前关节囊特征与髋不稳的关系
2022-10-14 文章来源:山东大学第二医院 作者:殷庆丰 我要说
髋关节医生在学习髋关节镜时就被告知,在手术中一定要保证关节的稳定性,如果关节不稳或处于不稳定的状态,那么手术不但不会取得好的效果,还会带来灾难性的并发症。所以髋关节医生对于关节稳定尤为重视。

髋关节不稳涉及的病因为多方面,包括系统性问题、骨性覆盖问题、静态结构或动态结构的问题。还有一类为医源性不稳。

在临床评估时,应用最为普遍就是影像学评估,大部分采用X线的方式。通过X线上不同角度的表现来了解患者的髋关节稳定的状态。

除了骨性结构的表现之外,与髋关节稳定相关的一些软组织结构,也逐渐来到大家的视线之内。包括前几年逐渐被证实的髂关节囊肌,它的增厚可能会反映髋关节发育不良的情况。另外还有关节内盂唇肥厚,以及圆韧带退变、撕裂等形态性的改变,也可能和髋关节不稳相关。

最近,对于关节囊韧带的认识逐渐加重了,尤其对于前方关节囊,它是否跟髋关节稳定性也有密切联系,这个答案应该是比较肯定的。

但是,关节囊形态在不同病人当中表现是不同的。首先在不同病人当中厚度有差异,包括在不同部位间,关节囊厚度也是不一样的。以现有的文献表明,女性或者多韧带松弛的患者,关节囊明显要偏薄。FAI病变或者伴随关节囊炎的病人,关节囊是增厚的。
因此,带来一个思考,在前方关节囊不稳的患者当中,关节囊是会被反复拉扯变薄还是会出现代偿性的增厚?那么由此可以引申出一个问题,即哪些关节囊特征可以帮助医生在临床中进行鉴别潜在性的不稳定患者。

为此,笔者团队对临床资料进行了前瞻性收集,通过收集DD H、BDDH、FAI三组病人,然后进行了一个回顾性分析。在DDH组,LCEA角的纳入标准是<20°,BDDH组是20°~25°,FAI组做了特殊处理,就只选择LCEA角>30°的病人。也就是说这三组病人一种是明显的不稳定,一种是明显的稳定,中间组介于两者之间。


通过对患者的X线指标进行评估,发现X线指标一般性特征在这三组之间没有差异。前方CE角是三种不同的状态,是有明显的差异。

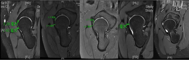
前关节囊除了进行X线指标的测量之外,我们尤其关注了厚度,测量方法选择在斜矢状位上,在整个前关节囊的中段进行了厚度的测量。见图9C中红色线段部位。

术前磁共振测量的案例

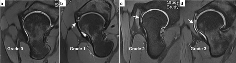
除厚度测量之外,也借助半月板的信号分级对前关节囊进行了内部信号分级。临床分为0~4级,正常表现是0级,出现点状信号为1级,出现线状信号为2级,出现断裂或者明显的贯通样分层为3级。

对这些测量数据进行统计学分析后发现DDH组的厚度均值是3.2,BDDH组是4.5,FAI组是4.7。统计学意义上来讲DDH组和BDDH组是有差异的,但是BDDH组和FAI组两者是没有差异的。但是在关节囊内信号分级上,这每两组之间都是有差异的。这也说明从厚度上来讲,DDH病人会导致前关节囊变薄,但是BDDH病人虽然没有观察到厚度的变化,但是也已经出现了囊内信号退变性的表现,我们称之为关节囊内部的水肿或者是分层表现。


同时,也通过关节镜下进行了评估和测量。采用关节囊纵切的方式,就有机会测量到关节囊中段的厚度。通过镜下测量发现,BDDH组和FAI组的中位值分别是6mm和7mm。

通过对于关节囊厚度和关节囊信号的测量,是否存在一个能够帮我们区分哪些患者倾向于稳定,哪些患者倾向于不稳定这样的一个截断值?我们通过一个病例设定截断值大概在4mm,通过观察发现,在<4mm的病例主要集中在DDH,而基本上所有BDDH和FAI病人的关节囊厚度都是>4mm的。所以我们提出一个预先的、简洁的记忆标准,即4mm可能作为判断关节囊是否比较薄,启示关节囊不稳定的一个数值。
但此项研究也有不足之处,①此研究并不能确定关节囊变薄的真正原因,它是一个现象观察,所以还不能进行长因的分析。②本研究中缺乏真正的健康志愿者的对照组,这三组病人严格来讲都是临床的病患。③在研究中,指标里没有过多关注松弛的因素。④4mm这个区分值还需要进一步去细化和探讨。
当然,这项研究也具有一定的临床意义,对于临床诊断是有所帮助的。揭示了髋关节的不稳定与前关节囊厚度是相关的,当前关节囊变薄或出现水肿、分层的信号表现的时候,要警惕潜在的关节不稳定。另外,通过提高对关节囊形态的认知,有助于提升对于关节囊处理的指导。
作者简介

殷庆丰,医学博士,副主任医师,擅长关节运动损伤诊治和运动康复指导,成人疑难髋痛的诊断和髋关节镜微创手术治疗。美国Steadman philippon髋关节镜中心访问学者,法国Chirurgien orthopedic clinique运动医学中心访问学者,国际髋关节镜协会ISHA年会讲者,亚洲髋关节镜年会讲者,ISAKOS-Shanghai年会讲者。
学术任职:中华医学会运动医疗分会髋关节工作组委员,中国康复医学会修复重建外科专业委员会保髋学组委员,山东省医学会运动医学分会下肢学组副组长兼髋关节工作委员会主任委员,山东省医学会运动医学分会学术发展学组副组长,山东省健康促进会运动医疗分会委员,山东省医师协会运动医学医师分会委员。



京公网安备11010502051256号