低龄儿童肘关节X线片不可见骨折诊疗陷阱及规避策略
2023-01-09 文章来源:中华创伤杂志2022年12月第38卷第12期 作者:孙军 我要说
本文引用格式:孙军. 低龄儿童肘关节X线片不可见骨折诊疗陷阱及规避策略[J]. 中华创伤杂志, 2022, 38(12):1077-1082.DOI:10.3760/cma.j.cn501098⁃20220828⁃00585.
儿童尤其是低龄儿童(学龄前6岁以内)骨创伤主要发生于上肢,肘关节周围骨折较为常见。低龄儿童肘关节包含大量软骨,随着年龄增长,这些软骨逐渐出现次级骨化中心。低龄儿童肘关节骨折急诊首选X线片检查,由于软骨成分X线片不显影,易导致漏诊误诊,引起陈旧性骨折和肘关节畸形,需要行开放复位甚至截骨矫形治疗,给患者带来严重后果。2010年,Waters等首次提出肘关节X线片不可见(the radiographic appearance seemed harmless,TRASH)骨折,包含8种骨折,其中低龄儿童常见主要为肱骨远端骨骺分离骨折、肱骨内髁骨折、肱骨外髁骨折、桡骨颈骨骺分离(Salter⁃HarrisⅠ型或Salter⁃HarrisⅡ型)和孟氏骨折,并建议医师重视低龄儿童体检、超声或MRI检查。低龄儿童肘关节TRASH骨折的治疗原则与成人不同,不恰当的治疗不仅容易导致过度医疗,还易引起关节功能障碍、骨骺早闭等严重并发症。儿童肘关节生长潜力约占整个上肢的20%,TRASH骨折后,肘关节难以再塑形,常常需要手术治疗维持良好的对位对线以确保屈伸旋转功能。与儿童锁骨骨折、肱骨近端骨折等相比,“容错率”较低的低龄儿童肘关节TRASH骨折需要更高的确诊率和正确的治疗方式来减少并发症的发生。因此,笔者将上述5种骨折类型定义为低龄儿童肘关节TRASH骨折,并探讨其常见诊疗陷阱和规避策略,帮助临床医师加深对肘关节TRASH骨折的认识。
1 低龄儿童肘关节TRASH骨折的诊疗陷阱
1.1 肱骨远端骨骺分离骨折
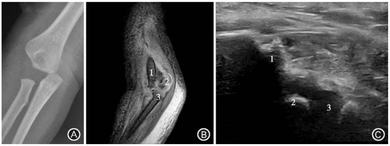
临床上儿童肱骨髁上骨折较常见,低龄儿童存在特殊骨折形式,即肱骨远端骨骺分离骨折,规范化治疗原则主要遵循2012年美国骨科医师学会(AAOS)标准。儿童肱骨小头次级骨化中心出现时间为6个月~1岁,男女之间无明显差异。肱骨远端骨骺分离骨折主要发生于婴幼儿,X线片表现为肘关节脱位或脱位合并肱骨远端干骺端骨折块(图1),并根据Delee标准进行分型,而肘关节脱位多为大龄儿童。由于肱骨远端次级骨化中心未完全骨化,因此,肱骨远端骨骺分离骨折易误诊为肘关节脱位;若骨折伴部分干骺端骨块,则需警惕可能存在X线片不可见的更大区域的软骨骨折(图1)。

图1 患者男,1岁,右肘关节摔伤,诊断为肱骨远端骨骺分离骨折。A.正位X线片示肱桡关节不匹配,远端尺偏,类似肘关节脱位;B.矢状位MRI示肱骨远端肱桡关系正常,桡骨头正对肱骨小头,肱骨远端骨骺滑脱不伴有干骺端骨折块;C.纵切面超声表现与 MRI一致,肱骨远端肱桡关系正常,桡骨头正对肱骨小头,肱骨远端骨骺滑脱。注:1为肱骨,2为肱骨小头,3为桡骨头
1.2 肱骨内髁骨折
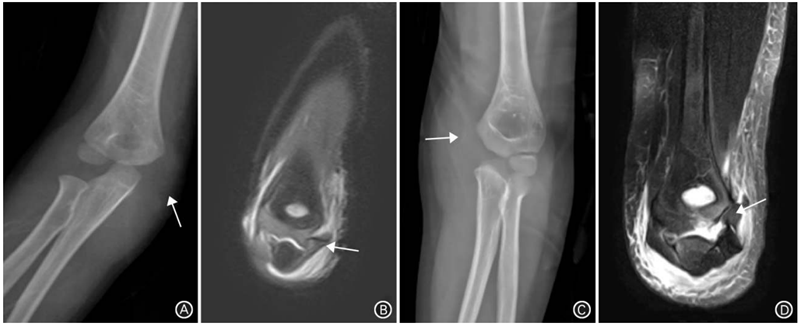
低龄儿童肱骨内髁次级骨化中心出现时间为5~7岁,低龄儿童肱骨内髁在X线片上不显影。肱骨内髁骨折也是临床上常见的TRASH骨折之一,在X线片上表现形式通常分为两种,一种是仅见内侧软组织肿胀明显,并无可见骨折块,这种骨折属于单纯肱骨内髁软骨骨折(图2A、B);另一种是在正位X线片上可见一较为隐匿翻转的“C”形骨折片位于软组织内,该骨折片为肱骨内髁近端附带的干骺端骨片,距离关节较远。“C”形骨折片是诊断肱骨内髁骨折的X线片征象之一(图2C、D)。肱骨内髁骨折体检非常重要,如果X线片未示明显骨折,但内侧软组织肿胀明显且患者不配合肘部活动,建议行超声或MRI检查,进一步排除骨折可能。

图2 肱骨内髁骨折。A.正位X线片示内侧软组织较外侧明显肿胀影(箭头所示),未见“C”形骨折片,容易漏诊;B.冠状位MRI示肱骨内髁撕脱软骨骨块;C.正位X线片示内侧软组织较外侧明显肿胀影,可见一薄“C”形骨折片(箭头所示),易漏诊;D.冠状位MRI示肱骨内髁撕脱翻转180°软骨骨块,累及关节滑车(箭头所示)
1.3 肱骨外髁骨折
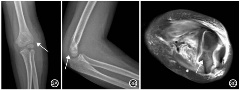
低龄儿童肱骨外髁骨折后形成陈旧性骨折的概率较高,主要原因如下:(1)漏诊。低龄儿童肱骨外髁尚未完全骨化,X线片上肱骨外髁骨折仅可见一斜形骨折块,且该骨折诊断最佳体位是内斜位片,移位不明显的肱骨外髁骨折在标准正、侧位X线片上难以看到骨折线(图3),易漏诊。(2)骨折再移位。轻度移位肱骨外髁骨折非手术治疗再移位率为14.3%,笔者在前期的研究中也发现存在再移位可能。由于损伤程度与再移位呈正相关,因此,如果选择非手术治疗,则需要MRI验证软骨铰链的损伤程度。低龄儿童肱骨外髁骨折还需与干骺端带有骨折片的骨骺分离相鉴别,尤其是肱骨外髁骨折合并肘关节脱位。肱骨远端骨骺分离多向后内侧移位,而肱骨外髁骨折合并肘关节脱位多向后外侧移位。若术前未行超声或MRI检查,建议在切开前行肘关节造影,明确诊断为移位肱骨外髁骨折,而非肱骨远端骨骺分离骨折。

图3 肱骨外髁骨折。A.正位X线片示肱骨远端轻度移位撕脱骨折(箭头所示),关节软骨不可见;B.侧位X线片未见骨折块影;C.横轴位MRI示骨折累积部分关节软骨(箭头所示),损伤程度重于X线片表现
1.4 桡骨颈骨骺分离骨折
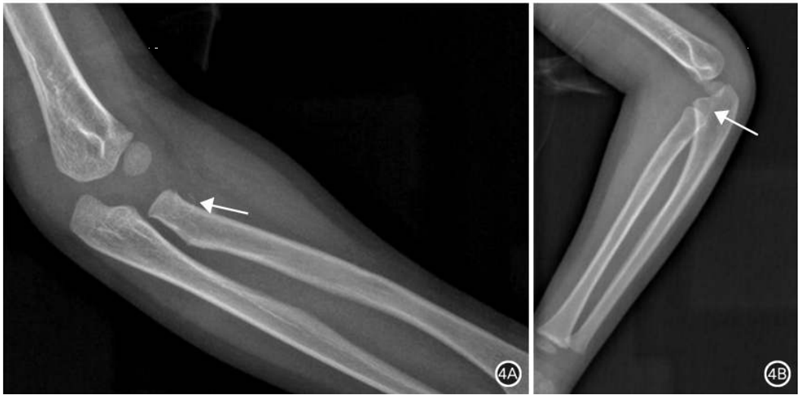
桡骨头的骨化时间为5~6岁,低龄儿童桡骨头未骨化,发生桡骨颈骨骺分离骨折时主要有两种表现,即Salter⁃HarrisⅠ型或Ⅱ型骨折,临床上Ⅱ型较常见。X线片通常无法显示移位的桡骨头,仅正位X线片可显示桡骨近端沿桡骨轴线倾斜隐匿的骨折碎片(图4);侧位X线片由于尺骨近端的遮挡可能无法观察到骨折片,隐约可见骨折的重叠影像。同时,需要注意外侧软组织肿胀和X线片表现不一致情况,如果旋转前臂时患者极度抗拒,建议行超声或MRI检查明确判断肱桡关节关系。

图4 桡骨颈骨骺分离骨折。A.正位X线片隐约可见桡骨近端移位翻转撕脱骨折片(箭头所示),关节软骨不可见;B.侧位X线片示疑似重叠骨折影,尺骨近端遮挡明显(箭头所示)
1.5 孟氏骨折
孟氏骨折在临床上同样容易漏诊,可能原因:一是医师主要关注更明显的尺骨骨折,忽略了肱桡关节损伤;二是忽略了单纯尺骨弯曲骨折导致的桡骨头半脱位,此时桡骨轴线常常通过肱骨小头上1/3,MRI可见肱桡关节之间卡压环状韧带或肱二头肌腱(图5)。临床上对孟氏骨折的诊断,参照包括正位X线片上的肱骨外缘线和侧位X线片上的桡骨轴线。正位X线片上肱骨外缘线一般不经过桡骨头,若经过桡骨头,则应考虑孟氏骨折可能。正常侧位X线片上桡骨轴线可经过肱骨小头中或后1/3,不可经过前1/3;若经过前1/3时应考虑孟氏骨折或环状韧带卡压。临床工作中,笔者还发现即使X线片显示肱桡关系对位良好,但后期复查时仍存在再脱位。桡骨头半脱位形成的孟氏骨折,环状韧带多数卡压于肱桡关节之间,患者活动肘关节时引起桡骨头脱位,导致陈旧性孟氏骨折。如果未完全复位卡压的环状韧带而恢复了X线片上的肱桡关系,此时需要投射多种体位验证肱桡关系的稳定性。

图5 孟氏骨折。A. 伤后即刻侧位X线片示尺骨弯曲骨折,肱桡关节对位对线差,桡骨颈轴线通过肱骨小头上1/3(白色横线),关节软骨不可见;B.伤后4周侧位X线片示明显陈旧孟氏骨折;C.矢状位MRI示肱桡关节之间环状韧带卡压,桡骨头半脱位(箭头所示)
2 低龄儿童肘关节TRASH骨折的诊疗风险规避策略
风险规避主要依靠正确的诊断和及时合理的治疗。儿童处于生长发育阶段,掌握次级骨化中心出现顺序和时间对正确诊疗至关重要。低龄儿童肘关节TRASH骨折的诊断主要原则是在X线片检查的基础上重视体检,同时注重MRI检查。虽然对低龄儿童行MRI检查时需要镇静,但MRI可以清晰显示骨、软骨、关节对位对线和韧带损伤等重要信息。在急诊骨创伤超声检查中,需要在骨折部位移动探头,给患者带来疼痛感,进行麻醉则费时费力,在骨折诊断方面的应用有限,但超声辅助引导复位固定目前是一个趋势。低龄儿童肘关节TRASH骨折的治疗方式主要依据骨折分型和骨折移位程度,分为非手术治疗和手术治疗。低龄儿童由于骨折生长潜力大、可塑性强,治疗时尽量遵循“坚强外固定,稀松内固定”原则,根据患者年龄、骨折部位和类型等来选择治疗方法,切不可过度医疗。
2.1 诊断方面
临床诊断上,掌握正确的肘关节对位对线至关重要,肘关节一般参照的标准包括正位X线片Baumann角和肱骨外缘线,以及侧位X线片肱骨前缘线和干髁角。虽然低龄儿童骨折后很难获得标准的正、侧位X线片,但以上指标综合判断仍可以较好地评估肘关节骨折情况,难以判断时可增加MRI检查。Baumann角的正常范围为64°~81°,出现异常时应考虑内外翻的肱骨远端骨骺分离骨折与移位的肱骨外髁骨折可能。在侧位X线片上,干髁角为25°~40°,主要反映肱骨远端的前后倾;肱骨前缘线正常经过肱骨小头中或后1/3,而经过前1/3时注意可能为肱骨髁上骨折。
对于低龄儿童肘关节TRASH骨折,常见的规避策略包括重视临床体检和辅助检查:(1)重视临床体检。临床医师要熟悉儿童骨骺出现时间及顺序,谨防误诊漏诊。如3岁儿童肘关节肱骨内髁骨折,肱骨内髁次级骨化中心并未出现,X线片仅显示软组织肿胀影,易误诊为单纯软组织损伤。同时,骨科医师易犯的错误之一是重视X线检查而忽视临床体检。低龄儿童创伤后易哭闹,需要耐心与患者交流,体检时注意患者表情变化,判断疼痛部位。(2)对特殊部位行超声或MRI检查。低龄儿童肘关节具有大量的X线片无法显示的软骨,如果合并明显临床症状,建议行超声或MRI检查,防止漏诊。如婴幼儿的肱骨远端骨骺分离骨折、肱骨内髁骨折、桡骨颈骨骺分离骨折、半脱位孟氏骨折等,仅行X线片检查可能难以诊断,且延迟诊断会形成陈旧性骨折,导致肘关节畸形。对于轻度移位的肱骨外髁骨折,也建议行MRI检查,根据软骨铰链断裂的程度,判断是否需要手术治疗。对于新鲜孟氏骨折,MRI检查也有助于判断环状韧带损伤程度、卡压部位和卡压面积,轴位可观察韧带止点情况及是否需要行环状韧带复位。
2.2 治疗方面
若TRASH关节面骨折移位>2mm,如肱骨内、外髁骨折,建议行切开复位内固定治疗,尽量恢复解剖结构。随着医疗技术的发展,对于关节面骨折,超声引导下闭合穿针同样取得了良好效果。对于非关节面骨折如肱骨远端骨骺分离骨折、桡骨颈骨骺分离骨折和孟氏骨折,建议行关节造影或超声引导下治疗,内固定物主要为光滑的克氏针。肱骨远端骨骺分离骨折的治疗方式与肱骨髁上骨折类似,穿针固定宜在造影辅助下进行,方便判断复位质量及克氏针是否有效固定骨折远端,而低位骨折更容易发生肘内翻,临床要予以重视。对于肱骨远端骨骺分离骨折,复位时争取一次复位成功,尽量减少穿针次数,禁忌螺钉跨骺板固定,降低早闭风险。对于孟氏骨折和桡骨颈骨骺分离骨折的复位,宜在超声监视下或造影下进行,精准判断复位质量和环状韧带的位置。笔者认为,肱桡关节复位应该解决环状韧带的卡压。新鲜孟氏骨折环状韧带复位方法为牵引前臂,对于旋后、极度屈曲肘关节,若听到弹响声或超声监视下肱桡关节之间无卡压,证明环状韧带复位成功。如果环状韧带持续卡压在肱桡关节之间,建议行切开复位环状韧带,以防后期形成陈旧性孟氏骨折。
低龄儿童肘关节TRASH骨折非手术治疗后难以自我保护患肢,石膏固定不牢固或仅进行简单的夹板固定易造成骨折再移位,需要再次处理。因此,对于低龄儿童肘关节TRASH骨折,可靠的外固定十分重要,要及时复查,注意检查石膏或夹板松动情况,判断是否需要更换石膏或重新加固。因此,术后应定期复查外固定质量。
虽然超声在术前诊断方面应用有限,但其具有无辐射和可以在实时引导下操作等优势,可通过减少穿针次数和避开重要神经来降低并发症发生率。因此,超声辅助治疗逐渐用于治疗低龄儿童肘关节TRASH骨折。
3 总结与展望
低龄儿童肘关节TRASH骨折临床上容易漏诊和误治,引起远期并发症,常导致患者肢体残疾,医师务必要重视体检和MRI等辅助检查,提高诊疗的规范化水平。同时,我们还应该注意其他类型骨软骨骨折,如尺骨鹰嘴软骨骨折、肘关节骨软骨剥脱骨折等,降低X线片检查的漏诊率。由于不同地域诊疗水平不同,建立高年资专家智能诊疗数据库及云平台体系,加强成果转化并下沉,可帮助基层医院诊断并及时转诊。术中超声具有微创、无辐射的特点,不仅可动态观察骨折的对位对线,评估软骨复位情况,还可以观察韧带损伤及复位情况,同时避免术中辐射。虽然超声辅助治疗需要一定的学习曲线,且具有主观性,但增加了明显移位骨折的闭合复位率。用超声制定不同骨折复位成功的可接受标准,进一步普及超声治疗,是将来研究的一个方向。近年来,机器人在儿童脊柱侧弯、股骨头骨骺滑脱、股骨颈骨折等方面应用增加,相信未来对儿童肘关节骨折也能实现机器人辅助治疗。
参考文献:略



京公网安备11010502051256号