2023盘点|人工智能技术在关节外科中的应用进展
2024-01-25 文章来源:中国人民解放军总医院骨科医学部关节外科 作者:李海峰 柴伟 我要说
2023盘点|人工智能技术在关节外科中的应用进展
作者:李海峰 柴伟
来源:中国人民解放军总医院骨科医学部关节外科
作为一门新兴的科学技术,人工智能(Artificial Intelligence,AI)通常是指通过计算机程序和算法来模拟包括感知、理解、推理、学习和决策等人类智能,以解决各种复杂问题的一种革命性方法。近年来,人工智能已经被广泛用于医学影像辅助诊断、临床决策支持、智能健康管理、新型药物开发等医学领域。在骨科方面,基于人工智能的疾病诊断、个性化治疗、机器人辅助手术、预后预测等对于改善患者的治疗结果尤为重要[1]。
人工智能也已经深入到关节置换外科的各个环节,涉及从术前规划到术后护理和监测等各方面。人工智能不仅能够在临床决策、资源分配和疾病干预方面给关节外科医生提供帮助,还可以用于骨关节炎、股骨头坏死等疾病诊断分级、植入假体大小位置预测等[2],可以评估关节置换后的效果、人工假体脱位感染风险、患者住院时间和经济成本等,同时也可以监控患者关节功能康复的过程。
本文拟对2023年度人工智能在关节外科领域的最新研究做一归纳总结,包括ChatGPT、深度学习、机器学习等人工智能各个方面,旨在帮助广大骨科医生,尤其是关节外科医生,更加广泛全面的了解这一领域的最新进展。

图1 人工智能在骨科领域的应用
一、ChatGPT在关节外科中的应用
ChatGPT(OpenAI公司,美国旧金山)于2022年11月发布,很快对各行各业产生巨大而深远影响。ChatGPT也越来越多地用于医疗保健领域。Jeremy等[3]将ChatGPT用户搜索的关于“全膝关节置换术”和“全髋关节置换术”的10个最常提问的问题(frequently asked questions,FAQs)及相应的前10个常见解答,与当今美国使用最广泛的搜索引擎 Google Web Search相比较,结果发现使用ChatGPT查询医疗健康问题有着类似于使用Google的一样的有效价值。作者认为,ChatGPT可以继续作为对患者有用的一种潜在资源,可以提高患者自我诊断能力的准确性。
Aleksander等试图确定ChatGPT是否可以可以有效地回答关于全髋关节置换术(THA)的常见问题。作者向ChatGPT提出了十个关于全髋关节置换术的常见问题。并使用循证方法分析每个回复的准确性。回复评级为“需要澄清的优秀回复”、“需要最低限度澄清的满意回复”、“需要适度澄清的满意回复”或“需要大量澄清的不满意回复”。结果发现在ChatGPT给出的回复中,只有1个获得了“不满意”的评级,2个不需要任何说明,大多数要求少量(10项中的4项)或中度(10项中的3项)说明。尽管一些回复需要更细致的说明,但ChatGPT的回复基本是公正的、且有证据支持,即使是针对有争议的话题也是如此。作者认为,ChatGPT可以有效地为患者在行全髋关节置换术之前经常提出的问题提供有证据的回复,可以采用以大多数患者能够理解的方式呈现信息,可以作为未来骨科患者术前教育的宝贵临床工具。
ChatGPT具有强大的自然语言和数据处理能力,以帮助关节外科医生进行疾病诊断和治疗选择等,也可以帮助医生进行鉴别诊断、治疗建议、决策支持、开发预测模型、支持远程康复、教育患者、改善与康复团队的沟通、指导患者术后康复等,也可以帮助关节外科医生进行协助文献综述、新想法生成、数据分析等。
二、AI在骨关节影像学方面的应用
在先进的人工智能技术的发展和推动下,骨关节疾病的影像诊断正走入一个全新时代。
2.1 人工智能在膝骨关节炎影像识别方面的应用
人工智能在骨关节炎等诊断、分类、分级方面的应用研究已经很多,尤其是在软骨病变检测、OA诊断和OA风险评估等方面。在这些疾病的影像学,包括X线片及MRI的诊断方面,人工智能已被证明具有与人类智能相似的的诊断性能。已经有多种人工智能方法被用于膝关节软骨及骨组织的全自动分割,而且比目前使用的其它方法具有更高的分割精度,且大大缩短了分割时间。也有各种分析膝骨关节炎影像学的人工智能模型,包括X线和MRI ,用于评估骨关节炎的风险,这些模型在预测骨关节炎预后方面显示出很高的诊断性能,包括影像学膝骨关节炎的发生率和进展、关节疼痛的出现和进展以及未来是否需要接受全膝关节置换术。
Maria等[4]选择124例膝骨关节炎患者的X线片,针对K-L分级、关节间隙狭窄程度、骨质硬化及骨赘等X线片上特征,分别由高年资医生和低年资医生使用基于人工智能的图像标注工具进行分析,并进行组内和组间比较。研究发现,使用基于人工智能的影像学分析软件可以改善高年资医生对膝骨关节炎的放射学判断(图2)。借助人工智能软件后,低年资医生分析判断的一致性和准确率与高年资医生相当。作者认为,在膝骨关节炎的放射学评估中增加应用基于人工智能的软件,可以提高诊断准确性。Neubauer等[5]选择71例膝骨关节炎患者的X线DICOM文件数据,采用人工智能分析软件,结果发现,人工智能辅助诊断评级与KL评分和KOOS评分的相关性更高。作者认为, 人工智能辅助系统可以提高膝关节X光片的评级,并显示出与临床严重程度的更强关联。

图2 不同年资医生之间地的一致率
2.2 人工智能在股骨头缺血坏死影像识别方面的应用
深度学习、机器学习等人工智能技术方法可以来区分早晚期股骨头缺血坏死,预测股骨头塌陷,更好地帮助经验不足的外科医生,特别是在大规模医学影像筛查和缺乏咨询专家的社区医疗场景中更加有用。
Hernigou等[6]采用人工智能方法分析股骨头非创伤性骨坏死患者塌陷的危险因素。作者收集900例非创伤性股骨头缺血坏死患者的数据,共纳入50个与骨坏死相关的变量。患者随机分配到训练组(80%)和验证组(20%),使用机器学习算法对选定的变量进行评估。结果发现,机器学习算法预测三年内股骨头塌陷准确率为81.2%。预测6个月、12个月、24个月内塌陷的准确率分别为54.2%、67.3%和71.2%。作者的这项研究首次证明使用机器学习算法可以对股骨头塌陷进行预测。(图3)
Klontzas等[7]也开发一种人工智能方法,以区分髋关节缺血性坏死(AVN)的早期和晚期,以确定治疗决策。作者选择104例AVN患者的MRI 数据,使用三个卷积神经网络 (CNN)VGG-16、Inception ResnetV2、InceptionV3 进行训练,以区分早期(ARCO 1-2)和晚期(ARCO 3-4)阶段。并与两名放射科医生的诊断结果进行比较。结果发现,Inception-ResnetV2的表现最好,AUC为99.7%(95%CI 99-100%),其次是 InceptionV3和VGG-16,AUC分别为99.3%(95%CI 98.4-100%)和97.3%(95%CI 95.5-99.2%)。在与另一个国家数据的外部验证中,VGG-16的个体AUC最高,为78.9%(95%CI 51.6-79.6%),CNN集成模型实现了最佳的外部性能,其AUC为85.5%(95%CI 72.2-93.9%)。CNN集合模型和放射科专家医生之间没有发现显着差异(p=0.22和0.092)。作者认为,经外部验证的卷积神经网络集成模型可准确区分AVN的早期和晚期,其性能可以与专业放射科医生相媲美。

图3 基于骨坏死体积百分比和髋关节疼痛重要性的塌陷风险表面图
2.3 人工智能在假体识别、测量方面的应用
Karnuta等[8]使用350万张X线平片训练、验证和外部测试一个人工智能方法来自动识别TKA假体, 通过深度学习系统进行1000个训练周期后,系统在744张前后位X光片的外部测试数据集中,可以自动区分所有9种假体,AUC为0.989,准确率为97.4%,灵敏度为89.2%,特异性为99.0%。每张图像识别时间平均0.02秒。类似地,有学者[9]使用200万张X线平片训练、验证和外部测试同样地人工智能方法来自动识别THA假体。通过深度学习系统进行1000个训练周期后,系统在588张前后位X光片的外部测试数据集中,可以自动区分8种假体,AUC为0.991,准确率为97.9%,灵敏度为88.6%,特异性为98.9%。每张图像识别时间平均0.02秒。作者认为, 用于识别膝、髋关节置换术假体的人工智能软件表现出色,证明人工智能在临床应用的价值所在,并具有协助膝、髋关节翻修术前计划的巨大潜力(图4、5)。
Murphy等[10]设计一个人工智能(AI)程序,试图自动校正骨盆倾斜,并确定臼杯方向后倾。作者有2945名患者的X线训练、验证和测试该人工智能模型。并对部分患者进行 CT扫描和3D重建,测量臼杯方向。结果发现,AI测量在X线片的平均时间为0.22±0.03秒。与手工测量相比,AI测量更接近CT扫描(P<.001)。AI预测由17张X线片确定为臼杯后倾,准确率为100.0%(n=45)。作者认为, 人工智能算法在X线片上测量臼白方向,可以校正骨盆倾斜,优于手工测量。

图4 膝关节假体的样本热图,说明人工智能模型的识别重点

图5 热图图像展示人工智能算法感兴趣的假体特征,有目的地将前后X射线的图像增强为不完美的渲染图
假体特点如下:DePuy SROM(左上)、DePuy Corail(右上)、Stryker Accolade(左下)和Stryker Restoration Modular(右下)
三、人工智能在术前评估、规划、术后输血中的应用
Houserman等[11]选择2767名患者的3种的X线图像(包括前后位、侧位和轴位)8301 张以及患者是否接受关节置换手术(手术包括UKA或TKA)的数据,采用人工智能模型进行训练(70%)和验证(30%),使用迁移学习方法训练计算机视觉模型。结果发现,人工智能模型针对TKA的AUC值为0.97,针对UKA的AUC为0.96,非手术的AUC值为0.98。该模型预测手术与不手术的准确率为93.8%,预测TKA与非TKA的准确率为88%。作者认为,人工智能模型可以预测哪些患者适合UKA、TKA或不进行手术干预。
Salman等[12]总结人工智能在预测全膝关节置换术(TKA)术中假体大小的准确性,研究中共纳入四项论文,涉及34547名患者。结果发现,人工智能预测TKA股骨假体大小的准确率在88.3%至99.7%±1个型号,而胫骨假体大小预测的准确率在90%至99.9%±1个型号。这项研究证明人工智能作为规划TKA的巨大潜力,在预测TKA假体大小方面表现出令人满意。
Burge等[13]使用98名受试者的CT扫描图像,采用一系列机器学习方法,包括分类、目标检测和图像分割模型,并使用这些信息创建股骨和胫骨3D预测模型,最终由计算机辅助设计生成定制的假体模型,并通过对最终设计的假体进行虚拟拟合,对每个测试对象的骨骼进行“真实”3D模型的计算测试。最终发现,人工智能辅助能够产生高精度的设计,并且其性能不受受试者性别、身高、年龄或侧别的影响。作者认为,一种强大、准确和自动化的、基于 CT 的全膝关节置换定制流程是可行的,并且与传统方法相比,人工智能辅助可以提供显着的时间和成本优势(图 6、7、8)。

图6 CT-3D表面模型预测过程的工作流程

图7 人工智能自动定制股骨假体(上排)和胫骨底托(下排)设计流程

图8 股骨组件(上排)和胫骨板(下排)的最大OUH计算
Garcia等[14]评估基于AI的三维(3D)模板在全关节置换术术前规划中的应用研究现状。纳入接受初次或翻修关节置换手术的9项研究,这些手术均利用基于AI的3D模板进行手术计划。结果发现,与传统的X射线照相模板相比,基于AI的3D模板系统缩短手术计划时间,并改进假体尺寸/位置和成像特征估计。作者认为,基于AI的3D模板系统可以提供更准确和个性化的术前计划,有可能改善患者的功能结果。
Cohen-Levy等[15]使用人工智能模型预测初次全髋关节置换术后输血率。作者开发四种机器学习算法对7265名连续接受初次全髋关节置换术的患者进行评估来预测术后的输血率,并通过鉴别、校准和决策曲线分析来评估这些模型。结果发现,这四种机器学习模型在鉴别(AUC>0.78)、校准和决策曲线分析方面都取得了优异的性能,可以用于预测初次全髋关节置换术后患者的输血率。37315632等使用来自大型国家数据库的101266名初次THA 和8594名翻修THA患者的数据训练和验证五种人工智能算法,以预测初次和翻修THA后的术后输血风险。结果发现,所有ML模型在原发性和翻修THA患者中都表现出出色的区分力(曲线下面积(AUC)>0.8)。 这项研究成功地验证作者之前开发的用于预测初次和翻修 THA 后输血的人工智能算法。
四、人工智能在人工关节置换术后预测方面的应用
4.1 预测术后风险和再入院
Kunze等[16]采用616名初次THA患者的临床登记数据,开发人工智能算法预测术后至少2年的全因并发症,并进行内部验证。结果观察到的并发症发生率为16.6%。在AUC为0.88、校准截距为0.1、校准斜率为1.22和Brier得分0.09时随机梯度提升模型取得最佳预测性能。作者认为,随机提升梯度算法在识别术后并发症的高风险患者方面表现出良好的鉴别能力。35933638等开发和验证机器学习模型以预测全膝关节置换术后90天的计划外再入院。共有10021名全膝关节置换术连患者,其中644名患者(6.4%)在90天内再次入院。开发了四种机器学习算法(人工神经网络、支持向量机、k最近邻分类算法和弹性网络逻辑回归)来预测全膝关节置换术后90天的计划外再入院。结果发现,机器学习模型在鉴别(AUC>0.82)、校准和决策曲线分析方面性能表现优异。作者认为,所有四种模型都具有出色的计划外再入院的预测性能。
4.2 预测术后血栓风险
Wang等[17]分析2017年1月至2021年12月期间接受初次膝/髋关节置换术术后双下肢静脉超声检查的6897例患者的数据。从电子病历(EHR)中提取患者的特征,并使用极限梯度提升、随机森林、支持向量机、逻辑回归、集成和反向传播神经网络等六种人工智能模型分配给训练(80%)和测试(20%)数据集。其中深静脉血栓阳性1161例(16.8%),阴性5736例(83.2%)。在6个模型中,集成模型的AUC最高,为0.9206(0.8956,0.9364),敏感性、特异性、阳性预测值、阴性预测值和F1评分分别为0.8027、0.9059、0.6100、0.9573和0.7003。作者认为,基于电子病历的机器学习模型可以帮助预测膝/髋关节置换术后深静脉血栓形成的风险。
4.3 预测术后假体脱位、松动
Hernigou等[18]综述 75篇初次髋关节置换术文章,共收集1069565例假体和26488例脱位病例。使用深度学习模型评估评估不同术式,包括半髋关节置换术、标准全髋关节置换术、双动臼杯、限制性杯等,预测术后脱位的可能性。结果发现,假体类型不同,脱位风险变化较大。3045例双动HA的脱位风险从0%到3.9%(平均0.31%),457例限制性衬垫的脱位风险从0.2%到1.2%(总体0.91%),895734例常规全髋关节置换术的脱位风险从 1.76%到4.2%(平均2.1%),170329例半髋关节置换术从0.76%到12.2%(平均4.5%)。人工智能模型预测术后脱位的准确率为95%。
Kim等[19]纳入分析5项回顾性研究,共2013名患者的数据,共计3236张图像,涉及2442 例(75.5%)THA和794例(24.5%)TKA 。研究中最常用和性能最好的机器学习算法是 DenseNet。各研究的合并敏感性为0.92,合并特异性为0.95,合并诊断比值比为194.09,AUC为0.9853。作者认为,使用人工智能通过X线平片预测THA和TKA假体松动方面显示出良好的准确性、灵敏度和特异性。作者建议将人工智能方法纳入假体松动筛查程序。
4.4 预测术后感染
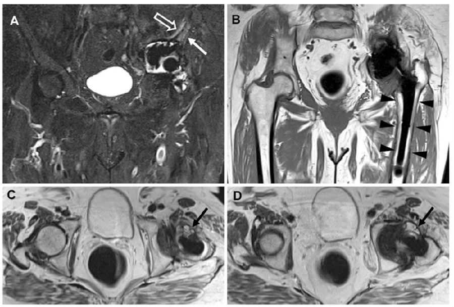
人工智能方法有助于关节置换术后PJI术前手术计划、感染的早期诊断、早期使用合适的抗生素以及预测临床结果等。wu等[20]研究证实,人工智能可以用于自动检测复杂的切口部位感染。Albano等 [21]研究人工智能是否可以根据术前MRI特征区分出拟翻修的全髋关节置换术是否存在化脓性感染可能。作者纳入173例(98 名女性,年龄:67±12岁)THA 翻修手术患者术前骨盆MRI影像资料,患者分为训练、验证、内部测试组(n=117)和独立的外部测试组(n=56)。MRI影像特征用于训练、验证和测试基于支持向量机(SVM)的人工智能算法。结果发现,第一组中,人工智能算法在预测THA感染敏感性达到92% 、特异性为62%,AUC为81% 。在外部测试组中,人工智能预测THA感染敏感性达到92% 、特异性为79%,AUC为89%。作者认为, 使用基于支持向量机的人工智能算法读取MRI影像特征在预测THA术后感染方面是一个很有希望的方法。该模型可能有助于放射科医生识别THA术后感染(图9)。
Klemt等[22]回顾由1432例无菌翻修的TKA患者的数据库,其中208例因PJI再次翻修手术(14.5%)。采用三种机器学习算法(人工神经网络、支持向量机、k最近邻)来预测这一结果,并通过判别、校准和决策曲线分析来评估这些模型,其中神经网络模型在判别(AUC=0.78)、校准和决策曲线分析方面表现最佳。研究发现,利用机器学习作为预测无菌翻修的TKA术后发生PJI具有出色的性能。经过验证的机器学习模型可以帮助外科医生对患者进行特定风险分层,可以协助接受无菌翻修TKA的患者进行术前咨询和临床决策。可见,人工智能方法监测PJI方面具有广阔的应用前景。

图9 一名77岁THA感染女性的骨盆MRI
冠状STIR(A)显示假体周围髋臼骨水肿(白色箭头)和囊外水肿(空心箭头)。冠状T1加权图像(B)中未发现骨破坏。轴位T2加权图像(C和D)显示炎症和滑膜炎
五、总结
人工智能在髋膝关节置换领域的应用发展迅猛。在术前评估中,人工智能已被证明有几个显著的优势,如可以准确预测住院时间、住院费用和出院处置等。人工智能也可以用在图像识别和膝骨关节炎分类方面,具有与接受培训的关节置换外科医生一样准确。人工智能还能准确预测假体大小、下肢力线和假体角度,准确率高达95%,明显高于传统方法的准确率。另外,人工智能在TJA术前规划中地应用也初现强大实用性。与放射学模板相比,人工智能能够更准确地预测假体的大小。在TJA术后的术后护理中,人工智能的效用也同样重要。此外,基于图像的机器学习模型在预测术后并发症方面显示出异常的准确性,反映了临床影像学特征。总之,人工智能正在为当代关节外科领域的革新铺平道路,并将彻底改变传统关节外科的诊疗范式。
作者简介

柴伟,中国人民解放军总医院骨科医学部关节外科主任,主任医师、教授
学术任职:International Hip Society会员,中国医师协会骨科医师分会关节外科工作委员会委员及青年组组长,中华医学会骨科学分会青年委员会关节外科学组委员,中国老年保健协会骨关节分会副会长,北京医学会骨科学分会青年委员会副主任委员及关节外科学组组长。

李海峰,中国人民解放军总医院骨科医学部关节外科副主任医师
致力于成人肩肘膝踝关节重建手术的基础研究与临床治疗。擅长膝关节周围截骨、微创单髁置换、全膝置换、导航或机器人等数智化技术辅助保膝等系列阶梯化全流程治疗,膝关节先天畸形、创伤骨折后遗症的截骨矫形,膝关节骨肿瘤切除术后关节重建,机器人辅助膝关节部分及全膝置换等。
担任北京市医学会骨科学分会关节外科学组青年委员会委员、骨感染学组委员等。获军队科技进步二等奖1项,三等奖2项,国家专利16项,发表论文60余篇。
参考文献
1. Garvey KV, Thomas Craig KJ, Russell R, Novak LL, Moore D, Miller BM. Considering clinician competencies for the implementation of artificial intelligence-based tools in health care: findings from a scoping review. JMIR Med Inform. 2022 Nov 16;10(11):e37478.
2. Groot OQ, Ogink PT, Lans A, Twining PK, Kapoor ND, DiGiovanni W, et al. Machine learning prediction models in orthopedic surgery: a systematic review in transparent reporting. J Orthop Research® 2022;40:475e83
3 .Jeremy A Dubin , Sandeep S Bains, Zhongming Chen, et al.Using a Google Web Search Analysis to Assess the Utility of ChatGPT in Total Joint Arthroplasty ,J Arthroplasty.2023 Jul;38(7):1195-1202
4 .Maria Anna Smolle , Christoph Goetz , Dietmar Maurer , et al.Artificial intelligence-based computer-aided system for knee osteoarthritis assessment increases experienced orthopaedic surgeons' agreement rate and accuracy.Knee Surg Sports Traumatol Arthrosc.2023 Mar;31(3):1053-1062.
5 .Markus Neubauer, Lukas Moser, Johannes Neugebauer, et al.Artificial-Intelligence-Aided Radiographic Diagnostic of Knee Osteoarthritis Leads to a Higher Association of Clinical Findings with Diagnostic Ratings.J Clin Med.2023 Jan 17;12(3):744.
6 .Philippe Hernigou.Revisiting prediction of collapse in hip osteonecrosis with artificial intelligence and machine learning: a new approach for quantifying and ranking the contribution and association of factors for collapse. Int Orthop. 2023 Mar;47(3):677-689.
7. Michail E Klontzas, Evangelia E Vassalou, Konstantinos Spanakis,et al.Deep learning enables the differentiation between early and late stages of hip avascular necrosis.Eur Radiol.2023 Aug 15.1-8
8. Karnuta JM, Shaikh HJF, Murphy MP,et al.Artificial Intelligence for Automated Implant Identification in Knee Arthroplasty: A Multicenter External Validation Study Exceeding 3.5 Million Plain Radiographs..J Arthroplasty. 2023 Oct;38(10):2004-2008.
9. Karnuta JM, Murphy MP, Luu BC, et al.Artificial Intelligence for Automated Implant Identification in Total Hip Arthroplasty:A Multicenter External Validation Study Exceeding Two Million Plain Radiographs..J Arthroplasty. 2023 Oct;38(10):1998-2003.
10. Michael P Murphy, Cameron J Killen , Sara R Winfrey,et al. Artificial Intelligence Autonomously Measures Cup Orientation, Corrects for Pelvis Orientation, and Identifies Retroversion From Antero-Posterior Pelvis Radiographs.J Arthroplasty. 2023 Jul;38(7 Suppl 2):S319-S323.
11. David J Houserman, Keith R Berend, Adolph V Lombardi Jr, et al.The Viability of an Artificial Intelligence/Machine Learning Prediction Model to Determine Candidates for Knee Arthroplasty. J Arthroplasty. 2023 Oct;38(10):2075-2080.
12. Loay A Salman , Harman Khatkar , Abdallah Al-Ani , et al.. Reliability of artificial intelligence in predicting total knee arthroplasty component sizes: a systematic reviewEur J Orthop Surg Traumatol2023 Nov 27.47-58
13. Thomas A Burge , Jonathan R T Jeffers , Connor W Myant .Applying machine learning methods to enable automatic customisation of knee replacement implants from CT data.Sci Rep. 2023 Feb 27;13(1):3317.
14. Ausberto Velasquez Garcia , Lainey G Bukowiec, Linjun Yang, et al.Artificial intelligence-based three-dimensional templating for total joint arthroplasty planning: a scoping review.Int Orthop. 2024 Jan 15.23-35
15. Wayne Brian Cohen-Levy , Christian Klemt , Venkatsaiakhil Tirumala ,et al.Artificial neural networks for the prediction of transfusion rates in primary total hip arthroplasty.Arch Orthop Trauma Surg. 2023 Mar;143(3):1643-1650.
16. Kyle N Kunze , Aditya V Karhade , Evan M Polce , et al.Development and internal validation of machine learning algorithms for predicting complications after primary total hip arthroplasty.Arch Orthop Trauma, 2023 Apr;143(4):2181-2188
17. Xinguang Wang , Hanxu Xi , Xiao Geng ,et al. Artificial Intelligence-Based Prediction of Lower Extremity Deep Vein Thrombosis Risk After Knee/Hip Arthroplasty.SurClin Appl Thromb Hemost.Clin Appl Thromb Hemost. 2023 Jan-Dec:29:1-9
18. Philippe Hernigou, Olivier Barbier , Philippe Chenaie.Hip arthroplasty dislocation risk calculator: evaluation of one million primary implants and twenty-five thousand dislocations with deep learning artificial intelligence in a systematic review of reviews.Int Orthop. 2023 Feb;47(2):557-571.
19. Man-Soo Kim, Jae-Jung Kim , Ki-Ho Kang , et al.Detection of Prosthetic Loosening in Hip and Knee Arthroplasty Using Machine Learning: A Systematic Review and Meta-Analysis.Medicina (Kaunas) 2023 Apr 17;59(4):782-800.
20. Guosong Wu , Cheligeer Cheligeer , Danielle A Southern ,et al.Development of machine learning models for the detection of surgical site infections following total hip and knee arthroplasty: a multicenter cohort study.Antimicrob Resist Infect Control. 2023 Sep 2;12(1):88-97.
21. Domenico Albano , Salvatore Gitto , Carmelo Messina ,et al. MRI-based artificial intelligence to predict infection following total hip arthroplasty failure.Radiol Med. 2023 Mar;128(3):340-346.
22. Christian Klemt , Ingwon Yeo , Michael Harvey ,et al.The Use of Artificial Intelligence for the Prediction of Periprosthetic Joint Infection Following Aseptic Revision Total Knee Arthroplasty.J Knee Surg. 2024 Jan;37(2):158-166.



京公网安备11010502051256号