踝关节天花板骨折——Pilon骨折的诊断与手术要点
2023-02-10 文章来源:山西医科大学第二医院 作者:梁炳生 我要说
Pilon骨折多为高能量损伤自高处坠落所致,通常合并跟骨骨折、胫骨平台骨折、骨盆及椎体骨折。其特点为高能量、不稳定、软组织损伤。
一、概述
1911年,法国放射学家Etinne Destot首先使用Pilon一词来描述胫骨远端关节骨折线向近端延伸5cm范围内的干骺端解剖区域。Pilon为法语,其原意为药师用来粉碎和研磨的钵杵,胫骨远端与之非常相像。

图1 研磨钵杵

图2 胫骨远端解剖分区,红色内侧柱;蓝色外侧柱;绿色后侧柱
临床常以Ruedi-Allgower分型作为损伤分型。

图3 Ⅰ型:没有移位的踝关节劈裂骨折

图4 Ⅱ型:轻度嵌压或粉碎的移位骨折

图5 Ⅲ型:严重的关节面粉碎和干骺端嵌压的移位骨折
二、临床表现
1、高能量损伤必须进行创伤的全面检查及评估;
2、受累小腿远端畸形肿胀;
3、注意血管神经皮肤损伤情况检查;
4、正、侧位,踝关节X线片检查;
5、冠状面及矢状面的CT重建。
三、手术要点
1、手术时机应在伤后48小时之内,踝部没有形成严重肿胀水泡之前。
2、软组织评估:如果错过手术黄金期,需要延迟到7-14天以后,待踝关节肿胀减轻,水泡消退以及受累软组织痂皮脱落后方可手术。
3、严重挫伤可分阶段治疗,先用环形外架及对腓骨钢板固定,恢复胫骨长度及对线,软组织损伤恢复以后,伤后7-21天内再将胫骨做稳定性的固定。
4、踝前“L”切口或反“L切口”,切口起自内踝尖下1.5cm,横过踝关节,在中线稍外侧呈弧形向近端延伸,拐角弧度为105°-110°,向近端延伸时,在胫骨嵴外侧1cm走行。
5、“一刀见肉”,皮肤、皮下与深筋膜一刀切开,以保证“L”皮瓣血循环,不要分层剥离,向内侧牵开皮瓣,显露前侧间室将其牵向外侧,充分显露内、外侧柱。
6、外踝后缘纵行切口。显露外踝,复位固定。然后钝性分离腓骨肌腱和踇长屈肌间隙,向前牵开腓骨肌并向后牵开屈拇长肌和跟腱显露胫骨远端后柱及后侧穹隆。

图6 显露后柱骨折的后外侧与后内侧切口
7、骨折充分显露后,优先外踝复位固定,以保证“天花板”的高度,有助于恢复肢体长度,腓骨复位可通过胫腓骨间前、后韧带的整复作用间接复位胫骨骨折片。
8、天花板(胫骨远端关节面)粉碎塌陷的处理
①翻书样翻开大的骨折块显露“天花板”,将骨折片绞链式打开显露骨折部位,注意保留骨折块蒂部的连接,以维持血循。
②注意在骨膜上显露,不切开与剥离骨膜;骨折块边缘骨膜剥离1-2mm,以便复位时标识清晰。
③将压缩塌陷带关节面的“天花板”复位,以距骨关节面为模版,同时施以远端牵引和“天花板”顶上(近端)撬拨拼接粉碎关节面,小骨片用整形镊子复位,可用丝线临时固定,以恢复“天花板”解剖复位。
④整复关节面,一般顺序从后往前,从外往内,必要时植骨支撑,克氏针临时固定。
⑤如果“天花板”骨折压缩嵌插,需要在其近端10mm处横形截骨撬压复位,打压植骨。
⑥在维持牵引下将翻书样骨块解剖复位,平行关节面1.5~2mm克针临时固定,C-臂检查达到复位标准后用锁定解剖板固定。
⑦特别粉碎骨折可在踝关节近端5-10mm处,平行于关节面1.5mm钛钉终极固定。
9、严密止血,置负压,逐层缝合。外固定6-8周,拆线后主动床上活动,部分负重15kg(体重秤上预测)。避免承重12-16周,待X线片显示骨折确定已愈合,可逐渐负重。
四、手术并发症
常见并发症表现为皮肤坏死、固定失败、骨不连(植骨)、关节面复位不良与创伤性关节炎等。
五、临床病例
x男,30岁,体重100kg,在五楼擦玻璃时坠落到四楼致伤2天。
诊断:左胫骨平台后柱骨折,后交叉韧带撕脱骨折,左踝关节pilon骨折3型。
术前影像学资料:

图7 前交叉韧带撕脱骨折与平台后柱骨折

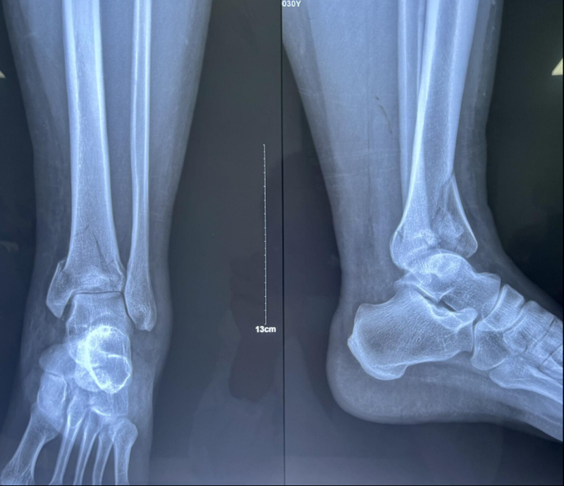
图8 Pilon骨折3型
术中资料:切口与术中C-臂检测

图9 手术L切口远端横臂切口略偏近端,踝关节显露稍显不足,经延长“L”切口横臂后解决

图10 术中
术后影像学资料:


六、小结
Reudi-Allgower固定四步骤
1、腓骨切开复位固定。
2、胫骨远端关节面解剖复位固定。
3、重新组装的胫骨远端关节面用解剖板与胫骨干连接。
4、骨移植。
5、对关节面解剖复位同时最大限度保护软组织和骨折块血运,骨膜外显露,仅显露关节面和骨折处的相邻部分。
作者简介

梁炳生,山西医科大学第二医院骨科主任医师,教授,博士生导师,享受国务院政府特殊津贴专家,山西省医学学科带头人导师。
社会任职:山西省医师协会手外科医师分会会长,中国医师协会手外科医师分会常委,山西省医师协会骨科医师分会副会长,山西省医学会手外科专业委员会名誉主委;国家自然科学基金委员会评审专家,国家教育部学位中心评审专家;《中华手外科杂志》《中国实用手外科杂志》《中国修复重建外科杂志》编委,《实用骨科杂志》常务编委。
科研成果:在国内专业杂志发表相关论文100余篇,SCI论文6篇。主编专著3部,获得科研专利4项。主持或合作国家自然基金课题4项,国家自然科学基金项目及省部级重点项目10项。



京公网安备11010502051256号