儿童肱骨髁上骨折合并同侧孟氏骨折1例报道
2022-05-28 文章来源:实用骨科杂志 作者:杨港,孙祥水 我要说
儿童肘关节损伤和前臂骨折很常见,但两者合并伤发生率仅为3%~13%,其中肱骨髁上骨折合并同侧孟氏骨折极为罕见,目前仅见个案报道。2017年8月11日南京医科大学附属儿童医院收治1例肱骨髁上骨折合并同侧孟氏骨折及尺桡骨远端骨折的4岁患儿,结合文献回顾,分析总结其损伤机制、治疗方法和临床效果,以期为临床医师诊治提供参考,现报告如下。
临床资料
4岁女性患儿,因“外伤致左上肢肿痛、畸形伴活动受限5h余”入院。患儿行走时不慎从楼梯上摔倒,左手掌撑地后身体失去平衡,当即感左上肢肿痛畸形伴活动受限,左上肢多处挫伤且流血不止,急至外院就诊。予以伤口包扎,
查 X线片示:左肱骨髁上骨折。为进一步治疗至南京医科大学附属儿童医院急诊就诊。
入院查体:左上肢以肘关节为中心出现明显畸形伴肿胀,左肘后内侧可见长约8cm“C”形创面,皮下组织外露,探查可见部分尺神经外露,表皮及脂肪间隙可见异物残留,手指末梢血运可。左肘部活动受限,压痛及叩痛明显,左拇指背伸受限。
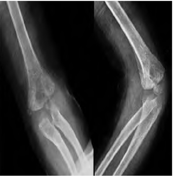
辅助检查:DR 片、CT 扫描及重建示左肱骨髁上骨折,左孟氏骨折,左尺桡骨远端骨折,左肘关节异物(图1)。
入院诊断:左侧开放性肱骨髁上骨折,左孟氏骨折,左尺桡骨远端骨折,左上臂桡神经损伤,左肘关节异物。

图1 术前 DR、CT平扫及重建示左侧肱骨髁上骨折,左孟氏骨折,左尺桡骨远端骨折,左肘关节异物
急诊全麻下行“清创+异物取出+骨折复位内固定术”。术中予以左肘后内侧创口清创并取出异物。助手配合对抗牵引患肢,使前臂旋前后屈肘,C 型臂机证实肱骨髁上骨折复位满意。之后于肱骨外髁插入2枚直径1.6mm 克氏针,于肱骨内上髁插入1枚直径1.6mm 克氏针。对抗牵引患肢使前臂旋后位,以尺骨弓形变的最高点作为支点,施以向后的力量恢复尺骨形态。此时左桡骨头不在位,再次手法复位左桡骨头脱位。处理克氏针针尾,逐层缝合,屈肘位45°石膏前后托固定。
术后予止血、消肿、口服甲钴胺营养神经及抗感染对症治疗,定期创口换药。术后复查DR片提示骨折断端对位对线可,内固定位置良好,桡骨头复位良好,肘关节位置良好(图2)。术后7周拔除克氏针进行功能训练(图3)。术后3个月复查DR片提示骨折断端骨折线已消失,可见较多骨痂影(图4)。随访3年10个月,患儿无肘内、外翻畸形,无肘关节及腕关节活动受限(图5),肘关节 Mackay功能评分为优。

图2 术后 DR片示骨折断端对位对线可,内固定位置良好,异物完整取出

图3 术后7周 DR片示内固定已完整取出,肘关节位置良好

图4 术后3个 月 DR片 示骨折断端对位对线可,骨折线已消失,可见骨痂影

图5 术后3年10个月大体照示左肘关节无活动受限,伤口愈合可
讨论
本组1例为肱骨髁上骨折合并同侧 BadoⅠ型孟氏骨折及尺桡骨远端骨折,属于Ⅳ型类孟氏骨折。分析本例损伤机制:患儿从高处跌落摔倒后手掌撑地滚下楼梯,肘关节微屈位,前臂旋前,手掌着地,肘部过度伸展,引起前臂骨折,传达暴力由掌心传向外上方,造成尺骨中上段青枝骨折,骨折端向掌侧稍成角。由于尺骨骨折端的推挤、骨膜间及肱二头肌的牵拉,使桡骨头向前脱位,尺骨鹰嘴作为支点使应力集中于肱骨远端,导致肱骨髁上骨折。
回顾文献同时结合本例,以上肢肿痛畸形伴活动受限为首发症状的低龄患儿通常无法准确阐明受伤方式及疼痛部位,甚至不配合查体,需要临床医师完善整个上肢的影像学检查,范围包括腕关节、前臂、肘关节、上臂和肩关节,避免误诊、漏诊。本例年龄较小,肘部体征明显,外院就诊时仅拍摄了肘部 X线片,且未能结合标准的正侧位 X 线片以肘关节为中心准确判断肱桡关系,漏诊了尺桡骨远端骨折及孟氏骨折。
所以,对于此类患儿影像学检查要全面、拍摄体位要标准,包括腕关节、尺桡骨、肘关节、肱骨以及肩关节的 X 线片检查,孟氏骨折诊断需标准的尺桡骨正侧位 X 线片,术前结合 CT及三维重建检查评估肱桡关节、尺桡关节的三维立体情况;MRI检查有助于评估桡骨头脱位时环状韧带损伤情况,避免陈旧性孟氏骨折等致残性后遗症的出现。
儿童肱骨髁上骨折合并同侧孟氏骨折的损伤报道极为罕见,查阅文献共计5例儿童肱骨髁上骨折合并同侧孟氏骨折的报道,均为个案报道,均为伸直型肱骨髁上骨折及 Bado Ⅰ型孟氏骨折 (见表1)。Minkowitz等报道了1例0.1岁患儿,为 GartlandⅠ型髁上骨折合并同侧孟氏骨折,予以手法复位孟氏骨折后石膏固定患肢。Powell等报道了1例2岁患儿,为 GartlandⅡ型髁上骨折合并同侧孟氏骨折,首先闭合复位经皮克氏针固定肱骨髁上骨折,接着闭合复位孟氏骨折并以克氏针髓内固定尺骨。Rouhani等报道了1例4岁患儿,为 GartlandⅡ型髁上骨折合并同侧孟氏骨折,按序闭合复位肱骨髁上骨折及孟氏骨折后予以石膏外固定。Cobanoglu等报道了1例5岁患儿,为 Gartland Ⅰ型髁上骨折合并同侧孟氏骨折,首先闭合复位经皮克氏针固定肱骨髁上骨折,接着闭合复位孟氏 骨折并以克氏针髓内固定尺骨。Arazi等报道了1例13岁的患儿,为 GartlandⅢ型髁上骨折合并同侧孟氏骨折及桡骨远端青枝骨折,首先切开复位经皮克氏针固定髁上骨折,接着手法复位孟氏骨折后皮质螺钉固定肱桡关节。本例患儿属于 Gartland Ⅲ型肱骨髁上骨折,合并同侧 BadoⅠ型孟氏骨折及尺桡骨远端骨折,骨折之外存在开放性外伤及异物,予以肘部清创后取出异物,再闭合复位肱骨髁上骨折后克氏针内固定,最后手法复位孟氏骨折。

表1 国内外文献肱骨髁上骨折合并孟氏骨折一般资料
上述文献报道患儿平均随访 2年,未见有肘部活动受限、桡骨头再脱位及肘内翻等并发症。作者认为,治疗此类合并伤时,无需复位 Gartland Ⅰ型肱骨髁上骨折,对于有明确移位的 GartlandⅡ/Ⅲ型肱骨髁上骨折合并同侧孟氏骨折,可优先复位肱骨髁上骨折,必要时予以克氏针内固定,之后再对桡骨头脱位以及尺骨骨折进行复位,这样做不仅可以规避优先复位孟氏骨折带来的髁上骨折移位风险,还可以通过提高肘关节的稳定性以降低后续桡骨头复位难度,理论上不会导致前臂骨折的移位。还有研究认为,此类合并伤对比单纯肱骨髁上骨折有较高风险出现神经损伤及骨筋膜室综合征,尤其经过手法复位后并发症出现概率更高。本研究及文献报道的6例患儿中有1例出现桡神经损伤,提示临床医师需密切关注围手术期出现的神经血管损伤风险,及时对症处理。
参考文献:略



京公网安备11010502051256号