一文掌握正常髋关节CT测量及表现
2022-04-27 文章来源:髋关节影像诊断学 作者:骨科在线 我要说
CT尤其MSCT具有较高的密度分辨率,不仅能显示平片难以发现的软组织异常,而且可明确病变的部位、边界和范围,区分关节腔积液、关节囊肥厚、关节周围软组织水肿、囊肿和肿瘤;图像分辨率高,无重叠,能显示平片难以发现的关节内钙化、骨化游离体,而且能确定其大小、部位、和内部结构;增强扫描可提供有关血管及血供方面信息;螺旋CT三维重建更能立体显示髋关节复杂及细微的解剖结构,CT介入则有助于提高诊断及治疗的准确性。
横轴位

图1 正常股骨头顶部层面(骨窗)
1.股骨头;2.耻骨;3.坐骨;4.髋臼窝;5.髋臼前唇;6.髋臼后唇

图2 股骨头凹上层面(骨窗)
1.股骨头;2.耻骨;3.坐骨;4.髋臼前唇;5.髋臼后唇;6.髋臼窝;7.尾骨

图3 股骨头凹层面(骨窗)
1.股骨头;2.星芒状结构;3.耻骨;4.坐骨;5.股骨头凹;6.髋臼窝;7.髋臼前唇;8.髋臼后唇

图4 股骨头凹下方层面(骨窗)
1.股骨头;2.髋臼前唇;3.髋臼后唇;4.前柱;5.后柱;6.髋臼前壁;7.髋臼后壁;8.髋臼窝;9.大转子;10.股骨头骨骺线;11.尾骨

图5 股骨头低部层面(骨窗)
1.股骨头;2.股骨颈;3.大转子;4.耻骨;5.坐骨;6.耻骨联合

图6 股骨头低部层面(软组织窗)
1.股骨头;2.大转子;3.耻骨;4.坐骨;5.耻骨肌;6.股动静脉;7.髂腰肌;8.股直肌;9.缝匠肌;10.阔筋膜张肌;11.闭孔内肌;12.股方肌;13.臀大肌
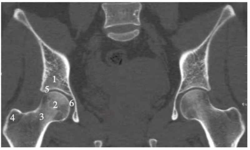
冠状位重建

图7 髋关节冠状位重建
1.髂骨;2.股骨头;3.股骨颈;4.大转子;5.髋臼;6.髋臼窝
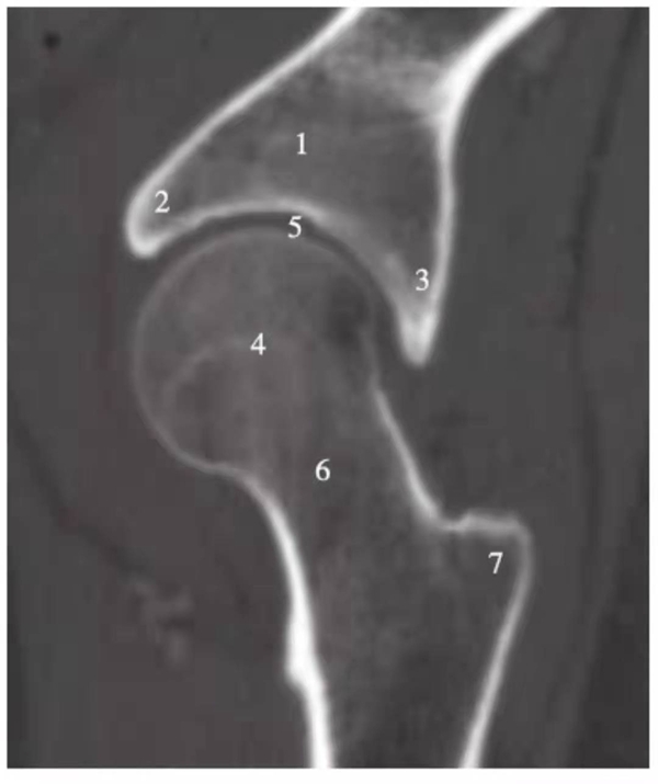
矢状位重建

图8 髋关节矢状位重建
1.髂骨;2.髋臼前唇;3.髋臼后唇;4.股骨头;5.关节间隙;6.股骨颈;7.大转子



京公网安备11010502051256号