人工全髋关节置换治疗成人Crowe Ⅳ型髋关节发育不良的要点
2023-04-03 文章来源:中国骨与关节杂志 作者:张德宝,刘凡,谷贵山 我要说
发育性髋关节发育不良(developmental dysplasia of thehip,DDH)是1991年由美国骨科医师学会(American Academy of Orthopaedic Surgeons,AAOS)和北美小儿骨科学会(Pediatric Orthopaedic Society of North America,POSNA)结合髋关节发育的病理改变,定义为先天性髋关节脱位(congenital dislocation of the hip,CDH)更名后的概念。成人DDH发病率约为1‰,男女比例为1∶6,1/4患者有家族史,是导致髋关节骨关节炎及接受全髋关节置换术(total hip arthroplasty,THA)的常见原因,约占初次非创伤性THA的30%,在女性中达到46%。
DDH的分型系统很多,包括Crowe分型、Hartofilakidis分型及Eftekhar分型等,Crowe等按髋关节脱位程度将DDH分为四型,因利于指导手术临床较为常用,其中Ⅳ型为高位脱位,也是最严重的类型。患者关注的主要问题有假体使用年限、双下肢是否等长及术后步态的改善等,但很多情况下双下肢不等长并不能完全消除,如果严重的DDH合并膝关节外翻、前足外旋,步态一定会存在问题。另外,由于此类患者疼痛和功能受限往往在45岁左右比较严重,也正是此时患者要求手术的主要原因,女性患者绝经期前后的心理变化,导致此类患者期待、烦躁、焦虑、恐惧、抑郁心理并存,无疑又增加了术后疗效提高的困难。因此,如何全面综合考量DDH的病理改变,制订充分可行的术前计划,实施比较完美的置换技术提高术后效果,将是我辈努力的目标。所以,必须有针对性的对相关问题进行讨论。
一、手术适应证的严格确定
无论是单侧还是双侧Crowe Ⅳ型DDH,负重行走后脱位就已存在,逐渐形成假臼,依靠周围软组织的代偿,特别是关节囊的增厚,将脱位的股骨头维持在假臼内。因此除了跛行外,髋关节大部分功能尚存,患者仍能接受现存状态。随着病情的进展,会出现疼痛加重、功能受限,尤其是疼痛是患者要求手术的主要原因,所以严重髋关节疼痛、行走困难或日常生活受限才是Crowe Ⅳ DDH手术治疗的适应证。
二、Crowe Ⅳ DDH软组织病理改变及术中相关应对策略
髋关节周围的软组织结构包括髋臼横韧带、髋臼圆韧带、关节盂唇、关节囊、关节囊外韧带,髋关节周围肌群以及周围血管神经等。在DDH的发展过程中髋关节处于脱位状态,维持关节稳定的主要结构,即周围的软组织会因为力学的原因导致髋臼横韧带的骨性包裹、髋臼圆韧带多数磨损、消失,关节囊变得狭长、肥厚、弹性较差,关节盂唇增厚变大、弹性下降,周围肌肉的方向改变、力矩变小、部分肌肉弹性及张力减低等。
这些改变的结果是导致脱位的关节上下移动的范围有限,临床上传统的术前骨牵引的方法来试图改变肢体长度的理念被证明无效的原因就是如此。因此,为了适度延长术侧下肢、均衡下肢长度,术中的应对措施应该是广泛切除关节囊、切除关节盂唇、切除髋臼圆韧带,尽量寻找和确定髋臼横韧带,为定位真臼提供帮助,切断外旋肌群在股骨近端的止点,但是,内收肌肌腱、臀中肌腱性部分、髂腰肌止点腱性部分不予松解和切断。完成这些手术要点后,肢体长度会在一定程度上释放,为减少股骨截骨提供机会。此外,由于多数患者较年轻,软组织平衡尤为重要,须保存外展肌的连续避免术后跛行。股神经和坐骨神经延展性有限,应避免肢体过度延长造成神经损伤。
三、Crowe Ⅳ DDH髋臼的改变及术中定位和安放假臼的技巧
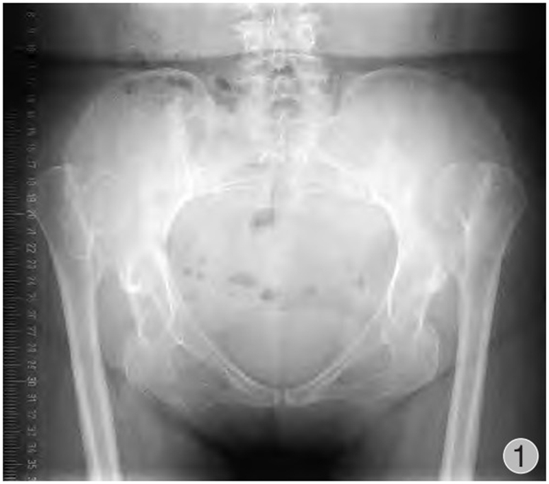
由于股骨头半脱位或脱位,发育中的真性髋臼缺乏应力刺激未能正常生长发育,骨性髋臼形成通常较小,多呈三角形,被软组织所覆盖,部分病例会有骨性覆盖以及骨性解剖标志丧失等(图1~3)。发育不良的髋臼往往较浅且前倾增大,前壁变薄,骨量不足,前后径减小,可有上方和(或)前方节段性缺损。根据是否存在假臼,有学者将Crowe Ⅳ型进一步分为Ⅳa(无假臼)和Ⅳb(有假臼),并提出假臼的存在是影响THA脱位高度和转子下截骨术应用的重要因素,HARTO等发现无假臼的高脱位DDH患者THA术后假体存留率不及有假臼形成患者,并且假臼的存在与否影响近端股骨的应力传导并可能与近端股骨形态有关,因此包含形态分类的术前规划是有必要的。如何寻找真臼的位置以及髋臼杯的安放是手术成功的关键。

图1 术前骨盆正位DR:双侧CROWE Ⅳ型DDH,股骨头脱位高度>股骨头高度的100%。双侧均无假臼形成;真臼未能正常发育,髋臼浅小;股骨头小、不规则;股骨颈短,颈干角减小,偏心距减小,股骨近端骨皮质变薄,髓腔窄小变直,呈柱状,髓腔峡部位置相比正常股骨较高

图2 术前髋关节CT三维重建(右侧观):股骨头脱位高度>股骨头高度的100%,真臼未能正常发育,髋臼浅小呈三角形,前倾增大,前后柱骨质丰厚,无大量骨缺损;右侧股骨头小,股骨颈短,颈干角、偏心距减小,股骨头与髂骨翼未形成假臼,股骨近端骨皮质变薄,髓腔窄小变直,呈柱状

图3 术前髋关节CT三维重建(左侧观):股骨头脱位高度>股骨头高度的100%。真臼未能正常发育,髋臼浅小呈三角形,前倾增大,前后柱骨质丰厚,无大量骨缺损;左侧股骨头小,股骨颈短,颈干角、偏心距减小,股骨头与髂骨翼未形成假臼;股骨近端骨皮质变薄,髓腔窄小变直,呈柱状
1、术前影像学检查
骨盆前后位X线、髋关节正侧位X线、CT平扫+三维骨性结构重建检查是术前影像学评估的必须手段。通过这些方法,术者可获得相关信息,如真臼、假臼的位置及二者关系;真臼大小、深度、有无缺损、臼底厚度、髋臼指数、髋臼前后柱形态大小以及前后柱前后最外侧切点的垂直距离;髋臼横韧带、周围肌肉、血管神经的位置和形态,可以指导臼杯的选择,如生物型或骨水泥型,传统臼杯或多孔臼杯以及估测臼杯的大小。
2、术中定位髋臼的技巧
切口的选择依术者的习惯,但是主流选择为外侧或者后外侧入路,DAA、SuperPath等入路较少用。在显露过程中,因为局部解剖的改变,要特别注意坐骨神经的保护。沿股外侧肌近端的后缘锐性分离所附组织,包括:视情况部分或全部臀大肌股骨止点的肌腱、股方肌、闭孔外肌、联合肌腱(上孖肌、闭孔内肌、下孖肌)、梨状肌;此时,可见关节囊,因为关节囊的解剖变异,狭长、肥厚、止点上移,将真臼和假臼全部包含在内,且在后侧可能与坐骨神经靠近,因此,仍然按常规的关节囊切开的方法先行切开,探查确定局部的解剖关系,尤其是关节囊上方的位置,确定后切除后侧和上方所有增生肥厚的关节囊,包括可能确定的股直肌肌腱髋臼上缘的止点;股骨颈截骨后,切除前侧关节囊。
Crowe Ⅳ DDH的髋臼千变万化,基本的变化为三角形、纵向狭长,即髋臼上缘为三角形的顶点,下缘,也就是髋臼横韧带水平为三角形的底部,易于识别,三角形内填充着以脂肪为主混合部分纤维组织的软组织,常常可探及凹陷,常能见到髋臼横韧带,此类变化占有大部分,根据凹陷和髋臼横韧带的存在,寻找和确定较为容易。再有就是:髋臼部位没有任何解剖标记,完全被骨性成分覆盖或者隐藏,即无凹陷,也无隆起,横韧带不见。此时为了定位髋臼,首先要确定前柱的前缘、后柱的后缘、髋臼的下缘,并以假臼下缘为三角形顶点,前后柱外缘的连线为三角形的底,三点连线形成倒等边三角形,三角形的中心就是真臼的中心点,这样可以准确的定位真臼,此种方法可称为三点定位法,由于在术中常常用手的拇指、示指和中指来实施,又可以称为三指定位法。对于假臼的处理,应该充分彻底地清除假臼周围的软组织,清除骨性增生,尽可能地释放局部空间,再次为减少股骨截骨提供机会。
3、髋臼杯假体的选择
研究显示生物型髋臼假体存留率优于骨水泥假体,并且先髋患者较年轻,至少须接受一次翻修手术,为保存骨量,可选择生物型多孔髋臼杯,可选择合适螺钉固定获得良好初始稳定性。与原发性骨关节炎患者相比,股骨头和髋臼的直径较小,通常需要较小的髋臼假体,髋臼杯外径通常为38~50mm。
4、髋臼杯假体的安放
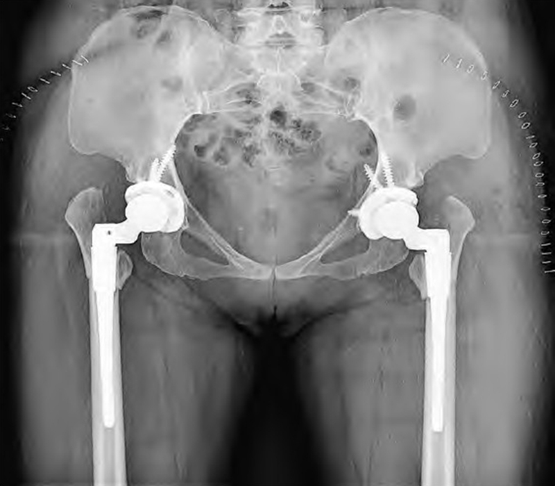
髋臼重建目前共识是髋旋转中心的正常化,即将髋臼杯放置在真臼或接近真臼位置(图4)。真臼前后柱骨质丰厚、骨小梁方向多向,臼杯植入后骨性覆盖充分稳定性好;若置于假臼,髂骨翼薄不能充分固定,并且杠杆力臂高于正常,导致髋关节负荷过大假体松动率高,并且外展肌功能不全导致跛行。

图4 双侧THA术后DR:双侧臼杯均建立在真臼位置,假体适度内移,未额外骨移植,双侧均应用44mm生物型多孔臼杯和高交联聚乙烯内衬,搭配28mm陶瓷股骨头假体。股骨侧采用可调节前倾角的组配式假体,近端和远端均获得良好固定,双侧均采用转子下斜行截骨方式,截骨处固定可靠,未加用额外固定方式,假体匹配良好,双下肢基本等长
真臼位置确定后,从最小号髋臼锉开始打磨髋臼,酌情用力,间隔使用反向打磨,注意骨质疏松,反复确定周围骨性结构,髋臼前壁薄、后壁厚,磨锉过程中适当向后壁磨锉,避免破坏前壁,最后反向旋转压实骨床。原则上应结合术前设计确定臼杯大小,但由于不同Crowe Ⅳ DDH的病理复杂情况,尤其在无法确定真臼位置的时候,臼杯大小更难以确定,即使术前在CT平扫中已经确定等边三角形,并以倒置的等边三角形的底边长度作为可能选择臼杯的最大外径来做参考,最后置入臼杯大小仍然须结合术中情况。
假体获得足够的骨性覆盖(70%~80%)非常重要,多数Crowe Ⅳ DDH只需要加深臼锉研磨和应用小尺寸臼杯即可实现,但有学者额外应用大块骨移植增加髋臼骨储备以利于后续翻修。若臼杯无法获得充分骨覆盖(<70%~80%),可通过臼底部凹陷成形术实现,包括人为制造内侧壁骨折、自体松质骨打压植骨和植入小尺寸髋臼假体。对于严重的外上方缺损,可采用自体或异体大块结构骨移植,但具有远期松动率高的缺点,另一种方案是将髋关节旋转中心适度上移,避免植骨,但其松动率和脱位率同样较高。
四、Crowe Ⅳ DDH股骨近端的特点及应对措施
Crowe Ⅳ DDH股骨近端大小形态都与正常不同,股骨畸形可因脱位程度的增加而增加,有患者因股骨或骨盆矫形手术病史使得解剖更复杂。具体表现为股骨头小、不规则、失去圆形状态,股骨头软骨表面磨损严重,因假臼的反复刺激,股骨头周围可产生骨赘。股骨头位置高(相对于小转子),大转子-股骨头距离增大,股骨颈短,前倾增大,大转子后置,Sugano等发现DDH患者股骨颈前倾角平均增加10°~14°,但增大程度与脱位程度无关。此外,颈干角增大,偏心距减小,股骨前弓增大,近端骨皮质变薄,骨质脆性较大,弹性降低,远端股骨明显内旋。近端髓腔窄小变直,多呈柱状(烟囱型髓腔),髓腔峡部位置相比正常股骨较高,近端髓腔和峡部内径都较正常股骨小,前后径大于内外侧径(图1)。髓腔形态异常可随脱位程度增加而增加,小转子和峡部之间的骨干内产生扭转并与干骺端扭转异常无关。为此,需在术前通过影像学方法预测股骨髓腔直径、测定股骨前倾角、测定股骨偏心距。
在假体植入过程中会出现因髓腔狭小造成股骨柄的置入困难;因股骨前倾角增大而需要去旋转截骨来调整前倾角;因复位困难而需要股骨短缩截骨同时恢复肢体等长;因脆性增加而出现股骨近端劈裂骨折等等问题。在股骨过度前倾的情况下,锥形非模块化股骨柄存在尺寸过小、对线不良或旋转稳定性不佳的缺点,甚至可能增加术中股骨骨折的风险,并且由于髓腔狭窄变直,因此倾向选择直型柱状股骨柄。利用可调节前倾角的组配式假体,如S-ROM或S-R等,利用假体纠正近端成角和旋转问题,在假体置入前反复测试,避免劈裂骨折的发生。
五、Crowe Ⅳ DDH股骨截骨的选择(4W2H)
1、Crowe Ⅳ DDH之初始截骨
初始截骨的目的是为了成功地安装假体,根据术前计划确定假体类型,对于Crowe Ⅳ DDH这样复杂的病例,建议选择可调前倾角的柱状假体,如S-ROM或SR等。以S-ROM为例,根据假体的要求,进行小粗隆上(髂腰肌肌腱上缘上方0.8cm处)垂直股骨干截骨,截骨线达股骨外侧皮质内缘,此为第一截骨线。以第一截骨线为基线,以基线与股骨外侧皮质内缘交点为起点,向大粗隆方向做垂线,这一垂线就是大粗隆纵形截骨的标志线,以此线为基准进行截骨,完成股骨近端初始截骨,为处理股骨近端髓腔做好准备。
2、Crowe Ⅳ DDH之短缩、去旋转截骨
Crowe Ⅳ DDH股骨由于脱位较高,股骨发育异常,假臼周围软组织广泛挛缩、弹性较差,使假体股骨头不易复位,当臼杯放置在真臼水平,由于直接或间接的损伤和过度下肢延长,坐骨神经和股骨神经损伤的风险较高,此时应考虑股骨截骨术,但截骨之前需要明确下面的问题。
(1)截骨的目的(W why):Crowe Ⅳ DDH之股骨截骨的目的在于:短缩股骨、纠正前倾、改变旋转、理顺前弓,从而避免坐骨神经及股神经的牵拉,易于安全复位,纠正下肢不等长,改善患者自身的本体感觉,提高患者满意度。
(2)截骨时机(W when):Crowe Ⅳ DDH之截骨时机的选择要基于术前评估和术中判断,一般下肢延长4cm时需行股骨截骨术。术前评估若脱位高度超过了骨盆高度(两坐骨结节连线与两髂嵴连线之垂线)的1/2以上,即所谓的“高位脱位”时,术中截骨的可能性就会超过90%。对于单侧Crowe Ⅳ DDH为了恢复与对侧肢体等长,短缩截骨成为必然。对于低位Crowe Ⅳ DDH,即脱位的高度在骨盆高度(两坐骨结节连线与两髂嵴连线之垂线)的1/2以下,术中经过充分的软组织松解尚存在复位困难的应考虑股骨截骨。如果假体的设计已经达到了术中大范围调整前倾角的要求,为了减少手术步骤,缩短手术时间及减少出血,此时不建议去旋转截骨,短缩股骨才是截骨的目的。
(3)截骨部位(W where)及截骨方式(W which):Crowe Ⅳ DDH股骨截骨部位的选择一定要满足截骨目的,根据解剖位置分为:近端截骨(大粗隆、股骨矩、小粗隆)、转子下截骨及远端截骨等。截骨方式依据截骨线的不同分为:①近端:大粗隆单纯纵行滑移截骨、大粗隆纵行滑移结合股骨矩和小粗隆横行截骨、单纯股骨矩截骨和小粗隆横行截骨;②转子下:横行截骨、斜行截骨(斜行45°、斜行60°、斜行30°)、“Z”字形截骨、双“V”字形截骨;③股骨髁上:横行截骨。
Hartofilakidis等倾向股骨近端截骨,因为可直接纠正后置的大转子,但截骨后的大转子片段放置在皮质骨上愈合困难;残留股骨干通常不适合生物型假体,须用小号骨水泥股骨柄;如果截骨距离向下达到小转子水平,髂腰肌肌腱必须松解,可能影响髋关节屈曲力。因此,虽然目前尚无客观数据支持某一截骨方式,但多数研究倾向转子下截骨,其愈合率超过80%。转子下截骨可保留干骺端区域,提供股骨柄大部分旋转稳定性,恢复外展肌力臂并允许同时矫正内外翻和前倾畸形并允许在术中调整截骨长度。转子下横行截骨操作较容易,但截骨处接触面积小,假体远端旋转稳定性欠佳,可能出现截骨处失稳,影响截骨愈合。而“Z”字形截骨虽可提供较大的骨接触和旋转稳定性,但技术难度较大。因此,建议选择转子下斜行截骨(图4),其中45°斜行截骨更为合理,抬高或劈开一小段股外侧肌到达转子下区域,截骨位置距离大转子尖端10cm或小转子下2cm,同时具有横行截骨的操作简单以及“Z”字形截骨的增加截骨处的接触面积、具有防旋功能、利于截骨愈合等优点。
(4)截骨长度(H how long):Crowe Ⅳ DDH截骨长度的确定略微复杂和困难,有文献报道的截骨长度通常为3.1~5.0cm,Sener等提出截骨长度为股骨头高于其原始位置的高度减去3~4cm(不引起下肢神经损伤的距离)。但术前计划往往因为术中真实情况所改变,特别是软组织挛缩会严重影响截骨的长度,此时即使是低位脱位也要进行短缩截骨。因此无论术前计划如何,为了术中能够安全顺利复位,建议术中反复测试确定截骨长度,同时兼顾恢复肢体的等长。
(5)截骨处固定(H How tofix):Crowe Ⅳ DDH股骨短缩截骨处的旋转和轴向弯曲力可影响愈合,其稳定性与截骨方式和股骨假体类型[表面设计、结构、横断面形状(尤其截骨处)以及假体的刚度]有关。关于截骨方式,以转子下截骨为例,横行截骨的旋转稳定性不及Z型或其它复杂截骨方式,但都取得满意的临床结果。关于股骨假体类型,股骨柄须发挥髓内钉作用抵消弯曲应力和旋转力,Yasgur等主张使用骨水泥柄或生物型远端压配固定柄,通过股骨干压配(远端广泛的多孔涂层或防旋转凹槽)可实现旋转稳定性,某些假体本身(1st,wanger-cone,2ndtriangular,3rdS-ROM stem)会提供很可靠的髓内固定,此时可无需复杂的截骨方式或额外的同种异体骨支撑及钢缆固定即可获得充分固定。如果假体本身不能提供完美的固定,应该辅以钢板、钢丝、捆绑带或者截骨段劈开变成两块骨板结合钢丝、捆绑带固定。
六、恢复肢体等长的考虑
虽然THA的主要治疗目标是解除髋关节疼痛,但术后双下肢不等长是降低患者满意度的主要原因。恢复肢体等长是非常复杂的工程,受多种解剖因素、手术技术的局限以及术中判断的主观性等因素影响。Li等发现Crowe Ⅳ患者术前骨性不等长(大转子尖至踝关节中心)<5mm,与正常人群类似。因此,术前须测量解剖不等长和功能不等长,并在X线片上利用假体模板测量髋关节复位至真臼所需距离。Li等依据单双侧DDH以及是否合并骨盆倾斜或脊柱侧凸,将Crowe Ⅳ分为两大类(Ⅰ:单侧DDH,Ⅱ:双侧DDH)六小类:ⅠA(无骨盆倾斜和脊柱侧凸)、ⅠB(代偿性骨盆倾斜或脊柱侧凸)、ⅠC(固定性骨盆倾斜或脊柱侧凸);ⅡA(无骨盆倾斜和脊柱侧凸)、ⅡB(代偿性骨盆倾斜或脊柱侧凸)、ⅡC(固定性骨盆倾斜或脊柱侧凸),以单侧DDH为例,对于ⅠA和ⅠB宜将解剖不等长作为参考,对于ⅠC宜将功能不等长为参考,在不引起下肢神经损伤的基础上(下肢延长不超过4cm),平衡复位距离和下肢不等长,确定截骨长度,尽量恢复双下肢等长。
有研究显示多数Crowe Ⅳ DDH患者术后功能性不等长改善满意,Zhang等研究显示THA术后骨盆倾斜角和下肢不等长随时间推移而减小。但也有术后患侧反而长于健侧的情况,ⅠC组术前未以功能不等长为参考,术后结果显示骨性不等长增大(健侧长于患侧),但由于存在固定性骨盆倾斜及脊柱侧凸,患侧反而长于健侧(解剖不等长和功能不等长)。此外,Metcalfe等报道因单侧Crowe Ⅳ DDH行THA的患者术后同侧股骨长度较长,提醒术者术后较短的一侧可能会更长,对于此类患者可增加截骨量以减小功能不等长。
七、DDH继发问题的考虑
Crowe Ⅳ DDH常常继发脊柱侧凸、下腰背痛、膝关节外翻、外旋和前足外旋等,但目前,对是否需要处理?何时处理?尚没有明确的共识。临床经验提示,Crowe Ⅳ DDH患者就诊的主要原因是髋关节疼痛,功能问题位列第二位,美容问题在第三位,对于继发问题如严重的膝外翻或脊柱侧凸没有强烈的主观需求。此外,临床经验显示Crowe Ⅳ DDH全髋关节置换术后,相关的继发问题往往都得到不同程度的改善,其中改善最明显的是单侧Crowe Ⅳ DDH术后脊柱侧凸的纠正,因此不建议同期解决Crowe Ⅳ DDH相关的继发问题。
八、心理因素的干预
成人DDH多数为女性患者,男女比例为1∶6且1/4有家族史,其中Crowe Ⅳ DDH患者多数在45岁左右出现疼痛症状,此时女性正处于生理期已结束或者即将结束阶段,被所谓“更年期”所困扰,加之髋关节疼痛的困扰,会出现诸多心理问题,如果疾病诊断后被建议手术治疗,甚至“换关节”时,患者的心理负担会更加严重。她们会在更年期背景下,期待、烦躁、焦虑、恐惧、抑郁等并列存在,在此基础上,关注的问题不断的增加,例如:术后疼痛如何、术后功能如何、双下肢是否等长、假体的使用年限如何、切口的大小、术后功能练习的时间、术后步态的改善、局部切口的瘢痕问题等,而现实情况是双下肢不等长、术后疼痛等或多或少会存在。如果,严重的DDH即Crowe Ⅳ DDH膝关节外翻、前足外旋、步态等,可能存在不同程度的问题,特别是术后肢体不等长问题。关于不等长,医师和患者关注的重点是不同的,医师的关注点在于“解剖性等长”,即经过精细的术前设计、精准的手术操作、完美的假体安放达到的被术后双下肢全长前后位X线片证实的解剖学上的等长。患者关注的重点在于“功能性等长”即经过手术疼痛消失、功能改善、生活中特别是行走时不会因为跛行而被人关注。因此,解决这些问题的关键在于医护人员与患者的反复多次,特别是术者与患者的亲自沟通。虽然通过医护人员的不断沟通,这样的问题依然不同程度的存在,但是,随着时间的推移,患者手术结束后,经过康复训练、疼痛缓解或者消失、肢体长度恢复的时候,心理问题一定会渐渐消失。
总之,人工全髋关节置换术治疗成人Crowe Ⅳ髋关节发育不良已被证明取得了满意的临床效果,但由于髋臼侧和股骨侧病理解剖复杂多变、个体差异较大,年轻患者多发,并发症发生率高等因素,其治疗仍存在较多难点。在髋臼侧,常需将髋臼杯放置在真臼或接近真臼位置,并应用小尺寸臼杯。在股骨侧,由于近端髓腔狭窄、前倾角增大,常需选择组配式假体,为顺利复位并避免神经损伤常需行股骨截骨,并谨慎考虑截骨目的、截骨时机、截骨部位和方式、截骨长度及截骨处固定方式(4W2H)。软组织松解和平衡尤为重要,可延长下肢长度、减少股骨截骨,但需避免术后跛行、过度延长肢体造成神经损伤等问题。此外,其它因素如尽可能恢复双下肢等长、DDH继发问题、心理因素的适当干预也应慎重考虑。
本文引自:张德宝,刘凡,谷贵山. 人工全髋关节置换治疗成人Crowe Ⅳ型髋关节发育不良的要点. 中国骨与关节杂志. 2023,12(03):161-167



京公网安备11010502051256号