一文读懂:大转子疼痛综合征(GPTS)病因、诊断、影像学及治疗选择
2024-04-08 文章来源:骨科在线 作者:骨科在线 我要说
髋关节外侧疼痛是骨科门诊常见的症状之一,而大转子疼痛综合征(GTPS)是髋关节外侧疼痛的常见病因,好发于40~60岁女性,年发病率可达1.8例/1000人。GTPS包括转子滑囊炎、臀肌肌腱病、弹响髋或髋外侧滑囊炎等。
一、发病机制
GTPS的病理学关键特征是机械性组织损伤,常常同时存在以上2至3种病因。相关的病因及机制包括以下几点:(1)重复运动与重复性微损伤,重复运动是引起局部机械负荷过度增加的重要原因。(2)下肢生物力学改变,引起髋关节局部机械负荷过大,导致臀肌肌腱病的发生。(3)退行性改变,引起发生局部损伤,也可以引起生物力学的变化,从而导致局部机械负荷过度增加。(4)细胞组织病理学变化,GTPS 患者可单独或合并存在臀肌肌腱病、大转子滑囊炎、髂胫束增厚或弹响髋等,目前研究认为外展肌肌腱附着点处的肌腱病是髋关节外侧疼痛的最常见原因。(5)细胞因子改变,一些细胞因子参与了肌腱病的发病过程。(6)电生理变化,肌肉骨骼疾病中电生理研究能够客观的反映细胞生物电层面的发病机制。(7)除上述病因外还可能包括臀肌损伤及臀肌挛缩(不当注射、儿童易感因素和特殊瘢痕体质、外伤、感染、遗传、细胞因子作用的信号传导通路及下游产物的关系等)。
二、诊断
GTPS临床表现为髋关节外侧疼痛伴大转子局部压痛,典型表现为慢性间歇性髋关节、大腿或臀部疼痛,可在久坐、爬楼梯、剧烈活动、患侧卧位后加重,休息可缓解。夜间痛较为常见。
通常可见大转子区域压痛、叩击痛,外展抗阻试验髋关节外侧、大转子区域疼痛等,髋关节旋转、外展或内收时疼痛加重等一般体格检查,除此之外还有特殊体格检查。GTPS患者的特殊体格检查包括FABER测试(髋关节屈曲、外展、外旋)、Ober测试和外展抗阻试验等。其中,辅助诊断髋关节外侧疼痛最有价值的测试是单腿站立测试(SLS)、特伦德伦堡征(Trendelenburg sign)、髋外旋抗阻测试和髋滞后征等。另外,Ober测试还可以评估患者侧卧位时ITB的紧张程度。
(1)SLS

受试者站在墙边,健侧靠近墙、患侧远离墙,健侧的手伸到与肩齐高的位置扶着墙以保持身体的平衡,然后将健侧下肢抬起,使骨盆保持中立,膝关节屈曲至90°,在这个位置保持30s。阳性结果是患者在这30s内再次出现患侧髋关节外侧疼痛。
(2)特伦德伦堡征

测试时让患者一侧下肢支撑,抬起另一侧下肢,如果支撑侧的骨盆向相反的或没有支撑的下肢倾斜,则支撑侧下肢的外展肌无力测试为阳性。严重臀中肌肌腱病或撕裂的患者特伦德伦堡卧位测试呈现阳性。
(3)屈髋抗阻测试
患者仰卧,屈髋0°(检查阔筋膜张肌)、45°(检查臀中肌及臀小肌)、90°(检查臀大肌)且髋关节完全内旋,检查者施加阻力并要求患者将下肢置于抵抗阻力的中立位置。此时患者若出现髋部疼痛或外旋肌无力则表明是屈髋抗阻测试的阳性结果,可初步诊断为GTPS。
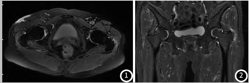
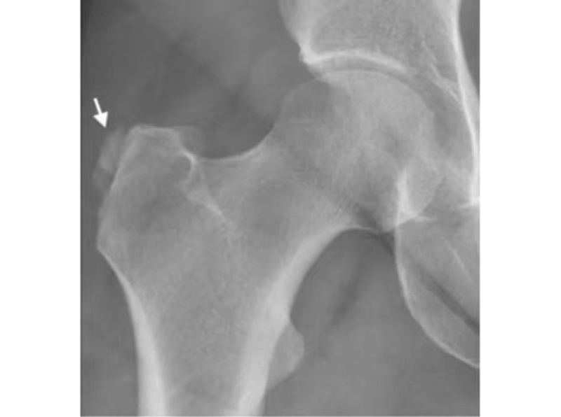
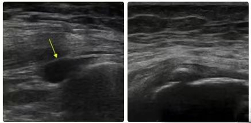
三、影像学检查
诊断GTPS最常用的影像学检查是X线片、超声和MRI。

MRI被认为是诊断GTPS的主要方法,它能评估臀肌的形态和大小、转子区的滑囊炎、臀肌肌腱炎、臀肌撕裂、周围软组织水肿及股骨大转子骨髓水肿或囊变等表现。

X线和CT可以清晰显示臀肌腱走行区的钙化灶进而提示本病,CT多平面重组图像可用于骨盆各种径线进而排除部分鉴别诊断。骨盆X线检查可以鉴别其他疾病如髋关节退行性疾病、转子撕脱骨折、骨膜肿瘤病变、股骨近端继发性恶性肿瘤等。

超声检查具有较好的可耐受性、可行性、价格低廉、纤维和血管分布的空间分辨率高等优点,超声检查显示大转子滑囊无回声或低回声液体则提示转子滑囊炎。肌腱的撕裂显示增厚的低回声肌腱伴纤维的连续性中断或者无回声,以及肌腱的钙化。多普勒超声检查可以测量肌腱的厚度和血管的分布。超声检查还可以发现骨侵蚀、肌腱病变和髂胫束增厚等。
四、治疗
1、保守治疗
大部分GTPS通过保守治疗可以改善症状,达到缓解疼痛、保护髋关节功能及提高患者生活质量的目的。如果在有必要控制疼痛和(或)在急性情况下,可首先对患者进行休息、冰敷、康复锻炼、理疗和非类固醇消炎药等治疗;二级治疗措施包括髋关节囊内注射皮质类固醇、冲击波疗法和最近的富血小板血浆(PRP)注射,大多数患者的症状可通过保守措施得到改善。
2、手术治疗
顽固性GTPS保守治疗无效时要考虑对髂胫束、转子滑囊和臀肌肌腱进行开放手术和关节镜手术。关节镜微创手术目前已成为该病手术治疗的首选方案。
(1)对于转子滑囊炎患者,可选择镜下髂胫束的松解和滑膜囊的切除。
(2)臀肌腱病变越来越被认为是持续性髋关节外侧疼痛的来源,切开式和髋关节镜都可治疗髋外展肌的部分或全层撕裂。对于髋外展肌撕裂的患者,手术方法包括直接开放或髋关节镜下缝线锚定非扩大修复术、用合成移植物或同种异体移植物开放扩大修复术或肌腱移植加强术。臀肌腱撕裂的严重程度不同,其手术方法也不同,应结合臀肌腱撕裂程度以及病程进行综合权衡考虑。
(3)髂胫束摩擦综合征的手术治疗主要是髂胫束的松解,因为其主要的病理机制是髂胫束后部从髋关节后伸到髋关节前部屈曲时,穿过转子的髂胫束后部变厚。而通过手术松解髂胫束可以降低增厚区域的张力,从而达到临床上缓解疼痛的效果。切开术式包括Z字成形术和髂胫束松解术,通常与转子囊切除术相结合。
参考文献:
[1]张玲玲,贾子善,张晓倓,等.大转子疼痛综合征病因学及危险因素的研究进展[J]. 解放军医学院学报.
[2]张玲玲, 赵艺扬, 贾子善, 等. 大转子疼痛综合征诊断及治疗的研究进展[J]. 中华骨与关节外科杂志, 2023, 16(8): 762-768.
[3]韦诚,黄天练,韦玉乐,等.股骨大转子疼痛综合征的临床及MRI表现[J].罕少疾病杂志,2023,30(9):90-91.
[4]Pumarejo Gomez L, Childress JM. Greatertrochanteric pain syndrome[M]. Treasure Island (FL): StatPearlsPublishing,2023.
[5]张超,吕欣,刘晋元,等.大转子疼痛综合征:解剖、病理、鉴别诊断及治疗[J].中国组织工程研究,2022,26(2):296-301.
[6]Sunil Kumar KH, Rawal J, Nakano N, et al.Pathogenesis and contemporary diagnoses for lateral hip pain: a scopingreview[J]. Knee Surg Sports Traumatol Arthrosc, 2021, 29(8): 2408-2416.
[7]Pianka MA, Serino J, DeFroda SF, et al.Greater trochanteric pain syndrome: evaluation and management of a widespectrum of pathology[J]. SAGE Open Med, 2021, 9: 20503121211022582.
[8]KENANIDIS E, KYRIAKOPOULOS G, KAILA R, et al.Lesions of the abductors in the hip. EFORT Open Rev. 2020;5(8):464-476.



京公网安备11010502051256号