骨转移瘤并非恶性肿瘤的“终末期”
2023-04-11 我要说
来源:内蒙古医科大学第二附属医院 郭世炳 王玉鑫
研究显示,约60%~90%的晚期肿瘤患者会发生骨转移,尤其是乳腺癌、前列腺癌、肺癌、肾癌及多发性骨髓瘤等恶性肿瘤。随着恶性肿瘤诊疗水平的提高,新技术、新疗法的应用,如放射治疗、内分泌治疗、化疗、生物靶向治疗和免疫治疗等综合治疗的发展和进步,患者的生存期不断延长,骨转移瘤的发病率越来越高。
肢体骨转移瘤可引起疼痛、活动障碍、高钙血症、甚至病理性骨折,后者是导致骨转移瘤患者死亡的重要相关事件。脊柱转移瘤还会引起脊髓和神经根压迫症状,进而引起神经功能障碍甚至瘫痪,严重影响患者生存质量,加速死亡进程。
骨转移是许多肿瘤患者及家属害怕听到的消息。在很多人看来,一旦查出骨转移就意味着癌症发展到了终末期,已经“无药可医”。事实上,骨转移后需要积极给予外科治疗,骨转移瘤的治疗目的旨在缓解疼痛、恢复功能、提高生活质量,治疗骨相关事件。对于脊柱转移瘤外科治疗可以重建脊柱稳定性,改善神经功能,控制局部肿瘤病灶,更重要的是随着生活质量的提高,为患者接受放疗、化疗以及免疫治疗等其它治疗手段提供条件,甚至延长生命,也增加了患者战胜疾病的信心。相反,部分骨转移患者,特别是有骨折或脊髓压迫的病人如放弃外科治疗,也就失去了其它治疗的机会。
由于骨转移瘤的外科治疗还存在许多问题,特别是认识不统一,对于常人来说,癌症骨转移被认为是恶性肿瘤的“终末期”,采取“姑息性”全身治疗,甚至放弃治疗,觉得治疗也是人财两空。然而,随着骨肿瘤外科治疗技术和理念的进步,包括3D打印的不同个性化假体重建肢体功能、脊柱转移瘤全脊椎切除、肿瘤分离手术、微创治疗等手术方式的普及和应用,骨转移瘤外科治疗水平有了很大的提高。最新的临床研究表明相对积极的手术切除、合理的手术时机和方式直接影响患者的生活质量和生存时间,同时由于肿瘤的放化疗尤其是靶向治疗,免疫治疗和内分泌治疗的迅猛发展,使得骨转移瘤治疗在多学科协作的综合治疗模式下取得了令人欣喜的进步。
作为一名骨肿瘤医生,经历了一个个骨转移瘤患者从入院时的痛苦、对疾病预后的担心、家属的复杂心情,到患者治疗后下地行走、截瘫后肢体逐渐恢复活动、面带对后续治疗信心满满的心情离开病房出院,自己感到了莫大的欣慰。本文选择几种常见的癌症骨转移且生存期较长的3个病例治疗情况和大家分享。
病例一
女性,71岁。5年前诊断左肺腺癌,持续靶向药物治疗。1月前肺癌转移至胸椎、腰椎,继发恶性肿瘤导致下肢麻木、不全瘫痪。家人带着他来到我院骨肿瘤中心求助。
随后,骨肿瘤团队为患者做了肿瘤分离手术,切除了压迫脊髓的肿瘤,胸椎4、5、6椎体转移病灶射频消融骨水泥填充并用椎弓根螺钉将脊柱固定,第3腰椎椎体转移病灶射频消融骨水泥填充术。术后恢复情况良好,背部疼痛症状也已迅速缓解,术后第二天,瘫痪的肌肉也逐步有了恢复收缩活动,而且术后患者胃口大开,精神状态好。患者历经5年多的抗癌治疗后继发了脊柱转移致瘫痪,万念俱灰后,她重新感受到了下肢恢复的感觉和肌肉力量,现已顺利出院。

图1a 女,71岁。左肺腺癌靶向药物治疗5年。肺癌脊柱转移(T4-6,L3)。CT矢状位重建示T4-6、L3椎体及T6左侧椎弓根溶骨破坏

图1b MR显示T4-6椎体、T6左侧椎弓及L3椎体溶骨破坏,T1WI上为不均匀低信号,T2WI压脂上显示等低信号,周围骨髓水肿,其中T6椎体见斑片状双低信号,后方肿瘤压迫脊髓

图1c 胸椎6椎板减压、肿瘤切除、胸椎4-6椎体病灶射频消融骨水泥填充、椎弓根螺钉固定,L3椎体转移病灶射频消融骨水泥填充术,术后CT重建所见
图1d 视频:术后下肢功能恢复情况
扩展内容:在过去,肺癌的治疗手段非常局限,相应的治疗效果也非常惨淡。尽管有相当部分的患者可以活过一年,也可以活过三年,但绝大多数都活不过5年。
随着恶性肿瘤诊疗水平的提高,新技术、新疗法的应用,肺癌的治疗模式,跟之前完全不同,也带来了更好的治疗效果,实现肿瘤长期控制,甚至5年不复发的患者越来越多。从目前的数据来看,不管哪种肺癌,腺癌鳞癌甚至还是小细胞肺癌,只要我们早期发现,及时干预,都能实现相当不错的治疗效果,再搭配上随时间推进越来越多样的抗肿瘤治疗,这部分患者的治疗效果不管从哪个层面来看,都充满希望,在科学合理的随访方案和干预措施下,应该有超过一半的患者,可以实现再次的临床治愈效果。
由于肺癌患者5年生存率的提高,这也带来了新的问题,就是有更多的患者会要面对“骨转移”的难题。我国肺癌骨转移发生率大约为10%-15%,其中约46%的骨转移患者并发骨转移及骨相关事件(SREs)(根据《肺癌骨转移治疗专家共识(2019版)》,现在数据可能更高)。这些并发症带来的痛苦会极大挫伤患者的生存意志,严重的情况,如高钙血症、病理性骨折、脊髓压迫等,将使患者的生命迅速亮起红灯。患者发生骨转移时即为全身性疾病,应以全身治疗为主,其中化疗、靶向、免疫治疗的具体用药原则与治疗原发性肺癌时一致。
病例二
女性,68岁。因右髋部疼痛1年余,加重3月入院。患者于2018年因直肠癌行肿瘤切除术,术后系统化疗和靶向治疗,2021年发现右髋臼转移并行放疗,3月前右髋部疼痛加重,疼痛难忍,无法行走,卧床需专人陪护。
入院后经过系统检查,术前评估后建议手术治疗,经与患者及家属沟通后,采取了髋臼转移病灶射频消融骨水泥填充的姑息性手术,术后右下肢疼痛症状迅速缓解,患者由于长期卧床加疼痛,下肢肌肉萎缩、无力,经过康复锻炼能够扶拐行走,已顺利出院。但该患者由于没有彻底切除转移病灶,只是姑息性手术缓解了疼痛,如果术后其它治疗手段不及时可能很快复发。

图2a 女,68岁,直肠癌术后系统化疗和靶向治疗近5年。MR显示T1WI示右侧髋臼见片状模糊低信号骨破坏,T2WI压脂病变呈较明显高信号,外侧骨皮质破坏、毛糙,见细小垂直状骨膜增生,考虑直肠癌髋臼转移

图2b 右侧髋臼转移病灶射频消融骨水泥填充术后X片
图2c 视频:术后2周扶拐行走
扩展内容:
①直肠癌被认为是“懒癌”,手术治疗后可行化疗、靶向及免疫药物等多手段综合治疗,生存期长。该患直肠癌术后近5年,本次治疗后可根据基因检测确定所用靶向药物是否耐药而更换其它药物继续治疗。
②骨盆转移瘤外科治疗可根据病情、患者及家属意见、家庭经济状况等采取不同治疗措施,包括微创射频、微波消融骨水泥填充术,半骨盆切除假体重建术,骨盆病变部位切除旷置术等。
③对于这样一位生存期较长的患者,出现了骨转移,卧床需专人陪护,疼痛的夜不寝室,无食欲,通过姑息性手术,缓解了疼痛,随着下肢功能恢复和生活质量的提高,大大增加了病人后续抗癌治疗的信心。
病例三
男性,51岁。因右股骨干病理性骨折入院。患者于10年前行右肾恶性肿瘤切除术。入院诊断为右股骨干肾癌转移并病理性骨折,郭世炳教授骨肿瘤团队实施了瘤段切除3D打印节段性假体重建股骨干术。术后恢复较好,2周下地扶拐行走。

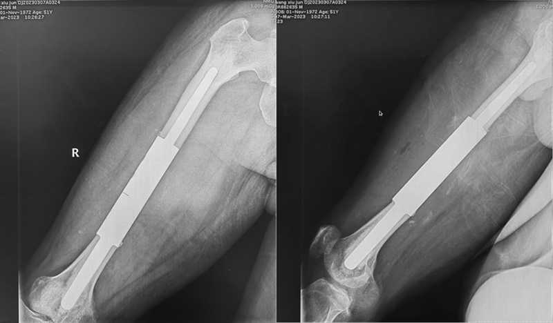
图3a 男,51岁,右肾癌切除术后10年股骨转移并病理性骨折,肺内多发转移

图3b 术后X正侧位
图3c 视频:术后2周下地扶拐行走
扩展内容:
①肾癌50%初诊时存在骨转移,50%发生在肾癌切除术后,骨转移表现为纯溶骨破坏,病理性骨折发生率高。放疗和化疗不敏感,手术是主要治疗方式,可显著延长患者生存期,整块切除可明显降低病灶内手术复发率,抗血管生成靶向药物明显延长生存期(VEGFR-TKI)。
②本例患者尽管有肺转移,术后病理基因检测表明,具有强临床意义的变异(Ⅰ类变异)未发现相关突变位点,但是具有潜在临床意义的变异(Ⅱ类变异)VHL突变,可用依维莫司药物治疗。
作者简介

郭世炳
内蒙古医科大学第二附属医院骨病骨肿瘤中心学科带头人,主任医师,二级教授,硕士研究生导师。
任中华医学会骨科学分会骨肿瘤学组委员;中国医药教育协会骨与软组织肿瘤专业委员会常务委员;中国医师协会骨科医师分会骨肿瘤和四肢骨肿瘤工作组委员;中西医结合学会骨伤科分会骨肿瘤委员会委员;中国医促会骨科学分会骨肿瘤学组委员;中国OSCG骨肿瘤专委会委员;中国抗癌协会骨肿瘤和骨转移瘤专业委员会委员、肉瘤专业委员会委员、软组织肉瘤专业委员会委员;中国抗癌协会肉瘤专业委员会骨盆肿瘤学组委员、骨转移瘤学组委员、基础研究学组委员;中国老年学和老年医学医学学会老年骨科分会骨肿瘤学组委员;内蒙古医学会骨科学分会常务委员、骨肿瘤学组组长、内蒙古医师协会骨科医师分会骨肿瘤学组副主任委员等。
国家自然科学基金项目通讯评审专家;主持国家自然科学基金3项。

王玉鑫
内蒙古医科大学第二附属医院骨病骨肿瘤中心,主治医师,硕士研究生。
2013年毕业于内蒙古医科大学,从事骨与软组织肿瘤专业临床科研工作近十年,发表核心期刊论著著作2篇,参与国家自然科学基金四项,获得内蒙古自治区科学技术进步二等奖一项,多次参加国内学术会议并大会发言。
现任职中国抗癌协会骨肿瘤和骨转移瘤专业委员会青年学组委员,内蒙古医学会骨科学分会骨肿瘤学组委员,内蒙古医师协会骨科医师分会骨肿瘤学组委员,2017年北京积水潭医院骨肿瘤科进修学习,2021年北京大学人民医院骨肿瘤科进修学习,积累了丰富的临床经验。



京公网安备11010502051256号