浅析前交叉韧带保残重建技术
2023-07-19 文章来源:天津市天津医院 作者:陈德生 我要说
浅析前交叉韧带保残重建技术
来源:天津市天津医院
作者:陈德生
前交叉韧带(Anterior Cruciate Ligaments,ACL)断裂的发病率约为1/3000,足球运动员发生率为60/10万,我国现役运动员的普查发现,前交叉韧带断裂的发病率为0.43%。容易发生交叉韧带断裂的人群包括从事有身体冲撞、高速度的运动、一些落地不稳的群众性运动人群以及高能量的交通事故中的行人等。

动图
前交叉韧带断裂的主要原因是运动损伤,约占70%以上;非运动损伤,包括交通伤、生产生活意外伤,约占27%。
前交叉韧带断裂分类:
急性(新鲜伤)受伤时间在3周以内的前十字韧带断裂;
亚急性受伤时间在3周到3个月的前十字韧带断裂;
陈旧性受伤时间在3个月以上的前十字韧带断裂。

视频1
交叉韧带重建理念与技术的变迁:等长-解剖-类等长-功能束重建-“I.D.E.A.L”。三位外科医生在ACL重建领域加起来拥有70年的临床和研究经验。作为一个团队,他们对大量ACL重建解剖学,组织学,生物力学和临床数据进行了全面研究,并推荐使用首字母缩略词“I.D.E.A.L”作为描述完成股骨隧道指南的缩写术语。

I.D.E.A.L. femoral tunnel location (黑色圆圈位置为理想股骨骨道位置)。

视频2:非保残ACL-R,清理残端
视频3:保残ACL-R,残端保留
ACL无血管组织,韧带滑膜中营养血管在ACL远端、近端血管在韧带表面滑膜中形成血管丛营养韧带。
ACL除胶原外还有纤维母细胞,沿长轴分布于纤维之间,纤维母细胞主要分布在ACL胫骨端1/3前部(伸直位“生理性撞击”)。
ACL神经支配,神经纤维主要分布在ACL滑膜下和附着点部位,韧带附着点和表面存在大量Golgi样张力感受器,Ruffini小体、Pacinian小体和等机械感受器,韧带内部还存在少量机械性感受器,分布于韧带近胫骨部分,参与膝关节本体感觉传入。

Junkin等研究发现,ACL 损伤后可导致膝关节不稳定,本体感觉下降。ACL不仅是一个机械结构,也是一个本体感觉器官。

ACL保残重建,可以恢复机械稳定性,恢复本体感觉。
ACL保残重建,以韧带残余为ACL-R的位点的重要参考,贯彻“I.D.E.A.L”理念。
ACL保残重建,可以将移植物包裹住,封闭移植物与韧带之间的腔隙,避免出现关节内液体对肌腱及隧道形成的雨刷效应,能够利于愈合,防止ACL术后隧道扩大。
ACL保残重建,可以最大限度的解剖重建ACL。

Ochi等发现ACL损伤后均有残留纤维,其中10%的ACL残留纤维较多,可满足保残重建的需求。
MRI检查评估ACL-R术后——韧带连续性信号好、方向好、愈合快,没有Cyclops综合征。

Nakamae等根据ACL损伤后残端的状况将其分为5种类型:
Ⅰ型,残端附着在后交叉韧带(posterior cruciate ligament,PCL)上,股骨外侧髁内壁空虚;
Ⅱ型,残端附着在髁间窝顶部, 股骨外髁的内壁空虚;
Ⅲ型,残端附着在股骨外髁内壁,ACL 原止点空虚;
Ⅳ型,ACL残端完全吸收为残根;
Ⅴ型,ACL的某一束损伤,而另一束存留。
保残重建关节镜下分型:
将保残重建分为保留残束、残端和残根3种类型。
残束:是指ACL的前内侧束或后外侧束的某一束损伤,而另一束的解剖结构 还存在;
残端:是指 ACL 在股骨附着点撕脱后,仍然保留 ACL 的基本形体和长度但没有张力;
残根:是指损伤后 ACL 断端吸收或缺如,有的在胫骨止点留有ACL的残迹。
典型病例,张X,男,18岁,因扭伤致左膝关节疼痛伴活动受限1月余入院。
诊断:1.左膝前交叉韧带损伤;2.左膝外侧半月板损伤合并囊肿。
手术方案:左膝关节镜下清理、滑膜切除、外侧半月板部分切除成形、前交叉韧带重建术。


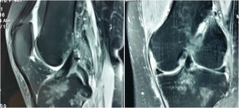
术前X线



术前MRI
视频4:查体

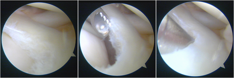
镜下显示ACL残束

内侧半月板

外侧半月板

股骨侧保残骨道建立

股骨侧骨道建立,椭圆形扩孔保残9mm

韧带导入过程

送止血带后韧带表明血管膜

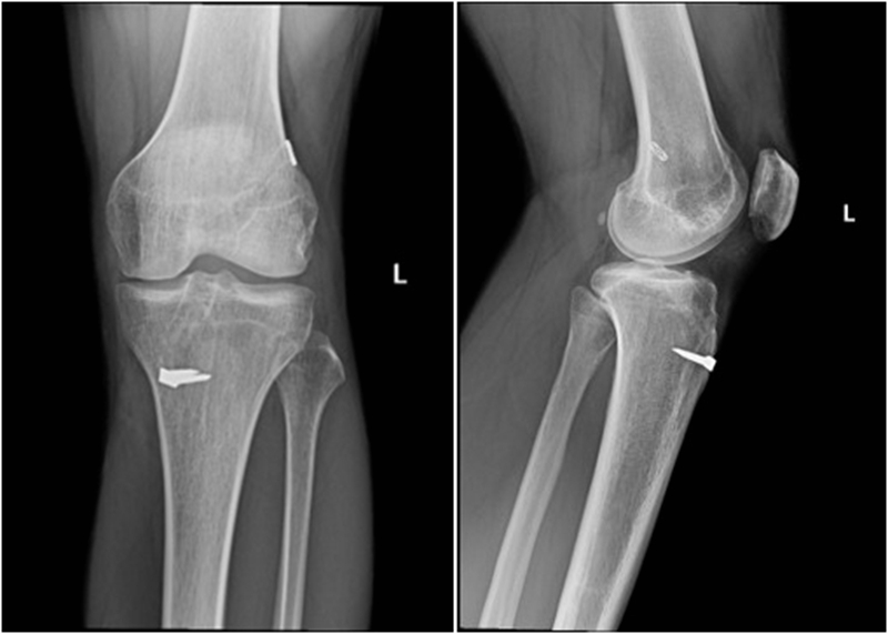
术后X线

术后MRI
2019年关于前叉保残重建的荟萃分析研究,纳入了2000至2018年12月10日,随访时间超过1年的11篇文章,保残重建能够促进移植物血供和滑膜覆盖,但对膝关节稳定性和术后效果与单纯前叉韧带重建的效果无明显差异。

小结
随着对于保残重建的认识加深,随访研究也的确发现ACL重建过程中保留残端具有以下优点:
保留ACL残端可以提供更好的初始稳定性;
为移植物提供血供,加快血管化和韧带化进程;
提供更加清晰的解剖位置;
增强患者术后的本体感觉;
降低胫骨隧道的扩大;
但保残重建同样也具有相应的缺陷性,如保残重建具有造成股骨髁间窝撞击,同样还存在出现Cyclops 综合征的可能。
总的来说,ACL保残重建可以提供更好的生物力学、血供、本体感觉、稳定和维持移植物隧道、促进愈合等优点。所以越来越多的术者对于ACL损伤患者选择行保残重建,并提出了不同重建方式。
作者简介
陈德生,教授,主任医师,医学硕士,硕士生导师。天津市天津医院运动损伤与关节镜科学科带头人、科室行政主任。
学术兼职:中华医学会运动医疗分会委员及上肢运动创伤学组委员,中国医师协会运动医学医师分会常委、内镜医师分会关节镜专委会常委及骨科医师分会保膝学组委员,中国中西医结合学会骨伤科分会保膝专家工作委员会副主委,中国医药教育协会肩肘运动医学分会常委、肩肘运动医学规范化培训环渤海中心主委,中国老年保健协会骨关节保护与健康分会常委及微创保膝专家组组长,中国老年学和老年医学学会老年骨科分会保膝学组副组长,中国研究型医院学会骨科创新与转化分会委员,天津市医学会骨科学分会关节镜学组组长及运动医疗分会副主委,《中国骨与关节杂志》编委等。



京公网安备11010502051256号