2023盘点|股骨头坏死的研究与诊治进展年度报告
2024-02-01 文章来源:中国人民解放军总医院骨科医学部关节外科 作者:李勇 罗殿中 张洪 我要说
2023盘点|股骨头坏死的研究与诊治进展年度报告
作者:李勇,罗殿中,张洪
来源:中国人民解放军总医院骨科医学部关节外科
时光匆匆,紧张而忙碌的2023年转瞬即逝。回首过去的一年,我们不禁思考:对于股骨头坏死的研究与治疗取得了哪些进步?还有哪些需要改进?未来的方向在哪里?为此,本文拟从病理机制、诊断评估、预防干预、药物治疗、手术治疗等角度,对过去一年来的研究工作与进展进行简要回顾和报告,以期为来年的工作提供参考和有益的信息。但由于内容众多,回顾报告难免挂一漏万,不当之处敬请包涵和指正。
一、报告背景
股骨头坏死(osteonecrosis of the femoral head, ONFH)是目前骨科常见的难治性疾病之一,也是导致髋关节残疾和关节置换的主要原因之一。其发病率在青年和中年人的髋部疾患中名列前茅,并且从世界范围来看占比还在逐年增高[1],相关研究更是增长迅速(图1,图2)。据估算,全球现有ONFH患者已逾2000万,其中我国就有约500万至750万例,每年还有约10万至20万的新发病例。国外研究报道,美国每年约有1.5万至2.0万新发病例。ONFH不仅具有很高的致残率,而且对家庭甚至整个国家造成巨大的经济损失和社会负担。
在过去的一年里,全球对股骨头坏死的研究热度不减,在疾病的病理机制、影像诊断、非药物及药物治疗、手术治疗等方面均取得了显著的进展[2]。笔者以中英文“股骨头坏死、股骨头无菌性坏死、股骨头缺血性坏死”为主题词或标题,检索Pubmed、Web of Science、Cochrane Library和CNKI,共检索到英文论文296篇,中文论文328篇,选择其中约30篇进行简要回顾。

图1. 全球股骨头坏死研究论文统计(2000~2021)引自Ann Transl Med 2023, 11(3):155.)

图2. 股骨头坏死相关研究论文的快速增长趋势(引自Ann Transl Med 2023, 11(3):155.)
二、病理生理学和分子机制研究进展
股骨头坏死的病理机制复杂,2023年的研究仍然主要从酒精性和类固醇相关性股骨头坏死入手,涉及基因、信号通路、Micro RNA、Lnc RNA等多个方向,取得了一定研究进展。大量的研究从信号转导和信号通路的角度揭示了ONFH的发生和发展。这些通路涉及到诸如血管生成受损、凝血功能障碍和内皮功能障碍等方面。未来研究中纳入这些遗传热点及其对治疗的反应,可能会揭示那些基于多基因风险评分的预测标记,这些标记可以将骨吸收和降解转变为骨重塑,从而导致股骨头坏死区域的修复和愈合。
在组织病理及微观结构方面,田佳庆等[3]的研究发现类固醇相关性股骨头坏死区域主要分布在股骨头中外侧柱,其坏死面积随着位置内移而减小。此外,在坏死周围还发现了散在分布的微小骨折线,这可能是影响股骨头力学承载能力和头内稳定性的重要因素之一(图3,图4)。另外,Inoue T等[4]的研究使用多排计算机断层扫描(MDCT)分析发现,无论是无塌陷的或者轻度塌陷的ONFH患者,其股骨头和髋臼区域的体积骨密度和表观骨体积分数增加,并且更像板状,连接性增加,表明正在发生骨硬化变化。因此,股骨头和髋臼区域的软骨下骨小梁微观结构的硬化变化在股骨头塌陷之前都存在。

图3. A-D分别为4例激素性股骨头坏死患者左侧股骨正位 X 射线片,E-H通过用黄色高亮标记上述患者在X射线片中囊性变发生的位置
热力图显示囊性变的热点位置一般在股骨头的中外侧柱,与股骨头内压力骨小梁的位置大致重合(引自中国组织工程研究 2023, 27(31):4996-5001)

图4. 股骨头囊性变部位的病理结果
A-D可见股骨头内囊性变周围出现多处头内骨折线(黄色箭头所示);E-L中苏木精-伊红病理染色可见囊性变在微观结构上会延伸出多道微骨折线(引自中国组织工程研究 2023, 27(31):4996-5001)
在分子病理方面的研究主要集中在酒精性股骨头坏死及类固醇相关性股骨头坏死(GIONFH)的病理机制探索方面。Le G等[5]的研究通过体内和体外实验发现,miR122模拟物和Lnc-HOTAIR SiRNA挽救了间充质干细胞(BMSCs)乙醇诱导的细胞外脂肪生成,同时发现BMSCs中过氧化物酶体增殖物激活受体γ(PPARγ)的高表达募集了组蛋白脱乙酰酶3(HDAC3)和组蛋白甲基转移酶(SUV39H1),从而影响了miR122的启动子区域的组蛋白乙酰化和组蛋白甲基化水平。此外,国内康鹏德教授团队[6]的研究证明了Cx43在BMSCs中的过表达可以促进骨再生,如成骨和血管生成过程所示,表明Cx43可能作为类固醇相关性股骨头坏死治疗的治疗基因靶点。
既往的实验研究表明,铁死亡可能与糖皮质激素诱导的股骨头坏死的病理过程有关。Chen等[7]通过生物信息学分析共鉴定出27个参与GIONFH的铁死亡相关差异表达基因(DEGs)。与缺血损伤和调往相关的TLR4、TXNIP和MAP3K5可能作为GIONFH的潜在生物标志物和药物靶点。Zhang等[8]发现在GIONFH的发展过程中,受损的骨血管内皮细胞和坏死骨激活TLR4/NF-κB信号通路(图6),促进丙酮酸激酶M2(PKM2)的二聚化,进而增强缺氧诱导因子-1(HIF-1)的产生,诱导巨噬细胞代谢转化为M1表型(图5)。考虑到这些发现,通过局部趋化因子调节进行干预,通过将巨噬细胞转换为M2表型来纠正M1/M2极化巨噬细胞之间的不平衡,或抑制M1表型的采用,可能是预防或干预GIONFH的合理方案。广州中医药大学陈镇秋团队[9]鉴定了一种诊断标志物,包括两个铁死亡相关基因NCF2和SLC2A1。通过蛋白组学Data independent acquisition(DIA)分析证实了这两个基因在健康和坏死区域的差异表达。细胞实验验证了铁死亡相关中枢基因(FRHGs)与铁死亡的联系,初步探究了抗氧化剂牡荆素促进细胞成骨分化的潜在机制。
Wang等[10]通过在类固醇诱导的股骨头坏死(SONFH)基因表达综合数据集中获得差异表达基因(DEGs)和自噬相关基因的交集来鉴定SONFH中的自噬相关差异表达基因(ARDEGs)。该研究共鉴定了189个与SONFH相关的推定自噬相关基因,并使用PCR验证了下调基因RPL9和RPS6的预测,从而扩展了我们对自噬对类固醇相关性股骨头坏死作用的理解。Yan等通过研究差异表达基因(DEGs)来鉴定股骨头坏死性别差异关键基因及通路。研究结果共鉴定出131个DEGs,其中上调基因76个,下调基因55个。在PPI网络中鉴定出10个枢纽基因,包括SLC4A1、GYPA、CXCL8、IFIT1、GBP5、IFI44、IFI44L、IFIT3、KEL和AHSP。功能富集分析显示,这些基因主要富集于cGMP-PKG信号通路、脂肪酸降解、非酒精性脂肪性肝病、系统性红斑狼疮、造血细胞谱系和NO-cGMP-PKG信号通路。NO-cGMP-PKG信号转导可能在ONFH的发生和发展中发挥重要作用。SLC4A1、GYPA、CXCL8、GBP5和AHSP可能是ONFH进展中性别差异的关键基因,可能是治疗ONFH的理想靶点或预后标志物。因此,进一步深入筛选和验证仍然任重而道远。

图5. 巨噬细胞极化与成骨作用在类固醇相关性股骨头坏死发展中的关系
MO、MI和M2表型均通过激活抑癌素 M信号通路而有利于成骨,其中MI型巨噬细胞对骨形成的影响最大,BMSCs分泌单核细胞和巨噬细胞的主要化学诱导剂趋化因子 -2(CCL-2)和趋化因子 -4(CCL-4)

图6. M1极化巨噬细胞在类固醇相关股骨头坏死发展过程中的激活
坏死组织中的损伤相关分子模式与Toll 样受体 4(Toll-like receptor 4,TLR4)结合,随后激活myd88 -细胞外调节激酶1/2 (ERK1/2)、Ik激酶(IKK) α-转录因子核因子κb途径,导致ThI细胞因子(IFN-y和TNF-a)和HIF-I的产生。IFN-y激活JAKI/2-STATI通路以及随后的STATI磷酸化也被报道与GIONFH的MI巨噬细胞极化相关类固醇相关性股骨头坏死发展过程中成骨与巨噬细胞的相关性
三、诊断和评估的进展
股骨头坏死的诊断和评估对于有效治疗至关重要(见图7)。若缺乏准确的诊断评估,治疗将无法有效展开。
Jiwon等人[11]对2019年修订的ARCO分期系统中3A和3B阶段的病理特征及其与骨吸收区域的关系进行了研究。新月征是指平片上股骨头软骨下弧线形透光区,研究发现所有3期病例均存在软骨下骨折。在3A期,这些骨折主要由新月征(41.1%)和58.9%的纤维组织修复区引起;然而,在3B期,纤维组织修复区引起了92.9%的骨折,新月征仅占7.1%,具有统计学意义(P=0.034)。在所有3期患者中,36.7%的患者出现坏死部分骨折,14.9%的患者观察到股骨头扁平。3B期坏死部分骨折(92.9%vs26.0%)和股骨头扁平(71.4%vs4.1%)的发生率高于3A期(P<0.001)。几乎所有软骨下骨折均位于纤维组织修复区(96.4%)和坏死部分骨折(96.9%),股骨头扁平往往表现为骨吸收区扩大。因此,ARCO 3期的描述按以下顺序反映严重程度:软骨下骨折、坏死部分骨折和股骨头扁平。病变的严重程度增加通常与骨吸收面积扩大有关。
Kazuma Takashima等人研究使用磁共振成像(MRI)评估治疗COVID-19后ONFH的发生率[12]。在41名患者中,没有1例患者主诉髋关节疼痛。对26例患者进行了MRI筛查,在COVID-19感染1个月后的患者(3.8%)中检测到无症状ONFH。这一研究结果提示:医生应注意,治疗COVID-19后的患者可能会发生无症状的ONFH。而国内王卫国等人[13]通过回顾性分析76名ARCO II期的ONFH患者(89髋),研究发现软骨下骨板坏死是影响ONFH塌陷和预后的重要因素。与中日友好医院(CJFH)分型相比,目前使用软骨下骨板坏死的分类对预测塌陷更敏感。如果ONFH坏死性病变累及软骨下骨板,应采取有效治疗以防止塌陷。
尽管利用磁共振成像(MRI)早期诊断股骨头坏死仍然具有挑战性,但MRI仍然是最准确、最敏感的早期ONFH诊断方法之一。Shen等人[14]开发了基于MRI的深度学习系统,用于检测早期ONFH,并评估了其在临床上的可行性。该研究回顾性纳入了11061张图像,并按7:2:1分为三个数据集。卷积神经网络(convolutional neural network,CNN)模型识别早期ONFH的受试者工作特征曲线下面积、准确性、灵敏度和特异性分别为0.98%、98.4%、97.6%和98.6%。主治医生识别ONFH的平均准确度、敏感性和特异性分别为91.7%、87.0%和94.1%;住院医生分别为87.1%、84.0%和89.3%;骨科副主任医师分别为97.1%、96.0%和97.9%。深度学习系统在识别早期ONFH方面表现出与骨科副主任医师相当的性能。深度学习系统对于诊断早期ONFH的成功可能有助于帮助经验不足的外科医生,特别是在大规模医学影像筛查和缺乏咨询专家的社区场景中。
国内的薛冠男等人[14]分析了磁共振T1加权成像(T1WI)、T2加权成像(T2WI)、质子密度加权(PDW)及PDW-频率衰减翻转恢复(SPAIR)序列对ARCOⅠ期股骨头坏死的诊断价值。研究发现T2WI、DW及PDW-SPAIR序列均可用来检出ARCOⅠ期ONFH患者,其中PDW-SPAIR序列的诊断价值相对较高,能有效指导临床早期诊断及治疗。

图7. 股骨头坏死诊断流程(引自股骨头坏死中西医结合诊疗专家共识(2023))
四、 预防和早期干预的进展
尽管多个股骨头坏死的指南和专家共识都提到了预防和早期干预,但目前仍然困难重重。日本的Osawa Yusuke研究分析了塌陷停止与ONFH坏死区域程度的关系。共纳入了74例在首次就诊时出现症状性ONFH(塌陷<3mm)且至少随访3年的患者。根据塌陷进展或停止将患者分为进展组和稳定组。使用T1磁共振成像的矢状面和冠状面切片评估组间前后(AP)和中外侧坏死区域的范围。研究结果提示AP坏死区域为≤62.1%的病例有望停止塌陷,这可能是ONFH治疗策略的有用指标(图8,图9)。
国内陈镇秋教授等[15]通过研究塌陷和坏死病变边界对股骨头坏死预后预测价值的评估发现:与股骨头塌陷后预后不良的传统观点相反,塌陷可能是判断ONFH预后的过度简化预测因子。ONFH患者股骨头塌陷并不能预测预后不良,还与许多其他因素相关,比如坏死的诱因、年龄、塌陷的部位、塌陷的面积等。而这种基于x射线的前后位和蛙式位视图量化坏死病变边界的新分类系统在预测ONFH预后和为临床治疗策略提供信息方面可能具有更高的价值。

图8. 使用冠状面和矢状面T1磁共振成像(MRI)研究坏死病变
(A)利用冠状MRI上股骨头最大内外侧直径 A与坏死病灶最长内外侧长度B之比。(B)矢状面MRI上使用股骨头最大AP直径C和坏死灶最长前后长度D之比。

图9.一例股骨头坏死患者影像学资料
(A)第一次就诊时,42岁男性股骨头出现症状性左侧骨坏死。(B) T1磁共振成像(MRI)冠状面。(C) MRI矢状面显示62.1%股骨头前后(AP)坏死灶。(D) x线片显示首次就诊后3年的塌陷< 3mm。(E) x线片显示首次就诊5年后股骨头左侧骨坏死(ONFH)塌陷停止。
五、 药物与非药物的保守治疗进展
药物与非药物的保守治疗是股骨头坏死治疗的重要一环,尤其对于早期和非手术治疗的病例。中国微循环学会骨微循环专业委员会于《中国骨伤》杂志上发表了股骨头坏死临床药物防治专家共识,共识提出:随着对股骨头坏死认识的深入,且越来越多的患者在疾病早期就诊,ONFH单纯依赖手术治疗已不能满足患者目前的治疗需求,如何合理有效应用药物加强ONFH早期防治,延缓疾病进展越来越重要[16]。该共识重点介绍ONFH药物的种类、特性、安全性以及用药的合理性和基本原则,以期为各级医疗机构安全、合理、规范、有效用药提供参考意见。
该共识提倡的治疗原则为:ONFH应采取“早发现、早治疗”的治疗措施,采用个体化中西医结合治疗,提升治疗效果。药物应用:①抗凝、抗血小板、扩血管类药物,可以改善股骨头内血液循环,逆转缺氧,减少骨细胞死亡,促进骨愈合。②抑制破骨、增加成骨药,可以促进局部成骨修复,改善骨质疏松,延缓病情进展,预防股骨头塌陷。③他汀类降脂药可以提升脂联素水平,抑制破骨细胞活性,增加成骨细胞活性,延缓ONFH病情进展。④中药治疗则根据不同分期和患者体质,在健脾调肾的基础上,辅以活血、通络、祛痰、利湿,根据患者的不同临床证候表现而选择个体化的防治方法。⑤抗凝、降脂、扩血管、抑制破骨、增加成骨这几类药物一般2种或3种联合应用,可以达到较好的治疗效果。⑥ONFH围塌陷期或塌陷前期的骨坏死范围较大的病例,可以采用BMP、干细胞疗法、PRP、中药与保髋手术协同治疗。但由于缺乏大样本量的严格的前瞻性对照临床实验,目前尚没有一种经过严格的RCT条件下被证实有效的药物。尽管如此,这些进展为股骨头坏死的治疗提供了更多选择,并有希望为患者带来更好的治疗效果。(注:本共识仅为基于文献及临床经验的专家指导性意见,不作为强制性执行的要求。)
血管生成不足和成骨受阻是类固醇相关性股骨头坏死(SONFH)的主要病理进展特征。对于新型药物研究及前景,Cao等[17]在动物实验中的研究发现,血小板衍生生长因子-BB(PDGF-BB)够防止破坏性修复并促进类固醇相关性股骨头坏死(SAON)的修复性成骨。研究结果表明,PDGF-BB治疗后,受累股骨头H型血管和瘦素受体阳性(LepR+)间充质干细胞(MSCs)增多,骨髓组织中脂肪细胞散在比类固醇相关性股骨头坏死组多。PDGF-BB治疗阻止了破坏性修复的进展,并导致50-70%的骨坏死股骨头进行修复性成骨。特别是,作者发现PDGF-BB可以通过在类固醇存在下激活PDGFR/Akt/GSK3β/CERB信号传导来介导MSC自我更新并维持其成骨效力。此外,PDGF-BB还通过募集MSCs来稳定新形成的血管,以改善骨内血管整合。因此,PDGF-BB有望成为促进SONFH修复性成骨的候选药物。
六、 外科治疗技术进展
外科手术在股骨头坏死的治疗中起着核心作用。保髋治疗和关节置换是外科治疗的两种主要方式。从2010年到2020年,保髋手术的比例有所增加(从8.6%至11.2%)[18]。与50岁以上患者相比,50岁以下患者接受保髋手术的比例更高(15.3%vs2.7%,P<0.001)。总体而言,文献纳入的研究中,全髋关节置换术(THA)仍然是最常见的手术(57033例;88.1%),相对于半关节置换术(3875例;6.0%)、髓芯减压术(2730例;4.2%)、骨移植(467例;0.7%)和截骨术(257例;0.4%)。
1、保髋手术的进展
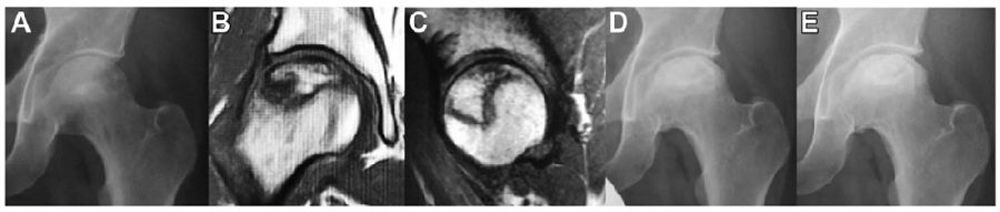
2023年,解放军总医院张洪、罗殿中教授团队[19]在JBJS杂志上报道了一名股骨头坏死患者的成功保髋的病例(图10)。该患者通过股骨颈基底旋转截骨术,将股骨头的坏死区域旋转出承重区,并实现了坏死区域的完全修复。另一项研究由Edmond等人[20]进行,作者报道了一种改良的“灯泡”技术,通过股骨头-颈部交界处的窗口对股骨头进行减压,从而提供了直接进入骨坏死病变的通道。Lu等人提出了一种β-磷酸三钙生物陶瓷(β-TCP)系统 ,用于治疗ONFH,通过促进血运重建和骨再生来提高治疗效果。
一些新的手术技术也取得了进展(图12)。Wang等人[21]报道了一项meta分析结果,比较了髓芯减压(CD)和骨移植(BG)对股骨头坏死的影响,并基于细胞疗法评估CD的疗效。研究结果表明,骨髓穿刺浓缩物(BMAC)可以显著改善VAS评分并降低THA转化率(OR为2.38;95% CI 1.26-4.47,p=0.007)。Saini等人[22]也做了类似的系统分析和评价,结果提示骨髓单核细胞(BMMNCs)治疗ONFH可以降低THA的中长期发生率,改善髋关节功能,减轻髋关节疼痛的程度,延缓影像学分期的进展,并且不会增加并发症的发生率。Li等人对非血管化骨移植(NVBG)治疗股骨头坏死进行了系统分析和评价,结果显示保髋成功率大约为79%(图11)[23]。这三个报道纳入对照研究的手术术前分期系统和分期类别并不完全一致,样本量较小,随访时间从2年到10年均有,其研究结果让我们既看到了希望,同时也需要更多的多中心的大样本临床实验结果来进一步证实。
此外,张英泽院士团队[24]报道了一种部分置换的手术技术,通过“取梁换柱”术精准微创治疗老年ARCO Ⅲ期股骨头缺血坏死(图13),结果显示短期效果可靠。然而,由于仅为个别志愿者病例,仍需进一步扩大患者数量,并进行长期随访,以进一步验证取梁换柱术的有效性。
这些研究和技术进展为股骨头坏死的保髋治疗提供了更多选择,并有望为患者带来更好的治疗效果。

图10. 股骨颈基底旋转截骨术后成功保髋(引自JBJS Case Connector 13(4):e23.00431)

图11. 3例ONFH患者采用三种手术技术行不带血管的骨移植术
A~C:33岁男性患者酒精性ONFH;X线片示左股骨头行灯泡技术非血管化骨移植,蛙式位因疼痛不标准;术后30个月的X线片显示骨修复。D~F:24岁女性右激素性ONFH;术后X线片显示采用Phemister技术对右股骨头行NVBG;术后75个月X线片显示未发生进一步塌陷。G~L:41岁男性激素性ONFH;术后X线片显示左股骨头采用活板门技术行NVBG;术后63个月的X线片显示坏死区域部分修复

图12. 第三代骨科机器人髓芯减压植骨操作

图13. “取梁换柱”部分置换术在股骨头坏死中的应用
2、人工关节置换的进展
对于晚期的股骨头坏死,人工关节置换是最为有效的治疗措施。Baek等人[25]对伴有HIV感染的ONFH患者进行了全髋关节置换的回顾性评价,结果令人满意。15例患者的22个髋关节接受了生物型THA,平均随访期为5.2年(范围为1.0~16.0年)。在最近一次随访中,改良Harris髋关节的平均评分从58.3±14.8提高到95.2±11.3,并且未发现感染、神经损伤、假体松动或脱位等并发症。可见,对于控制良好的HIV感染的ONFH患者,THA是一种安全有效的治疗选择。
Salman等人[26]通过系统评价和荟萃分析旨在比较THA在骨坏死(ON)和骨关节炎(OA)患者中的结局异同。共纳入14项观察性研究,涉及2111102个髋关节,ON组和OA组的平均年龄分别为50.83±9.32和55.51±8.95,平均随访时间为7.25±4.6年。ON和OA患者的翻修率差异具有统计学意义(OR:1.576;95% CI:1.24-2.00;p值:0.0015)。然而,两组的脱位率和Harris髋关节评分相当。因此,相较于骨关节炎,股骨头坏死的患者全髋关节置换术后会有更高的翻修率、假体周围骨折和假体周围关节感染。
Wang等人[27]对ONFH患者进行了THA后一年的计划外再入院相关研究。在纳入的876名患者中,有41名经历了计划外再入院。30天再入院率为1.83%,90天再入院率为2.63%,1年再入院率为4.68%。假体脱位一直是一年内研究的所有时间点的最常见原因。最终的logistic回归模型显示,计划外再入院的风险较高与年龄>60岁(P=0.001)、城市居住(P=0.001)、ARCO IV期(P=0.025)和吸烟(P=0.033)相关。
超短解剖型非骨水泥柄在ONFH患者中的应用,其中期结果满意。Necas等人报道了超短解剖型非骨水泥柄全髋关节置换术在股骨头坏死患者中的中期结果(临床和影像学)。研究包括了73名患者(97例THA),平均年龄为47.4岁,平均随访时间为105.2个月。结果显示,在11例髋关节中观察到柄移位(下沉和内翻),其中9例在术后第6个月无进一步进展,2例伴有假体进行性移位和影像学松动。在改良的Gruen区中检测到骨小梁生长:1区(0%),2区(67.0%),4区(64.9%),6区(64.9%),7区(0%)。在1例患者的臼杯和6例患者的柄周围观察到透亮线(2个是松动的,4个是纤维稳定的固定)。5例髋关节(5.1%)出现并发症,包括1例单次髋关节脱位、1例早期深部感染、1例复发脱位和2例柄松动。2个髋关节(2.1%)被翻修(脱位、感染)。假体临床和放射学生存率分别为98.9%和97.9%。中期观察表明,超短解剖型非骨水泥柄在ONFH患者中的临床和放射学结果是满意的:该柄能够保留了股骨近端的骨质,并证实了生理性股骨近端负荷传递。
七、股骨头坏死诊治与研究的未来展望
展望未来,股骨头坏死领域的研究逐年增加。中国在该领域的出版物数量排名第一,而美国在h指数和引用次数方面处于领先地位。上海交通大学和《International Orthopaedics》是发表研究最多的机构和期刊。此外,ONFH研究的前10位作者都来自中国和日本:包括上海六院张长青,九州大学的Motomura,大连中山医院的赵德伟,以及广州中医药大学何伟等。近年来,ONFH的研究重点包括信号通路、遗传分化、糖皮质激素诱导的成骨、诱导的缺血性坏死和成骨等方面。我们也清醒地意识到:尽管对于晚期股骨头坏死的治疗取得了较大的进展,仍有许多挑战和问题需要我们共同面对和解决,比如进一步研究清楚坏死的病理机制,进一步提高早期股骨头坏死的保头成功率和治疗效果等。在未来的日子里,我们需要继续加强团队合作,提升基础研究质量和医疗服务水平,从而在股骨头坏死的治疗上取得突破性进展,让更多的患者受益。
作者简介

张洪,中国人民解放军总医院骨科医学部关节外科主任医师。致力于复杂骨与关节疾病诊断和治疗。国内率先引入现代保髋概念,开展保髋工作逾2000例,居亚洲领先水平。在人工关节领域,整合国际不同流派骨科大师的先进理念和手术技术,擅长复杂人工全髋关节置换术、髋关节高位脱位人工关节置换术。
担任中华医学会骨科学分会关节外科学组委员,国际髋关节学会会员,中国医师协会骨科医师分会关节外科工作委员会髋关节工作组委员,中国医疗保健国际交流促进会骨科疾病防治专业委员会副主任委员,北京医学会骨科学分会关节学组委员等。担任《Journal of Bone & JointSurgery》和《Orthopedics》《Arthroplasty》杂志通讯编委,以及《中华外科杂志》《中华骨科杂志》《中国骨与关节杂志》等杂志编委。

罗殿中,中国人民解放军总医院骨科医学部关节外科副主任,副主任医师。擅长青少年和年轻成人髋关节发育不良、髋关节残余畸形、股骨头坏死等复杂问题的保髋临床研究,对青少年髋关节残余畸形、股骨头坏死、股骨头骨骺滑脱等疾患的保髋治疗有深入研究,熟练掌握髋膝关节置换技术。
现任中国康复医学会修复与重建专业委员会保髋学组主任委员、《中国解剖与临床杂志》和《中国骨与关节杂志》特邀编委。发表文章30余篇;承担首都特色基金1项。获华夏医疗科技进步二等奖1项;中华医学会医疗进步三等奖1项;总医院医疗成果二等1项;总医院课题1项。

李勇,博士,中国人民解放军总医院骨科医学部关节外科副主任医师。现任《International Journal of Surgery》《Arthroplasty》《中华骨科杂志》《中华解剖与临床杂志》等多个杂志通讯编委或审稿人。主持及承担国家军队等各类课题5项,发表论文20余篇,SCI论文8篇,主译及参编专著5部,获得国家专利授权11项。
参考文献
1. Ko YS, Ha JH, Park JW, Lee YK, Kim TY, Koo KH: Updating Osteonecrosis of the Femoral Head. Hip Pelvis 2023, 35(3):147-156.
2. Zhang W, Du H, Liu Z, Zhou D, Li Q, Liu W: Worldwide research trends on femur head necrosis (2000-2021): a bibliometrics analysis and suggestions for researchers. Ann Transl Med 2023, 11(3):155.
3. 田佳庆, 何敏聪, 韦雨柔, 何宪顺, 钟原, 江禹来, 詹芝玮, 魏腾飞, 何晓铭, 魏秋实: 激素性股骨头坏死囊性变分布规律及病理特点 [J] 中国组织工程研究 2023, 27(31):4996-5001.
4. Inoue T, Shoji T, Kato Y, Fujiwara Y, Sumii J, Shozen H, Adachi N: Investigating the subchondral trabecular bone microstructure in patients with osteonecrosis of the femoral head using multi-detector row computed tomography. Mod Rheumatol 2023, 33(6):1190-1196.
5. Le G, Lu M, Li L, Luo H: The Lnc-HOTAIR/miR122/PPARgamma signaling mediated the occurrence and continuous development of alcohol-induced Osteonecrosis of the femoral head. Toxicol Lett 2023, 380:53-61.
6. Zhao X, Chen C, Luo Y, Li D, Wang Q, Fang Y, Kang P: Connexin43 overexpression promotes bone regeneration by osteogenesis and angiogenesis in rat glucocorticoid-induced osteonecrosis of the femoral head. Dev Biol 2023, 496:73-86.
7. Chen N, Meng Y, Zhan H, Li G: Identification and Validation of Potential Ferroptosis-Related Genes in Glucocorticoid-Induced Osteonecrosis of the Femoral Head. Medicina (Kaunas) 2023, 59(2).
8. Zhang Q, Sun W, Li T, Liu F: Polarization Behavior of Bone Macrophage as Well as Associated Osteoimmunity in Glucocorticoid-Induced Osteonecrosis of the Femoral Head. J Inflamm Res 2023, 16:879-894.
9. Lu H, Fan Y, Yan Q, Chen Z, Wei Z, Liu Y, Zhang J, Huang Z, Fang H, Zhou C et al: Identification and validation of ferroptosis-related biomarkers in steroid-induced osteonecrosis of the femoral head. Int Immunopharmacol 2023, 124(Pt A):110906.
10. Wang Y, Zhang Y, Lu H, Liu K, He W, Pei Z, Wang J: Integrative analysis of cellular autophagy-related genes in steroid-induced osteonecrosis of the femoral head. Am J Transl Res 2023, 15(9):5850-5872.
11. Bae J, Lee SK, Kim J, Kim JY, Kim JH: What Is New in Stage 3 of the 2019 Revised Association Research Circulation Osseous Staging System of Osteonecrosis of the Femoral Head: A Relationship to Bone Resorption. J Comput Assist Tomogr 2023.
12. Takashima K, Iwasa M, Ando W, Uemura K, Hamada H, Mae H, Maeda Y, Sugano N: MRI screening for osteonecrosis of the femoral head after COVID-19. Mod Rheumatol 2023.
13. Ma J, Ge J, Cheng L, Wang B, Yue D, Wang W: Subchondral Bone Plate Classification: A New and More Sensitive Approach for Predicting the Prognosis of Osteonecrosis of the Femoral Head. Cartilage 2023, 14(3):269-277.
14. Shen X, Luo J, Tang X, Chen B, Qin Y, Zhou Y, Xiao J: Deep Learning Approach for Diagnosing Early Osteonecrosis of the Femoral Head Based on Magnetic Resonance Imaging. J Arthroplasty 2023, 38(10):2044-2050.
15. Fan Y, Liu X, Zhong Y, Zhang J, Liu Y, Fang H, He W, Zhou C, Chen Z: Evaluation of the predictive values of collapse and necrotic lesion boundary for osteonecrosis of the femoral head prognosis. Front Endocrinol (Lausanne) 2023, 14:1137786.
16. 孙伟, 高福强, 李子荣: 股骨头坏死临床药物防治专家共识(2022年)[J]. 中国骨伤 2023, 36(08):724-730.
17. Cao H, Shi K, Long J, Liu Y, Li L, Ye T, Huang C, Lai Y, Bai X, Qin L et al: PDGF-BB prevents destructive repair and promotes reparative osteogenesis of steroid-associated osteonecrosis of the femoral head in rabbits. Bone 2023, 167:116645.
18. Ng MK, Gordon AM, Piuzzi NS, Wong CHJ, Jones LC, Mont MA: Trends in Surgical Management of Osteonecrosis of the Femoral Head: A 2010 to 2020 Nationwide Study. J Arthroplasty 2023, 38(7S):S51-S57.
19. Zhang Z, Cheng H, Luo D, Zhang H: Complete Repair of Osteonecrosis of the Femoral Head After Basicervical Femoral Neck Rotational Osteotomy: A Case Report. JBJS Case Connect 2023, 13(4).
20. Edmond T, Hameed D, Olsen D, Dubin JA, Grynovicki E, Mont MA: Modified Lightbulb Non-Vascularized Bone Grafting Technique for Osteonecrosis of the Femoral Head. Surg Technol Int 2023, 42.
21. Wang J, Xu P, Zhou L: Comparison of current treatment strategy for osteonecrosis of the femoral head from the perspective of cell therapy. Front Cell Dev Biol 2023, 11:995816.
22. Saini U, Jindal K, Rana A, Aggarwal S, Kumar P, Sharma S: Core decompression combined with intralesional autologous bone marrow derived cell therapies for osteonecrosis of the femoral head in adults: A systematic review and meta-analysis. Surgeon 2023, 21(3):e104-e117.
23. 李辉, 张堃, 郝阳泉, 冯磊, 杨治, 许鹏, 鲁超: 机器人辅助髓芯减压植骨治疗ARCOⅡ期股骨头坏死[J]. 中国组织工程研究 2023, 27(04):547-551.
24. 郑占乐, 陈伟, 张弢, 李会杰, 王娟, 张英泽: 取梁换柱部分置换术在股骨头坏死中的应用 [J ]. 河北医科大学学报 2023, 44(01):112-115.
25. Baek J, Kim HS, Kim NJ, Yoo JJ: Midterm Results of Total Hip Arthroplasty for Osteonecrosis of the Femoral Head in Human Immunodeficiency Virus-Infected Patients in South Korea. Clin Orthop Surg 2023, 15(3):367-372.
26. Salman LA, Alzobi OZ, Al-Ani A, Hantouly AT, Al-Juboori M, Ahmed G: The outcomes of total hip arthroplasty in developmental dysplasia of hip versus osteoarthritis: a systematic review and meta-analysis. Eur J Orthop Surg Traumatol 2024, 34(1):1-8.
27. Wang T, Gao C, Wu D, Li C, Cheng X, Yang Z, Zhang Y, Zhu Y: One-year unplanned readmission after total hip arthroplasty in patients with osteonecrosis of the femoral head: rate, causes, and risk factors. BMC Musculoskelet Disord 2023, 24(1):845.



京公网安备11010502051256号