病例分享|单髁置换术中内侧副韧带损伤1例
2023-05-30 文章来源:延安大学附属医院关节外科 作者:张建林,武政,王磊,钟镇阳 我要说
病例分享|单髁置换术中内侧副韧带损伤1例
作者:张建林,武政,王磊,钟镇阳
膝单髁置换术(UKA)已成为继全膝关节置换术(TKA)后治疗膝骨关节炎最常用的术式之一,创伤小、保留自身骨量多、术后恢复快的特点使其在全球范围内大规模应用于临床并取得满意疗效。UKA术中内侧副韧带损伤的并发症比较少见,但后果严重。本篇报道一例内侧UKA术中内侧副韧带损伤病例。
一、病例资料
一般资料
患者,女,49岁,农民,以“双膝部内侧疼痛4年,加重1年”入院。患者4年前出现双膝部内侧疼痛,以劳动后为著,休息后疼痛可部分缓解。近1年来疼痛明显加重,已严重影响日常生活。当地县医院曾给予输液、局部外用膏药等对症保守治疗,症状无明显好转,遂至延安大学附属医院就诊。双膝关节正侧位X线片提示双膝退行性骨关节病。收治入院。患者既往体健。
入院检查
患者肥胖体形,身高145cm,体重72kg,体重指数34.2kg/m2,双膝部稍肿胀,局部皮肤完整,皮肤颜色、温度正常,双膝关节内侧膝关节间隙压痛明显,双膝关节活动度0°~140°,双下肢肌力及肌张力正常,双膝磨髌试验(−),过伸过屈试验(+),抽屉实验(−),侧方应力试验(−),麦氏试验(+),双下肢末梢血液循环及感觉未见明显异常,足背动脉均可触及。X线检查显示双膝内侧关节间隙减小(图1)。


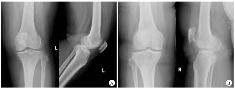
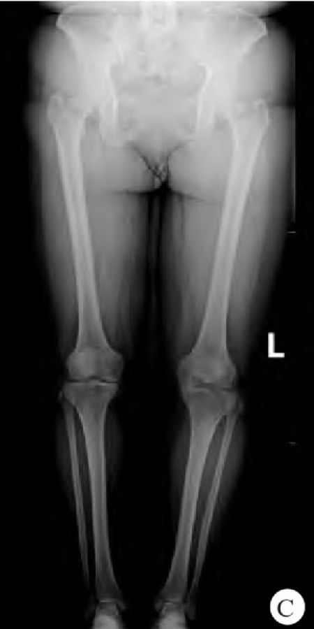
图1 患者术前X线表现
A. 左膝关节正、侧位X线片显示左膝关节内侧间隙明显减小;B. 右膝关节正、侧位X线片显示右膝关节内侧间隙明显减小;C. 双下肢全长正位X线片显示双膝关节内侧间隙明显减小,左膝内侧间室已骨对骨摩擦。
入院后实验室检查血常规、红细胞沉降率及C反应蛋白、超敏C反应蛋白、降钙素原、白细胞介素6水平等排除潜在感染可能,并进行心电图、心脏超声检查、胸部X线检查等相关辅助检查排除手术禁忌。
手术治疗
先进行右膝关节内侧UKA,1周后进行左膝关节内侧UKA,其中左膝关节内侧UKA术中内侧副韧带损伤。患者取仰卧位,左下肢屈曲90°。取左膝前髌内侧纵行手术切口长约8cm,依次切开皮肤及皮下组织,切开关节囊,见关节腔少量积液。切除部分脂肪垫,探查见左膝内侧半月板退变明显,股骨内髁及内侧平台软骨面Ⅳ度损伤,前后交叉韧带完整,外侧关节面正常。去除股骨内侧髁及内侧胫骨平台骨赘,切除部分内侧半月板,继续安放胫骨截骨板及截骨力线杆。行胫骨截骨约6mm,后倾5°,完整取出内侧平台骨块。对比试模确认胫骨假体大小为B号胫骨假体。试模满意后,进行股骨内髁试模(为小号)及定位。定位满意后,进行股骨内髁钻孔及去除股骨内髁试模关节面,彻底切除内侧半月板。再次安放股骨及胫骨试模,测量屈伸间隙时发现屈曲及伸直间隙明显增大,8mm衬垫试模仍不稳定。探查内侧副韧带发现近止点处横断损伤,并有部分缺失。考虑切除内侧半月板时同时切除了少量内侧副韧带(图2),直接缝合张力过大,缝合困难。遂用一枚带线锚钉加强缝合内侧副韧带。再次用5mm衬垫试模,膝关节稳定无撞击。取出试模,聚维酮碘、生理盐水反复冲洗,擦干后,用骨水泥固定假体。屈曲膝关节45°,保持骨水泥固化。清除多余骨水泥,待骨水泥完全固化后,为保证膝关节稳定性,安放6mm单髁半月板衬垫。再次测屈伸间隙及屈伸活动正常,膝关节稳定无撞击,X线透视见假体位置合适。放置引流管一根,屈膝位逐层缝合切口,加压包扎切口。气压止血带放气。并给予患者支具固定。术中出血约60mL,手术历时约90min,术后安全返回病房。

图2 术中损伤的内侧副韧带(箭头所示)
术后第二天,患者拔除引流管后佩戴铰链支具下地部分负重行走,并开始直腿抬高肌力康复训练。术后应用抗生素1d,口服利伐沙班片2周,预防深静脉血栓形成。嘱患者左下肢佩戴支具固定6周,并在佩戴铰链支具的保护下适当进行屈伸功能锻炼。
临床随访
术后6周随访,患者双下肢可完全负重行走,右膝关节活动度0°~135°,左膝关节活动度0°~90°,左膝关节外翻试验(−),X线检查显示假体位置良好,膝关节外翻试验下进行X线检查,显示膝关节稳定(图3)。

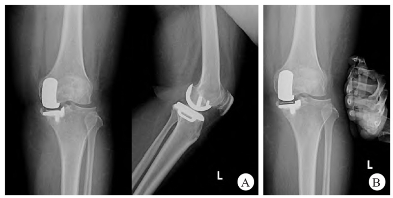
图3 患者术后6 周左膝关节X线表现
A. 左膝关节正、侧位X线片可见假体位置良好;B. 膝关节外翻试验下左膝关节正位X线片显示膝关节内侧间隙未过度张开,内侧副韧带功能正常。
二、讨论
内侧副韧带的解剖
内侧副韧带由浅层及深层组成,主要维持膝关节内侧的稳定。浅层为胫侧副韧带,深层由关节囊增厚部分、半月板外侧移行共同形成。与TKA通过截骨与松解软组织找到间隙平衡不同,UKA通过截骨主要取得屈伸间隙平衡,不涉及膝关节内外间隙平衡,几乎不松解内侧软组织,故通常损伤的是内侧副韧带深层。有文献报道,膝关节无论在伸直、屈曲及活动过程中,内侧副韧带均对其稳定性有重要作用,内侧副韧带损伤、功能缺失时,膝关节外翻应力时内侧关节间隙可增加3~5mm。
内侧副韧带损伤的发生率
UKA术后可能发生的并发症包括衬垫脱位、无菌性松动、聚乙烯衬垫磨损、假体周围骨折、关节炎进展至对侧间隙、感染、骨植入物撞击、膝关节强直、膝关节复发性血肿、关节内骨水泥碎片残留,持续疼痛等。内侧副韧带损伤较为罕见。
内侧副韧带损伤的原因
内侧副韧带损伤的发生与患者本身条件、术中操作等相关。截骨时内侧副韧带拉钩摆放位置不当、拉钩力量太大均有可能致使内侧副韧带损伤,摆锯使用不当、摆锯保养不佳导致其摆动过大也可能使内侧副韧带损伤,尤其如肥胖且骨质较硬的患者,暴露不清,更容易损伤。一些患者胫骨平台内缘骨质增生明显,去除这些骨赘时,不恰当的操作也会导致内侧副韧带损伤,甚至断裂。另外,假体试模放置困难、放置时力量过大时均可以造成内侧副韧带损伤。
有学者认为胫骨内侧平台骨质增生明显的患者,内侧副韧带长期受到摩擦导致韧带变性脆化,在非暴力常规操作时也可出现韧带断裂。最后,内侧副韧带深层、关节囊及内侧半月板外缘融为一体,在去除内侧半月板时如切割得太过彻底,容易误切到内侧副韧带,造成内侧副韧带的断裂或部分缺失。若在胫骨平台截骨后,或内侧半月板切除后,发现内侧间室突然暴露明显,或用衬垫试模测量屈伸间隙时发现比理论厚度增加很多,探查时不能触摸到内侧副韧带的连续性及张力,通常内侧副韧带已经损伤。
内侧副韧带损伤的治疗
内侧副韧带损伤传统的治疗方法为转为TKA,必要时使用限制性膝关节假体。一些学者认为,在出现内侧副韧带损伤或断裂,膝关节出现不稳,可应用限制性假体来确保关节稳定性。限制性假体由于其设计特点,应用后可立即获得关节稳定性,避免了术后膝关节固定而导致的膝关节僵硬等功能不良。
有文献报道应用限制性假体来替代内侧副韧带修复的方法来提供膝关节稳定性,随访获得了良好的临床疗效。但限制性膝关节假体设计本身决定了其会加速衬垫的磨损,明显增加无菌性松动发生的概率。最后,限制性假体不利于患者本身骨量的保留,如果患者需再次翻修,这会使翻修变得十分困难。而且限制性假体一般价格昂贵,手术更加复杂。综合这些因素,此方案并未被大多数临床医师选择。
一些研究表明,内侧副韧带在损伤后具有很高的愈合潜力,有学者报道,不对损伤的内侧副韧带进行特殊处理,单纯保守治疗也可以取得满意的临床结果。
也有研究表明,对于内侧副韧带无明显缺损的患者可采用断端缝合进行治疗,韧带止点撕脱的患者采用带线锚钉进行固定。对于术中内侧副韧带损伤伴有较大缺损的,断端缝合困难,勉强缝合可能取得满意的效果。一些学者利用自体组织进行内侧副韧带损伤后的加强缝合。
本例患者体形肥胖,术中内侧软组织遮挡,视野较差。为了达到更好的视野,并防止术后残留半月板与假体长期摩擦,避免产生疼痛及不适,在处理内侧半月板时力求彻底切除。但此处内侧副韧带深层、关节囊及内侧半月板外缘融为一体,彻底切除半月板时造成内侧副韧带损伤。内侧副韧带损伤部位靠近支点,且直接缝合困难,遂采用带线锚钉进行加强缝合。缝合后再次用衬垫试模进行屈伸间隙测量,发现膝关节稳定。虽然患者膝关节获得了较好的稳定性,但长时间佩戴支具仍部分限制了膝关节早期屈伸功能的正常锻炼,至6周随访时,患者仍有一定的屈曲受限。
内侧副韧带是膝关节最重要的结构之一,尤其对于内侧UKA,其显著影响膝关节及植入物的稳定性。所以临床医师在手术过程中应尽最大努力保护内侧副韧带。一旦造成内侧副韧带损伤,虽然目前有众多治疗方法,但无论采取何种治疗方法,都会对患者造成手术的复杂化,术后康复的延迟、困难或经济负担增加。所以,笔者建议,在严格规范、尽量轻柔操作的基础上,切除内侧半月板时可保留1mm的厚度,以确保不会损伤内侧副韧带。预防才是最好的“治疗”方法。
引用格式:张建林, 武政, 王磊, 等. 内侧膝单髁置换术中内侧副韧带损伤1 例报道及文献复习[J]. 中华骨与关节外科杂志, 2023, 16(3): 261-264.



京公网安备11010502051256号