spine in the presence of intrathoracic or abdominal pain. Proc Int Postgrad MA North Am, 1927, 3: 70.
[7].Nachlas I. Pseudo-angina pectoris originating in the cervical spine. JAMA, 1934, 103: 323–325.
[8] . Davis D. Radicular Syndrome With Emphasis on Chest Pain Stimulating Coronary Disease. Year Book Medical Publishers, Inc.; 1957
[9].Ozgur BM, Marshall LF. Atypical presentation of C-7 radiculopathy. J Neurosurg. 2003;99(2 suppl):169-171
[10].Brodsky AE. Cervical angina. A correlative study with emphasis on the use of coronary arteriography. Spine (Phila Pa 1976), 1985, 10: 699–709.
[11].Nakae Y, Johkura K, Kudo Y, Kuroiwa Y. Spinal cord infarction with cervical angina. J Neurol Sci. 2013;324(1-2):195-196.
[12].Cheshire Jr WP. Spinal cord infarction mimicking angina pectoris. Mayo Clin Proc. 2000 ;75(11):1197-1199.
[13].Akiyama H, Tamura K, Takatsuka K, Kondo M. Spinal cord tumor appearing as unusual pain. Spine. 1994;19(12):1410-1412.
[14] Ito Y, Tanaka N, Fujimoto Y, Yasunaga Y, Ishida O, Ochi M. Cervical angina caused by atlantoaxial instability. J Spinal Disord Tech. 2004;17(5):462-465
[15]. Booth RE Jr, Rothman RH. Cervical angina. Spine (Phila Pa 1976). 1976;1(1):28–32.
[16].Tanaka S. Etiological consideration of cervical angina combined with cervical disc herniation. Jpn Orthop J 1976;19:875-7.
[17] Feng, F., et al., Different Surgical Strategy for Patients with Cervical Angina: A Potential Role of Luschka's Joint Osteophyte. Orthop Surg, 2020. 12(6): p. 1612-1620.
[18] Feng, F., X. Chen and H. Shen, Cervical Angina: A Literature Review on Its Diagnosis, Mechanism, and Management. Asian Spine J, 2021. 15(4): p. 550-556.
[19].Güler N, Bilge M, Eryonucu B, Cirak B. Acute ECG changes and chest pain induced by neck motion in patients with cervical hernia—a case report. Angiology. 2000;51(10):861–865.
[20]Guyer R, Ohnmeiss D. Lumbar discography. Position statement from the North American spine: society diagnostic and therapeutic committee. Spine. 1995;20(18):2048-2059.
[21]Cloward RB. Cervical diskography: a contribution to the etiology and mechanism of neck, shoulder and arm pain. Ann Surg 1959;150:1052-64.



京公网安备11010502051256号