内侧半月板后根撕裂研究进展
2022-10-25 文章来源:骨科在线 作者:苏家荣,孙铁铮 我要说
本文引自:苏家荣,孙铁铮. 内侧半月板后根撕裂研究进展. 中国运动医学杂志, 2021,40(9):721-728
内侧半月板后根撕裂(medial meniscus posterior root tears,MMPRTs)是发生在内侧半月板后根部骨性附着区域1cm范围内的撕脱性损伤或放射状撕裂。越来越多的研究认为MMPRTs是早期膝关节骨关节炎发生和进展的重要原因之一。半月板后根部结构对于半月板的生物力学和动力学功能至关重要,它可以将半月板固定在胫骨平台上,防止其在膝关节轴向应力的作用下外突。MMPRTs会显著影响半月板对膝关节轴向应力的吸收与转化,导致关节表面应力峰值增加,进一步造成关节软骨的磨损,软骨下骨的损伤以及骨结构的变形,最终导致早期骨关节炎出现与发展。
在膝关节镜手术中,MMPRTs的发生率已达到9.1%。在亚洲人群中,MMPRTs的发生率高达27.8%,这与亚洲人群蹲姿或高屈膝坐姿的生活方式有关。MMPRTs的病因通常是半月板退行性损伤,常见于中年妇女,占MMPRTS的21.5%。也见于膝关节急性外伤伴随交叉韧带损伤的情况。近些年来,由于非手术治疗和半月板部分切除术的效果不理想,会增加骨关节炎进展的风险,人们对半月板缝合修复的关注度越来越高。半月板后根附着区缝合修复术的目的是恢复半月板的完整性和生物力学功能,从而提高膝关节协调性以及稳定性,防止软骨退化以及骨关节炎的进展。本文对MMPRTs的研究进展进行综述。
1 内侧半月板后根部的解剖结构与生物力学特性
明确半月板后根部解剖结构有助于明确MMPRTs的诊断,并为之后的半月板缝合修复手术提供解剖学基础。内侧半月板后根部(medial meniscus posterior root,MMPR)位于胫骨内侧隆起顶点后侧9.6mm、外侧0.7mm处。且MMPR的中心位于胫骨平台内侧关节软骨拐点外侧3.5mm、后交叉韧带(posterior cruciate ligament,PCL)胫骨平台附着点前方8.2mm处。确定半月板后根附着区与PCL胫骨平台附着点的相对位置十分重要,这有助于减少半月板修复术时PCL附着部位医源性损伤的发生。
半月板是由胶原纤维、蛋白多糖和糖蛋白的复杂交连网构成,胶原纤维主要由圆周取向纤维构成,也包括了部分径向纤维,各个方向的胶原纤维相互交连成网,使内侧半月板得以作为一个单元发挥作用。内侧半月板通过前根、后根牢固地锚定在胫骨平台上,在膝关节轴向应力的作用下胶原纤维伸展并形成内部的环形应力,吸收并降低膝关节轴向应力,使其峰值保持在可接受的水平。MMPRTs会导致半月板外突(medial meniscus extrusion,MME),使内侧半月板转化关节轴向应力的能力减弱。与完整的半月板相比,MMPRTs会导致膝关节内侧间室的接触应力峰值增加25%,且与半月板全切术后的关节轴向应力峰值无差异。内侧半月板外突是膝骨关节炎发生的重要相关因素之一,且在膝关节生物力学研究中已得到证实。
2 MMPRTs的诊断
病史与查体
大多数MMPRTs患者无外伤病史,因此在存在高危因素的情况下(如膝关节内翻或肥胖),需要高度怀疑。患者常见膝关节内侧关节间隙疼痛伴随下蹲痛,但膝关节交锁并不常见。体格检查最常见的结果是膝关节过屈痛(66.7%)、内侧关节间隙压痛(61.9%)和McMurray阳性(57.1%)。在膝关节内翻应力试验中,检查者触诊前内侧关节线,再现半月板外突。当膝关节恢复正常时,半月板外突消失。
影像学评估
磁共振成像(MRI)是诊断MMPRTs及其伴随病变的首选影像学检查方式,然而,MRI对于MMPRTs诊断的准确性依赖于图像质量以及放射科和外科医生的技术。MMPRTs的诊断与评估通常采取T2加权相的冠状位、矢状位和轴位图像。当怀疑MMPRTs时,MRI应评估三个主要征象:①矢状位无正常半月板信号:鬼影征;②轴位上表现内侧半月板后根部区域放射状线形或圆形缺损区;③冠状位表现为内侧半月板后内缘走形突然中断,伴随内侧半月板向外突出超过3mm。据报道,这三种症状同时使用时具有较高的敏感性和特异性。

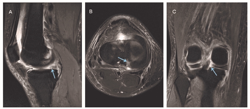
图1 磁共振成像显示内侧半月板后根撕裂
A:矢状位无正常半月板信号:鬼影征(箭头所示);B:轴位图像显示内侧半月板后根部放射状线形缺损(箭头所示);C:冠状位表现为内侧半月板后内缘走形突然中断(箭头所示)
MMPRTs的分型
LaPrade等根据关节镜下内侧半月板根部撕裂的形态学及撕裂的程度对MMPRTs进行分型。其中包括五型:根部部分撕裂(1型)、附着区9mm内完全放射状撕裂(2型)、根部完全撕裂伴随半月板桶柄状撕裂(3型)、根部完全撕裂伴随复杂斜向或纵向撕裂(4型)、胫骨平台附着区撕脱性骨折(5型)(图2)。其中2型最常见。如表1所示。

表1 关节镜下内侧半月板后根撕裂(MMPRTs)的分型

图2 关节镜下内侧半月板后根撕裂(MMPRTs)的分型
A:根部部分撕裂(1型);B:附着区9mm内完全放射状撕裂(2型);C:根部完全撕裂伴随半月板桶柄状撕裂(3型);D:根部完全撕裂伴随复杂斜向或纵向撕裂(4型);E:胫骨平台附着区撕脱性骨折(5型)
3 MMPRTs的治疗方法
MMPRTs常见的治疗方法包括:非手术治疗、半月板部分切除术以及半月板修复术。MMPRTs的治疗方式因半月板损伤的严重程度、病程的长短和关节软骨的情况而异。手术修复的目的是恢复半月板的正常解剖结构和生物力学功能,恢复膝关节的稳定性,延缓关节软骨的磨损以及骨关节炎的发展。因此,对于Outerbridge分级3~4或伴随重度骨关节炎的患者不需要手术修复,可以考虑采取非手术治疗或半月板部分切除术来缓解症状。对于不伴有软骨损伤或只出现软骨局灶性缺损,处于骨关节炎早期的MMPRTs的患者可以考虑行半月板修复术。此外根据半月板撕裂的分型不同,半月板修复的方式是不同的,目前常见的半月板修复方式主要是针对不伴有桶柄状撕裂的MMPRTs患者,包括经胫骨pull-out缝合固定和缝合铆缝合固定。
非手术治疗
对于老年伴有严重骨关节炎,Outerbridge分级3~4级或有严重并发症不能耐受手术的人群可以考虑非手术治疗。非手术治疗包括使用止痛药、生活方式的调整,以及减轻膝关节负重(使用步行架)。由于半月板后根附着区对于半月板的完整性以及生物力学功能都有至关重要的作用,非手术治疗不能恢复半月板原有的解剖结构和功能,而且随着时间的推移,可能会导致膝关节间隙狭窄和骨关节炎的发生。且近些年来半月板缝合修复的技术不断得到完善,并表现出较好的临床效果,大部分的MMPRTs患者均不建议非手术治疗。
半月板部分切除术
半月板部分切除术的手术指征为:①软骨Outerbridge分级3~4级伴有重度骨关节炎的MMPRTs患者出现持续性的机械症状(如交锁)且非手术治疗不能缓解的;②半月板后根撕裂无法进行缝合修复的。相对于半月板修复,半月板部分切除术的优点包括手术时间短,术后康复方案简单,没有严格的负重限制,术后康复时间短,能较快地恢复活动。虽然半月板部分切除术可以缓解大部分患者的短期症状,但是无法恢复半月板解剖结构和功能,无法延缓长期关节软骨的退变与骨关节炎进展。
半月板修复术
MMPRTs的缝合修复被认为是缓解症状和预防退化性骨关节炎进展的有效措施。近些年来随着半月板后根附着区的重要性被关注,对于MMRPTs患者进行半月板缝合修复的趋势也不断扩大。目前半月板修复术的主要手术指征包括:①无明显骨关节炎病史或Outerbridge分级Ⅰ~Ⅱ级;②膝关节内翻或外翻畸形小于3°;③创伤性或退行性MMPRTs患者半月板撕裂区能进行缝合修复。
急性MMPRTs与膝关节急性损伤有关,常会伴随多韧带损伤,特别是内侧副韧带的完全撕裂。在这些情况下,行半月板修复术的指征是明确的,以防止创伤后关节炎的发展。相反,慢性MMPRTs往往与半月板的退行性变有关,是由于微妙的、非特异性膝关节损伤造成的,且这种损伤如果没有得到准确的诊断和及时的干预,将会导致急剧性的关节软骨退变。外科医生必须分清这种撕裂是骨关节炎的结果还是原因。如果影像学上提示膝关节已经出现骨关节炎的改变,则不需要进行半月板修复,如果没有半月板外突和早期软骨改变的证据,半月板修复术可以缓解患者症状并延缓骨关节炎的进展。
到目前为止,MMPRTs半月板修复方式包括:经胫骨pull-out缝合固定和缝合铆缝合固定。
1.经胫骨pull-out缝合固定
目前已经有大量的文献报道了MMPRTs经胫骨pull-out缝合固定的技术。根据半月板后根撕裂类型的不同,治疗方法可能略有不同。经胫骨pull-out缝合固定技术是通过胫骨近端钻出的隧道,将半月板后根部固定在胫骨平台的半月板后根附着区处。患者采取仰卧位,膝关节屈曲90°固定,并施加一个外翻力。关节镜手术包括了三个入路:高前外侧入路(anterolateral:AL)以及两个水平的前内侧入路(anteromedial:AM)。从高AL入路置入关节镜以提供一个较好的附着区的视野,AM入路置入相应的器械进行操作,辅助的AM可以进行缝线的管理,防止在来回操作的时候缝线的缠绕和软组织对缝线的影响。常规膝关节镜检,通过前内侧入路将附着区处的软骨用刮匙或者磨钻去除。直视下用前交叉韧带定位器对半月板附着区进行导针定位,5mm或7mm空心钻头进行胫骨隧道成形。用两条不可吸收缝线通过缝合钩在距离半月板断端5~7mm处对半月板后根部进行垂直缝合,之后通过胫骨隧道将缝线引出,将内侧半月板后根撕裂端复位。在保持适当张力情况下通过缝线纽或者SwiveLock铆钉将缝线固定在胫骨前端(图3)。
半月板后根附着区的准确定位以及半月板缝合固定后的抗移位能力对于手术的效果至关重要。为了更好地重现半月板后根附着区的解剖结构以及加强半月板的生物性愈合,许多具有不同生物力学特性的半月板缝合方式已被提出,包括:两次简单缝合、单次水平缝合、改良的梅森-艾伦缝合以及两次双圈缝合环缝合。Feucht等发现梅森-艾伦缝合提供了较强的抗牵拉能力,在循环负载实验和最大负载实验中表现了优越的生物力学性能,其次是两次简单缝合。此外不同的缝线材料也会影响缝合固定的效果,Feucht等对比了四种不同的缝线材料(No.2PDSTM;No.2EthibondTM;No.2FiberWireTM;2-mmFibertapeTM)在pullout缝合固定中的生物力学特性,发现No.2FiberWireTM缝线相比于其他缝线具有较好的刚性和韧性,且在循环负载实验中为半月板提供了稳定的固定,能更好地避免缝合的半月板后根发生移位。缝线固定方面,有研究表明与螺钉和垫圈固定相比,缝合纽固定具有创伤小、软组织刺激风险小的优点。
2. 缝合铆缝合固定
MMPRTs的缝合铆固定技术是一种全内固定技术,即在待修复的半月板后根附着区处将1个带2条缝线的缝合铆固定在皮质骨内,之后用缝线将半月板缝合固定在缝合铆上(图3)。除了常规的膝关节入路外,该技术需要在股骨内侧髁后方关节线近端4cm处建立一个高后内侧入路,以便获取一个最佳的角度得以将缝合铆垂直打入胫骨平台骨皮质内。缝合铆缝合固定术不需要建立胫骨隧道,避免了缝线磨损和撕裂的风险以及缝线的蹦极效应,也不会对可能伴随的交叉韧带重建术的胫骨隧道造成影响。此外,Feucht等通过生物力学研究对比了两种不同的缝合技术,发现缝合铆固定组在100、500、1000次循环负荷试验中,半月板的后位移较少(P<0.001),且表现出较高的抗牵拉性(P=0.016)。
内侧半月板后根部位于胫骨平台后交叉韧带附着点的前方,缝合铆固定技术要求膝关节在术中保持深度屈曲,以使缝合铆能够进入内侧半月板后根部的适当位置,而膝关节深度屈曲导致关节间隙缩小,关节镜下视野不佳,导致很难获取合适的位置,尤其是肥胖的患者。因此,对于外科医生来说,能够以这样的角度将缝合铆放置在合适的插入点是有难度的。此外高的后内侧入路会导致神经血管损伤的风险增加。为了避免术中膝关节过度屈曲以及高的后内侧入路带来的不便,Lee和Somsak等描述了一种通过弯曲的导向器和软缝合铆进行半月板锚定缝合的技术。该技术通过常规后内侧入路,在膝关节屈曲60°的情况,通过弯曲的导向器就可将软缝合铆垂直固定于胫骨平台半月板后根附着区处,避免了高后内侧入路带来的软组织和神经血管损伤风险,且适用于肥胖患者。此外,在弯曲导向器的作用下确保了缝合铆垂直置入胫骨平台,且膝关节屈曲在90°以下,能够获得最佳视野。
此外,Maurice等在pull-out缝合和缝合铆固定的基础上,提出了经胫骨隧道缝合铆固定技术。该技术结合了pull-out缝合和缝合铆固定的优点,将软缝合铆拉入到胫骨隧道,达到一定的深度后,将其固定在胫骨隧道内(图3)。该技术可在常规膝关节前入路完成,既避免高后侧入路造成软组织神经血管损伤的风险,又避免了长时间胫骨隧道内缝线的磨损和延长(蹦极效应),且不会干扰交叉韧带重建。然而目前尚未见关于该技术的生物力学研究和临床效果评估。

图3 内侧半月板后根撕裂缝合修复示意图
A:经胫骨pull-out缝合固定;B:缝合铆缝合固定;C:经胫骨隧道缝合铆固定
3. 术后康复锻炼
半月板修复的患者应保持非负重状态至少6周。术后第1天其开始在膝关节允许的安全范围内(0°~90°)进行被动的膝关节活动度练习。两周后,在患者可耐受的范围内加大膝关节活动的角度。6周后膝关节开始从逐渐负重过渡到完全负重。术后4个月内膝关节避免做大于70°的弯曲动作。不同文献中描述的术后康复方案在膝关节被动弯曲的时间以及角度上存在差别,然而,没有进行横向的对比研究。
4 MMPRTs手术疗效评估指标
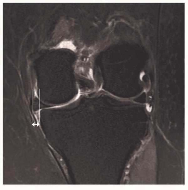
目前关于MMPRTs手术疗效评估指标主要包括了临床评估和影像学评估两方面。临床评估一般采用Lysholm评分量表、IKDC(International Knee Documentation Committee)评分量表,HHS(Hospital for Special Surgery score)评分量表以及Tegner activity score评分量表等对膝关节功能进行主观的评估,其中最常见的为Lysholm评分量表,其次为IKDC评分量表。影像学评估内容包括了MRI评估和X线评估。一般采取常规序列的MRI检查来评估半月板的愈合情况、半月板外突的情况以及软骨损伤情况。其中半月板愈合分为完全愈合(MRI三个平面上均无半月板断裂信号)、部分愈合(MRI三个平面中1个或2个平面出现半月板断裂信号)和不愈合(MRI三个平面上均出现半月板断裂信号)。内侧半月板外突是通过内侧胫骨边缘的正切垂线和内侧半月板外侧缘正切垂线之间距离进行评估(图4)。X线评估一般通过站立位正侧位或者膝关节屈曲45°位的X线片来评估患者关节间隙的狭窄情况,并进行Kellgren-Lawrence(K-L)分级,进一步评估患者骨关节炎的进展情况。

图4 MRI冠状位显示内侧半月板外突 箭头所示为半月板外突的距离
5 MMPRTs手术治疗效果
半月板部分切除术治疗效果
半月板部分切除术曾被认为是MMPRT的传统治疗方法,大部分学者认为半月板部分切除术只能起到缓解患者短期症状的作用,无法恢复半月板的正常解剖结构和功能,难以延缓长期关节软骨的退变与骨关节炎的进展。
半月板修复术治疗效果
据报道,半月板修复术可以显著改善患者的主观预后水平。大量研究表明,半月板修复术可以显著提高临床评分,且其临床评估和影像学结果明显优于半月板切除术。
在关节软骨的保护与骨关节炎的预防方面,半月板修复术也表现出了较好的效果。研究表明,半月板后根修复术在一定程度上可以延缓骨关节炎的进展。
半月板修复术的挑战是半月板缝合后的愈合率和是否能够防止半月板外突程度的加重。半月板外突导致的生物力学影响尚未完全了解,然而,随着外突程度的增加,半月板的力吸收与转换以及减震能力会减弱,病理性关节应力会增加。因此,术中对于内侧半月板后根部的解剖复位和固定以及术后半月板的愈合情况,防止半月板的再次外突对于MMPRTs的治疗很重要。为了提高修复术后半月板的愈合率以及减少半月板的外突程度,大部分研究者认为患者的选择至关重要。有几项研究分析了半月板愈合率的预测因素,并确定以下导致半月板愈合率差的因素:膝关节内翻畸形>5°,软骨退变Outbridge分级Ⅲ级和Ⅳ级,年龄较大。此外,还可以在后根修补的同时采用半月板中央化技术来进一步降低后根修补的张力,减少固定失败,防止半月板的外突。
此外,有研究者们认为对MMPRTs,无论是pull-out缝合固定还是缝合铆固定,均能显著缓解患者的疼痛症状,改善患者功能水平,并在一定程度上延缓关节炎的进展,二者的疗效并不存在显著的统计学差异。
6 总结
MMPRTs会显著影响半月板生物力学和动力学功能,进一步导致关节软骨的损伤,最终导致膝骨关节炎的发生与进展。与部分半月板切除术相比,半月板修复术有利于改善患者的临床膝关节功能评分,延缓膝骨关节炎的退变进程。目前各种缝合修复方式各有其优点和局限性,对半月板的愈合情况、半月板外突程度以及软骨损伤的影响不一,尚需大量的临床研究来确定最佳的治疗方法。
参考文献:略



京公网安备11010502051256号