病例讨论|寰枢椎脱位合并Ⅱ型呼吸衰竭
2023-02-09 我要说
作者:浙江大学医学院附属第二医院骨科 李方财
寰枢椎脱位或称为寰枢关节脱位,是指颈椎的第一节(寰椎)、第二节(枢椎)之间的关节失去正常的对合关系。这是一种少见但严重的疾患,其可以引起延髓、高位颈脊髓受压,严重者致四肢瘫痪、甚至呼吸衰竭而死亡。
由于其致残、致死率高,必须及时进行诊断和处理。为进一步探究寰枢椎脱位临床诊疗注意事项,浙江大学医学院附属第二医院骨科李方财教授特别带来一例寰枢椎脱位合并Ⅱ型呼吸衰竭的高龄患者治疗经过,结合具体问题与各位嘉宾展开讨论,详见下文。
基本资料
患者男性,73岁。
枕颈融合术后21年,术后神经功能无明显改善,但症状稳定;3年前出现四肢麻木、乏力加重,行走不稳;1周前出现气促、声音低、吞咽困难。
由急诊入院,二便无殊;查体:半卧(坐、立受限)、吸氧;四肢浅感觉减退、肌力4级,腱反射+++,病理征+。
检查资料

X线正、侧位

MRI

CT

CTA

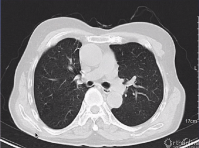
肺部CT
影像所见:平扫肺窗显示两肺纹理增粗、紊乱,支气管壁增厚,小叶中心见多发点状密度增高影;双肺上叶、下叶见散在实性小结节及少许细条索影,边界清;余肺实质未见明显实质性渗出性病变。纵隔窗显示两肺门无增大,气管支气管通畅,血管及脂肪间隙清晰,纵隔未见明显肿大的淋巴结。
影像诊断:双肺慢支、肺气肿改变;双肺散在增殖灶及纤维灶。

肺通气功能报告单

血气分析+电解质检查
讨论
初步诊断:
1. 寰枢椎脱位
2. 枕颈融合术后
3. II型呼吸衰竭
4. 延髓麻痹?
问卷调查
1. 延髓麻痹诊断是否成立?(单选)
A成立
B不成立
2. 导致延髓麻痹的原因是什么?(单选)
A压迫
B炎症
C其他
3. 待进一步完善检查?(多选)
A咽后壁炎症反应
B呼吸系统(内科)检查
C循环系统(心脏)检查
D脑脊液检查
4. 治疗方案如何选择?(单选)
A经口前路齿状突磨除(前路不做固定,单纯减压)
B后路减压,磨除骨赘
C先后方减压,再经口切除枢椎体
嘉宾具体意见详见——讨论1视频
多学科会诊
1. 神经内科
(1)延髓麻痹诊断成立;
(2)退变、压迫首先考虑;
(3)脑脊液检查。
2. 呼吸内科
(1)中枢性呼衰(合并周围?);
(2)原发病治疗+氧疗+/-机械呼吸。
3. 麻醉科
(1)无绝对手术禁忌;
(2)术后脱机困难。
进一步检查
脑脊液常规:排除炎症
无创呼吸机:3天(优势:经面罩;短期内改善肺功能;缩短手术后气管插管拔管时间;拔管后使用进一步提高安全性。)

使用无创呼吸机3天后
治疗方案
术者意见详见—治疗方案选择2视频
单一后路:松解+复位+融合

后弓切除减压 经后路侧块松解

复位、内固定

术后CT

术后MRI(患者术后四肢麻木、乏力,发音、吞咽困难改善。)

患者术后未使用无创呼吸机,呼吸功能明显改善,术后3天血气分析恢复至正常范围
总结
1. 临床遇到寰枢椎脱位的患者,即便局部已经稳定,但持续压迫的存在仍可能会导致延髓病变进行性加重,最终形成中枢性的呼吸衰竭;
2. 由此病例可以看到,患者早期手术可获益,效果满意;
3. 无创呼吸机对于快速恢复肺功能、降低围手术并发症疗效确切;
4. 齿状突复位是治疗难复性寰枢椎脱位最重要的中心环节;
5. 枕颈融合术后,通过有效松解(截骨)仍能使齿状突复位。此类患者首选单一后路手术治疗;部分患者需通过前、后路联合手术进行松解,才能使齿状突获得满意的复位。
完整视频
术者简介

李方财
浙江大学医学院附属第二医院骨科副主任、脊柱外科主任。主任医师,教授,博士生导师。
担任浙江省脊柱脊髓专业委员会主任委员;浙江省医学会骨科学分会副主任委员;中华医学会骨科学分会脊柱学组委员;中国医师协会骨科医师分会脊柱畸形学组委员、脊柱显微专业委员会委员;中国脊柱脊髓专业委员会脊柱畸形学组委员、微创学组委员、基础学组委员、腰椎学组委员;中国医药教育学会国际教育学组副主任委员、脊柱畸形学组委员、脊柱微创学组委员;中国医疗保健国际交流促进会骨科分会常委;国际矫形与创伤外科学会(SICOT)中国部常委;国际脊柱侧凸研究学会(SRS)Candidate member。



京公网安备11010502051256号