膝关节股骨内侧髁自发性骨坏死的阶梯治疗
2023-09-15 文章来源:广东省中医院运动医学科 作者:潘建科,杨伟毅 我要说
膝关节股骨内侧髁自发性骨坏死的阶梯治疗
作者:潘建科,杨伟毅
来源:广东省中医院运动医学科

膝关节自发性骨坏死(spontaneous osteonecrosis of the knee,SONK)是指发生于股骨内侧髁负重面深层、原因不明的局部骨坏死,也可发生于股骨外侧髁或胫骨平台,在1968年由Ahlback等首先描述。

病理显示软骨下不完全骨折或局灶性软骨下骨坏死
SONK临床特征
SONK的主要症状表现为有明确定位于病变区的突发膝关节疼痛,疼痛多局限于膝关节内侧,负重时加重,休息可缓解,常有夜间静息痛,病程一般较短。患者通常无酗酒、使用激素及血液病等已知的骨坏死诱因及无手术史。

流行病学
Pape等通过MRI的流行病学调查,发现年龄大于65岁,没明确外伤史,突发的膝关节内侧疼痛,诊断为SONK的病人达到9.4%。

建议老年病人突发的膝关节疼痛,X光检查未见明显异常时,如症状持续不能缓解大于6周,建议行MRI检查,此时可以发现早期的SONK。但是通常不建议使用关节镜检查诊断该病。
国内有研究报道该病患者多为55岁以上,男女比例为1∶3,50岁以上人群发病率3.4%。

印度一项报道男性比女性发病率高,达60%,与西方和东亚人口相比,在印度的发病年龄较早,平均50岁。


影像学分及期
X线+MRI:通过测量正位X线片和MRI判断坏死区域的大小。
目前SONK诊断最常用的分期方法是1979年Koshino提出的分期法。Koshino分期基于临床和影像学的结果,将SONK分为四个阶段:
Ⅰ期:患者有膝关节症状,但影像学正常;
Ⅱ期:X线显示负重区变平,软骨下信号升高,周围有骨硬化;
Ⅲ期:受影响区域扩大和软骨下塌陷;
Ⅳ期:病变周围骨硬化和髁突周围骨赘形成的退行性阶段。

1979年Koshino分期


治疗方案
治疗分为保守治疗和手术治疗。保守治疗包括药物治疗(NSAIDS、双磷酸盐、地舒单抗、钙剂)及避免负重等。
手术治疗包括关节镜下髓芯减压术、自体软骨移植术、HTO、关节置换术(UKA、TKA)。


1、病因
SONK的真正病因尚不清楚,目前主要3种学说:①创伤源性理论,股骨髁在机械应力作用下发生软骨下区微骨折;②血管源性理论,股骨髁血供中断导致局部血液循环障碍;③应力源性理论,半月板损伤、突出和膝内翻。


①创伤源性理论:
认为由创伤因素导致的软骨下微骨折,进而造成水肿引起骨髓腔的压力增高,继而导致局部缺血,最终引起骨坏死。文献报道只有不到10%的患者有创伤史。

②血管源性理论:
各种原因导致微循环的继发性血栓形成,导致血管闭塞引起骨髓水肿,致使骨内压力增高和骨缺血,继而出现骨坏死。
一项研究表明,52%(13/25)患者中血栓形成相关因子水平异常,其中以高纤维蛋白原最为突出)。

另一项结果中,32例患者的因子ⅤLeiden和凝血酶原20210A基因发生率更高。这两种基因突变会引起凝血功能异常而更容易形成血栓,造成膝关节软骨下骨循环障碍而出现坏死。

2014年的一项研究中,在6名Ⅱ期SONK患者均患有血栓形成倾向,其中4名同时患有低纤维蛋白溶解,接受依诺肝素治疗的易血栓性低纤溶性患者没有出现塌陷或进展为严重的骨关节炎,并且大多数患者的疼痛得到缓解并恢复了全部功能。

③应力源性理论:
关于SONK与内侧半月板损伤,在一项研究中,关节造影检查27个SONK膝关节中发现有21个(78%)半月板撕裂,半月板碎片边缘的应力集中可能导致股骨髁缺血性坏死。

表明老年患者通过关节造影早期发现内侧半月板撕裂并及时治疗,对于避免“自发性”骨坏死的晚期变化可能很重要。

另一项研究纳入26篇文章,其中有21篇(80.7%)涉及半月板在SONK发展中的作用,启示SONK与半月板撕裂或半月板切除术后的发展有关,而内侧半月板撕裂、后根撕裂更常见。


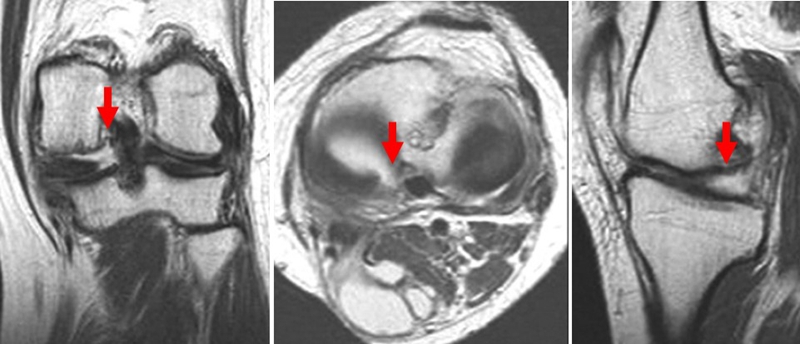
SONK与内侧半月板后根部损伤,有国外学者在SONK患者中通过MRI及关节镜检查,常可发现合并内侧半月板后根部的撕裂,该发生率可达到80%(24/30), 15例完全撕裂,9例部分撕裂。结果表明SONK可能与内侧半月板后根部撕裂后,导致股骨负重区的应力集中、软骨下骨髓水肿有关。


对于半月板损伤类型对SONK的影响,一项研究结果显示内侧半月板后根部撕裂组的半月板突出率为46.1%,平均坏死面积为423.1mm2。内侧半月板后角水平裂组的半月板突出率为35.3%,平均坏死面积为175.8mm2。

与内侧半月板后角水平撕裂相比,后根撕裂将导致更大程度的突出和更广泛的骨坏死。


SONK与内侧半月板突出的相关研究中,100%(104)SONK中都有半月板突出,4个SONK在发病前因膝关节疼痛体检发现半月板突出,几个月后通过MRI检查显示存在 SONK。

研究证明半月板挤压是SONK的发病机制之一,半月板挤压的进展可能与SONK的发展有关。

关于SONK与下肢力线的关系,一项研究结果显示SONK组MPTA畸形比OA组更大,高达约1.5°,SONK组JLCA也显著高于OA组。

提示胫骨近端内翻畸形和膝关节松弛,有助于诱发SONK,SONK骨软骨病变的大小受胫骨近端内翻畸形的影响。临床中MPTA小于 84°且伴有急性膝关节疼痛应尽快MRI检查。

国内一项研究纳入内侧半月板损伤患者97例,男40例,女57例,年龄32~66岁,通过MRI测量半月板外突>3mm者38例,无半月板外突者59例。膝内翻患者半月板突出的发生率为89%,半月板根部撕裂患者半月板突出的发生率为78%,证明膝内翻、内侧半月板根部撕裂是造成内侧半月板突出的主要危险因素。

膝内翻 内侧半月板根部撕裂

应力源性理论
综上,影响方案选择的因素包括分期、力线、半月板损伤、影像学评估几方面。
关于影像学评估与SONK的预后的关系,多项研究表明小于3.5cm2的小坏死病变可进行保守治疗,在冠状位X片上5cm2软骨下病变面积作为预测预后不良和高风险进展的临界值,前后位X片坏死区>50%髁,会迅速塌陷,病变范围很大(>40%髁/前后位X 片)或有早期骨关节炎的影像表现,保守欠佳。

早期(3月内)内侧半月板相对挤压百分比≥33%,是SONK发病1年后预后不良的预测指标,MRI检查没有局灶性轮廓塌陷和髁深处没有低信号线(隔离带),预后好,股胫角>180°(下肢力线内翻>6°)和MRI上深度>20mm 预示SONK患者症状发作后1年预后不良。

内侧半月板挤压(MME)以绝对值和挤压相对百分比 (RPE) 的形式呈现,其定义为挤压半月板宽度与整个半月板宽度相比的百分比

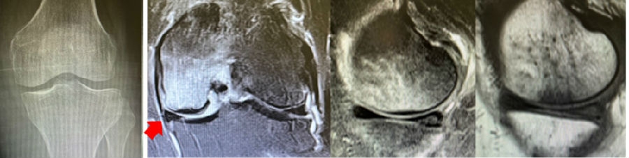
a.患者,59岁女性,AP侧位片显示SONKⅠ期,FTA<180°;b.MRI T2显示病变深度<20mm,患者出现症状1年后保守治疗;c.75岁女性,X线显示SONKⅠ期,FTA>180°;d. MRI T2显示病变深度>20mm,患者于症状出现后11周行手术治疗

影响保守治疗效果的因素
2、治疗方案的选择
(1)Koshino Ⅰ期 SONK
建议保守治疗,具体方案包括选择消炎止痛药物、抗骨质疏松药物(钙剂、骨化三醇、唑来膦酸钠注射液/地舒单抗注射液)、避免负重及支架保护等方法。

病例:女,65岁,主诉左膝关节内侧疼痛2月余。2017年11月X光未见左膝骨质异常。MR见股骨内侧髁骨坏死,半月板相对突出百分比(RPE)28.3%,合并内侧半月板后根部撕裂,矢状位病变区域前后径为11.67mm,关节线会聚角2.68°

予消炎止痛药物口服、静滴唑来膦酸钠注射液,避免负重6周,后改部分负重,12周后全负重。
2018年2月复查MR见骨髓水肿明显吸收,坏死灶边界清晰,半月板相对突出百分比(RPE)28.92%
2018年6月复查MR见骨髓水肿基本完全吸收,坏死区修复良好,半月板相对突出百分比(RPE)38.54%,患者临床症状消失。


提示坏死好转了,但半月板突出进展了,膝关节的退变加重了。
(2)Koshino Ⅱ期 SONK
优先选择保守治疗方案,或在保守治疗方案的基础上配合行钻孔减压术,由于Koshino Ⅱ期的关节软骨仍相对完整,借助间充质细胞的重建作用及钻孔后骨内压力的降低,在该期仍可取得满意的疗效。
如果保守治疗3个月后症状没有减轻或MR上没有改善时,患者同时存在5个因素中的任一个,则应考虑行手术治疗,选择膝关节镜+自体骨软骨移植术(当患者下肢力线内翻<3°时)、膝关节镜+HTO术、或膝关节镜+HTO+坏死区病灶刮除+自体植骨术。
病例1:女,65岁,主诉右膝关节内侧疼痛1周。2018年1月X光未见右膝骨质异常,MR检查见股骨内侧髁骨坏死,半月板相对突出百分比(RPE)28.99%,关节线会聚角1.4°。

予切开行克氏针钻孔减压,口服消炎止痛药物、钙剂及骨化三醇,不负重6周,后改部分负重至3个月。2018年4月复查MR见骨髓水肿基本完全吸收,坏死区局限并修复良好,半月板相对突出百分比(RPE)32.08%,患者临床症状消失。

病例2:女,69岁,主诉左膝关节内侧疼痛1月余。2017年11月X光见右膝股骨髁负重区的软骨下区域出现了椭圆形透亮影,MR检查见股骨内侧髁骨坏死,合并内侧半月板外突和后角层裂,半月板相对突出百分比(RPE)25.32%,矢状位病变区域前后径为23.96mm,关节线会聚角6°。

予克氏针钻减压,消炎止痛药物口服、静滴唑来膦酸钠注射液,避免负重6周,后改部分负重至3个月,患者依从性差。2018年1月复查MR见骨髓水肿少许吸收,坏死区扩大,半月板相对突出百分比(RPE)33.53%,矢状位病变区域前后径为26.89mm,患者仍有膝关节疼痛症状,建议行手术治疗,患者拒绝手术后失访。

病例3:男,70岁,主诉右膝关节疼痛1年余。查体右膝无肿胀畸形,膝活动度0-120°,内侧间隙压痛。


已经累及44%的股骨内侧髁病变,半月板轻度突出,内侧后角水平撕裂

MRI上深度>20mm

治疗选择保守还是手术?

保守治疗4个月后复查

保守治疗后效果欠佳,坏死范围扩大、塌陷

翻修手术选择截骨矫形还是单髁置换?

最终选择截骨矫形

术后1年1个月
视频1 自由行走,临床效果佳
视频2 术后1年6个月,自由行走,临床效果佳

术后2年1个月拆钉
视频3 关节镜探查+拆钉,外侧间室 Outerbridge Ⅱ度
视频4 内侧间室 Outerbridge Ⅲ-Ⅳ度

内侧半月板突出未见明显进展
(3)Koshino Ⅲ期 SONK
需在考虑5个因素的基础上,同时兼顾考虑年龄、性别和活跃程度,分别选择用膝关节镜+自体骨软骨移植术(当患者下肢力线内翻<3°时)膝关节镜+HTO术+微骨折术、膝关节镜+HTO+坏死区病灶刮除+自体植骨术或单髁置换术。
病例1:女,61岁,右膝关节诊断为Koshino Ⅲ期SONK,行右膝内侧单髁手术治疗。

(4)Koshino Ⅳ期SONK
由于存在继发退行性改变,一般不建议单纯行膝关节镜+自体骨软骨移植术。需在考虑5个因素的基础上兼顾患者年龄、性别和活跃程度,分别选择膝关节镜+HTO术+微骨折术、膝关节镜+HTO+坏死区病灶刮除+自体植骨术或单髁置换术。对于合并症状性髌股关节炎、外翻畸形、坏死区范围大影响单髁假体稳定性等的Koshino Ⅳ期膝关节股骨内侧髁SONK,采用全膝关节置换术。
病例1:男,64岁,主诉左膝关节内侧疼痛6年余。MR提示骨坏死区占比为33.28%,矢状位病变区域前后径为26.42mm,半月板相对突出百分比(RPE)31.78%,同时存在胫骨侧来源的下肢内翻畸形(MPTA83°),关节线会聚角2°。
行关节镜检查+软骨摘除+微骨折+HTO术,术后随访2年恢复良好,活动自如,行走时无左膝关节疼痛不适。

病例2:女,81岁,行内侧单髁手术治疗,术后恢复良好。

综上,膝关节股骨内侧髁自发性骨坏死的阶梯治疗应遵循下图的治疗原则。

膝关节股骨内侧髁自发性骨坏死的阶梯治疗
小结
1、对突发的膝关节疼痛,X光检查未见明显异常时,如症状持续不能缓解,建议尽早行MRI检查。SONK早诊断、早治疗、预后好。
2、SONK的阶梯治疗中,应该重视应力源性理论,综合考虑分期、半月板损伤、半月板突出、下肢力线、坏死范围及坏死深度等因素。
3、抗骨质疏松药物对SONK具有重要的作用,尤其是Ⅰ、Ⅱ期的患者。
参考文献:
[1] JRGR M,et al.Stress fractures:pathophysiology,clinical presentation,imaging features,and treatment options[J].Emergency Radiology,2016,23(4):365-375.
[2] ZAREMSKI J L,.Spontaneous Osteonecrosis of the Knee[J].Current Sports Medicine Reports,2016,15(4):228-229.
[3]黄竞敏,李昱鸿,李冬超,王海蛟,张政,胡文晋.内侧半月板外突与半月板损伤及膝内翻的相关性研究[J].中华骨科杂志,2016,36(03):156-161.
[4] Muheim G, Bohne WH (1970) Prognosis in spontaneous osteonecrosis of the knee: in4vestigation by radionuclide scintimetry and radiography. J Bone Jt Surg Br 52:605–612
[5] Aglietti P, Insall JN, Buzzi R, Deschamps G (1983) Idiopathic osteonecrosis of the knee: aetiology, prognosis and treatment. J Bone Jt Surg Br 65:588–597
[6] Yates PJ, Calder JD, Stranks GJ, Conn KS, Peppercorn D, Thomas NP. Early MRI diagnosis and non-surgical management of spontaneous osteonecrosis of the knee. Knee 2007;14(2):112–6.
[7] Jureus J, Lindstrand A, Geijer M, Robertsson O, Tagil M. The natural course of spontaneous osteonecrosis of the knee (SPONK): a 1- to 27-year follow-up of 40 patients. Acta Orthop 2013;84(4):410–4.
[8] Hashimoto S, Terauchi M, Hatayama K, et al. Medial meniscus extrusion as a predictor for a poor prognosis in patients with spontaneous osteonecrosis of the knee[J]. The Knee, 2021, 31: 164-171.
[9] Yates P J, Calder J D, Stranks G J, et al. Early MRI diagnosis and non-surgical management of spontaneous osteonecrosis of the knee[J]. The Knee, 2007, 14(2): 112-116.
[10] Akamatsu Y, Kobayashi H, Kusayama Y, Aratake M, Kumagai K, Saito T. Predictive factors for the progression of spontaneous osteonecrosis of the knee.Knee Surg Sports Traumatol Arthrosc 2017;25(2):477–84.
作者简介

潘建科,副主任医师,

杨伟毅,广东省中医院运动医学科主任,医学博士,二级正高,广州中医药大学博士后合作导师、硕士生导师,广东省中医院青年名中医,中医骨科世家。广东省医学青年杰出人才(第一批)、专科实力最强中青年医生、广东省中医院拔尖人才。师承名老中医黄宪章教授、刘金文教授和刘军教授。
学术任职:广东省中医药学会骨关节退变与损伤专业委员会主委,中国老年保健协会骨关节保护与健康分会常委,广东省临床医学会运动医学专业委员会副主委,中西医结合学会骨伤科分会第八届委员会保膝专家委员会常委,世界中医药学会联合会骨关节疾病专业委员会常务理事,中国中医药研究促进会骨伤科分会保膝专委会常委,中华中医药学会骨伤科分会青年委员,中国医师协会骨科医师分会青年委员膝关节学组委员,广东省中医药学会运动医学专业委员会委员、广东省医学会运动医学分会第六届委员会上肢学组成员、广东省中医药学会风湿与关节康复专业委员会秘书等。



京公网安备11010502051256号