20例UBE手术学习曲线
2022-05-10 我要说
来源:首都医科大学附属北京朝阳医院骨科
作者:潘爱星
单侧入路双通道内镜手术(Unilateral Biportal Endoscopy,UBE),技术特点更加接近传统开放手术,且镜下操作空间和自由度较单通道内镜技术有显著提高,近年来在脊柱外科领域迅速发展和普及,广受脊柱外科医师的信赖。
笔者在熟练单通道内镜技术的基础上,总结了诊疗组完成的20例UBE手术体会。治疗的疾病和术式包含10例腰椎管狭窄症(LSS)减压,10例腰椎间盘突出症(LDH)髓核摘除,和UBE辅助腰椎融合术(LIF)。总体来说,UBE的学习曲线较短,易于掌握,但在初学时也遇到了不少曲折,小结于此,与诸君分享。

UBE学习曲线的4个阶段

UBE手术时间曲线:10例LSS(含1例UBE-LIF)和10例LDH
一、 术前评估要点

术前多看几眼三维CT,做到如下几点心中有数:
a:手术节段椎板间隙的大小和形态;
b:关节突增生程度;
c:上下椎板叠盖关系;
d:椎板厚度(指导减压工具的准备和选择)。

UBE的口号是“为狭窄而生”,但每个患者的致“窄”因素不一样,减压对象亦有所不同:
a:椎板+黄韧带+突出的椎间盘(必要时);
b-c:椎板+双侧黄韧带+双侧上关节突内聚部分;
d:椎板+黄韧带+硬膜外脂肪(重点)+硬膜表面韧带松解(谨慎)。
二、 术前定位

通道汇合点1(黄):棘突根部与上位椎体椎板下缘交界处。
优点:软组织较少,方便建立初始空间;解剖标志比较明显,方便辨认。
通道汇合点2(绿):上下椎板交汇处的“V”点。
优点:兼顾显露黄韧带起点和止点;远离椎板间隙,更加安全。
笔者作为初学者,较常选择第二种定位方式。

Tips-1:在对侧椎弓根投影位置临时放置2枚标记针,有助于术者空间定位,防止因长时间操作,或镜下结构辨认不清晰时失去方向,做到对侧,甚至做错节段。
三、 操作空间的建立

镜下建立减压空间的三步骤:
①从汇合点往内上显露椎板下缘和下关节突内侧缘;
②向近端显露需减压的椎板;
③显露下位椎体椎板上缘。
+视频
Tips-2: 骨膜剥离器预先显露椎板骨面,有利于提高空间建立的效率。

椎管减压前需显露的5个关键骨性结构(以L4/5为例)
四、 黄韧带整体切除-提高效率的关键

黄韧带整块切除4步骤:
①向近端减压椎板至黄韧带止点;
②向外侧减压下关节突内侧;
③显露下位椎体椎板上缘并分离黄韧带起点;
④黄韧带整块取出。
五、 学习过程的曲折经历
1、 镜下迷失——减压部位错误

#1例UBE,术前计划减压范围如绿色部分,术中减压操作集中在了硬膜背侧,甚至多数时候在对侧操作,实际减压部位在红色部分,使椎管减压的效果不理想。
2、 镜下迷失——节段错误

#14例UBE,术中迷路,L5/S1突出做到了L4/5(右侧透视图),及时转开放减压。
本例手术镜下迷失原因总结:
① 术前设计切口靠近端,本期望利于椎板钳减压椎板,弄巧成拙;
② 定位后通道方向没有记牢,操作时角度改变了;
③ 做L5/S1体位摆放应注意把上半身摇高,使L5/S1水平;
④ 透视正位应将L5/S1间隙标准化,否则定位不准;
⑤ 患者肥胖,脂肪软组织厚;
⑥ 镜下结构不对马上透视。
3、 硬膜损伤

#2例UBE,游离型LDH,未做好充分的上关节突内侧减压,误把硬膜当做突出的间盘,导致硬膜撕裂。及时转切开减压,取出大块髓核组织。
六、 典型病例分享
#10例UBE, L4/5 LSS。

#12例UBE,PLIF术后8年L3/4 ASD。

#9例UBE,ADS合并L4/5LDH。

在经历15例UBE减压手术的学习曲线后,本团队进行了UBE腰椎减压融合术:#16例UBE,L4/5 LSS。
UBE-LIF手术步骤大致按常规开放手术:
1、显露L4椎板下缘-L4/5关节突-L5椎板上缘;
2、Kerrison钳减压L4下关节突(全部去除)-L5椎板上缘-L5上关节内侧缘(尽量靠外)-黄韧带整体切除;
3、硬膜外止血,显露椎间盘,确定椎间隙位置和方向;
4、椎间隙处理:骨刀,髓核钳,终板刮刀,Kerrison钳,电凝,+耐心;
5、自体骨+同种异体骨植骨;
6、可撑开融合器植入(透视定位);
7、检查遗漏的骨块,彻底清除神经周围的致压物;
8、必要时做对侧黄韧带减压;
9、经皮植入椎弓根螺钉,加压固定。

术前MRI和术中定位

椎间隙处理

植入可撑开Cage

术后X线片与CT(矢状面)

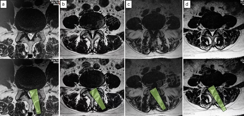
术前、术后MRI及CT(轴位)
七、 小结
UBE技术是脊柱微创减压手术的利器,在熟练开放手术和单通道内镜的基础上,UBE的学习曲线相对较短。但是,操作方式不习惯、镜下结构辨认不清、减压缺乏章法是初学者常见的问题。
在实践过程中应将解剖结构熟稔于心,遵循既定的步骤,培养双通道手术肌肉记忆,建立操作空间定位感。同时,总结每一次成功与失败,做到事半功倍,缩短学习曲线。
作者简介



京公网安备11010502051256号