关节镜下后交叉韧带单束重建手术要点
2022-03-21 文章来源:现代骨科运动医学 作者:骨科在线 我要说
慢性单纯性Ⅲ度PCL损伤以及合并其他结构损伤的Ⅲ度PCL损伤可一期手术重建。手术方法包括关节镜下微创手术和开放式手术,方式分为PCL单束重建和双束重建。本文讲解单束重建的手术要点。
1.关节镜下探查
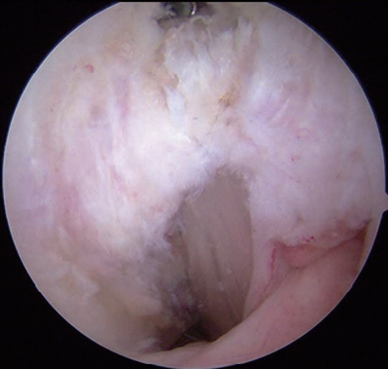
首先在关节镜下探查确定PCL断裂情况(图1)。单束重建是多数学者最常用的手术。取腘绳肌腱编制成4股移植物,探查时尽量保留PCL残端。

图1 关节镜下PCL断裂情况
A.PCL从胫骨止点断裂;B. PCL从股骨止点断裂;C. PCL断裂后松弛失去张力
2.制备股骨隧道
从距离髌腱外侧1.5~2.0cm的远前外侧关节镜入路(图2)直视下定位股骨隧道内口。早期文献中PCL股骨选点通常偏前外束止点中心,大约位于股骨髁时钟11点位置(图3 A),距离软骨边缘7~8mm。为了在更偏等长位重建PCL,有研究更倾向于将股骨隧道定位点置于前外束与后内束交界部位,大约位于股骨髁10点30分位置,相当于e点(图3 B、C,图4)。打入定位导针确定位置无误后,制备与移植物同直径隧道。使用界面钉固定移植物时可选择由外向内制备股骨隧道的方法,更利于控制隧道方向和出入口位置。此方法可尽量避免股骨外侧髁软骨损伤,界面螺钉从股骨隧道内口挤入固定移植物。确实需要从内向外制备股骨隧道时(如使用Endobutton需阶梯隧道),采用远前外侧入路比距离髌腱外侧0.5cm的普通外侧入路能使股骨隧道的内口和外侧骨皮质的出口位置更可控(见图2)。

图2 外侧关节镜入路的选择
A.常规髌外侧入路;B. 远前外侧入路

图3 PCL单束重建
A.股骨前外束定位点,远前外侧入路下直视定位,选择前外束(髁间窝11点位置)作为股骨隧道内口定位点;B. 股骨定位点,远前外侧入路下直视定位,选择前外束与后内束交界部位(髁间窝10点30分位置)作为股骨隧道内口定位点;C. 股骨等长定位点,PCL在股骨内侧髁上的止点范围扇形划分为a、 b、 c、 d、 e、 f 6个点,其中e点(髁间窝10点30分位置)与PCL胫骨止点之间最接近等长

图4 PCL单束重建股骨等长定位点示意图(A、B)和测试(C)
[资料来源:KOSUKE O, et al. Measurements of length and tension patterns duringreconstruction of the posterior cruciate ligament. Am J Sports Med, 1992, 20(3):351-355.]
3.制备胫骨隧道
做膝关节后内与后外侧入路(图5),适当清理PCL残端周围滑膜、脂肪和后纵隔,显露PCL胫骨止点及其下方至少20mm深度的胫骨后缘(图6)。胫骨定位器从髌内侧入路置入,跨过ACL上方从PCL残端内侧绕至胫骨后方斜坡下定位。为避免“杀手转角”(killer turn)(图7),胫骨定位器前端应尽量伸至胫骨平台下方20mm或更低处(图8),跨过PCL在原斜坡上的止点,以确保移植物出胫骨隧道内口后附着处为隧道钝角,减少韧带磨损切割(图9)。

图5 膝关节后内侧入路建立方法
从膝关节后外侧入路经后外侧间室,穿过后纵隔到后内侧间室,光源照射直视下做后内侧入路

图6 PCL胫骨残端后方情况
适当清理PCL残端周围滑膜、脂肪和后纵隔,显露PCL胫骨止点及其下方至少20mm深度

图7 PCL胫骨“杀手转角”示意图
如在原PCL止点斜坡解剖重建PCL胫骨止点,移植物在胫骨出口处压在锐角的骨隧道一侧,造成移植物切割损伤,称为杀手转角

图8 PCL胫骨止点定位
在平台以下20mm处定位PCL胫骨隧道内口

图9 PCL胫骨止点避免“杀手转角”
如在胫骨平台20mm以下制备胫骨隧道,移植物出胫骨隧道内口后附着处为隧道钝角,减少韧带磨损切割
胫骨隧道外口放置在胫骨嵴偏外侧(图10),能更好地减少PCL移植物转折角以及在胫骨隧道内口的接触应力,降低韧带磨损或过度负荷。以后内侧入路为观察通道,从后外侧入路插入关节镜通道鞘管以保护后方血管、神经。直视下打入导针后,用移植物同号直径空心钻制备胫骨隧道。预置牵引线,并将关节镜通道鞘管置入牵引线前方以备协助牵拉移植物经过隧道。牵引线穿过胫骨和股骨隧道,在后方关节镜鞘的辅助牵引下将移植物引至合适位置。先固定股骨侧,固定胫骨侧前应将膝关节置于0°~30°屈伸范围,向前托起胫骨,避免其后坠,用9.1kg(20lb)的力量拉紧移植物并将其固定于胫骨侧(图11)。

图10 PCL胫骨隧道外口
在胫骨嵴外侧定位PCL胫骨隧道外口(左膝)

图11 重建后的PCL
股骨止点周围组织是保留的原PCL残端
来源:《现代骨科运动医学》
主编:陈世益,冯华
本节作者:郭林
本文为作者授权骨科在线发布,未经授权谢绝转载



京公网安备11010502051256号