TFCC损伤的诊断及关节镜治疗

2022-03-30   文章来源:暨南大学附属珠海医院   作者:欧阳剑锋 我要说

腕部三角纤维软骨复合体(TFCC)损伤是指发生于跌倒、手掌撑地、腕关节过度背伸、前臂旋前等扭转挤压的暴力致伤。轻微的TFCC损伤常被认为是腕关节扭伤,易被忽略,经久不愈会严重影响腕关节功能。

解剖

腕关节是人体重要的关节之一,具有复杂的骨、软骨及韧带结构。手腕是由桡骨(radius)、尺骨(ulna)、八块腕骨(carpal bones)、27 条韧带(ligaments)以及三角纤维软骨复合体(TFCC)所组成。

其中包括三个关节面: 远端桡尺关节(distal radioulnar joint, DRUJ),桡腕关节(radiocarpal joint)和腕中关节(midcarpal joint)。



腕关节解剖

三角纤维软骨复合体(TFCC)是手腕最重要的纤维软骨-韧带复合结构,位于腕关节尺侧,分隔尺腕和远侧尺桡关节。常被称为是腕关节的“半月板”。


TFCC由以下韧带和纤维软骨组成:固有三角纤维软骨(TFC)、背侧桡尺韧带(DRUL)、掌侧尺韧带(PRUL)、尺三角韧带(UTL)、尺月韧带(ULL)、月三角韧带(LTL)、尺侧腕伸肌腱(ECU)鞘、尺侧副韧带(UCL)及半月板类似体(MH)。


固有三角纤维软骨

半月板同系物是关节盘远侧增厚的尺侧副韧带纤维形成半月板类似体,与关节盘共同起于尺骨背侧靠近尺骨的边缘,有尸解证实其附着于豌豆骨。


半月板同系物

血供

TFCC的周边约20%的区域(桡侧缘除外)有血供,中心约80%的区域无血供。这就决定了TFCC不同部位损伤后具有完全不同的愈合能力,同时也提示不同的分型需采取不同的治疗方式。早期明确损伤的性质以及撕裂的部位对临床治疗方法的选择具有关键性指导意义。


TFCC的功能

TFCC主要具有以下3个功能:远端桡尺关节(DRUJ)的主要稳定结构;稳定尺侧的腕骨;将尺侧腕骨所受的压力转移至尺骨远端。


TFCC损伤分类(Palmer分类)

Ⅰ类:创伤性损伤

A:中心穿孔

B:尺侧撕裂(伴尺骨茎突骨折/不伴尺骨茎突骨折)

C:远端撕裂

D:桡侧撕裂

多发生在手腕过度伸展加上扭转的动作下,在远端尺骨处的手腕尺侧(小拇指侧)遭受外力的冲击。


Ⅱ类:退变性损伤

A:TFC磨损

B:TFC磨损+月/尺骨头软骨软化

C:TFC穿孔+月/尺骨头软骨软化

D:TFC穿孔+月/尺骨头软骨软化+月三角韧带撕裂

E:TFC穿孔+月/尺骨头软骨软化+月三角韧带撕裂+尺腕关节炎


TFCC损伤机制

典型受伤机制为前臂旋前、腕关节过伸位时腕尺侧受到直接撞击或牵拉。多在以下场景受伤:网球、高尔夫球、羽毛球等运动者手腕尺侧受力和快速扭转活动;车祸中司机手握方向盘腕部受到旋转牵张暴力;突然摔倒时用手撑地;提重物不慎或手腕用力不当时扭伤等。

退化性损伤几乎都发生在关节盘的中央部分,通常会造成不平滑的边缘,而且是由于尺侧(小拇指侧)腕骨与尺骨头的撞击所造成。

TFCC临床症状

大部分TFCC患者临床表现为疼痛,多表现在以下情况:被动的尺骨偏移时,即手腕同时伸展或屈曲时;手腕在被动伸展时,如用手支撑桌子;桡骨和尺骨做被动压迫;尺骨远端尺骨头处有压痛感。此外还可以表现为运动弹响、肿胀、尺神经牵拉等症状。

患者通常抱怨有手腕尺侧疼痛、抓握力量减退、以及在工作或活动上的动作受限。如果患者只抱怨在做旋前/旋后的动作时有不舒服的感觉,则有可能是关节盘损伤。如果患者抱怨日常生活时有持续性疼痛,并且关节活动度受到限制,则可能是周围稳定结构的损伤(Raskin&Belaner,1998)。

临床检查

1.物理检查

2.功能检查

屈曲(Flexion):0°~90°

伸展(Extension):0°~70°

桡侧偏移(Radial Deviation):0°~15°

尺侧偏移(Ulnar Deviation):0°~45°

3.特殊试验

Sharpey's Test:患者坐姿椅子上,手臂放在桌子上,保持中立位,拳眼朝上。检查者一只手稳定远端桡尺关节,一只手握住手腕并给一个向内的压力,然后进行旋前旋后的动作。如果出现疼痛或咔嚓声则为阳性。


图  Sharpey's Test

UTD Glide Test:患者坐位,手臂旋内放在桌子上,检查者先将拇指按在患者尺骨远端,再将食指按在患者豌豆骨上,然后慢慢用力挤压。两只手都要测试。如果产生疼痛或出现过度松弛,则为阳性。


图 UTD Glide Test

Piano key test: 患者坐位,检查者一只手握着患者的手掌使前臂抬离桌面,并用另一只手的食指按压远端尺骨背侧(和掌侧),两只手都要测试。如果两只手尺骨松弛程度明显,则松弛侧的手为阳性。


图 Piano key test

TFCC Load Test:患者坐位,检查者一只手握住患者的前臂,另一只手握住患者手部,然后沿着中轴施加力量并将手腕向尺侧偏移,同时将手腕往背侧和掌侧移动或旋转前臂。如果此测试会引起TFCC处疼痛感、有喀、啪声则测试为阳性。


图 TFCC Load Test

4.影像学检查

(1)X线 检查尺骨、桡骨直接位置及退化情形,通常无直接征象。

(2)MRI




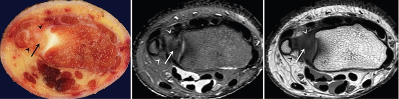
ⅠA,TFCC中心穿孔,A、B三角软骨盘正常弓形低信号缺损;C轴位显示三角软骨盘中心的高信号区与D关节镜一致


ⅠB,TFCC尺侧撕裂;TFC尺侧附着处信号增高


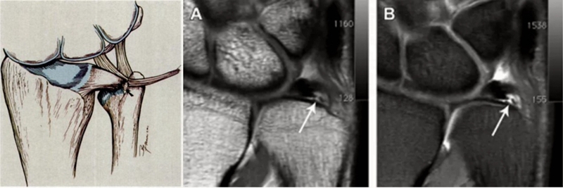
ⅠC,尺三角韧带撕裂


ⅠD,TFC桡侧撕裂,桡侧附着处及桡尺关节处信号增高


ⅡA,TFC局部变薄,但结构完整


ⅡB,TFC局部变薄,但结构完整,月骨软骨厚薄不均


ⅡC,TFC中心撕裂,月骨软化,月三角韧带完整


ⅡD,TFC中心撕裂,月骨软化,月三角韧带缺如


图30 ⅡE,TFC中心撕裂,月骨、尺骨软骨软化,月三角韧带缺如,桡尺关节骨质增生

治疗

1.保守治疗

受伤急性期,采取PRICE为主。

受伤后两周,以固定和冷敷为主。

受伤第二周至第四周:①固定、冰敷;②热敷;③等长肌力训练;④主动关节活动


A.热敷;B.等长肌力训练


主动的关节活动

受伤第四周至第六周:①固定、冰敷、热敷;②肌力训练;③伸展


受伤第六周:①冰敷、热敷、肌力训练、伸展;②本体感觉训练


2.手术治疗

TFCCⅠ型损伤首选制动、理疗、口服非甾体抗炎镇痛药及关节腔激素注射等保守治疗,保守治疗超过3个月后无效行手术治疗。

ⅠA及ⅠD型损伤多采用清理、修整术;

ⅠC型若为孤立性撕裂,可单纯清创治疗,若为完全性撕裂,需手术切开修复;

ⅠB型损伤手术治疗多采用缝合修复术。

TFCCⅡ型损伤,对症状持续存在,经保守治疗无效者可行腕关节镜手术。

ⅡA、ⅡB、Ⅱc型损伤:腕关节镜下清创术及软骨成形术;若合并尺骨撞击或尺骨正变异者,行关节镜下清创术结合尺骨头部分磨除术(Wafer术)。






Case1

女性,42岁,右腕疼痛1年+,2020年4月手术。


影像学检查

关节镜视频


关节镜下清理后

分享到: