踝关节融合术,这些技巧不可错过!
2024-04-01 文章来源:山西医科大学第二医院 作者:梁炳生 我要说
踝关节融合术,这些技巧不可错过!
作者:梁炳生
来源:山西医科大学第二医院
踝关节融合是一种踝关节骨性融合的手术,可以减轻或消除疼痛、终止病变或提供关节稳定性。踝关节融合方法很多,显露途径也有不同,常用的有前侧显露与外侧显露。外侧显露比较充分,病灶清除彻底,且较安全。前侧显露较差,病灶清除不易彻底,仅用于融合。
适应证:创伤性关节炎、骨性关节炎、类风湿关节炎、踝关节结核、人工关节失败、夏科关节、距骨坏死、畸形。
影像学评估:负重正、侧位、踝穴位X片;严重畸形包括下肢全长X片;后足力线(跟骨轴位)评估踝关节远端的畸形情况。
融合角度:屈曲度、外翻度-10度、外旋5-10度(胫骨结节与第一趾蹼成一直线),距骨轻度向后移位。踝功能位男性90度,女性可95-100度。
并发症:不愈合,感染,距下关节炎。
一、微创手术
畸形程度较轻,冠状位X片内、外翻角度<10°,可首先选用微创手术。
1. 平仰卧位,垫高患侧髋关节,做2个1.5cm切口,第一个位于胫前肌腱内侧,第二个位于第三腓骨肌腱外侧 。

微创手术切口
2. 切开皮肤皮下关节囊,显露踝关节,咬骨钳或骨凿清理骨赘,骨膜起子撑开关节,清理软骨和软骨下骨,可先使用刮匙,然后使用高速打磨锉,对侧切口冲洗降温。分别从内外切口进行处理,完成骨面准备。
使用小骨凿在骨面上做“鱼鳞状”粗糙面,仍然需进一步处理硬化区域用2mm钻头钻孔。
3. 导针引导下置入6.5-8.0mm空心钉固定,置入3枚,第一枚螺钉起自胫骨后外侧,远端至距骨头颈区域 。

第二枚打入内侧近端螺钉,向后进入距骨体。
第三枚螺钉从近端前外侧指向远端内侧方向。
4. 自体+同种异体骨移植。
5. 长腿管型石膏固定4周,然后短腿管型石膏固定4周。
二、传统方法之一“踝关节前侧入路融合术”(Blair术)
适用于距骨体缺如或坏死的情况,融合率高。
1. 仰卧位,踝前中线上5cm处起,纵形直切口或S切口,至关节远端5cm止。

2. 保护腓浅神经,切口深筋膜、小腿横韧带及十字韧带,显露踇长伸肌腱、趾长伸肌腱及位于二者之间的胫前血管、腓深神经。
趾长伸肌腱牵向外侧,腓深神经、胫前血管和踇长伸肌腱牵向内侧,显露关节。

1.趾长伸肌腱,2.腓深神经,3.胫前动、静脉,4.长伸肌腱,5.踝前支持带
3. 牵开上述组织,显露踝关节囊前侧,纵向切开胫骨骨膜、关节囊进入踝关节。

1.趾长伸肌腱,2.距骨,3.胫骨下端,4.海长伸肌腱
4. 从胫骨远端前侧用电锯截取一条8×2.5cm长方形骨块,在距骨颈上方做一深2cm的横行槽,将胫骨植骨块滑入槽中。

足保持在背屈度,外翻5度,外旋10度的位置上,用螺钉将植骨块近端固定到胫骨上。

通过跟骨纵向向上穿入一枚斯氏针,深度达到经骨远端3-10cm处,增加稳定性,植骨。
5. 屈膝30度长腿管型石膏固定;手术后6周拔针去除石膏,换短腿行走石膏至骨愈合。
6. 注意
①将距骨后移,胫骨远端的前面与距骨头和颈的连接处在一条线上。距骨后移减少了足前方力臂的长度,使步态更接近正常。
②再通过跟骨纵行向上穿入斯氏针,达到胫骨远端上5-10cm。
③融合角度:屈曲度、外翻度-5度、外旋5-10度(胫骨结节与第一趾蹼成一直线),距骨轻度向后移位。踝功能位男性90度,女性可95-100度。
④胫骨骨瓣 10x2.5x1cm或8x2x0.8cm。
三、传统方法之二“外侧入路踝关节融合术”
1. 适应证:病灶在外侧的踝关节结核,创伤性关节炎,骨性关节炎。
2. 切口:外踝上10cm切口,沿腓骨后下缘弧形切开,弯向跗骨窦到第四跖骨基底。切除跗骨窦软组织,显露距骨体前外侧面。
3. 在踝上8cm锯断腓骨下翻,显露踝关节。踝内翻切除关节软骨面,矫正内外翻畸形,松解踝跖屈挛缩。
在胫骨远端外侧、距骨外侧凿浅槽,以备作为腓骨植骨之受区。腓骨相邻面凿成毛糙面,分别用螺丝钉固定,间隙植骨。或腓骨矢状面纵形劈开,腓骨外侧半作为骨板螺钉固定,腓骨内侧半截碎植骨。

在外髁上10cm左右截断,用螺钉将外侧半腓骨内移固定在胫骨及距骨上,内侧半腓骨截成骨条作为植骨材料植骨。
4. 踝关节外翻5°,外旋5~10°。相对于胫骨,距骨中立位或稍后移,内外侧中间和屈伸中立位。
斯式针在轴位胫跟固定,长腿管型石膏固定6周复查,然后更换短腿石膏继续固定4周。
四、后路踝关节融合术
1. 适应证:适用于有跟腱挛缩;同时融合踝关节与距下关节的踝关节病。
2. 切口:跟腱内缘纵形切口8CM,显露踝关节后方。切除胫距和跟距关节软骨面,从胫骨、跟骨后侧用骨凿凿数条带带的鱼鳞状骨片翻转植骨,间隙植骨。
3. 功能位石膏8、12周。或螺丝钉固定胫距、距跟关节。
五、骨栓式踝关节融合术
术式简单,术后反应小。
1. 适应证:无踝关节畸形的骨关节炎、创伤性关节炎病人。
2. 切口:经内踝作5CM切口,显露内踝。
用19mm圆锯的中心对准踝关节的内侧间隙,自内踝经关节间隙钻到外侧。取出中间带关节软面的骨芯,旋转90度,由原口插入填塞骨隧道,也可取髂骨植入。
③石膏固定3-4月,复查X片。可早期下地。
(六)关节镜下踝关节融合
适应证较窄,可以用于无明显畸形与骨缺损而需要关节融合的病例。
1. 适应证:关节炎保守治疗无效;X片表现为终末期关节炎的患者;适合年老患者。
2. 禁忌证:严重的前后倾斜需要纠正;内外翻角度大于15°-20°以上;踝关节旋转不良;距骨前脱位;明显的骨量丢失。
3. 手术原则:清除所有透明软骨和下层无血管的软骨下骨。将踝关节融合在适当位置,牢固的内固定。
4. 优点:提高融合率,融合时间加快,恢复时间缩短,平均愈合时间8.5周,开放式截骨术平均愈合时间14.5周。减少并发症,手术时间、出血量、止血带使用时间及住院平均时间均下降,手术瘢痕小,外表美观。
5. 缺点:医生学习曲线长;不能纠正严重的内外翻和旋转畸形。
6. 手术步骤
①准备工作:硬膜外麻醉、全麻等方式;备术中关节镜、电视透视设备;备踝关节牵引装置;备刨刀、磨头、15°角度刮匙、射频。
②关节软骨及软骨下骨处理
取前内侧、前外侧、后外侧入路置入刨刀、磨头、刮匙等工具去除关节软骨。
磨头去除大约1mm厚骨质直至出血,磨头在距骨、胫骨表面“点焊”出多个小凹,促进早期骨性愈合。
整个融合区打磨暴露至有血液供应的松质骨。
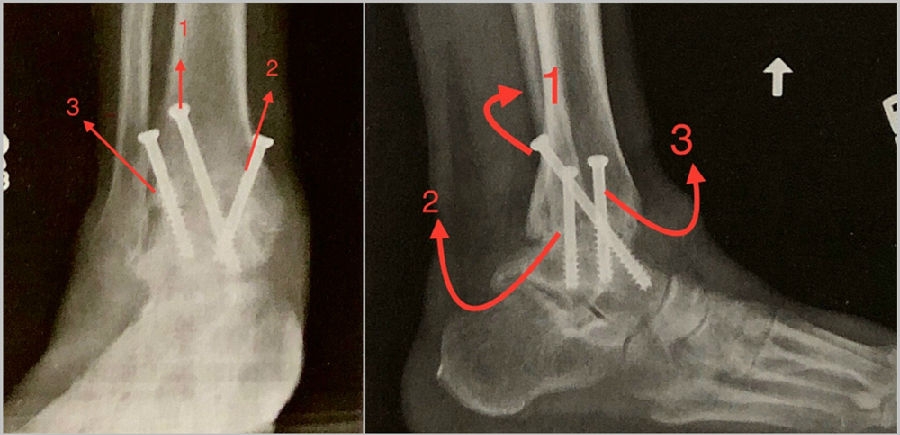
③固定
第1枚螺钉自内踝后侧向前下方向打入距骨头颈部;
第2枚螺钉自前内踝斜向下至距骨体部;
第3枚螺钉自胫骨远端前外侧向距骨体后内侧。

④踝关节融合位置
足位于跖屈和背伸均0°位,外翻5度,外旋5-10度位置。
⑤手术后处理
小腿管型石膏固定4周后开始部分负重,定期复查至骨折愈合。
⑥病例报告:
病例报告之一,切口显露同前。
固定方法:


病例报告之二,xx,男,56岁,左踝创伤性关节炎。左踝崴伤6年,疼痛加剧3年。切口显露同前。




手术前资料


手术中资料

图23 手术后资料
讨论:关于踝关节置换和融合
1. 踝关节置换:剔除坏死的或失去功能的踝关节,使用人工踝关节进行替换,该手术方式的优势在于能够恢复一部分踝关节的活动功能。缺点在于远期可能出现假体松动、力线异常、纤维粘连、感染等并发症。此外关节置换较关节融合费用高。
2. 踝关节融合:可以使踝关节疼痛消失和增加关节稳定性,适合于对关节功能要求不高的老年人与体力劳动者。该手术方式简便、经济,手术效果确切,例如有创伤性关节炎时,踝关节已经出现粉碎性骨折,可以做关节融合手术效果比较好。弊端是术后踝关节活动功能受限。
作者简介

梁炳生,山西医科大学第二医院骨科主任医师,教授,博士生导师,享受国务院政府特殊津贴专家。
社会任职:山西省医师协会手外科医师分会会长,中国医师协会手外科医师分会常委,山西省医师协会骨科医师分会副会长,山西省医学会手外科专业委员会名誉主委;国家自然科学基金委员会评审专家,国家教育部学位中心评审专家;《中华手外科杂志》《中国实用手外科杂志》《中国修复重建外科杂志》编委,《实用骨科杂志》常务编委。



京公网安备11010502051256号