一文详解保膝治疗之胫骨高位截骨术
2021-09-13 文章来源:广东省中医院二沙岛分院骨科 作者:许树柴,黄泽鑫,陈伯健,刘洪亮 我要说
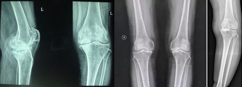
膝关节骨关节炎X片分级
0级:正常;
I级:关节间隙可疑变窄,可能有骨赘;
II级:有明显的骨赘,关节间隙轻度变窄;
III级:中等量骨赘,关节间隙变窄较明确,软骨下骨骨质轻度硬化改变,范围较小;
IV级:大量骨赘形成,可波及软骨面,关节间隙明显变窄,硬化改变极为明显,关节肥大及明显畸形。


膝关节骨关节炎手术治疗方案
(1)全膝关节置换术(Total Knee Arthroplasty,TKA):置换整个关节面,矫正力线,假体使用寿命较长,缓解疼痛疗效肯定。适用于整个膝关节软骨磨损严重,并伴有内翻畸形患者。
(2)单髁置换术(Uincomparmental Knee Arthroplasty,UKA):置换内侧部分关节面,可矫正轻度内翻,保留了患者所有的韧带,缓解关节内侧疼痛疗效确切,适用于内侧软骨磨损患者。
(3)腓骨截骨术(Fibula Osteotomy,FO):通过腓骨截骨改变胫骨平台的受力情况,减轻胫骨平台内侧负荷,缓解疼痛,延缓膝关节骨关节炎进展。但目前尚无询证医学证实以及临床长期随访结果支持。
(4)胫骨高位截骨术(High Tibial Osteotomy,HTO):通过胫骨高位截骨,矫正力线,适用于合并严重内翻的膝关节骨关节炎,可延缓关节炎进展,保留了膝关节的正常活动功能。随着技术水平的提高,内固定材料的稳定性增强,此术式越来越受骨科医师以及患者青睐,常用于早中期膝关节骨关节炎的治疗。
概述
胫骨高位截骨术(High tibia osteotomy,HTO)1958年首先由Jacksn报道;直到1965年Covertry开始倡导并推广,认为HTO可以缓解关节疼痛,并将此术式称之为安全有效的治疗措施。
目的:通过胫骨近端截骨,将力线从磨损的内侧间室转移至相对正常的外侧间室,延缓内侧间室的破坏,延长膝关节的使用寿命,推后或避免行膝关节置换术。

Covertry等采用胫骨外侧闭合截骨术治疗24例共30膝关节骨关节患者,其中12例共18膝术后取得满意的临床疗效,认为此术式可以明显缓解关节疼痛,延缓关节炎进展,建议推广使用治疗膝关节骨关节炎患者。


Insall等曾说:从长期随访来看,如果以转行全膝关节置换术(total knee arthroplasty,TKA)作为HTO失败的终末点的话,截骨术的失败率并不高,一般在20%以下,见下表。

Odenbring等采用HTO治疗314例,随访时间为10-19年,其中144例力线矫正满意,170例力线矫正不足。前者只有8例接受了翻修,后者有54例接受了翻修。Odenbring认为,如果准确地实行HTO,其生存时间可与TKA的生存时间相媲美。
HTO适应证
1.患者小于65岁(女性<60岁);
2.膝关节活动度正常(至少屈膝>100°);
3.仅限于内侧间室骨性关节炎;
4.屈曲挛缩畸形<15°,胫骨内翻畸形>5°;
5.内侧胫骨近端角(medial proximal tibial angle,MPTA)<85°;
6.外侧软骨和半月板功能正常;
7.韧带存在,无关节不稳。
HTO禁忌证
1.合并有膝关节外侧间室软骨退变,髌股关节软骨退变;
2.屈膝挛缩>15°;
3.膝关节不稳;
4.炎症性关节炎;
HTO成功三大要素
1.适当的患者选择
Berman等采用HTO治疗39例,随访12年,生存率只有64%。其中有4例为广泛的多间室骨关节炎,2例为炎症性关节炎,1例既往有关节感染,1例为创伤后关节炎合并严重关节畸形。如果把上述8例排除,其满意度可达到79%。显然,上述8例患者不适于采用HTO治疗。所以,挑选合适的患者治疗,能够提高HTO术后的临床疗效。
2.安全准确的手术技术
Chillag等报道了一组30例HTO病例,有17例术后效果不理想,其中5例矫正度数不足,3例过度矫正,2例截骨进关节,共有11例出现手术并发症。满意度只有43%。所以不难发现,糟糕的手术技术严重影响了HTO的临床疗效。
3.可靠的内固定
选择不同的内固定,临床结果不尽相同。一组使用门型钉作为内固定的HTO病例,7.5年随访的满意度仅有60%;使用角钢版作为内固定的HTO病例,8.4年的随访满意度为61.1%;使用非锁定型Puddu钢板作为内固定的HTO病例,其并发症发生率高达43%;使用Tomofix锁定钢板作为内固定的病例,6.5年满意度高达98.5%。
所以,选择不同内固定,其临床疗效差异较大。
胫骨高位截骨术分两类:外侧闭合楔形截骨和内侧开放楔形截骨

外侧闭合楔形截骨
CWHTO去除外侧一个楔形骨块,将下肢力线外翻来降低内侧间室的压力,从而减轻内侧间室关节炎的症状,改善功能。
优点:截骨端加压闭合,无需植骨
缺点:造成下肢短缩,矫正度数有限,需行腓骨截骨,造成上胫腓关节不稳,容易损伤腓总神经,甚至可能出现筋膜室综合征。


CWHTO术前计划

北京积水潭医院黄野教授等采用改良外侧闭合楔形胫骨高位截骨术治疗24例共35膝年龄均在45岁以下的膝内翻伴膝关节内侧间室轻度骨关节炎患者,术后平均胫股角(FTA)173.6°±2.4°,平均矫正11.0°±4.3°,截骨端均愈合,有1例延迟愈合。术后半年完全负重,无一例发生感染。2例出现腓总神经并发症(5.7%)。

采用改良外侧闭合楔形截骨,可以安全有效纠正内翻畸形,缓解骨关节炎疼痛,适用于年轻活跃的单侧或双侧膝内翻患者。但腓骨截骨的并发症仍然是需要考虑的因素之一。
CWHTO并发症
腓总神经损伤,是CWHTO术后最常见的并发症,发生率在0-20%;Song等104例中出现7例腓总神经损伤;Efe等199例中出现6例片腓总神经永久性损伤;Akizuki等118例中5例出现一过性腓总神经损伤。

3D打印辅助截骨技术
陈国仙等利用3D打印技术辅助CWTHO术治疗膝内翻畸形骨关节炎患者20例,术前于Mimics软件设计并3D打印截骨导航模板,术中在模板辅助下行闭合楔形截骨。16例获随访,优良率达95%,1例出现腓总神经麻痹症状。3D打印截骨导航模板可精确辅助术中截骨,避免反复多次透视以及截骨,可获得良好临床疗效.

内侧开放楔形截骨(OWHTO)
OWHTO为胫骨近端内侧楔形截骨,逐渐撑开截骨端,改善力线。
优点:
可以更精确矫正下肢力线,矫正角度相对较大;
无需进行腓骨截骨,并且保留了外侧约1cm的骨性合页;
允许早期下地,康复快速。
缺点:
截骨端愈合时间长,骨缝过大需要植骨,不愈合率较高。

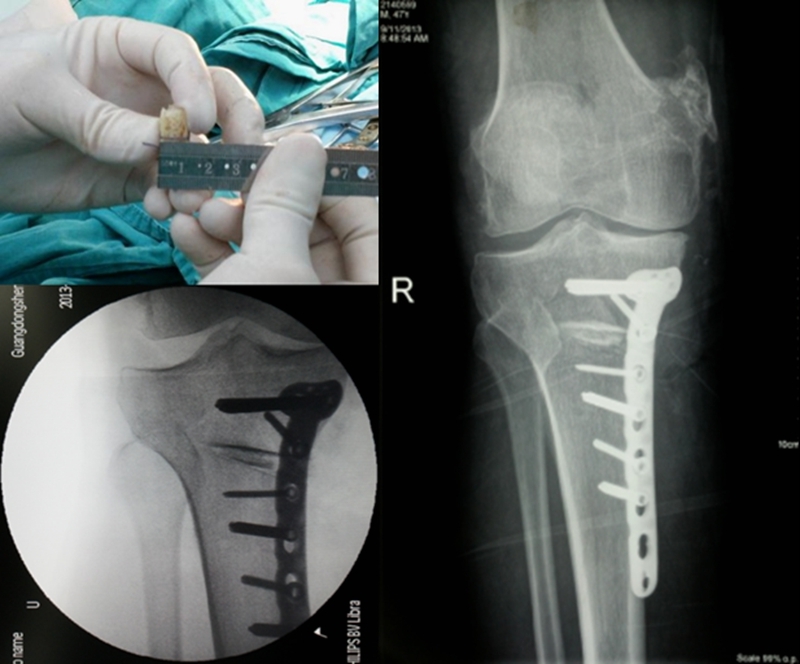
术前计划

如何确定矫正度数
Coventry建议内翻畸形至少矫正至股骨胫骨解剖外翻角8°;Hernigou等发现患者术后机械外翻角在3°-6°时临床效果较好;Fujisawa等发现如果HTO术后力线通过胫骨外侧平台的30%-40%,软骨破坏则不再进展,若通过胫骨平台外侧的62%,则为最佳点,此点被定义为Fujisawa点。




A.双平面截骨,第一刀沿水平面在胫骨后2/3进行截骨,保留外侧合页约10mm,第二刀沿冠状面在胫骨前1/3进行截骨,两刀截骨角度呈110°。B.撑开器逐渐缓慢加大骨缝,注意保留外侧合页。C.力线杆定位,撑开至力线杆经过Fujisawa点。D.进行内固定。
是否植骨?
认为可以不植骨:
Zorzi等研究发现OWHTO是否植骨不影响术后临床效果;Turkmen等认为内侧张开胫骨高位截骨术是治疗膝关节内翻畸形有效的手术方式,在保证精确截骨矫正畸形以及固定强度足够的前提下,术中不植骨也可取得满意预后。

认为需要植骨:
Aryee等认为撑开高度超过10mm需要植骨;El-Assal等则认为当截骨高度>14mm时进行骨移植或人工骨;Spahn认为撑开角度超过12°时需要植骨。

手术注意事项
发生“合页”骨折,固定不牢固,发生不愈合的几率大大增加,文献显示发生率在8.3%-18.2%;
Stoffel等发现如果合页处外侧皮质发生骨折,会导致截骨处微动,易导致骨折不愈合;
Dexel等也推荐如果发生外侧皮质骨折需要采用坚强的外固定和植骨材料。
两种截骨对比 OWHTO VS CWHTO
OWHTO和CWHTO同样可获得良好临床疗效。但CWHTO存在腓总神经损伤的风险。

胫骨高位截骨结合外固定支架治疗
Cengiz Sen等治疗53例,取得良好疗效。相对于采用内固定术治疗,外固定支架可避免矫正度数丢失,胫骨近端骨缺失等,可以延缓关节炎进展。


开放楔形截骨,采用不同固定方法,结果显示:外侧合页破坏时,钢板螺钉固定组比骑缝钉固定组、外固定支架组,能够提供更好的稳定性。

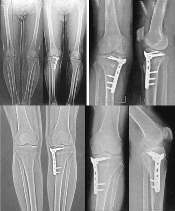
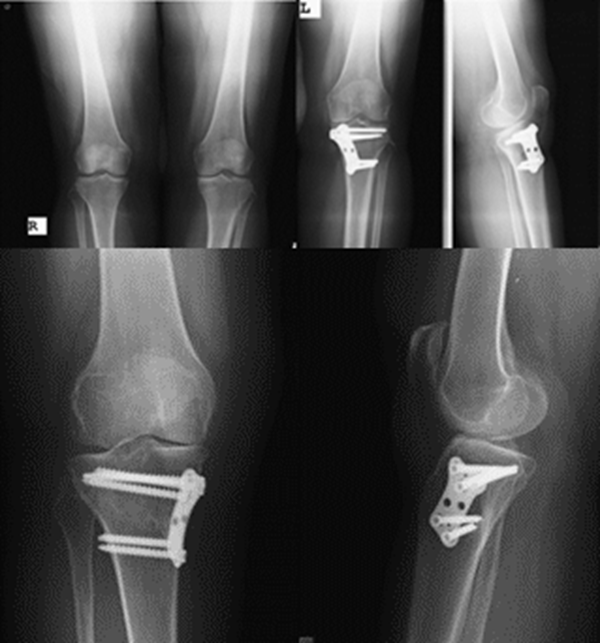
病例
病例1:46岁,滑雪运动员,多发韧带伤,内翻畸形膝关节疼痛,开式截骨后二月全负重行走,膝关节疼痛缓解

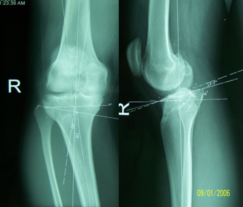
病例2:男性,19岁,因发现右膝关节内翻、过伸畸形伴跛行5年(左侧膝关节也有类似畸形,暂时无症状)。于2006年7月就诊,其母亲也有类似病史。查体:右膝关节内翻畸形约15度,应力下过伸约20度,内翻及外翻时膝关节均有松动感,Lanchman试验(+)。无负重下X片示:右膝关节内翻畸形约15度,胫骨平台无后倾,倒呈前倾13º。膝关节MR示:右膝内侧股骨及胫骨软骨面已有缺损并囊性变。诊断:先天性膝关节内翻畸形(Blount病)。

术前X线可见右膝关节内翻畸形约15°,胫骨平台前倾畸形13°

术前膝关节MR示:右膝内侧胫、股骨骨软骨面已有缺损并囊性变

应力位过伸畸形明显

术后6月X片示右膝内翻、前倾畸形已矫正,胫骨截骨处愈合,腓骨未愈合,但无症状。
总结
胫骨高位截骨术(OWHTO和CWHTO)通过截骨,改变下肢力线,延缓关节炎进展,适用于治疗伴有内翻畸形的膝关节内侧间室骨关节炎,两者截骨术式均可获得良好临床疗效。
CWHTO不需植骨,但矫正有限,需行腓骨截骨,容易损伤腓总神经,造成肢体短缩;
OWHTO不需腓骨截骨,不伤腓总神经,可早期功能锻炼,但骨缝大时往往需行植骨,不愈合率相对CWHTO高;
Tomofix加压锁定钢板可以为截骨端提供牢固的内固定,稳定性好,可促进截骨端早期愈合,Tomofix的应用使HTO治疗内侧间室膝关节骨关节炎可获得良好的临床疗效。
合适的患者选择,恰当的内固定类型以及良好的手术技术是HTO成功的关键。
参考文献
[1]Jackxon JP. Osteotomy for Osteoarthritis of the Knee. J Bone Joint Surg Br.1958,30(1):72-9.
[2]Coventry MB. Osteotomy of the Upper Portion of the Tibia for Degenerative Arthritis of the Knee. The Journal of bone and joint surgery.1965,47(5):984-990.
[3]Insall J,Windsor R,Scott W. Osteotomy.In Surgery of the Knee.New York:Elsevier-Churchill Livingstone.1993,2:635-676.
[4]Odenbring S,Tjornstrand B,Egund N,et al. Function after tibial osteotomy for medial gonarthrosis below aged 50 years. Acta Orthop Scand.1989,60(5):527-531.
[5]Berman AT,Bosacco SJ,Kirshner S,et al. Factors influencing long-term results in high tibial osteotomy. Clin Orthop.1991,271:192-198.
[6]Chillag KJ,Nicholls PJ. High tibial osteotomy. A retrospective analysisof 30 cases. Orthopedics.1984,7(12):1821-1822.
[7]Saito T, Kumagai K, Akamatsu Y,et al. Five-to-ten year outcome following medial opening-wedge high tibial osteotomy with rigid plate fixation in combination with an artificial bone substitute. Bone Joint J.2014,96(3):339-344.
[8]黄野.胫骨高位截骨术治疗膝关节骨关节炎的现状.中华关节外科杂志.2016,10(10):470-473.



京公网安备11010502051256号