经验分享 | 股骨胫骨双截骨治疗严重膝关节畸形
2024-02-20 文章来源:福州市第二总医院关节外科 作者:王武炼 我要说
经验分享 | 股骨胫骨双截骨治疗严重膝关节畸形
来源:福州市第二总医院关节外科
作者:王武炼
1、病例信息
患者,女性,49岁,农民
主诉:左膝疼痛10年,加剧1年
既往史:既往体健,35年前因左膝外伤于外院行左股骨远端手术,具体不详;2年前在当地医院行关节镜下半月板修整术
查体:左膝内侧压痛,内外翻应力试验(-),过伸、过屈痛(+)
右膝ROM:130°-0°-0°。BMI:23kg/m2
诊断:1.左膝骨性关节炎 2.左股骨远端陈旧性骨折术后

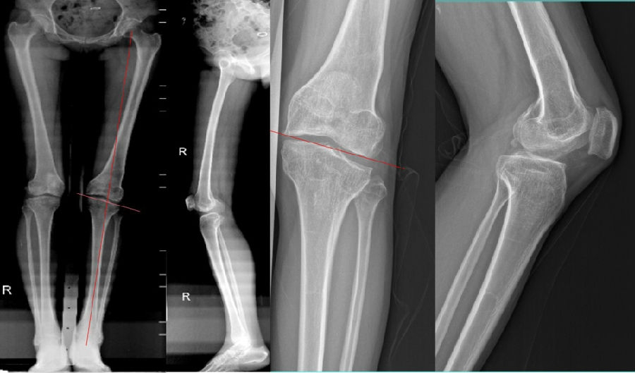
术前X线片
术前X线显示:
胫骨近端内侧角(MPTA):100°
股骨远端外侧角(LDFA):102°
关节线夹角(JLCA):3°
股骨远端后倾角(PDFA):85°
胫骨近端后倾角(PPTA):83°

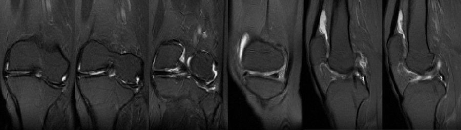
术前MR
该病例特点:患者中年女性,49岁,较活跃;JLCA基本正常,关节线倾斜,下肢力线略外翻;倾斜来源股骨内翻和胫骨外翻;既往股骨远端手术史;陈旧性软组织疤痕,局部畸形,骨质硬化,合页易骨折。

膝OA的外科阶梯治疗方式
回顾膝关节OA的外科阶梯治疗方式,包括截骨术(HTO/DFO),单髁置换(内侧、外侧),全膝置换术。
为该患者选择DFO+HTO双截骨的原因:
年龄、性别、体重与活跃程度——患者中年女性,49岁,活跃。
双下肢关节外畸形(畸形来源于股骨侧及胫骨侧)——LDFA:100°*,MPTA:102。°
软骨磨损的程度——内外侧局部软骨均有磨损,外侧明显。
2、手术
股骨远端、胫骨近端双截骨手术适应证:
股骨侧与胫骨侧均存在畸形,下肢力线有或无偏移;如果行单纯股骨侧或胫骨侧截骨,出现关节线倾斜>4°。
截骨后不同关节线倾斜方向的影响:
内倾-关节线由外上至内下倾斜-剪切力较大;外倾-关节线由内上至外下倾斜-剪切力较小。
如果单纯从胫骨侧或股骨侧矫正下肢内翻畸形:
矫正度数大;截骨后关节线出现由外上至内下倾斜>4°,软骨承受剪切应力,关节囊韧带承受异常应力,将导致持续的症状。
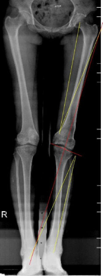
术前计划:
股骨胫骨双截骨矫正下肢内翻畸形;
以关节线为参考,设定下肢目标力线;
避免单纯胫骨侧或股骨侧大角度矫正下肢畸形;
截骨后关节线不发生内倾倾斜,剪切力大;
拟行股骨外侧闭合楔+胫骨内侧闭合楔。

手术操作顺序:
股骨外侧闭合截骨11mm,恢复关节线方向(放平关节线LDFA:88°)。
胫骨侧闭合13mm,矫正下肢力线至目标力线(居中)。

术中

术中透视

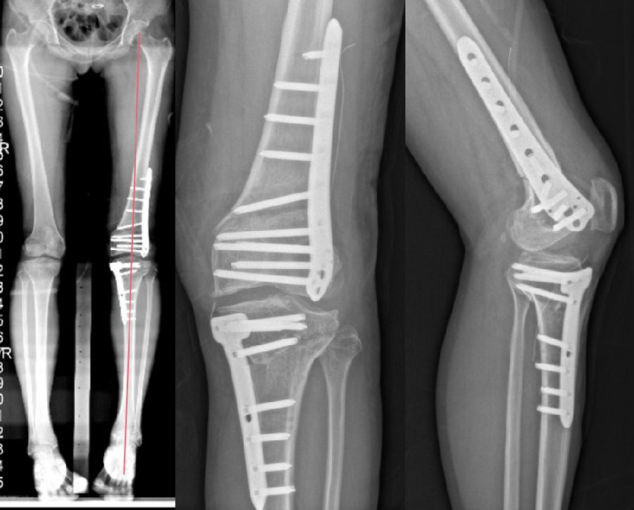
术后X线片

术后1个月
视频1 术后1个月步态
视频2 术后1个月关节活动度
3、总结
对于同时存在股骨和胫骨较大畸形的患者,建议同时行DFO+HTO双截骨,中短期临床疗效良好。可在恢复下肢机械轴线的同时纠正关节线的倾斜;还能避免单纯股骨侧或胫骨侧大角度矫正下肢畸形。
选择病人应严格掌握适应证和禁忌证。
掌握技术,术前精确计划:冠状位&矢状位;术中规范操作:合页完整,中立位力线。
作者简介

王武炼,副主任医师,医学博士,硕士研究生导师。
学术任职:中华医学会骨科学分会青年委员会委员,中国医师协会骨科医师分会青委会委员,中国老年保健协会骨关节保护与健康分会常务委员,中国研究型医院学会骨科关节外科学组委员,中国医师协会骨科医师分会骨与关节发育畸形学组委员,福建省医师协会骨科医师分会保膝保髋学组副组长,福建省中西医结合学会骨关节保护与矫形分会副主任委员等。
擅长股骨头坏死及各种畸形截骨、单髁等保髋保膝手术及中西医结合治疗;髋、膝、肩关节畸形的人工关节置换及翻修手术。



京公网安备11010502051256号